5 Mẹo tự lấy cao răng ở nhà và những lưu ý cần biết
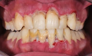
Sở hữu một hàm răng trắng sáng, không mảng bám cao răng hay bị các bệnh lý răng miệng là mong ước của tất cả mọi người. Cao răng mảng bám không chỉ khiến bạn tự ti trong giao tiếp, mỗi khi cười nói mà còn là nguyên nhân có thể gây nhiều bệnh lý như: hôi miệng, sâu răng… Do đó, nhiều người đã xử trí bằng cách áp dụng mẹo tự lấy cao răng ở nhà.
1. 5 Mẹo tự lấy cao răng ở nhà được áp dụng phổ biến hiện nay
Hiện nay, có rất nhiều cách giúp bạn có thể loại bỏ mảng bám răng cao răng ngay tại nhà. Dưới đây là 5 mẹo tự lấy mảng bám cao răng tại nhà thường được nhiều người áp dụng.
1.1. Loại mảng bám cao răng với bộ đôi muối và chanh
Dùng muối và chanh là mẹo giúp loại mảng bám cao răng được khá nhiều người áp dụng
Nhiều người cho rằng, sử dụng bộ đôi chanh và muối có thể giúp bạn loại trừ đi mảng bám trên răng. Hơn thế, thành phần axit có trong chanh và muối còn có thể giúp đẩy lùi nguy cơ hôi miệng.
Để tiến hành loại bỏ mảng bám cao răng với bộ đôi muối và chanh, bạn có thể áp dụng theo hướng dẫn dưới đây:
– Lấy 1/4 quả chanh vắt lấy nước cốt;
– Cho thêm một chút muối vào phần nước cốt chanh thu được, khuấy đều tạo thành hỗn hợp;
– Cho hỗn hợp dung dịch chanh muối vừa pha được vào miệng để ngậm khoảng 2 – 3 phút;
– Dùng lưỡi để đẩy hỗn hợp chanh muối này đi khắp khoang miệng, chạm vào các kẽ răng nhằm loại bỏ mảng bám cao răng;
– Sau khi đã đủ 2 – 3 phút, bạn cho hỗn hợp chanh muối ra khỏi miệng rồi súc miệng với nước sạch.
Lưu ý rằng, chanh có tính axit mạnh, do đó bạn không nên vắt quá nhiều nước cốt chanh, đồng thời cũng không nên dùng cách này quá 1 lần/tuần. Việc lạm dụng phương pháp tẩy mảng bám trên răng với hỗn hợp chanh muối có thể khiến men răng bị mòn và gây tổn thương nướu.
1.2. Làm sạch cao răng với baking soda dạng bột
Không chỉ làm trắng răng, bột baking soda còn có thể mang đến tác dụng giảm trừ mảng bám, cao răng. Đây thực sự là phương pháp tự lấy cao răng ở nhà đơn giản mà bạn có thể thử. Cách tiến hành phương pháp làm sạch răng với baking soda dạng bột như sau:
– Lấy 1/2 muỗng bột baking soda cho vào cốc;
– Thêm chút nước rồi khuấy đều để tạo thành hỗn hợp;
– Sau khi đánh răng với kem đánh răng, bạn tiến hành bôi hỗn hợp baking soda đã pha lên phần cổ răng, bên dưới nướu rồi chà xát nhẹ trong khoảng vài phút.
– Cuối cùng, bạn tiến hành súc miệng cẩn thận lại với nước.
Lưu ý rằng, bạn chỉ nên dùng cách này khoảng 1 lần/tuần, tuyệt đối không nên lạm dụng vì có thể gây tổn thương men răng.
1.3. Lấy cao răng tại nhà với nguyên liệu dầu dừa
Dầu dừa là một mẹo có thể giúp làm giảm mảng bám, cao răng tại nhà
Dầu dừa được biết đến là một trong những sản phẩm tốt, dễ kiếm để làm đẹp cho tóc, da, chuốt mi, dưỡng ẩm… Bên cạnh đó, các thành phần có trong dầu dừa còn có lợi cho sức khỏe răng miệng, có thể giúp tẩy đi những mảng bám trên răng tại nhà.
