Điều trị bệnh lý về tủy răng
Theo thống kê, bệnh lý về tủy răng là một trong những nguyên nhân hàng đầu gây tình trạng mất răng. Tại Hệ thống Y tế Thu Cúc- TCI, việc điều trị các bệnh lý về tủy răng đã và đang được thực hiện thành công, mang lại niềm vui cho người bệnh.
1.Tủy răng – chất sống của mỗi chiếc răng
Tủy răng được coi là chất sống của răng
Tương tự như cấu tạo của xương, tủy răng là thành phần nằm trong cùng của mỗi chiếc răng, chứa rất nhiều mô liên kết bao gồm các mạch máu, bạch mạch và các dây thần kinh giúp dẫn truyền cảm giác và giúp cung cấp chất nuôi răng chắc khỏe.
Tủy răng chính là lý do tại sao chúng ta thường có cảm giác ê răng, buốt răng mỗi khi ăn đồ chua, nóng lạnh và vì sao răng có thể khỏe mạnh đến hết đời nếu được bảo vệ tốt. Cũng chính bởi tủy răng có vai trò quan trọng trong dẫn truyền thần kinh, cảm giác vùng chân răng nên khi tủy gặp vấn đề sẽ gây ra hiện tượng ê buốt. Đồng thời khi tủy răng bị mất đi, chiếc răng sẽ được coi là răng chết và mất đi phần lớn cảm giác về nhiệt độ.
Các bệnh lý về tủy răng chính là nguyên nhân gây ra các tổn thương cho mô học tủy. Tuy nhiên theo chuyên gia Răng hàm mặt BV ĐKQT Thu Cúc, các bệnh lý này phần lớn xuất phát từ các vấn đề răng miệng thông thường khác, điển hình như sâu răng. Khi răng miệng bị tấn công bới các yếu tố vi sinh vật, sang chấn, tác động lực hay nhiệt độ thay đổi đột ngột khiến lớp men răng, ngà răng bị mài mỏng hoặc rạn nứt dần gây lộ tủy răng.
– Các loại vi khuẩn, nấm gây viêm tủy và các bệnh lý viêm quanh chân răng
– Răng miệng bị nhiễm độc thông qua thức ăn, đồ uống,… như nhiễm độc thủy ngân, asen,…
– Tác động vật lý như chấn thương, ngã dẫn đến mẻ răng, lộ tủy hoặc làm đứt mạch máu nuôi răng.
– Sự thay đổi đột ngột về áp suất, nhiệt độ của môi trường khiến răng bị nứt lộ tủy.
– Điều trị nha khoa như bọc sứ, niềng răng, lấy cao răng,… sai cách khiến men răng bị mỏng
– Các yếu tố trên đều tạo nên những điều kiện thuận lợi để vi khuẩn, chất độc,… tấn công làm tổn thương tủy.
2. Bệnh lý về tủy răng
Sâu răng là nguyên nhân phổ biến dẫn đến bệnh lý về tủy răng
Theo thống kê, nhóm bệnh lý về tủy răng là nguyên nhân số 1 gây tình trạng mất răng vĩnh viễn phải nhổ bỏ. Trong đó, những bệnh lý tủy răng thường gặp là:
2.1. Viêm tủy răng cấp tính
Viêm tủy răng là bệnh lý thường gặp trong tất cả các nhóm bệnh lý về tủy răng. Viêm tủy được chia làm hai loại là viêm tủy cấp và viêm tủy mạn tính.
Với viêm tủy cấp, người bệnh thường có các triệu chứng điển hình như:
– Xuất hiện các cơn đau tự phát, thường xảy ra vào ban đêm. Bệnh nhân thường cảm nhận rõ khi trong tư thế nằm.
– Khi ăn đồ lạnh hoặc nóng cảm giác ê buốt kéo dài, đau âm ủ, lan tỏa từng cơn và thậm chí kéo tới mang tai và đầu.
– Viêm tủy cấp thường xuất hiện khi răng có lỗ sâu. Trong quá trình nhai thức ăn, không may mẩu vụn thức ăn rơi xuống đồng nghĩa với việc người bệnh sẽ trải qua cơn đau dữ dội.
