Dấu hiệu bị viêm lợi và cách điều trị hiệu quả
Viêm lợi là bệnh lý răng miệng phổ biến và thường là hệ quả khi sâu răng nặng mà không được chữa trị hoặc do một số lý do khác. Mặc dù không gây ra những nguy cơ trực tiếp tới tính mạng của người bệnh nhưng cũng cần được phát hiện sớm để điều trị, tránh biến chứng. Các dấu hiệu bị viêm lợi cũng khá rõ ràng, người bệnh có thể dễ dàng phát hiện bất thường và đi khám sớm để việc chữa trị hiệu quả hơn và giảm sự ảnh hưởng tới sức khỏe răng miệng nói chung.
1. Bệnh viêm lợi và các giai đoạn tiến triển

Viêm lợi có thể là hệ quả của sâu răng
Viêm lợi, còn gọi là viêm nướu là một dạng bệnh tại nướu răng phổ biến. Viêm lợi là tình trạng nhiễm khuẩn tại một vị trí răng tương ứng nhất định, đôi khi là nhiều vị trí răng tương ứng. Vì một số tác nhân cụ thể nào đó khiến lợi bị tổn thương, tạo điều kiện thuận lợi để vi khuẩn có trong khoang miệng có cơ hội tấn công, xâm nhập gây ra viêm nhiễm tại đó. Bệnh có thể là biến chứng kéo theo khi bị sâu răng hoặc là một biểu hiện của bệnh viêm nha chu.
Viêm lợi răng thường đều trải qua 2 giai đoạn là viêm cục bộ và viêm cận răng
– Viêm cục bộ: Đây là giai đoạn đầu của viêm lợi. Ở giai đoạn này chân răng và những tổ chức quanh răng hầu như chưa phải chịu ảnh hưởng. Nếu được phát hiện và điều trị khi ở giai đoạn này, khả năng chữa được dứt điểm bệnh cũng sẽ cao hơn.
– Viêm cận răng: Khi viêm lợi sưng chân răng không được quan tâm điều trị đúng cách sẽ khiến cho xương hàm và vùng lợi ở phía trong cùng bị đẩy lùi ra phía sau. Từ đó tạo thành khoảng trống ở quanh răng và nơi đây trở thành chỗ lý tưởng để các mảnh vụn thức ăn kẹt vào, tạo môi trường cho vi khuẩn phát triển gây nhiễm khuẩn tại chỗ. Những chất enzyme trong cơ thể cùng độc tố tích tụ sẽ khiến cho mô liên kết răng, hàm bị phá hủy.
2. Dấu hiệu bị viêm lợi răng rất dễ nhận biết
Bệnh nướu răng có thể tiến triển mà không gây đau, tuy nhiên nếu thường xuyên kiểm tra răng miệng, người bệnh có thể dễ dàng nhận ra các dấu hiệu bằng mắt thường. Hầu hết bệnh nhân viêm lợi đều có thể nhận thấy một số dấu hiệu cơ bản sau đây:
– Chảy máu chân răng
– Chảy máu lợi trong và sau khi đánh răng
– Nướu đỏ, sưng tấy và mềm
– Hôi miệng dai dẳng hoặc cảm thấy có vị hôi, khó chịu ở trong miệng
– Tụt nướu gây lộ chân răng
– Răng lung lay hoặc dịch chuyển nhẹ
– Cảm giác răng không khớp nhau khi cắn và nhai
– Đau khi nhai
Ngoài ra ở một số dấu hiệu đặc trưng, người bệnh còn có thể xác định được tình trạng viêm nướu của mình đang ở mức độ nào, là viêm răng cục bộ hay viêm cận răng.
2.1 Dấu hiệu bị viêm lợi răng cục bộ
Ở giai đoạn viêm lợi cục bộ, thường có biểu hiện điển hình là lợi sẽ sưng lên, có màu hồng đậm hoặc đỏ, rất dễ bị chảy máu và đau nhói khi có tác động nhẹ. Tuy đây là giai đoạn đầu viêm lợi nhưng những triệu chứng của nó cũng sẽ khiến cho việc ăn uống gặp nhiều khó khăn. Người bệnh sẽ cảm thấy khó chịu, đau buốt, thậm chí là không muốn ăn.
