Cấp cứu:0901793122
English
Bệnh Viện Đa Khoa Quốc Tế Thu Cúc | TCI Hospital
Chăm sóc sức khoẻ trọn đời cho bạn
Tổng đài1900558892
Gãy 2 Mắt Cá Chân: Triệu chứng, chuẩn đoán và Cách điều trị

Gãy 2 Mắt Cá Chân: Triệu chứng, chuẩn đoán và Cách điều trị

Gãy 2 mắt cá chân là tình trạng gãy đầu dưới xương mác (7cm cuối), mấu trâm chày (5cm cuối) và đứt dây chằng chày mác dưới hoặc không. Gãy xương mắt cá chân phức tạp gây rách dây chằng và có thể khiến khớp mắt cá chân biến dạng. Những gãy xương phức tạp thường phải điều trị bằng phẫu thuật. 

  • Gãy xương 2 cẳng chân và những biến chứng nguy hiểm
  • Gãy xương ngón chân giữa

Triệu chứng gãy 2 mắt cá chân

Khi bị gãy 2 mắt cá chân, người bệnh sẽ có các triệu chứng dưới đây:

Gãy 2 mắt cá chân là tình trạng gãy đầu dưới xương mác (7cm cuối), mấu trâm chày (5cm cuối) và đứt dây chằng chày mác dưới hoặc không.

  • Đau chói tại vùng mắt cá chân bị tổn thương
  • Cổ chân bị sưng, bầm tím và biến dạng
  • Đau đớn khi đi bộ, không có khả năng di chuyển mắt cá chân
  • Chảy máu từ da
  • Có thể xuất hiện bóng nước
  • Cổ chân vẹo trong
  • Buông duỗi, gót nhô ra sau…

Chẩn đoán gãy 2 mắt cá chân

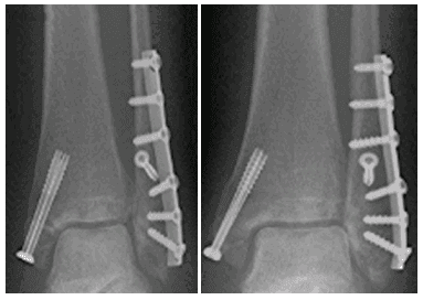
Hầu hết các trường hợp gãy 2 mắt cá chân có thể được nhìn thấy trên hình ảnh X-quang.

✣ Trong vài trường hợp, chụp cắt lớp vi tính (CT Scan ) hoặc chụp cộng hưởng từ (MRI) sẽ được chỉ định thực hiện.

Điều trị gãy 2 mắt cá chân

Điều trị gãy 2 mắt cá chân phụ thuộc vào mức độ nghiêm trọng của chấn thương. Theo đó, nếu gãy xương đơn giản có thể được điều trị với giày ống nẹp chân; nếu gãy xương nghiêm trọng sẽ cần bó bột hoặc phẫu thuật.

Điều trị gãy 2 mắt cá chân phụ thuộc vào mức độ nghiêm trọng của chấn thương.

Các vết nứt nghiêm trọng nhất cần phải phẫu thuật để làm thẳng xương và đảm bảo khớp mắt cá được đưa trở lại đúng vị trí.

Nếu da bị tổn thương hoặc nếu xương gãy hở, các phẫu thuật da sẽ được thực hiện để làm sạch và giải quyết các vết nứt. Trong những trường hợp này, thuốc kháng sinh sẽ được sử dụng để giúp ngăn ngừa nhiễm trùng, đồng thời, thuốc giảm đau cũng sẽ được chỉ định sử dụng để giảm đau đớn cho người bệnh.

Biến chứng thường gặp trong gãy 2 mắt cá chân

Các biến chứng thường gặp trong gãy 2 mắt cá chân gồm:

  • Sưng cổ chân kéo dài.
  • Rối loạn dinh dưỡng.
  • Cứng khớp cổ chân
  • Mất vững cổ chân
  • Thoái hóa khớp cổ chân.

Để hạn chế những biến chứng nêu trên, khi bị gãy 2 mắt cá chân, người bệnh cần nhập viện càng sớm càng tốt, phối hợp cùng bác sĩ trong suốt quá trình thăm khám và điều trị, thực hiện điều trị tốt và có chế độ dinh dưỡng, nghỉ ngơi, tái khám khoa học.

Để hạn chế những biến chứng nêu trên, khi bị gãy 2 mắt cá chân, người bệnh cần nhập viện càng sớm càng tốt, phối hợp cùng bác sĩ trong suốt quá trình thăm khám và điều trị, thực hiện điều trị tốt và có chế độ dinh dưỡng, nghỉ ngơi, tái khám khoa học.

Để biết thêm thông tin chi tiết hoặc cần giải đáp thêm về gãy 2 mắt cá chân, bạn đọc vui lòng liên hệ với Bệnh viện Đa khoa Quốc tế Thu Cúc  theo số điện thoại 1900 558892 hoặc hotline: 0936 388 288 để được tư vấn giải đáp chi tiết.

Lưu ý, các thông tin trên chỉ dành cho mục đích tham khảo và tra cứu, không thay thế cho việc thăm khám, chẩn đoán hoặc điều trị y khoa. Người bệnh cần tuân theo hướng dẫn của bác sĩ, không tự ý thực hiện theo nội dung bài viết để đảm bảo an toàn cho sức khỏe.

Chia sẻ:
Theo dõi Bệnh viện ĐKQT Thu Cúc trênGoogle News
Middle1 – Đặt lịch qua APP – Giảm 50% phí khám ban đầu
Middle1 – Giới thiệu App TCI
Bài viết liên quan
Viêm khớp mắt cá chân: Nguyên nhân và dấu hiệu nhận biết

Viêm khớp mắt cá chân: Nguyên nhân và dấu hiệu nhận biết

Bệnh viêm khớp mắt cá chân khiến cho bạn rơi vào tình trạng đau nhức và ảnh hưởng đến khả năng vận động. Đây là một bệnh về khớp thường gặp mà hậu quả để lại vô cùng nghiêm trọng. Cùng tìm rõ hơn về căn bệnh này qua bài viết dưới đây. 1. Bệnh […]
1900558892
zaloChat