Tư vấn cách loại bỏ mảng bám trên răng hiệu quả
Loại bỏ mảng bám trên răng không chỉ giúp hàm răng trắng đẹp như mong đợi, mà còn là cách cần thiết để phòng tránh tình trạng cao răng và các bệnh lý răng miệng. Do đó, cần có cho mình phương pháp loại bỏ cac mảng bám trên răng hiệu quả cũng như xây dựng thói quen phù hợp để ngăn ngừa tình trạng mảng bám răng.
1. Vấn đề mảng bám răng
Mảng bám trên răng là một lớp màng không màu hoặc có màu hơi ngà vàng tồn tại trên bề mặt răng do sự kết hợp giữa nước bọt, thức ăn còn sót lại và vi khuẩn trong khoang miệng. Mảng bám là tình trạng rất phổ biến, đồng thời, có thể là nguyên nhân dẫn đến nhiều vấn đề nha khoa nếu không được xử lý đúng cách và kịp thời.

Mảng bám trên răng có thể gây nhiều nguy hại
1.1. Mảng bám trên răng hình thành do nhiều nguyên nhân
Vệ sinh răng miệng không điều độ là nguyên nhân chủ yếu gây nên hiện tượng mảng bám răng. Các mảnh thức ăn sau khi vào miệng, bị giữ lại trên răng, trong kẽ răng, trên mặt lưỡi kết hợp với vi khuẩn và nước bọt tạo nên mảng bám trên răng. Và nếu tiếp tục vấn đề vệ sinh kém, các mảng bám này sẽ cứng lại, vôi hóa, tạo thành cao răng.
Một số người vệ sinh răng miệng nhưng làm sạch không toàn diện cũng là vấn đề khiến mảng bám trên răng xuất hiện và không hết. Đặc biệt, việc vệ sinh kém ở khu vực kẽ răng hoặc mặt sau của răng rất thường bị bỏ quên hoặc thực hiện không toàn diện, khiến khu vực bên trong của răng thường xỉn màu hơn so với bên mặt ngoài.
Vấn đề ăn uống cũng là một trong những nguyên nhân khiến răng dễ có mảng bám. Việc sử dụng thường xuyên các loại đồ đậm vị như đồ ngọt, đồ chua, đồ uống đậm màu hoặc các chất tạo màu rất dễ khiến răng xuất hiện mảng bám. Ngoài ra, việc ăn uống thiếu chất khiến răng yếu, bào mòn cũng là một nguyên nhân khiến cho vấn đề mảng bám dễ xảy ra hơn.
Một trong những nguyên nhân quan trọng khiến răng ố vàng chính là vấn đề hút thuốc, Thuốc lá là nguyên nhân số một dẫn đến răng có mảng bám và cao răng nhanh chóng hơn. Bên cạnh đó, một số chất kích thích khác cũng làm tăng nguy cơ mảng bám.
1.2. Một số tác hại từ vấn đề mảng bám trên răng
Vấn đề mảng bám được coi như bước khởi đầu để hình thành các bệnh lý về răng miệng nên cần hết sức cảnh giác. Một số hệ quả trực tiếp từ vấn đề mảng bám trên răng có thể kể đến như:
1.2.1. Tình trạng hôi miệng và mất thẩm mỹ do răng xỉn màu
Mảng bám trên răng tích tụ thức ăn thừa và vi khuẩn, dễ dẫn đến hôi miệng. Các mảng bám lâu ngày dần dần sẽ chuyển sang màu ngà và vàng trông mất thẩm mỹ. Do đó, mảng bám ảnh hưởng khá lớn đến vấn đề thẩm mỹ của mỗi người.

