Phẫu thuật nang răng
Nang răng là loại nang thường gặp ở xương hàm. Mỗi năm, Khoa Răng-Hàm-Mặt – Hệ thống Y tế Thu Cúc TCI thực hiện thành công hàng ngàn ca nang chân răng. Với sứ mệnh mang lại nụ cười hoàn hảo cho khách hàng, TCI luôn ứng dụng những phương pháp phẫu thuật nang răng hiện đại trong điều trị để trở thành địa chỉ nha khoa tin cậy khắp cả nước.
1. Tìm hiểu chung về phẫu thuật nang răng
Nang răng là một loại nang biểu mô của xương hàm liên quan đến hiện tượng nhiễm trùng chân răng, hàm trên thường có tỷ lệ bị mắc nhiều gấp 4 lần so với hàm dưới, nhất là vùng răng cửa hàm trên.
Nang răng là một loại nang biểu mô của xương hàm liên quan đến hiện tượng nhiễm trùng chân răng
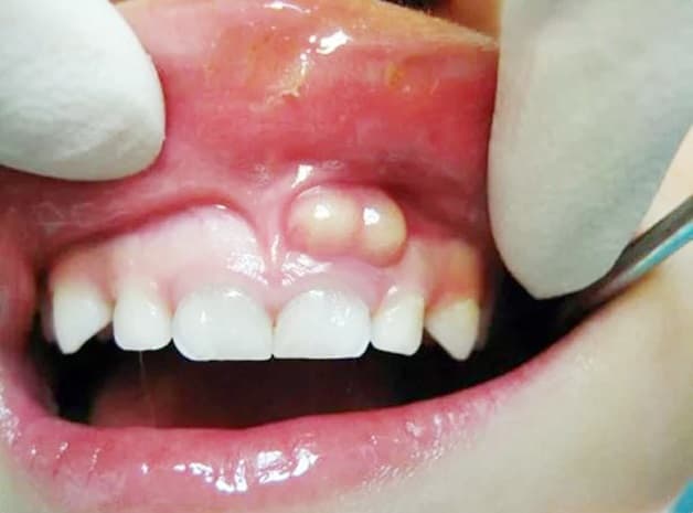
1.1 Quá trình phát triển của nang răng
Nang được phát triển từ một chiếc răng sâu sau đó gây ra hoại tử tủy. Hiện tượng nhiễm trùng sẽ gây kích thích các tế bào biểu mô còn sót lại ở chóp răng, từ đó phát triển tạo thành nang. Nang chân răng thường tiến triển chậm và không có dấu hiệu gì cho đến khi nang to dẫn đến phồng xương hoặc nang răng bị nhiễm trùng gây sưng đau.
1.2 Khi nào cần phẫu thuật nang chân răng
Khi chụp X Quang nang chân răng của bệnh nhân cho thấy hình ảnh là một vùng thấu quang có hình tròn hoặc oval và dính với một chân răng chết tủy. Kèm theo đó là các biểu hiện là:
– Răng tương ứng với nang có hiện tượng chết tủy và có lỗ sâu rộng.
– Những răng xung quanh thường nghiêng, thậm chí nếu nặng có thể bị di lệch.
– Dây chằng quanh chân răng bắt đầu giãn rộng.
– Có hiện tượng tiêu chân răng lân cận do nang răng tiến triển lâu ngày.
– Các nang ở xương hàm trên phát triển nhanh, có thể mở rộng theo nhiều hướng và trở nên không điển hình.
– Ranh giới nang trở nên không rõ ràng bởi vì có hiện tượng giãn mạch do viêm và sự tiêu xương xung quanh.
2. Phẫu thuật nang răng tại Hệ thống Y tế Thu Cúc TCI
2.1 Quy trình phẫu thuật nang răng
Trước khi phẫu thuật, bệnh nhân sẽ chụp X-quang răng cho bệnh nhân để xác định các răng bị ảnh hưởng đồng thời đánh giá tình trạng các răng này. Trong trường hợp các răng đã lung lay nhiều và tiêu xương quá 1/3 chân răng thì sẽ nhổ bỏ. Ngược lại, nếu xương ổ răng còn đủ và phần chân răng dự kiến cắt nhỏ hơn phần chân răng lọt vào trong lòng nang thì có thể giữ lại các răng đó. Các răng này thường được chữa nội nha trước khi mổ.
Trước khi phẫu thuật nang răng, bác sĩ sẽ chụp X-quang răng để xác định các răng bị ảnh hưởng đồng thời đánh giá tình trạng răng
Sau đó bác sĩ sẽ xác định kích thước bọc nang, mức độ tiêu xương và liên hệ với vùng lân cận như xoang hàm, hố mũi,… để chọn lựa phương thức điều trị phù hợp.
Các bước thực hiện phẫu thuật các nang răng bao gồm:
– Rạch niêm mạc: bác sĩ sẽ tạo một đường rạch hình thước thợ hay hình bán nguyệt ở vùng đáy hành lang, không cần tách đến tận đỉnh của xương ổ. Sau đó, tiến hành tách niêm mạc màng xương ra khỏi xương bằng cây bóc tách chuyên dụng.
