Cấp cứu:0901793122
English
Bệnh viện đa khoa Quốc Tế Thucuc | Hệ thống y tế TCI Hospital
Chăm sóc sức khoẻ trọn đời cho bạn
Tổng đài1900558892
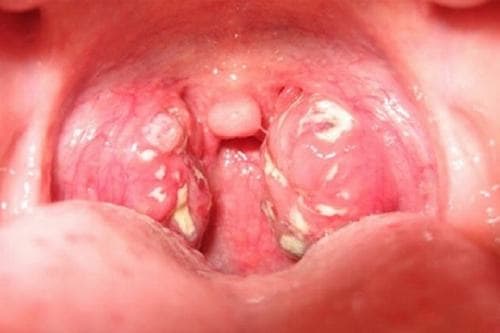
áp xe amidan

áp xe amidan

Trang chủ/áp xe amidan
Amidan bị sưng là bệnh gì? Và cách khắc phục

Amidan bị sưng là bệnh gì? Và cách khắc phục

Amidan bị sưng có thể là dấu hiệu cảnh báo của các bệnh lý nguy hiểm như viêm amidan, ung thư amidan… Vì thế bạn cần trang bị cho mình biện pháp khắc phục. 1. Tìm hiểu amidan bị sưng là bệnh gì và nguyên nhân, triệu chứng đi kèm Amidan là bộ phận thuộc […]
Viêm áp-xe amidan – Biến chứng chớ coi thường

Viêm áp-xe amidan – Biến chứng chớ coi thường

Viêm amidan là bệnh lý hô hấp thông thường và phổ biến, nhưng nếu không được điều trị sớm và đúng cách sẽ dẫn tới viêm áp-xe amidan cùng nhiều hệ quả nghiêm trọng. Vậy hiểu và làm thế nào để ngừa bệnh lý này đúng cách? 1. Tổng quan về viêm áp-xe quanh amidan […]
Dấu hiệu áp xe amidan không thể bỏ qua, bạn nên biết

Dấu hiệu áp xe amidan không thể bỏ qua, bạn nên biết

Áp xe amidan là biến chứng từ bệnh viêm amidan không điều trị triệt để. Thường xuất hiện ở trẻ em và thanh thiếu niên, vào thời điểm chuyển mùa và thời tiết thay đổi. Vậy dấu hiệu áp xe amidan gồm những gì, tìm hiểu ngay trong bài viết này để nắm rõ hơn […]
Áp xe amidan: Biến chứng nguy hiểm của viêm amidan 

Áp xe amidan: Biến chứng nguy hiểm của viêm amidan 

Áp xe amiđan là một biến chứng tại chỗ, do viêm amiđan cấp tính hoặc mạn tính đợt cấp, không được điều trị kịp thời hoặc do độc tố của vi khuẩn quá mạnh, đề kháng với các biện pháp điều trị, làm lan tràn ổ viêm vào tổ chức liên kết xung quanh. Ápxe […]
Phương pháp điều trị áp xe quanh amidan

Phương pháp điều trị áp xe quanh amidan

Áp xe quanh amidan còn gọi là hiện tượng viêm quanh amidan. Đây là tình trạng vô cùng nguy hiểm bởi không điều trị kịp thời sẽ gây ra nhiều tình trạng nguy hiểm. Vậy làm thế nào để phát hiện sớm, việc điều trị áp xe quanh amidan như thế nào? 1. Hiện tượng […]
Thực hiện trích dẫn lưu áp – xe amidan tại Bệnh viện Thu Cúc

Thực hiện trích dẫn lưu áp – xe amidan tại Bệnh viện Thu Cúc

Thực hiện trích dẫn lưu áp – xe amidan tại Bệnh viện Thu Cúc sẽ nhanh chóng thoát khỏi các triệu chứng khó chịu, ngăn chặn các biến chứng nguy hiểm, phục hồi nhanh chóng sau phẫu thuật nhờ đội ngũ bác sĩ giỏi, trang thiết bị y tế hiện đại. Bằng thao tác nhẹ […]
Bệnh ap-xe amidan là gì? sức khỏe người bệnh.

Bệnh ap-xe amidan là gì? sức khỏe người bệnh.

Áp-xe amidan là một trong những bệnh lý về amidan nguy hiểm, cần được điều trị kịp thời. Bệnh cần được điều trị sớm để tránh gây ảnh hưởng xấu đến sức khỏe người bệnh. Vì sao amidan lại bị áp-xe? Nguyên nhân gây áp-xe amidan là do tình trạng viêm amidan cấp có mủ […]
Tình trạng áp xe quanh amidan có nguy hiểm không?

Tình trạng áp xe quanh amidan có nguy hiểm không?

Một trong những vấn đề mà nhiều người quan tâm và băn khoăn khi tới thăm khám tại TCI chính là áp xe quanh amidan có nguy hiểm không? Cùng tìm hiểu chi tiết hơn về tình trạng này ngay trong bài viết sau đây nhé! 1. Về bệnh áp xe amidan Viêm amidan là […]
Nguyên nhân gây áp-xe quanh amidan

Nguyên nhân gây áp-xe quanh amidan

Áp-xe quanh amidan thường gặp ở trẻ lớn và người lớn. Tuy nhiên nguyên nhân gây áp xe quanh amidan do đâu thì nhiều người còn không biết. Bài viết dưới đây sẽ cung cấp thêm cho độc giả hiểu rõ hơn về căn bệnh này. Nguyên nhân gây áp-xe quanh amidan Nguyên nhân hay gặp của […]
1900558892
zaloChat