Sâu răng nhẹ: Nguyên nhân và cách điều trị dứt điểm
Hiện nay, sâu răng đã trở thành một bệnh răng miệng phổ biến mọi lứa tuổi. Răng sâu trải qua nhiều giai đoạn từ nhẹ đến nặng, tuy nhiên phải đến khi sâu răng nặng người bệnh mới phát hiện ra. Vậy sâu răng nhẹ: nguyên nhân và cách điều trị dứt điểm là gì? Cùng Thu Cúc TCI tìm hiểu ngay về sâu răng nhẹ qua bài viết này bạn nha.
1. Những thông tin chung về sâu răng nhẹ
1.1 Sâu răng nhẹ là tình trạng gì?
Sâu răng là tình trạng tổn thương nhẹ mô cứng của răng do quá trình hủy khoáng. Quá trình này gây ra bởi sự tích tụ vi khuẩn trên mảng bám và tạo nên những vết nứt nhỏ trên bề mặt răng.
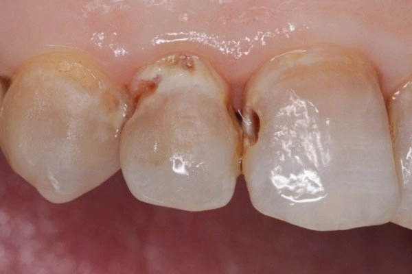
Sâu răng nhẹ là tình trạng gì? (minh họa)
1.2 Dấu hiệu cho thấy răng bị sâu mức độ nhẹ
Các dấu hiệu nhận biết tình trạng sâu răng ở mức độ nhẹ là:
– Xuất hiện đốm thâm đen li ti trên bề mặt răng:
Ban đầu, có sự xuất hiện của các vết thâm màu đen nhỏ, sau đó chúng lan rộng hơn. Sau cùng tạo thành những khe nứt nhỏ chứa vi khuẩn.
– Răng trở nên nhạy cảm hơn:
Khi tiếp xúc với thức ăn quá nóng hoặc quá lạnh, răng trở nên nhạy cảm và nhói đau. Đây là tín hiệu cho thấy vi khuẩn đang bắt đầu tấn công bề mặt răng.
– Hơi thở khó chịu:
Thức ăn dễ dàng bám vào các kẽ răng và không được làm sạch thường tạo điều kiện cho vi khuẩn phát triển. Lâu ngày, tình trạng này dẫn đến mùi hôi khó chịu trong hơi thở.
– Nướu sưng và chảy máu:
Vi khuẩn lây lan có thể gây viêm nướu, khiến cho nướu trở nên nhạy cảm hơn. Việc đánh răng hoặc sử dụng chỉ nha khoa dễ làm chảy máu và gây đau nhức cho nướu.
2. Răng bị sâu nhẹ – nguyên nhân do đâu?
2.1 Nguyên nhân từ mảng bám:
Mảng bám, gốc từ các mảnh vụn thức ăn, được coi là một trong những nguyên nhân hàng đầu dẫn đến tình trạng sâu răng. Sau mỗi lần ăn uống, đường, tinh bột và mảnh vụn thức ăn thường bám vào các kẽ răng. Nếu chúng không được loại bỏ, chúng sẽ tạo thành mảng bám. Theo thời gian, mảng bám sẽ cứng lại và biến thành mảng cao răng. Đây chính là môi trường lý tưởng cho vi khuẩn gây viêm nướu và sâu răng để trú ngụ và phát triển.
2.2 Do sự tấn công của vi khuẩn:
Vi khuẩn có hại có thể tiếp cận khoang miệng qua thức ăn và nước uống, gây nên tình trạng sâu răng. Trong các trường hợp như vậy, lớp men răng có thể bị kích thích dẫn đến sưng viêm. Các dây thần kinh trong khu vực răng hàm có thể bị áp lực và gây hại cho cấu trúc răng. Hậu quả là người bệnh sẽ trải qua cảm giác đau nhức và không thoải mái thường xuyên. Một số loại vi khuẩn như Lactobacillus, Actinomyces, Streptococcus mutans,… được xác định là nguyên nhân phổ biến gây ra sâu răng nhẹ.
2.3 Ảnh hưởng của axit từ men răng:
Bình thường, mức độ axit trong men răng được duy trì ổn định. Nếu có sự tăng đột ngột của axit, men răng sẽ bị xói mòn. Từ đó, tạo thành những lỗ nhỏ là nơi vi khuẩn trú ngụ và phát triển. Theo thời gian, điều này sẽ gây ra sâu răng và các bệnh lý khác liên quan đến răng miệng.
2.4 Răng yếu, dễ ê buốt, chân răng có vết nứt:
Khi có vết rạn nứt trên răng, mảng bám sẽ bám vào vết nứt và trở nên rất khó loại bỏ. Những mảng này tạo điều kiện thuận lợi cho vi khuẩn gây hại tồn tại và gây ra sâu răng nhẹ.
2.5 Sự thiếu hụt nước trong cơ thể:
Nước hoặc nước bọt có vai trò quan trọng trong việc loại bỏ mảng bám và các vụn thức ăn. Khi cơ thể không có đủ nước, có thể dẫn đến tình trạng miệng khô. Điều này cung cấp môi trường thích hợp cho vi khuẩn phát triển, làm tăng nguy cơ sâu răng.
2.6 Chăm sóc răng miệng không kỹ:
Vùng miệng đòi hỏi việc chăm sóc đều đặn để ngăn chặn việc phát triển của các vi khuẩn có hại. Trong trường hợp không thực hiện việc vệ sinh miệng đầy đủ, môi trường sẽ thuận lợi cho vi khuẩn phát triển. Dẫn đến tình trạng bệnh lý ảnh hưởng đến cấu trúc răng, bao gồm cả tình trạng răng bị sâu.