Sau khi cơn đau kết thúc, người bệnh hoàn toàn làm việc bình thường. Tuy nhiên trường hợp bệnh tiến triển đến mức viêm có mủ thì những cơn đau dữ dội sẽ xuất hiện kèm theo đau giật như mạch đập, luôn có cảm giác có tiếng kêu trong tai. Các răng tại vị trí đau có xu hướng nhô nhẹ lên và có cảm giác lung lay.
2.2. Viêm tủy răng mạn tính
Khác với viêm tủy răng cấp tính, các cơn đau thường dữ đội và thường gây ra do sâu răng thì viêm tủy răng mạn tính lại bị gây ra bởi các kích thích nhẹ nhưng liên tục lên các mô tủy gây ra các cơn đau tự nhiên, âm ỉ và kéo dài hàng giờ, mức độ đau theo thời gian cũng gia tăng dần.
Khi thăm khám với bệnh nhân bị viêm tủy mạn tính, các bác sĩ sẽ chỉ ra những nốt đỏ sưng mọc giữa thân răng. Các nốt này chứa nhiều mủ và máu. Khi trám răng điều trị tủy sẽ có gây ra cảm giác đau.
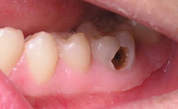
2.3. Hoại tử tủy
Hình ảnh răng bị hoại tử tủy đổi màu sạm
Hoại tử tủy răng được xem là mức độ nghiêm trọng tiếp theo sau một thời gian dài tủy bị viêm không được điều trị. Tủy hoại tử sẽ mất đi chức năng vốn có và trở thành nguồn gây viêm nhiễm tới các bộ phận tiếp theo.
Hoại tử tủy thường không có triệu chứng đau rõ ràng, hoặc các cơn đau đều đã trải qua thời gian ê buốt. Khi bị hoại tử tủy răng, các tổ chức cứng bắt đầu bị tổn thương, vùng viêm sẽ lan rộng tới chân răng.
2.4. Viêm cuống răng
Viêm cuống răng là tình trạng các mô xung quanh cuống răng. Viêm cuống răng thường là hậu quả trực tiếp của tình trạng viêm tủy không điều trị kịp thời. Khi bị viêm cuống răng, các vi khuẩn ái khi và yếm khí sẽ trực tiếp xâm nhập thông qua tủy viêm tới phần mô cuống răng, mô nha chu,… gây nên tình trạng viêm.
Khi viêm cuống răng, cơn đau lan từ vùng viêm lên tới nửa đầu và gia tăng về mức độ. Người bệnh còn thường xuyên có các triệu chứng như răng sưng nề, không thể há miệng nhai, ấn vào vùng sưng đau và có hạch. Trong nhiều trường hợp răng bị đổi màu.
3. Chớ coi thường biến chứng nguy hiểm của bệnh lý tủy răng
Các bệnh lý tủy răng thường bắt nguồn từ những nguyên nhân bệnh lý về răng miệng thông thường khác và gây nên biến chứng khôn lường. Nhiều người cho rằng, khi sâu răng, sâu hết phần tủy răng sẽ không thể bị sâu, viêm thêm được nữa và sẽ tự khỏi. Đánh giá từ việc điều trị trực tiếp cho hàng ngàn ca bệnh, chuyên gia về Răng hàm mặt của Bệnh viện ĐKQT Thu Cúc đã chỉ ra rằng, điều này là không đúng vì giữa các bộ phận luôn có sự liên kết đến nhau. Khi tủy răng bị viêm sẽ dẫn tới hoại tử, viêm quanh cuống răng, viêm lan rộng sang các răng bên cạnh,… khiến người bệnh đối mặt với nguy cơ áp xe tại chỗ, gây viêm hạch và vùng xương tủy, nguy cơ sốt cao. Không chỉ thế, bệnh lý còn gây ra các biến chứng toàn thân như đau dây thần kinh, sốt kéo dài, tăng nguy cơ mắc bệnh tim mặc, khớp, viêm thận.