– Mở xương để lộ nang: nếu phần xương phủ bên ngoài mỏng thì màng nang sẽ hiện ra ngay khi bóc tách niêm mạc. Ngược lại, nếu lớp xương dày, bác sĩ sẽ dùng mũi khoan hay đục xương để tạo thành lỗ hổng rồi dùng kìm mở rộng ra đến gần bằng đường kính của nang. Việc này sẽ tránh làm rách màng nang bên dưới. Trong trường hợp cửa sổ xương không đủ rộng, lỗ thông nhanh chóng lành sẹo, lấp kín từ đó nang sẽ tái phát trở lại.
– Mở nang: nha sĩ dùng kẹp kéo chuyên dụng để căng màng nang rồi cắt một mảnh màng nang hình bầu dục dựa theo hình cửa sổ xương vừa mở.
– Thực hiện cắt chóp răng: răng được cắt chóp ngang với đáy nang, sau đó dùng các mảnh màng nang còn lại để phủ các mặt cắt chân răng, quá trình này sẽ giúp mau lành vết thương.
– Kết thúc phẫu thuật: bác sĩ sẽ dùng mũi khoan hoặc dũa xương để làm nhẵn bờ xương, thực hiện bơm rửa kỹ lòng nang rồi mới phủ vạt niêm mạc màng xương vào ổ răng. Ở đây, bác sĩ có thể tạo một nút nhựa tự cứng đè lên phía bên ngoài, nút nhựa này thường được mài bớt dựa vào tốc độ tạo xương hoặc dùng nền hàm tháo lắp với mục đích che phủ lỗ hổng. Đến giai đoạn này, đối với các nang lớn, có phạm vi trên 3 răng, bác sĩ sẽ chừa một phần mép màng nang phía trên sau khi cắt để sau đó mới khâu viền lại với mép niêm mạc, phần còn lại của màng nang thì được khâu lộn ra ngoài với vạt niêm mạc. Còn với trường hợp nhổ răng, kỹ thuật cũng tương tự nhưng đến phần mở nang thì kéo vạt niêm mạc màng xương xuống để che phủ ổ nang và diện xương hàm càng nhiều càng tốt.
– Chăm sóc sau mổ: bệnh nhân được bác sĩ và điều dưỡng bệnh viện chăm sóc và dặn dò cẩn thận, bệnh nhân được hướng dẫn súc miệng kỹ tránh việc để đọng thức ăn vào ổ xương. Sau 10-14 ngày tái khám một lần, mài bớt nút nhựa và bỏ hẳn nút khi đáy nang đã đầy sát với miệng lỗ hổng.
2.2 Ưu điểm khi phẫu thuật nang răng tại Thu Cúc
Trải qua 9 năm hoạt động, Khoa Răng Hàm Mặt – Hệ thống Y tế Thu Cúc TCI đã trở thành địa chỉ chăm sóc và điều trị răng miệng uy tín, chất lượng cao của tất cả các khách hàng trên khắp cả nước.
Khoa Răng Hàm Mặt – Hệ thống Y tế Thu Cúc TCI đã trở thành địa chỉ điều trị răng miệng uy tín của tất cả các khách hàng trên khắp cả nước.
Khoa Răng hàm mặt thực hiện tất cả các tiểu phẫu thuật trong miệng điển hình là phẫu thuật cắt nang chân răng, nắn chỉnh răng mọc ngầm, …Đội ngũ y bác sĩ tại khoa đều là những chuyên gia có nhiều năm kinh nghiệm, được tu nghiệp chuyên sâu về tại nước ngoài, dẫn đầu trong việc cập nhật và học hỏi các công nghệ tiên tiến. Bác sĩ chuyên khoa II Nguyễn Thị Thái, bác sĩ Nguyễn Tuấn Anh đều nổi tiếng là những chuyên gia phẫu thuật trong miệng và phục hình.
Không chỉ có thế, Bệnh viện ĐKQT Thu Cúc còn hợp tác với nhiều chuyên gia trong lĩnh vực Răng Hàm Mặt cả trong và ngoài nước từ Hàn Quốc, Nhật Bản,…
Với mục tiêu xây dựng khoa Răng Hàm Mặt đạt tiêu chuẩn cao và đáp ứng đầy đủ các tiêu chuẩn của Bộ Y tế, tất cả trang thiết bị y tế đều được đầu tư nghiêm túc, nâng cấp liên tục và nhập khẩu 100% từ nước ngoài. Hệ thống trang thiết bị hiện đại này không chỉ giúp hỗ trợ chẩn đoán, điều trị chính xác, nhanh chóng mà còn đáp ứng tính không đau, đạt tiêu chuẩn vô trùng khắt khe theo đúng tiêu chuẩn quốc tế.
Không chỉ chú trọng vào đội ngũ bác sĩ, máy móc mà dịch vụ cũng là một trong những điểm mạnh tại bệnh viện ĐKQT Thu Cúc, luôn nỗ lực cải thiện ngày một chuyên nghiệp hơn để mang đến cho khách hàng trải nghiệm tốt.
Hãy liên hệ với chúng tôi qua số 1900 558892 đề được tư vấn và giải đáp tất cả thắc mắc liên quan đến các bệnh lý răng miệng.







