Viêm nướu và những điều cần biết
Viêm nướu là một bệnh khá thông thường và phổ biến hiện nay. Mặc dù vậy nhiều người vẫn chủ quan xem thường chứng bệnh này mà không biết rằng viêm lợi có thể gây ra nhiều biến chứng nguy hiểm.
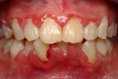
Viêm nướu là gì?
Nguyên nhân gây bệnh nướu là do vi khuẩn ở trong mảng bám hoặc cao răng tồn tại lâu trong miệng.
Lợi có nhiệm vụ bảo vệ, che chở và giữ cho chân răng được chắc chắn. Bệnh nướu là một hình thức rất phổ biến và là giai đoạn bệnh nhẹ của nha chu. Nguyên nhân gây bệnh nướu là do vi khuẩn ở trong mảng bám hoặc cao răng tồn tại lâu trong miệng. Nướu của người bệnh bị sưng, đỏ, dễ chảy máu, đặc biệt là khi chải răng, tổ chức chân răng lỏng, dễ chảy máu, kèm hôi miệng, người bệnh có cảm giác đau hoặc ngứa căng lợi răng.
Viêm nướu là một phần bình thường của quá trình lão hóa?
Không. Viêm nướu không phải là một phần của quá trình lão hóa. Mọi người có thể làm giảm nguy cơ mắc bệnh viêm nướu khi có tuổi bằng cách vệ sinh răng miệng thường xuyên và thăm khám răng miệng định kỳ.
Điều gì sẽ xảy ra nếu viêm nướu không được điều trị?
Nếu không điều trị viêm nướu kéo dài sẽ dẫn đến tình trạng phá hủy mô và gây viêm nha chu, cuối cùng gây mất răng. Nha chu và sức khỏe răng miệng kém nói chung cũng có thể ảnh hưởng đến sức khỏe tổng thể. Nghiên cứu liên kết chỉ rõ nha chu làm tăng nguy cơ đau tim, đột quỵ hoặc bệnh phổi.
Các yếu tố nguy cơ dẫn tới viêm nướu là gì?
Hút thuốc lá là một trong những yếu tố nguy cơ quan trọng nhất liên quan đến sự phát triển của bệnh nướu.
- Hút thuốc lá là một trong những yếu tố nguy cơ quan trọng nhất liên quan đến sự phát triển của bệnh nướu răng và thậm chí có thể làm giảm cơ hội điều trị thành công.
- Thay đổi nội tiết ở phụ nữ có thể làm cho lợi trở nên nhạy cảm hơn, tạo điều kiện để viêm nướu phát triển.
- Nghiên cứu chỉ ra rằng có sự gia tăng đáng kể bệnh về nướu/lợi ở những người bị bệnh đái tháo đường, thêm vào đó bệnh nha chu nặng được đưa vào danh sách những biến chứng đi kèm với bệnh đái tháo đường như đau tim, đột quỵ và bệnh về thận.
- Các bệnh như ung thư hay AIDS và phương pháp điều trị của những bệnh này cũng có thể ảnh hưởng tới tình trạng của nướu.
- Nhiều loại thuốc tự kê đơn có thể làm giảm dòng chảy nước bọt, có tác dụng bảo vệ răng miệng. Nếu không có nước bọt bảo vệ, răng dễ mắc các bệnh như bệnh nướu. Bên cạnh đó một số loại thuốc có thể gây ra sự phát triển bất thường quá mức của các mô nướu răng, dẫn tới tình trạng rất khó để giữ cho răng và nướu sạch sẽ.
- Một số người dễ bị bệnh về nướu nghiêm trọng do bản chất di truyền.
Có cách nào để ngăn chặn viêm nướu không?
Có, chúng ta có thể ngăn ngừa viêm nướu bằng cách vệ sinh răng miệng đúng cách và khám răng định kỳ. Cụ thể:
- Nên đánh răng 2 lần/ngày với kem đánh răng có chứa fluoride.
- Sử dụng chỉ nha khoa để loại bỏ các mảng bám giữa các răng.
- Khám răng định kỳ.
- Không hút thuốc
- Ăn một chế độ ăn uống căn bằng, lành mạnh.
Làm thế nào là chẩn đoán viêm nướu răng?
Nha sĩ sẽ hỏi về bệnh sử của người bệnh để xác định xem có bất kỳ điều kiện hoặc yếu tố nguy cơ nào chẳng hạn như hút thuốc lá có thể góp phần gây bệnh nướu răng.
Nha sĩ cũng sẽ kiểm tra nướu để quan sát xem có bất cứ dấu hiệu viêm nào không. Trong một số trường hợp, nha sĩ sẽ dùng một dụng cụ gọi là cây trâm thám để đo độ sâu của túi nha chu. Ở những người có răng nướu khỏe mạnh, túi này thường có kích thước từ 1 – 3 mm. Người bệnh cũng có thể được yêu cầu chụp X quang để kiểm tra xem liệu tình trạng mất xương đã xảy ra hay chưa, tình trạng răng và các mô hỗ trợ.
Viêm nướu được điều trị như thế nào?
Nếu không điều trị viêm nướu kéo dài sẽ dẫn đến tình trạng phá hủy mô và gây viêm nha chu, cuối cùng gây mất răng, do đó cần đi khám ngay khi có các dấu hiệu nghi ngờ viêm lợi.
Phương pháp điều trị có thể bao gồm làm sạch sâu, thuốc, phẫu thuật, ghép xương hoặc các mô.
Điều trị làm sạch sâu là gì?
Phương pháp làm sạch sâu (hay còn gọi là nạo túi lợi), thủ thuật không phẫu thuật này giúp bác sỹ vệ sinh bề mặt chân răng và lợi ở dưới sâu. Lượng lớn vi khuẩn và cao răng tích tụ dưới lợi được lấy bỏ sau khi gây tê vùng. Số buổi làm sạch tùy thuộc vào mức độ nghiêm trọng của tình trạng bệnh nướu và số lượng răng bị ảnh hưởng. Để có được kết quả hoàn hảo, nha sĩ sẽ dùng dung dịch sát khuẩn để rửa túi lợi trong quá trình làm sạch sâu.
Loại thuốc nào có thể được dùng để điều trị viêm nướu?
Một số loại thuốc có thể được sử dụng với phương pháp điều trị nạo túi lợi. Tùy thuộc vào mức độ tiến triển của bệnh, nha sĩ có thể đề nghị điều trị phẫu thuật. Các nghiên cứu dài hạn đang được tiến hành để tìm hiểu xem liệu sử dụng có làm giảm nguy cơ phẫu thuật và có hiệu quả lâu dài hay không.


















