Hình ảnh ung thư dương vât biến chứng nguy hiểm
Ung thư dương vật là bệnh hiếm gặp ở nam giới nhưng lại là nỗi sợ hãi của nhiều đấng mày râu. Bệnh không chỉ ảnh hưởng đến sức khỏe, tâm lý mà còn có thể đe dọa tính mạng của người bệnh. Để hiểu rõ hơn về căn bệnh này, chúng ta cùng theo dõi các hình ảnh ung thư dương vật qua bài viết dưới đây.

Ung thư dương vật là u ác tính thường phát sinh trong rãnh quy đầu hoặc trên quy đầu. Ung thư di căn theo đường bạch huyết vào các hạch ở bẹn và sau bìu.

Bệnh thường xuất hiện ở nam giới trên 40 tuổi. Tuy nhiên hiện nay, bệnh cũng có thể gặp ở người trẻ tuổi.

Hẹp bao quy đầu, mắc các bệnh ở dương vật như viêm dương vật, khối u lành tính ở dương vật hoặc mắc các bệnh lây truyền qua đường tình dục là những yếu tố làm gia tăng nguy cơ mắc bệnh.

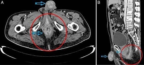
Triệu chứng của ung thư dương vật thường thay đổi theo từng giai đoạn bệnh. Hình ảnh ung thư dương vậy này cho thấy bệnh đã ở giai đoạn nặng, khối u phát triển to lên, và có thể di căn sang các vị trí khác trong cơ thể.

Để quan sát kỹ hơn hình ảnh ung thư dương vật thì ngoài thăm khám bằng tay cần phải tiến hành siêu âm. Nhiều trường hợp cần tiến hành chụp X-quang, chụp MRI/CT để xác định mức độ di căn của bệnh.

Tùy vào độ tuổi, giai đoạn bệnh cụ thể và tình trạng sức khỏe từng người, bác sĩ sẽ chỉ định phương pháp điều trị ung thư dương vật phù hợp. Phẫu thuật được cho là phương pháp điều trị chính cho các trường hợp ung thư dương vật.

Người bệnh cần tuân thủ theo đúng phác đồ điều trị của bác sĩ và tái khám sức khỏe định kỳ, kiểm tra xem còn hình ảnh ung thư dương vật hay không.

Quan hệ tình dục an toàn, thường xuyên vệ sinh sạch sẽ bộ phận sinh dục… là biện pháp giúp phòng ngừa ung thư dương vật hiệu quả.
Để biết thêm thông tin về hình ảnh ung thư dương vật, vui lòng liên hệ tổng đài 1900 55 88 92 hoặc hotline 0936 388 288 để được tư vấn kỹ lưỡng.
















