Siêu âm sàng lọc tuần 12 có thực sự cần thiết?
Kiểm tra bằng siêu âm là phương pháp vô cùng an toàn kể cả ở trong giai đoạn đầu của thai kỳ. Đây là một công cụ không thể thiếu nhằm phát hiện dị tật ở thai nhi hay nguy cơ với thai kỳ. Trong một thai kỳ thì tuần thai thứ 12 được xem là một dấu mốc rất quan trọng, vậy siêu âm sàng lọc tuần 12 có chức năng nhiệm vụ gì và mẹ bầu có thực sự cần thiết phải thực hiện hay không?
1. Vì sao mẹ bầu cần siêu âm sàng lọc tuần 12?
12 tuần tuổi là giai đoạn mà thai nhi đã bước sang thời kỳ an toàn, nguy cơ sảy thai tự nhiên dường không còn nữa. Mắt, ngón chân, ngón tay đã được hình thành, cơ quan sinh dục đã được phân tách và tổng thể thai nhi đã có hình dạng con người. Đặc biệt, đây cũng chính là thời điểm mà số lượng của tế bào thần kinh và khớp thần kinh nhân lên nhanh chóng bên trong não bộ của thai nhi. Từ tuần 12 đến tuần 18 là khoảng thời gian quan trọng nhất đối với sự phát triển não bộ.
Siêu âm sàng lọc tuần 12 là một bước vô cùng cần thiết mà mẹ bầu bắt buộc phải thực hiện. Bởi vì, một số dị tật đã bắt đầu được phát hiện ở thời điểm này. Theo các chuyên gia y tế đã nhận định rằng, đây là thời điểm rất quan trọng để đo chính xác độ mờ da gáy cũng như tính toán nguy cơ mắc phải hội chứng Down ở thai nhi. Chỉ duy nhất vào giai đoạn này mới có thể đo độ mờ da gáy chính xác và có ý nghĩa chẩn đoán dị tật. Nếu sau 13 tuần 6 ngày mới thực hiện kết quả sẽ không còn nhiều giá trị nữa.
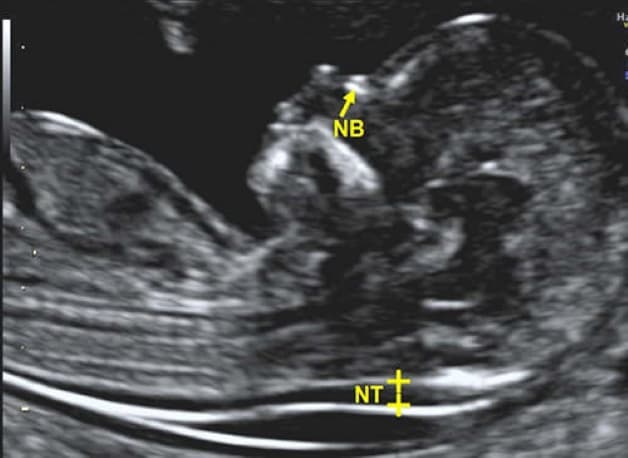
12 tuần là giai đoạn có ý nghĩa chẩn đoán dị tật thai nhi
2. Các phương pháp sàng lọc tuần thứ 12
Bên cạnh việc siêu âm thì vào lần khám thai thứ 12 này, người mẹ sẽ cần phải thực hiện thêm xét nghiệm để phục vụ cho quá trình theo dõi sự phát triển của thai nhi cũng như người mẹ. Bởi bắt đầu từ thời điểm này, thai kỳ đã bắt đầu ổn định mà mẹ có thể trở lại những hoạt động bình thường như tập những môn thể thao nhẹ nhàng mà bình thường vẫn hay tập. Hơn thế nữa, cơ thể của mẹ cũng bắt đầu tăng cân. Tuy nhiên, sự tăng cân ổn định rất quan trọng đối với mẹ và bé cũng như ảnh hưởng đến việc sinh thường hay sinh mổ sau này. Cho nên, trong lần khám thai này thì ngoài việc sàng lọc mẹ có thể sẽ được bác sĩ tư vấn kỹ hơn về chế độ dinh dưỡng cũng như luyện tập.
2.1 Siêu âm sàng lọc dị tật bẩm sinh
Kỹ thuật siêu âm được sử dụng để thực hiện vào tuần thai thứ 12 này nhằm mục đích phát hiện hội chứng Down, ngoài ra siêu âm còn có khả năng phát hiện được em bé có bị dị dạng cơ hoành hay không.
Siêu âm nhằm kiểm tra độ mờ da gáy là phương pháp tốt nhất giúp phát hiện sớm các bệnh do nhiễm sắc thể gây nên, điển hình là hội chứng Down. Vì vậy, loại kiểm tra này hiện đang được sử dụng rất nhiều ở các bệnh viện cũng như phòng khám.
Từ kết quả siêu âm sàng lọc tuần 12 thu được, nếu như độ mờ da gáy lớn hơn 3mm thì yêu cầu người mẹ cần tiến hành thêm xét nghiệm nước ối. Khi mà thai nhi mắc phải hội chứng Down thì tuyến nước bọt sẽ bị tắc, dịch ứ đọng lại và làm cho lớp da gáy dày hơn so với bình thường. Khoảng mờ da gáy bình thường là từ 1-1,5 mm. Khi càng dày hơn 3mm thì khả năng bị dị tật càng cao và cần phải tiến hành chi tiết hơn để giúp bác sĩ đưa ra được kết luận chính xác nhất.