2.7 Do trào ngược dạ dày:
Axit có trong dạ dày sẽ tiếp xúc trực tiếp với răng và gây xói mòn men răng. Hiện tượng này kéo dài có thể gây ra tình trạng sâu răng và hại cho sức khỏe răng miệng.
3. Cách điều trị dứt điểm sâu răng nhẹ
Sâu răng ở mức độ nhẹ có thể được điều trị một cách dễ dàng và hiệu quả. Tùy thuộc vào tình trạng cụ thể, các biện pháp điều trị phù hợp sẽ được áp dụng.
3.1 Điều trị tái khoáng
Tái khoáng là một phương pháp phổ biến để giải quyết sâu răng nhẹ, thường được sử dụng khi có các vết trắng ngà trên bề mặt răng và chưa xuất hiện những lỗ sâu nhỏ màu đen.
Có hai cách thường được sử dụng trong điều trị tái khoáng:
– Sử dụng hỗn hợp Calcium kết hợp Phosphate và Fluor:
Hỗn hợp này được áp dụng trực tiếp vào các vùng sâu để làm giảm dấu hiệu trắng ngà. Nhờ sự kết hợp trên mà ngăn chặn được sự phát triển của vi khuẩn gây sâu răng.
Điều trị sâu răng nhẹ bằng tái khoáng (minh họa)
– Áp dụng Fluor với nồng độ cao:
Fluor kết hợp với Canxi và Photpho có sẵn trong men răng tạo ra một lớp cứng, ngăn vi khuẩn xâm nhập sâu vào răng. Việc áp dụng Fluor nồng độ cao vào vùng sâu sẽ hạn chế sự lan rộng của sâu răng.
Chú ý: Điều trị tái khoáng chỉ có tác dụng hỗ trợ và ngăn chặn sự tiến triển của sâu răng nhẹ, không thể loại bỏ hoàn toàn tình trạng sâu răng.
3.2 Điều trị bằng trám răng
Ngoài việc áp dụng phương pháp tái khoáng, một lựa chọn khác để khắc phục tình trạng sâu răng nhẹ là sử dụng kỹ thuật trám răng. Phương pháp này đã được kiểm chứng là một giải pháp an toàn và hiệu quả để điều trị các tình trạng sâu răng ở mức độ khác nhau.
Trước tiên, quá trình làm sạch răng sẽ được tiến hành để loại bỏ hoàn toàn men răng bị tổn thương hoặc mất màu. Sau đó, các chất liệu trám răng chuyên dụng sẽ được sử dụng để lấp đầy những vùng lỗ sâu trên răng.
Điều trị sâu răng nhẹ bằng trám răng (minh họa)
Đáng chú ý, kỹ thuật trám răng đã tiến xa khi áp dụng công nghệ Laser Tech, mang lại hiệu quả điều trị vượt trội. Những ưu điểm nổi bật khi áp dụng công nghệ Laser Tech như sau:
– Sử dụng chất liệu có thành phần khoáng tương tự với ngà răng tự nhiên, đảm bảo độ bền và độ chắc cao.
– Khả năng tương thích tốt của chất trám, giúp tạo ra các lớp trám ổn định mà không bị ảnh hưởng bởi thực phẩm nóng hay lạnh.
– Sự hấp thụ nước dễ dàng vào vùng lỗ sâu và khả năng tạo xoang trám nhanh chóng, đảm bảo tính an toàn tuyệt đối trong quá trình thực hiện.
3.3 Điều trị sâu răng tại nhà đơn giản
Có nhiều người bệnh gặp vấn đề về sâu răng nhẹ nhưng ngại đến phòng khám, có thể xem xét một số cách sau:
– Áp dụng thuốc Tây:
Có một số loại thuốc có thể hỗ trợ trong việc điều trị sâu răng nhẹ. Ví dụ như việc kết hợp thuốc kháng sinh với Metronidazol, thêm Vitamin tốt cho sức khỏe Vitamin B2, B3, A, C, vv. Quá trình điều trị này cần được duy trì trong khoảng 3 – 5 ngày. Quan trọng là tham khảo ý kiến và tuân thủ đúng theo hướng dẫn sử dụng thuốc từ bác sĩ nha khoa.
– Sử dụng gừng và tỏi:
Cả gừng và tỏi đều có khả năng kháng viêm và kháng khuẩn. Phương pháp này rất đơn giản, chỉ cần giã nát gừng và tỏi, sau đó kết hợp chúng và đắp lên vùng răng bị sâu. Hiệu quả của phương pháp này trên răng sẽ hơi chậm so với dùng thuốc.
– Hoa cúc:
Trong y học Đông y, hoa cúc được sử dụng để điều trị sâu răng nhẹ. Bạn ngâm 1 nắm hoa cúc vàng trong 0,5 lít rượu trong khoảng thời gian từ 7 – 10 ngày. Sau đó, phần rượu ngâm hoa cúc có thể được sử dụng để súc miệng hàng ngày. Theo thời gian, đau răng và tình trạng bệnh lý có thể giảm dần rõ rệt.
Lưu ý: những biện pháp từ thiên nhiên kể trên chỉ mang tính chất tham khảo. Bạn nên đến bệnh viện để khám và điều trị nếu tình trạng đau răng kéo dài.
Kết luận
Hy vọng những thông tin sâu răng nhẹ – nguyên nhân và cách điều trị kể trên hữu ích với bạn đọc. Liên hệ tới Thu Cúc TCI để được giải đáp mọi thắc mắc liên quan đến răng miệng bạn nha.


















