Cấp cứu:0901793122
English
Bệnh Viện Đa Khoa Quốc Tế Thu Cúc | TCI Hospital
Chăm sóc sức khoẻ trọn đời cho bạn
Tổng đài1900558892
Răng hàm mặt

Răng hàm mặt

Trang chủ/Sống khỏe/Răng hàm mặt
Răng bị vôi hóa: Nguyên nhân và cách điều trị hiệu quả

Răng bị vôi hóa: Nguyên nhân và cách điều trị hiệu quả

Răng bị vôi hóa là một vấn đề phổ biến ảnh hưởng đến sức khỏe răng miệng của nhiều người. Tình trạng này không chỉ gây mất thẩm mỹ mà còn có thể dẫn đến các biến chứng nghiêm trọng nếu không được điều trị kịp thời. Trong bài viết này, chúng ta sẽ tìm […]
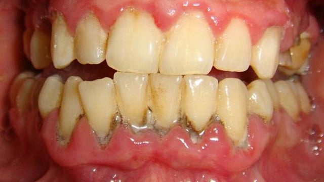
Bị vôi răng – Nguyên nhân, tác hại và cách phòng ngừa

Bị vôi răng – Nguyên nhân, tác hại và cách phòng ngừa

Tình trạng bị vôi răng là điều khá quen thuộc với chúng ta, đặc biệt là khi những sai lầm trong vệ sinh răng miệng vẫn diễn ra rất phổ biến. Vậy, điều gì khiến răng bị vôi hóa, điều này liệu có nguy hiểm không và làm thế nào để phòng ngừa trường hợp […]
Thuốc bôi trị viêm nướu răng – Cách sử dụng an toàn, hiệu quả

Thuốc bôi trị viêm nướu răng – Cách sử dụng an toàn, hiệu quả

Tình trạng viêm nướu răng có thể được điều trị nhanh chóng khi phát hiện sớm và sử dụng thuốc bôi trị viêm nướu răng đúng cách, kịp thời. Tuy nhiên, không phải ai cũng làm được điều đó, để rồi tình trạng viêm nướu nặng nề hơn. Hãy cùng TCI khám phá những điều […]
Niềng răng hô hàm trên – Những thông tin cần thiết

Niềng răng hô hàm trên – Những thông tin cần thiết

Niềng răng hô hàm trên giúp chúng ta không những chỉnh lại khớp hàm, mà còn cải thiện đáng kể về vấn đề thẩm mỹ. Vậy, niềng răng hô hàm trên là gì, khi nào áp dụng, thực hiện bằng phương pháp nào và những vấn đề liên quan? Hãy cùng tìm hiểu về vấn […]
Hình ảnh niềng răng trước và sau khi thực hiện

Hình ảnh niềng răng trước và sau khi thực hiện

Để đánh giá quá trình niềng răng, những hình ảnh niềng răng trước và sau khi thực hiện là căn cứ cần thiết. Nhờ đó, bạn có thể tham khảo, lựa chọn cho mình phương pháp niềng phù hợp . Hãy cùng TCI tham khảo bài viết dưới đây để nhìn nhận rõ nét sự […]
Những thông tin liên quan đến lấy vôi răng bao nhiêu tiền

Những thông tin liên quan đến lấy vôi răng bao nhiêu tiền

Vôi răng là một vấn đề phổ biến mà nhiều người gặp phải trong quá trình chăm sóc răng miệng. Việc tích tụ vôi răng không chỉ ảnh hưởng đến thẩm mỹ mà còn có thể gây ra các vấn đề sức khỏe răng miệng nghiêm trọng nếu không được điều trị kịp thời. Nhiều […]
Trồng răng implant bao nhiêu tiền: Chi phí và điều cần biết

Trồng răng implant bao nhiêu tiền: Chi phí và điều cần biết

Trồng răng implant là một phương pháp phục hình răng hiện đại, giúp khôi phục chức năng và thẩm mỹ cho hàm răng bị mất. Mặc dù vậy, nhiều người vẫn băn khoăn về mức giá của phương pháp này. Bài viết sau đây sẽ giải đáp câu hỏi “Trồng răng implant bao nhiêu tiền?” […]
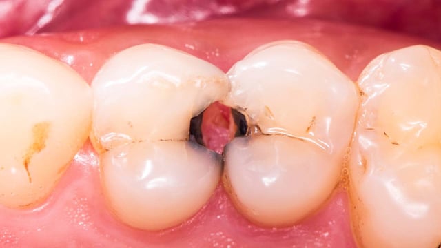
Hàn răng mẻ hết bao nhiêu tiền và những điều cần biết