Dựa vào siêu âm bác sĩ sẽ đo được độ mờ da gáy của thai nhi
2.2 Xét nghiệm Double test
Cùng với siêu âm thì xét nghiệm Double test góp phần giúp bác sĩ đánh giá được tỉ lệ mắc phải hội chứng Down ở thai nhi. Phương pháp này được tiến hành bằng cách kiểm tra định lượng β-hCG tự do và PAPP-A , đây là hai chất có trong máu của mẹ bầu ở thời kỳ mang thai. Hai chỉ số hóa sinh này được tiết ra bởi nhau thai, thay đổi trong quá trình mang thai.
Các chỉ số này sau đó sẽ được đưa vào tính toán cùng với độ mờ da gáy (NT), chiều dài đầu mông (CRL) của thai nhi và cùng một số thông số khác bằng phần mềm chuyên dụng để giúp quy ra hệ số Corr.MOM và nguy cơ của thai nhi đối với bệnh, chính là tạo thành combined test.
Cùng với siêu âm sàng lọc tuần 12, Double test được thực hiện nhằm mục tiêu xác định sự bất thường trong quá trình phát triển NST của thai nhi. Bất kỳ sự bất thường nào cũng có khả năng dẫn đến tình trạng sức khỏe bị nghiêm trọng, ảnh hưởng đến sự tăng trưởng của thai nhi hay thậm chí kéo dài cả đời của đứa trẻ khi được sinh ra. Double test giúp bác sĩ phát hiện được các dấu hiệu của một số bệnh bất thường nhiễm sắc thể tam bội như là : Hội chứng Down (Trisomy 21), Edwards (Trisomy 18) và Patau (Trisomy 13).
Double test là một dạng xét nghiệm không xâm lấn, an toàn với sức khỏe thai nhi
3. Mẹ bầu có những thay đổi gì vào tuần thai thứ 12?
– Có nhiều triệu chứng ở thời kỳ đầu mang thai như mệt mỏi vào buổi sáng và đi tiểu nhiều có xu hướng giảm đi hoặc biến mất sau 12 tuần mang thai. Trong khi đó lưu lượng máu tuần hoàn tiếp tục tăng lên trong suốt thời gian mang thai. Sau tuần thứ 12 của thai kỳ, lưu lượng máu có thể không tăng nhanh như trong các tuần trước đó, tim của mẹ có thể đã điều chỉnh để phù hợp với tình trạng tăng lưu lượng tuần hoàn máu và giờ đây đã có thể bơm máu nhanh hơn.
– Hai bầu ngực của mẹ có thể sẽ không còn căng tức nhiều như vài tuần trước đó, tuy nhiên vẫn có cảm giác bị căng.
– Kích thước vùng bụng bắt đầu to hơn, lúc này mẹ đã ra dáng một bà bầu rồi đó. Tử cung của mẹ tiếp tục phình to hơn vừa trong khung chậu.
– Vào tuần thứ 12 của thai kỳ, có thể mẹ sẽ tăng cân khoảng 1 đến 2.5 kg, tuy nhiên con số này có thể khác nhau ở từng người.
– Chứng táo bón bắt đầu xuất hiện vì hệ tiêu hóa của mẹ đang hoạt động chậm lại. Điều này mang lại nhiều lợi ích tích cực dành cho bé vì cơ thể của mẹ có nhiều thời gian hơn để hấp thu các dưỡng chất cần thiết có trong thức ăn, ruột già cũng hấp thu nhiều nước hơn trong thời gian mang thai và điều này làm cho phân cứng hơn.
Kích thước vùng bụng của mẹ bầu khi đến giai đoạn 12 tuần sẽ bắt đầu to hơn và người ngoài sẽ dễ dàng nhận biết được mẹ đang mang bầu
Có thể thấy rằng, siêu âm sàng lọc tuần 12 được xem là nhiệm vụ tất yếu mà mẹ bầu bắt buộc phải thực hiện theo đúng chỉ định của bác sĩ, để đưa ra được kết quả độ mờ da gáy chính xác nhất. Đây cũng chính là tuần cuối cùng của tam cá nguyệt thứ nhất, cho nên mẹ bầu cần đặc biệt chú ý giai đoạn này. Hiện nay, Hệ thống Y tế Thu Cúc TCI đang là một trong những cơ sở y tế uy tín được rất nhiều mẹ bầu trên cả nước tin tưởng lựa chọn để thực hiện các phương pháp sàng lọc trước sinh. Thu Cúc TCI quy tụ đội ngũ bác sĩ Sản khoa đầu ngành với 30-40 kinh nghiệm cùng với hệ thống thiết bị máy móc hiện đại như là: máy siêu âm 5d, hệ thống xét nghiệm bằng Robot tự động sẽ giúp mẹ bầu đạt được hiệu quả cao trong thăm khám. Bên cạnh đó, Thu Cúc TCI còn tích hợp sẵn nhiều phương pháp sàng lọc trước sinh trong dịch vụ thai sản trọn gói để thuận tiện hơn cho mẹ bầu trong theo dõi thai kỳ.
































