Viêm lợi và viêm nha chu: Phân biệt và cách chữa
Viêm lợi và viêm nha chu đều là những bệnh lý về răng miệng khá phổ biến. Trong đó, viêm lợi là tình trạng viêm mức độ nhẹ, còn viêm nha chu là bệnh lý nghiêm trọng hơn. Vậy viêm lợi và viêm nha chu: phân biệt và cách chữa như thế nào? Cùng Thu Cúc TCI tìm hiểu ngay về 2 bệnh lý này dưới đây nhé.
1. Tìm hiểu về 2 bệnh lý viêm lợi và viêm nha chu
Viêm lợi (hay còn gọi là viêm nướu răng) và viêm nha chu là hai bệnh lý phổ biến trong lĩnh vực nha khoa. Đối với viêm lợi, tình trạng này thường xuất phát từ viêm nhiễm mô nướu quanh răng. Trái lại, viêm nha chu biểu hiện mức độ nghiêm trọng hơn. Bởi nó tác động không chỉ lên mô nướu mà còn lan tỏa đến các thành phần khác như dây chằng nha chu, xương ổ răng.
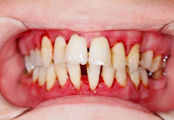
Tình trạng viêm lợi có thể coi như một giai đoạn ban đầu của viêm nha chu. Bởi vì vi khuẩn ban đầu tập trung trong mô nướu có thể phát triển mạnh mẽ và sau đó lan rộng. Điều này gây hại cho cả hệ thống xung quanh răng như dây chằng, nha chu và xương ổ răng. Mối liên hệ giữa hai tình trạng này thể hiện sự liên quan chặt chẽ, song các triệu chứng thường không rõ ràng. Vì thế làm cho việc phân biệt chúng trở nên khó khăn.
Tình trạng viêm lợi có thể coi như một giai đoạn ban đầu của viêm nha chu (minh họa)
Để xác định chính xác tình trạng bệnh lý và lập kế hoạch điều trị phù hợp, phải phân biệt được viêm lợi và viêm nha chu. Dưới đây là một số đặc điểm riêng biệt giữa hai tình trạng này.
2. Phân biệt viêm lợi và viêm nha chu theo triệu chứng
Dấu hiệu nhận thấy của viêm lợi và viêm nha chu dựa trên tình trạng của nướu và thân răng. Nướu khỏe mạnh thường có màu hồng san hô và mềm mịn. Tuy nhiên, khi xuất hiện bệnh, nướu sẽ trải qua những biến đổi đáng chú ý:
2.1 Viêm nướu:
Dấu hiệu chính của viêm nướu là sưng, đỏ, nhạy cảm và chảy máu nướu. Tình trạng chảy máu nướu có thể xuất hiện khi đánh răng hoặc thậm chí tự phát. Mặc dù viêm nướu ít gây đau đớn, nhưng nó có thể dẫn đến sự tụt nướu. Điều này khiến cho răng trở nên dài hơn và nhạy cảm hơn đối với các chất kích thích.
2.2 Viêm nha chu:
Tương tự như viêm nướu, viêm nha chu gây đỏ và chảy máu nướu. Tình trạng này có thể dẫn đến răng nhạy cảm và thân răng bị tụt ra, lở loét nướu và hôi miệng. Trong giai đoạn viêm, mô nướu sẽ bị tách ra khỏi thân răng. Từ đó tạo thành những khe hở được gọi là túi nha chu. Vấn đề trở nên nghiêm trọng hơn khi bệnh gây ảnh hưởng đến xương bao quanh răng. Thậm chí làm cho răng trở nên lung lay và khiến cho bệnh nhân đau khi ăn nhai. Có những trường hợp nặng, còn có thể dẫn đến tình trạng chảy mủ.
3. Phân biệt viêm nướu và viêm nha chu theo nguyên nhân
Viêm lợi không quá nguy hiểm nhưng nó có thể lan tỏa đến các phần khác của mô nha chu – bao gồm cả mô mềm và xương đảm nhận vai trò neo giữ cho răng. Dẫn đến khả năng phá hủy các cấu trúc nha chu khác nhau. Theo thuật ngữ y học chỉ tình trạng này là “viêm nha chu”. Theo thời gian, viêm nha chu có thể dẫn đến tình trạng lung lay và thậm chí là mất răng. Nguyên nhân chính của viêm nướu thường là do tình trạng vệ sinh răng miệng không tốt.
3.1 Với viêm nướu
Nguyên nhân chính gây ra viêm nướu liên quan đến mảng bám, quá trình này diễn ra như sau:
– Mảng bám bắt đầu có trên bề mặt răng
Mảng bám là một tầng màng mỏng được hình thành bởi vi khuẩn, mặc dù khó nhận biết. Đặc biệt, mảng bám thường tập trung ở vùng cổ răng gần nướu. Mảng bám có thể bị loại bỏ dễ dàng thông qua việc đánh răng đúng cách. Đúng hơn, vệ sinh răng miệng sẽ giảm nguy cơ viêm nướu và viêm nha chu.
– Mảng bám dần chuyển thành mảng vôi răng
Theo thời gian, mảng bám cứng lại và chuyển hóa thành mảng vôi răng, tập trung ở nướu. Mảng vôi răng khó loại bỏ nên cần đến sự can thiệp của nha sĩ.