Hàn răng mẻ hết bao nhiêu tiền và những điều cần biết

Răng mẻ là một vấn đề phổ biến mà nhiều người gặp phải. Nó không chỉ ảnh hưởng đến thẩm mỹ mà còn có thể gây ra những khó chịu khi ăn uống. Hàn răng mẻ là phương pháp điều trị hiệu quả để khắc phục tình trạng này. Tuy nhiên, nhiều người vẫn còn […]
Giải đáp: Hàn trám răng giá bao nhiêu cho những ai cần

Giải đáp: Hàn trám răng giá bao nhiêu cho những ai cần

Hàn trám răng là một trong những phương pháp phổ biến nhất để điều trị sâu răng và khôi phục chức năng cũng như thẩm mỹ cho răng bị tổn thương. Mặc dù vậy, không phải ai cũng biết đầy đủ các thông tin về mức giá của dịch vụ này. Bài viết sau đây […]
Niềng răng giá rẻ và những điều cần lưu ý

Niềng răng giá rẻ và những điều cần lưu ý

Niềng răng là một trong những phương pháp phổ biến để cải thiện hàm răng, giúp chúng trở nên đều đặn và hài hòa hơn. Tuy nhiên, chi phí cho việc niềng răng thường khá cao, khiến nhiều người e ngại. Bài viết này sẽ cung cấp thông tin về các lựa chọn niềng răng […]
Tìm hiểu chi tiết về lấy cao răng bao tiền và quy trình

Tìm hiểu chi tiết về lấy cao răng bao tiền và quy trình

Ngày nay, chăm sóc răng miệng không phải chỉ là đánh răng hay súc miệng mà còn bao gồm nhiều quy trình chuyên sâu khác, trong đó lấy cao răng là một bước quan trọng. Cao răng không chỉ làm mất đi vẻ đẹp tự nhiên của răng mà còn là nguyên nhân gây ra […]
Giải đáp các thắc mắc liên quan đến vấn đề lấy vôi răng

Giải đáp các thắc mắc liên quan đến vấn đề lấy vôi răng

Lấy vôi răng là việc làm mà các bác sĩ nha khoa khuyên bạn nên thực hiện hằng kỳ để phòng tránh các bệnh lý răng miệng. Tuy nhiên, rất nhiều người trong chúng ta chưa hiểu thực sự về vấn đề này. Bài viết dưới đây sẽ giúp bạn hiểu hơn về việc lấy […]
Bảng giá trồng răng Implant: Phân tích chuyên sâu và cập nhật

Bảng giá trồng răng Implant: Phân tích chuyên sâu và cập nhật

Trồng răng Implant được coi là một trong những phương pháp hiện đại và hiệu quả để phục hình răng. Tuy nhiên, nhiều người vẫn còn e ngại về chi phí khi lựa chọn phương pháp này. Bài viết sau đây sẽ cung cấp cho bạn bảng giá trồng răng Implant chi tiết và cập […]
Những thông tin về việc trồng răng implant ở đâu tốt

Những thông tin về việc trồng răng implant ở đâu tốt

Mất răng không chỉ ảnh hưởng đến thẩm mỹ khuôn mặt mà còn gây ra nhiều khó khăn trong việc ăn nhai hàng ngày. Trồng răng Implant là phương pháp phục hình răng hiện đại và ưu việt, giúp khôi phục lại hàm răng hoàn chỉnh cả về chức năng lẫn thẩm mỹ. Tuy nhiên, […]
Điều trị tủy răng giá cả và những điều cần biết

Điều trị tủy răng giá cả và những điều cần biết

Điều trị tủy răng là một trong những phương pháp quan trọng giúp bảo vệ và duy trì răng khi tủy răng bị tổn thương hoặc nhiễm trùng. Để có được kết quả điều trị tốt nhất, việc lựa chọn một địa chỉ nha khoa uy tín và nắm rõ về giá điều trị tủy […]
Giá điều trị tủy răng sữa: Chi phí và những điều cần biết

Giá điều trị tủy răng sữa: Chi phí và những điều cần biết

Răng sữa đóng vai trò quan trọng trong sự phát triển của trẻ trong việc ăn nhai, phát âm và thẩm mỹ. Khi răng sữa bị tổn thương nặng, điều trị tủy là phương pháp hiệu quả để bảo tồn răng. Tuy nhiên, nhiều phụ huynh lo lắng về giá điều trị tủy răng sữa. […]
1900558892
zaloChat