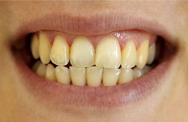
Ảnh thực về mảng bám trên răng
1.2.2. Tình trạng sâu răng
Mảng bám trên răng là lớp màng chứa nhiều vi khuẩn. Đây cũng là môi trường khiến tốc độ phát triển của vi khuẩn sinh sôi nhanh chóng hơn. Chúng kết hợp cùng thức ăn thừa tạo thành axit ăn mòn men răng, phá vỡ men răng và sau đó là sự hình thành các lỗ sâu răng.
1.2.3. Bệnh viêm nha chu
Mảng bám có thể gây kích ứng nướu quanh chân răng, dẫn đến tình trạng sưng, đỏ, chảy máu nướu, viêm nướu, viêm nha chu,…
1.2.4. Hình thành cao răng
Các mảng bám không được vệ sinh kết hợp với chất cặn muối vô cơ tạo nên các thành cứ chắc là cao răng. Cao răng bám chặt vào chân răng và là nguyên nhân dẫn đến hàng loạt các vấn đề như hôi miệng, chảy máu chân răng, viêm chân răng,… Điều đáng lưu ý là, cao răng không thể dễ dàng loại bỏ bằng vấn đề vệ sinh. Muốn loại bỏ cao răng, cần đến các cơ sở y khoa có dụng cụ chuyên dụng và nha sĩ kinh nghiệm để thực hiện kỹ thuật lấy cao răng. Do đó, việc ngăn ngừa mảng bám hình thành cao răng là công tác cần thiết để bảo vệ sức khỏe răng miệng của bạn.

Việc lấy cao răng cần đến các dụng cụ chuyên dụng và nha khoa có tay nghề
2. Cách cần thiết để loại bỏ mảng bám ở trên răng hiệu quả
Để loại bỏ các mảng bám trên răng, cần kết hợp giữa việc tự giác phòng tránh cũng như chăm sóc răng miệng tại các cơ sở nha khoa đúng cách.
2.1. Tự phòng và loại bỏ mảng bám tại nhà
Thực hiện phòng và đẩy lùi mảng bám trên răng bằng các các hoạt động như:
– Vệ sinh răng miệng điều độ và đúng cách như: ngày đánh răng sáng tối mỗi lượt ít nhất 2 phút với kem đánh răng có flour và bàn chải ông mềm, kết hợp đánh răng và chỉ nha khoa, cạo lưỡi và nước súc miệng, có thể sử dụng bàn chải điện, máy tăm nước để thực hiện vệ sinh răng lợi hiệu quả hơn.
– Chỉ nha khoa hoặc máy tăm nước sẽ giúp loại bỏ mảng bám kẽ răng tốt hơn so với hình thức đánh răng thông thường.
– Không nên đánh răng quá nhiều lần trong ngày, dễ hỏng men răng. Bạn cũng không nên ăn ngay sau khi đánh răng.
– Ăn uống hằng ngày với chế độ nhiều rau củ, trái cây tươi giàu vitamin và các đồ ăn nhiều canxi, không nên sử dụng đồ nhiều đường hoặc thực phẩm chứa nhiều tinh bột.
– Tránh hút thuốc. Với những người thích cà phê hay các đồ uống có màu, có ga, nên uống nước lọc hoặc súc miệng sau khi uống các đồ này.
2.2. Khám và chăm sóc nha khoa theo định kỳ
Việc chăm sóc nha khoa định kỳ sẽ giúp bạn được thăm khám sức khỏe răng miệng đầy đủ cũng như được chăm sóc, làm sạch răng miệng cơ bản, làm sạch vấn đề mảng bám. Những trường hợp mảng bám vôi hóa thành cao răng, cần nên đi lấy cao răng sớm và thực hiện điều trị khi có vấn đề về răng miệng, bởi cao răng có thể gây nhiều vấn đề cho sức khỏe răng miệng. Nên khám nha khoa là lấy cao răng 3 – 6 tháng một lần.
Như vậy, việc loại bỏ mảng bám trên răng muốn hiệu quả tốt, cần bạn thực hiện điều độ và đúng cách vấn đề vệ sinh răng miệng. Nên kết hợp với vấn đề ăn uống đúng cách, hạn chế các đồ uống có ga và các chất kích thích. Bên cạnh đó, nên chăm sóc nha khoa định kỳ để luôn kiểm soát tốt, an tâm vấn đề sức khỏe răng hàm mặt và được hướng dẫn những hình thức chăm sóc răng miệng của bản thân.