Bệnh sâu răng nên điều trị sao cho nhanh khỏi? đau nhức, khó chịu
Thói quen ăn uống và vệ sinh không đúng cách dễ khiến bệnh sâu răng “hỏi thăm”. Làm thế nào để loại bỏ tình trạng đau nhức, khó chịu do sâu răng gây ra? Với sự hỗ trợ của các Nha sĩ giỏi tại bệnh viện Đa khoa Quốc tế Thu Cúc, bạn có thể hoàn toàn yên tâm bệnh sâu răng sẽ được loại bỏ nhanh chóng, giúp bạn sở hữu hàm răng khỏe mạnh.
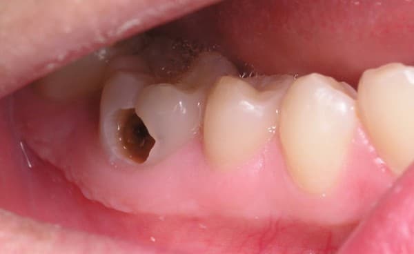
Bệnh sâu răng là gì?

- Sâu răng là bệnh răng miệng khá phổ biến hiện nay gây nhiều phiền toái cho người bệnh.
Bệnh sâu răng thực chất là sự tiêu huỷ cấu trúc vôi hoá vô cơ (tinh thể canxi) của men răng và ngà răng, tạo nên lỗ hổng trên bề mặt răng, do vi khuẩn gây ra.
Nguyên nhân nào gây bệnh sâu răng?
Do đường: Người ta đã chứng minh được rằng thức ăn có nhiều đường sẽ ảnh hưởng tới răng miệng, gây sâu răng.
Do vi khuẩn: Các nhà khoa học đã chứng minh rằng vi khuẩn trong miệng chính là nguyên nhân gây sâu răng:
– Vi khuẩn trong miệng tập trung ở các mảng bám răng hay cao răng, các mảng bám răng có tới 70% là trọng lượng vi khuẩn. Các mảng bám răng là các mảnh vụn thức ăn không được vệ sinh sạch sau 24h sẽ liên kết với các vi khuẩn tạo thành, các mảng bám răng không được vệ sinh sau 14 ngày sẽ tạo thành cao răng.
– Vi khuẩn trong miệng sẽ phân hủy đường thành axit lactic gây tiêu canxi ở men răng, từ đó gây sâu răng.
Do răng: chất lượng men răng và ngà răng phụ thuộc vào hàm lượng các chất vô cơ, hữu cơ, trong đó đặc biệt là canxi, ngoài ra chất fluor có tác dụng bảo vệ men răng rất tốt, những người có chất lượng men răng và ngà răng tốt sẽ ít có nguy cơ bị sâu răng hơn những người khác.
Chữa bệnh sâu răng bằng cách nào?

- Đánh răng đúng cách để bảo vệ răng miệng hiệu quả.
– Răng mới sâu, có thể áp dụng biện pháp tái khoáng phần bị sâu, dùng dung dịch gồm các chất calcium, phosphate, fluorine trám vào nơi răng bị sâu.
– Răng sâu đã xuất hiện lỗ sâu răng, có thể áp dụng biện pháp nạo bỏ phần răng bị sâu. Sau đó hàn trám lỗ sâu răng.
-Răng sâu dẫn đến viêm tủy thì phải điều trị hút tủy.
– Với trường hợp răng sâu mục ngà không có khả năng hồi phục thì buộc phải nhổ bỏ.
Điều trị sâu răng ở bệnh viện Đa khoa Quốc tế Thu Cúc
Đến thăm khám và điều trị bệnh sâu răng tại bệnh viện Đa khoa Quốc tế Thu Cúc, người bệnh sẽ được đội ngũ y bác sĩ là những Nha khoa giỏi, có nhiều năm kinh nghiệm trực tiếp thăm khám tình trạng bệnh và đưa ra tư vấn phương pháp điều trị hiệu quả.

- Khoa Răng hàm mặt – Bệnh viện Thu Cúc được trang bị đồng bộ thiết bị y tế hiện đại hỗ trợ điều trị bênh sâu răng hiệu quả.
Ưu thế của khoa Răng hàm mặt – Bệnh viện Đa khoa Quốc tế Thu Cúc là trang bị đồng bộ các thiết bị máy móc tân tiến, công nghệ cao nhập khẩu 100% từ nước ngoài như: hệ thống gồm 6 ghế máy nha khoa Gnatus (Braxin), đèn hàn quang trùng hợp Litex (Mỹ), máy X – Quang kỹ thuật số RSV (Pháp), máy nội soi răng (Hàn Quốc)…đảm bảo tiêu chuẩn chất lượng và luôn ứng dụng những kĩ thuật, công nghệ điều trị nha khoa mới nhất để đáp ứng mọi yêu cầu của người bệnh và hỗ trợ điều trị bệnh hiệu quả.

- Bác sĩ nha khoa giỏi tại Thu Cúc trực tiếp điều trị bệnh sâu răng triệt để cho người bệnh.
Đến với bệnh viện Thu Cúc, quy trình chữa trị sâu răng của người bệnh sẽ được diễn ra bài bản, chuyên nghiệp theo đúng quy định của Bộ Y tế về độ an toàn và hiệu quả điều trị. Mọi thao tác đều được các nha sĩ giỏi thực hiện nhẹ nhàng, chuẩn xác giúp bạn luôn có cảm giác dễ chịu trong suốt quá trình điều trị. Đối với điều trị bệnh răng miệng, khâu vô trùng là tiêu chí hàng đầu, tại khoa Răng hàm mặt – bệnh viện Thu Cúc, khâu vô trùng được tuân thủ theo đúng quy trình chống nhiễm khuẩn theo tiêu chuẩn Sở Y tế. Theo đó, mỗi người bệnh được khám – điều trị với một bộ dụng cụ riêng – đã được vệ sinh và vô trùng. Bên cạnh đó, tất cả thiết bị máy móc đều được vệ sinh vô trùng ngay sau khi sử dụng như vô trùng dụng cụ, vô trùng tay khoan,vô trùng ghế máy…Tất cả không nhằm mục đích gì khác ngoài loại việc bỏ mọi nguy cơ nhiễm khuẩn, đảm bảo chất lượng thực hiện tốt nhất cho người bệnh.
Phòng bệnh sâu răng
Trước hết phải vệ sinh răng miệng sau khi ăn, trước khi đi ngủ.
Hạn chế ăn thức ăn chứa nhiều đường hoặc chải răng đúng cách ngay sau khi ăn
Trẻ em trong thời kỳ mọc răng, thay răng càng phải đặc biệt quan tâm đến hàm răng, như cho trẻ ăn đủ chất tạo răng, đánh răng và dạy trẻ biết đánh răng cho mình.
Dùng kem đánh răng có chứa flourine, có thể dùng thêm nước súc miệng diệt khuẩn sau bữa ăn.
Những phụ nữ mang thai cần bổ sung calcium để trẻ sinh ra không bị thiếu chất tạo răng.
Mọi người cũng cần khám răng định kỳ 6 tháng/lần để kịp thời phát hiện những biến đổi của răng, có các biện pháp điều trị phù hợp.


