Để chẩn đoán viêm lợi các bác sĩ thường chỉ định chụp X-Quang xương hàm và vị trí có dấu hiệu bệnh, hình ảnh vị trí và mức độ viêm lợi của bệnh nhân thường được thể hiện rõ thông qua hình ảnh Xquang. Đồng thời nha sĩ sẽ thực hiện kiểm tra trực tiếp răng miệng để phát hiện những cao răng, mảng bám tích tụ và đưa ra chẩn đoán nguyên nhân chính gây bệnh. Từ đó có việc ngăn ngừa và giảm thiểu tác nhân gây bệnh chĩnh xác sẽ giúp hiệu quả chữa bệnh tốt và nhanh chóng hơn.
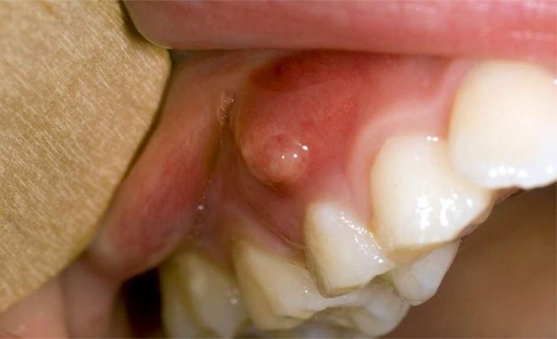
2.2 Dấu hiệu bị viêm lợi cận răng

Sưng nướu có mủ là biểu hiện của viêm cận răng
Với giai đoạn viêm cận răng, tức là khi viêm lợi đã nặng hơn, người bệnh có thể cảm thấy cơn đau nhức tại lợi thường bất chợt. Bên cạnh đó lợi lúc này sẽ sưng tấy đỏ, viêm nhiễm nặng, có thể thấy mủ, dễ chảy máu, đi kèm có thể thấy hơi thở có mùi hôi, sưng má tại vị trí tương ứng…Nếu thường xuyên gặp phải hiện tượng này, tốt nhất bạn nên tới bệnh viện để kiểm tra nướu một cách chính xác và có phương án điều trị phù hợp.
Nhiều nghiên cứu cũng chỉ ra rằng, hôi miệng là tình trạng hay gặp ở những người bị viêm lợi. Mức độ vấn đề cũng có thể từ nhẹ tới nặng tùy thuộc vào tình trạng viêm lợi của bệnh nhân. Mặc dù không gây hại cho cơ thể nhưng biểu hiện này khiến cho người bệnh rơi vào tình trạng ngại giao tiếp và mất tự tin.
Trường hợp viêm lợi lâu ngày có thể dẫn đến hiện tượng tụt lợi, làm chân răng lộ ra ngoài. Khi tình trạng viêm càng nghiêm trọng, lỗ hổng giữa lợi và răng đó sẽ ngày càng sâu, xương hàm và lợi sẽ bị phá hủy nặng nề, răng không còn nơi để bám nên rơi vào tình trạng lỏng lẻo, nguy cơ cao dẫn tới rụng răng.
3. Nguyên nhân và cơ chế gây bệnh viêm lợi
Vi khuẩn chính là tác nhân trực tiếp gây nên sự viêm nhiễm tại nướu răng. Các mảng bám trên răng chính là nơi tiềm ẩn rất nhiều vi khuẩn, nếu không vệ sinh được hết mảng bám sẽ khiến vi khuẩn cơ hội phát triển và khiến viêm nhiễm càng nặng hơn. Tuy nhiên cũng có một số trường hợp không phải viêm lợi do nguyên nhân từ mảng bám.
Cụ thể hơn, chúng ta sẽ chia nguyên nhân viêm lợi thành 2 loại: viêm lợi do mảng bám hoặc không do mảng bám.