4. Điều trị các bệnh lý về tủy răng tại BV ĐKQT Thu Cúc
Trang thiết bị tại phòng khám nha khoa BV ĐKQT Thu Cúc
Tại BV ĐKQT Thu Cúc, quá trình điều trị bênh lý tủy răng đã và đang ứng dụng nhiều công nghệ vượt trội trong chẩn đoán và điều trị các bệnh lý tủy răng như:
4.1. Chẩn đoán
– Công nghệ chụp tủy bằng MTA cho phép chẩn đoán và đánh giá chính xác mức độ viêm tủy. Từ đó đưa ra phương án điều trị bảo tồn hoặc loại bỏ tủy răng.
4.2. Điều trị
Với trường hợp điều trị tủy có hồi phục:
Sau khi chụp tủy bằng máy MTA, bác sĩ tiến hành chuẩn bị phần xoang hàn thông qua mũi khoan thích hợp loại bỏ tủy viêm, ngà hoại tử. Sau đó tiến hành đặt vật biệu hydroxit canxi và tiến hành phục hồi xoang hàn bằng các vật liệu cao cấp như: Composite, GIC hay Amalgam… nhằm phục hồi phần còn lại của khớp cắn
Với trường hợp điều trị tủy không phục hồi:
Tủy sẽ được loại bỏ hoàn toàn và điều trị với nguyên tắc đảm bảo vô trùng tuyệt đối bằng các công nghệ hiện đại như:
– Điều trị tủy răng sử dụng siêu âm và hàn kín hệ thống ống tủy bằng Gutta percha nguội.
– Điều trị tủy răng có sử dụng siêu âm và hàn kín hệ thống ống tủy bằng Gutta percha nóng chảy.
– Điều trị tuỷ răng có sử dụng Laser và hàn kín hệ thống ống tuỷ bằng Gutta percha nguội.
Điều trị bệnh lý về tủy răng tại Bệnh viện ĐKQT Thu Cúc
4.3. Chăm sóc sau điều trị
Chăm sóc sau điều trị là yếu tố quyết định quan trọng tới việc điều trị có thành công hay không. Tại Thu Cúc, các bệnh nhân sau khi kết thúc quá trình điều trị tủy đều không cần lưu viện mà hoàn toàn có thể tự chăm sóc tại nhà. Tuy nhiên, người bệnh cần thực hiện nghiêm túc các lời khuyên chăm sóc sau điều trị được bác sĩ đưa ra để có kết quả mĩ mãn, bao gồm:
– Chế độ ăn uống cho người vừa điều trị tủy: đảm bảo lỏng, nguội, mềm và nên ưu tiên ăn ở bên không điều trị.
– Chế độ vệ sinh răng miệng sau mỗi bữa ăn, nên dùng chỉ nha khoa để loại bỏ hoàn toàn các mảng thức ăn vùng kẽ răng, đồng thời súc miệng nhẹ nhàng để tránh tác động tới cùng răng vừa điều trị.
-Chế độ nghỉ ngơi và vận động phù hợp để phục hồi tốt hơn.
5. Vì sao người bệnh tin tưởng lựa chọn Thu Cúc
Hệ thống Y tế Thu Cúc – TCI nói chung và Bệnh viện ĐKQT Thu Cúc nói riêng đã và đang là địa chỉ tin cậy được khách hàng chọn lựa để thăm khám, điều trị và chăm sóc sức khỏe định kỳ. Có được điều này bởi:
– Đội ngũ y bác sĩ chuyên môn giỏi và giàu kinh nghiệm, luôn tận tâm với khách hàng.
– Liên tục cập nhận những tiến bộ y học mới trên thế giới để phục vụ công tác khám chữa bệnh hiệu quả.
– Cơ sở vật chất , trang thiết bị máy móc hiện đại.
– Hỗ trợ khách hàng 24/24, nhanh chóng, chính xác.
– Thủ tục thăm khám và điều trị nhanh gọn, có áp dụng BHYT và BHBL.
Tự hào là đơn vị top 3 bệnh viện tư, top 5 bệnh viện đi đầu về điểm chất lượng tại Hà Nội. Hệ thông Y tế Thu Cúc – TCI đang ngày càng khẳng định thương hiệu và niềm tin với khách hàng. Hãy gọi ngay tới tổng đài 1900 858592 để được hỗ trợ nhanh và kịp thời.