– Nướu bắt đầu trong tình trạng viêm
Khi mảng vôi răng tồn tại quá lâu, chúng sẽ kích thích nướu kéo dẫn đến viêm nướu. Từ đó làm cho tình trạng nướu sưng và dễ chảy máu. Nếu không được xử lý kịp thời, viêm nướu có thể phát triển thành viêm nha chu.
3.1 Với viêm nha chu
Viêm nướu vẫn có thể hồi phục, nhưng nếu kéo dài có thể tiến triển thành viêm nha chu. Theo thời gian dài, túi nha chu sẽ dần sâu xuống, có thể đạt đến độ sâu 1cm. Tại vùng răng viêm này, vi khuẩn bắt đầu phát triển mạnh.
Răng bình thường so với răng bị viêm nha chu (minh họa)
Đánh răng thông thường không loại bỏ triệt hạ vi khuẩn trong túi nha chu. Vôi răng ở những vị trí này cần được loại bỏ bởi chuyên gia nha khoa. Càng sâu túi nha chu, hệ vi khuẩn càng lan rộng, xâm nhập thậm chí sâu vào gốc chân răng. Sự kết hợp giữa vi khuẩn và vôi răng trong túi nha chu càng thúc đẩy tình trạng viêm nha chu lan rộng. Trong quá trình viêm nha chu, mô mềm và xương bị tấn công và phá hủy. Trong trường hợp nghiêm trọng, viêm nha chu có thể gây suy yếu xương, răng tự rụng. Điều đó có nghĩa là viêm nha chu thường không thể hoàn toàn hồi phục.
4. Cách chữa 2 bệnh lý viêm nướu và viêm nha chu
4.1 Cách chữa bệnh viêm lợi (viêm nướu)
– Loại bỏ cặn vôi răng:
Khi cặn vôi được loại bỏ, sự hiện diện của vi khuẩn trong mô nướu giảm đáng kể. Từ đó mô nướu có khả năng tự phục hồi và tái tạo hoàn toàn.
– Dùng thuốc kháng sinh:
Bên cạnh việc loại bỏ cặn vôi, các chuyên gia có thể đề xuất việc sử dụng thuốc. Mục đích để kiểm soát tình trạng viêm và hỗ trợ quá trình phục hồi của mô nướu.
– Tuân thủ vệ sinh răng miệng đúng và đều đặn:
Song song với các biện pháp y tế, việc duy trì vệ sinh răng miệng đúng cách là cực kỳ quan trọng. Bởi không chỉ để kiểm soát mà còn ngăn ngừa viêm nhiễm mô nướu tái phát.
Với sự chăm sóc và điều trị đúng cách, tình trạng viêm nướu răng có thể cải thiện đáng kể chỉ sau vài tuần. Tuy nhiên, việc bỏ qua sự chăm sóc thường xuyên có thể dẫn đến tình trạng trầm trọng. Đặc biệt gây ra viêm nha chu và các biến chứng nghiêm trọng khác.
4.2 Cách chữa bệnh viêm nha chu:
– Xử lý cặn vôi và xem xét mặt gốc răng:
Tương tự việc điều trị viêm nướu răng, viêm nha chu xuất phát từ sự hình thành cặn bám và vôi trên răng. Do đó, một phần quan trọng trong quá trình chữa trị là loại bỏ cặn vôi tích tụ tại khu vực chân răng.
– Cố định răng:
Khi nướu bị tổn thương nghiêm trọng, răng thường có nguy cơ lung lay. Để tránh sự rơi rụng và gãy, bác sĩ kết hợp việc loại bỏ cặn vôi và cố định răng.
– Thực hiện các phẫu thuật để nạo túi nha:
Theo thời gian, các khuôn túi nha chu, chứa chất dịch và mủ hình thành. Lúc này, bác sĩ sẽ thực hiện phẫu thuật nạo túi nha. Mục đích để kích thích mô nướu phục hồi, gắn kết với chân răng và ngăn chặn nguy cơ mất răng.
Bác sĩ thực hiện phẫu thuật nạo túi nha (minh họa)
– Phẫu thuật ghép các xương và mô nướu:
Mục tiêu là phục hồi cấu trúc nha chu và gắn chặt răng vào hàm. Điều này giúp bảo vệ răng và ngăn ngừa tình trạng răng bị mất hoặc hư hại.
– Phương pháp điều trị khác:
Ngoài những phương pháp đã nêu, việc điều trị viêm nha chu còn gồm: sử dụng thuốc, vệ sinh răng miệng và các biện pháp khác.
Quá trình chữa trị viêm nha chu thường kéo dài trong vài tháng. Thậm chí việc khôi phục mô nha chu 100% thường là khó khăn. Vì thế, người mắc bệnh cần tham gia chủ động vào các liệu pháp duy trì và phòng ngừa để hạn chế nguy cơ tái phát.
Hy vọng những thông tin về phân biệt và cách chữa viêm nha chu với viêm lợi hữu ích cho bạn đọc. Mọi câu hỏi liên quan sẽ được giải đáp chi tiết khi bạn liên hệ tới Thu Cúc TCI nha.


