3.1 Viêm lợi do mảng bám
Đây là nguyên nhân gây viêm lợi phổ biến nhất. Những mảng bám này tích tụ lại trên răng lâu ngày, nhất là từ những thức ăn chứa đường hoặc tinh bột sẽ trở thành môi trường thuận lợi chứa đầy thức ăn cho vi khuẩn. Đây là điều kiện phù hợp để vi khuẩn phát triển, tấn công răng miệng.
Mảng bám khi không được loại bỏ, lâu ngày sẽ hình thành nên cao răng. Khi đó việc loại bỏ những yếu tố này sẽ trở nên khó khăn hơn, và trở thành lá chắn cho vi khuẩn trú ngụ khỏi việc vệ sinh răng miệng hàng ngày của chúng ta. Chúng sẽ ngày càng dày cứng, đâm vào nướu và khiến cho đường viền nướu bị kích ứng và tình trạng viêm càng nghiêm trọng hơn.
3.2 Viêm lợi không do mảng bám
Tình trạng này có thể do những yếu tố như vi khuẩn, virus hoặc một số loại nấm gây ra. Ngoài ra yếu tố di truyền, các bệnh toàn thân như dị ứng, tiểu đường, phản ứng với các vật thể lạ như răng giả,… cũng có thể dẫn đến bệnh viêm lợi răng.
Các thói quen tốt như đánh răng ít nhất 2 lần mỗi ngày, dùng chỉ nha khoa và khám răng định kỳ có thể hỗ trợ ngăn ngừa và phần nào điều trị bệnh viêm lợi.Trong một số trường hợp, bệnh viêm lợi có thể không phát triển thành bệnh nha chu và bệnh sẽ phục hồi tốt nếu được vệ sinh răng miệng đầy đủ. Tuy nhiên các trường hợp này rất ít, hầu như nếu không điều trị, viêm nướu sẽ dẫn đến tình trạng nặng hơn là viêm nha chu, với biến chứng gây phá hủy mô và tiêu xương xung quanh răng bệnh, cuối cùng là dẫn đến rụng răng, mất răng.
4. Nha khoa điều trị viêm lợi bằng cách nào?
Bệnh nhân viêm lợi nên đến nha khoa để được điều trị đúng cách
– Lấy cao răng: Việc loại bỏ cao răng (nếu có) là điều các nha sĩ đều sẽ chỉ định khi đi khám. Việc này sẽ giúp loại bỏ ổ vi khuẩn cũ như tác nhân gây nên bệnh viêm lợi vì nguyên nhân chính của viêm lợi quanh chân răng hầu hết đều do mảng bám tích tụ lâu ngày hình thành cao răng.

Lấy cao răng là bước đầu trong điều trị viêm lợi
– Kê thuốc kháng sinh: Với trường hợp viêm lợi mức độ nhẹ, bác sĩ sẽ chỉ định sử dụng thuốc kháng sinh để tiêu diệt vi khuẩn. Tùy vào từng triệu chứng và tình trạng bệnh mà bác sĩ sẽ lựa chọn loại thuốc phù hợp cho từng bệnh nhân.
– Thuốc giảm đau: Với tình trạng viêm lợi đã tiến triển nặng, việc dùng thuốc giảm đau là không thể thiếu. Nó sẽ giúp bạn loại bỏ cơn đau nhức, ngủ ngon và ăn uống ngon hơn trong những bữa ăn.
– Thuốc kháng viêm: Thuốc kháng viêm sẽ giúp đẩy nhanh tốc độ phản ứng hóa học. Nhờ đó việc giảm triệu chứng phù nề, sưng tấy đỏ dưới lợi cũng diễn ra tốt hơn.
Cần lưu ý, ngay cả khi không nhận thấy bất cứ dấu hiệu bị viêm lợi rõ rệt nào, người bệnh cũng có thể đã bị viêm lợi theo một mức độ nào đó. Chỉ có nha sĩ mới có thể xác định chính xác được sự tiến triển của viêm nướu răng. Do đó, để kiểm soát tốt sức khỏe răng miệng, tránh để tình trạng viêm lợi nặng rồi mới điều trị, chúng ta nên đi khám định kỳ 2 lần mỗi năm.