Cấp cứu:0901793122
English
Bệnh viện đa khoa Quốc Tế Thucuc | Hệ thống y tế TCI Hospital
Chăm sóc sức khoẻ trọn đời cho bạn
Tổng đài1900558892
chụp X-quang tim phổi thẳng

chụp X-quang tim phổi thẳng

Trang chủ/chụp X-quang tim phổi thẳng
Tìm hiểu về phương pháp chẩn đoán hình ảnh X quang tim

Tìm hiểu về phương pháp chẩn đoán hình ảnh X quang tim

Có rất nhiều phương pháp chẩn đoán hình ảnh giúp xác định các bệnh lý về tim mạch như: siêu âm, chụp CT, MRI, chụp mạch máu… Trong đó, chẩn đoán hình ảnh X quang tim là một trong những phương pháp sử dụng tia X để đánh giá tổn thương tim mạch được áp […]
Chụp X quang phổi bao nhiêu tiền? Cần lưu ý những gì?

Chụp X quang phổi bao nhiêu tiền? Cần lưu ý những gì?

Chụp X quang phổi là một chẩn đoán hình ảnh quan trọng để chẩn đoán các bệnh lý về phổi. Vậy chụp X quang cùng phổi bao nhiêu tiền và cần lưu ý những gì? Bài viết dưới đây sẽ giúp bạn giải đáp cụ thể. 1. Vai trò chụp X quang trong chẩn đoán […]
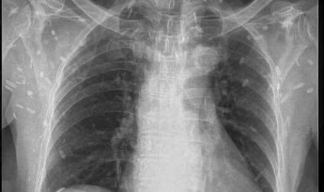
Chụp X-quang tim phổi thẳng phát hiện sớm những bất thường

Chụp X-quang tim phổi thẳng phát hiện sớm những bất thường

Chụp X-quang tim phổi thẳng là một trong những phương pháp giúp phát hiện sớm những bất thường ở tim, phổi và các cơ quan lân cận. Đây là một phương pháp được ứng dụng rộng rãi trong việc chẩn đoán hình ảnh, tìm ra những bất ổn để kịp thời xử lý. Chụp X-quang (ray) […]
Ca hiến tim phổi ‘thần kỳ’ cứu người cách TP HCM

Ca hiến tim phổi ‘thần kỳ’ cứu người cách TP HCM

Người hiến tặng chết não, khối tim phổi đã khẩn cấp được đưa bằng máy bay vượt hơn 1.000 km từ Bệnh viện Chợ Rẫy TP HCM ra Bệnh viện Trung ương Huế để kịp thời ghép cho một bệnh nhân suy tim phổi. Ca hiến tim phổi ‘thần kỳ’ cứu người cách TP HCM […]
1900558892
zaloChat