Nếu có ý định dùng dầu dầu để làm sạch mảng bám trên răng tại nhà thì bạn có thể tiến hành theo hướng dẫn sau:
– Chuẩn bị nguyên liệu chính là dầu dừa tinh khiết;
– Lấy dầu dừa chà lên toàn bộ hàm răng, để nguyên trong 3 – 5 phút để dầu dừa thấm sâu vào răng;
– Cuối cùng, hãy súc miệng lại thật sạch bằng nước.
Dầu dừa rất lành tính, do đó bạn có thể áp dụng phương pháp này thoải mái mà không lo hại men răng. Tuy nhiên, nhược điểm của phương pháp này cần áp dụng nhiều lần, rất tốn thời gian.
1.4. Làm sạch cao răng tại nhà chỉ với dầu nguyên liệu ô liu
Cũng giống như dầu dừa, dầu dầu ô liu được cho là một mẹo có thể giúp loại bỏ mảng bám và các vết ố vàng trên răng. Tuy nhiên, cách làm sạch mảng bám răng này đòi hỏi người thực hiện phải kiên trì thực hiện vì nó cho hiệu quả làm sạch và làm trắng răng chậm. Cách tiến hành như sau:
– Lấy một miếng vải sạch hoặc bông gòn sạch để thấm vào dầu ô liu;
– Dùng miếng vải hay bông gòn đã thấm dầu để chà nhẹ nhàng lên thân răng và cổ răng;
– Đợi khoảng 2 – 3 phút sau cho dầu ô liu thấm vào trong răng thì súc miệng rồi đánh răng như bình thường.
1.5. Lấy cao răng tại nhà chỉ với đường nâu
Đường nâu là nguyên liệu rất dễ tìm mua ở hầu hết cửa hàng tạp hóa. Nhiều nghiên cứu cho thấy trong đường nâu có chứa nhiều axit amin, đặc biệt là axit glycolic, cho tác dụng làm sạch mảng bám và hỗ trợ làm trắng răng ngay tại nhà.
Cách thực hiện để loại bỏ mảng bám răng và làm trắng răng bằng đường nâu như sau:
– Cho đường nâu vào miệng ngậm 15 – 20 phút. Trong khoảng thời gian này, đường sẽ tan trong khoang miệng, đi tới mọi kẽ răng để đánh bật mảng cám và các vết ố;
– Súc miệng lại với nước để kết thúc quy trình loại bỏ cao răng bằng đường nâu ngay tại nhà.
Đường nâu cũng là thành phần lành tính, bạn có thể thực hiện cách này đều đặn mỗi tuần.
2. Những lưu ý cần biết khi áp dụng tự lấy cao răng tại nhà
Các mẹo tự lấy cao răng ở nhà thường chỉ áp dụng với trường hợp mảng bám cao răng ít, tích tụ trên bề mặt răng. Với trường hợp người có mảng bám cao răng ở mức độ nhiều, cao răng tích tụ trong thời gian dài hay tồn tại ở những vị trí khó hơn như dưới nướu, vùng kẽ răng… thì các mẹo trên không thể cho hiệu quả. Đây cũng là lý do các chuyên gia luôn khuyến cáo mỗi người nên tới nha khoa để lấy cao răng định kỳ khoảng 2 lần/năm.
Lấy cao răng 6 tháng/lần tại nha khoa chuyên nghiệp là thói quen tốt được chuyên gia khuyên duy trì
Tại các nha khoa chuyên nghiệp như Khoa Răng hàm mặt Thu Cúc TCI, dịch vụ lấy cao răng sẽ được trực tiếp tiến hành bởi các bác sĩ giỏi, nhiều năm kinh nghiệm, bằng các thiết bị nha khoa tiên tiến, hiện đại, quy trình rõ ràng. Hơn thế, với các thao tác cẩn thận, nhẹ nhàng, khách hàng sẽ có trải nghiệm hài lòng nhất, nhận được kết quả loại sạch mảng bám cao răng tức thời chỉ sau 15 – 20 phút, ưu việt hơn hẳn các mẹo tự lấy cao răng ở nhà.


















