Viêm lợi tụt lợi: Dấu hiệu, nguyên nhân và cách điều trị
Viêm lợi tụt lợi là trạng thái lợi bị viêm, dần yếu đi, mất liên kết với chân răng và bị co lại làm lộ chân răng ra ngoài. Không chỉ gây mất thẩm mỹ, hiện tượng này còn gây ê buốt răng, đau nhức lợi và ảnh hưởng cuộc sống. Nếu để kéo dài, tụt chân răng có thể gây biến chứng nguy hiểm. Cùng Thu Cúc TCI tìm hiểu dấu hiệu, nguyên nhân và cách điều trị bệnh tụt lợi qua bài viết dưới đây nhé.
1. Tìm hiểu về vấn đề viêm lợi tụt lợi
Viêm lợi tụt lợi xảy ra khi nướu bị rút lại, làm cho phần chân răng bị lộ ra quá nhiều. Thường thì người trưởng thành, đặc biệt là trên 40 tuổi, sẽ hay gặp tình trạng này. Tuy nhiên, việc tụt lợi cũng có thể xảy ra ở người trẻ do ảnh hưởng của nhiều yếu tố.
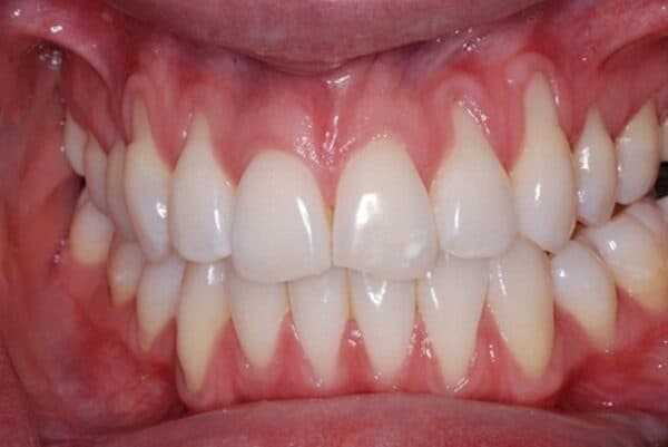
Phần chân răng lộ nhiều, khó khăn khi cười và ảnh hưởng đến việc giao tiếp (minh họa).
Khi bệnh viêm lợi mới bắt đầu, thường không có nhiều dấu hiệu rõ ràng, dẫn đến khó phát hiện và điều trị kịp thời. Nếu không được chữa trị từ sớm, tình trạng tụt lợi sẽ ngày càng trở nên nghiêm trọng. Cụ thể gây ra đau đớn ở lợi, chân răng, hàm và có thể dẫn đến ê buốt. Thậm chí răng lung lay kéo theo nguy cơ mất răng vĩnh viễn.
Không chỉ vậy, tình trạng tụt lợi còn gây khó chịu do ảnh hưởng đến ngoại hình. Răng bị tụt lợi khiến phần chân răng lộ nhiều, khó khăn khi cười, ảnh hưởng đến việc ăn uống và giao tiếp.
2. Dấu hiệu sớm nhận ra lợi bị viêm và tụt
Các dấu hiệu để bạn sớm nhận ra tình trạng tụt lợi gồm:
– Sau khi thực hiện vệ sinh răng và chỉ nha khoa, bạn có thể thấy chân răng bắt đầu chảy máu.
– Nướu răng sẽ trở nên sưng đỏ và có thể bạn cảm nhận thấy đau nhẹ.
– Hơi thở không dễ chịu, có mùi hôi của tình trạng viêm lợi phổ biến.
– Tình trạng tụt lợi thường xuất hiện ở phần đỉnh của chân răng, làm cho phần chân răng lộ ra ngoài.
– Trong quá trình ăn uống, bạn có thể gặp khó khăn và hơi nhói đau nhẹ.
– Khi bạn sờ vào hoặc nhai, bạn có thể cảm thấy răng bị lung lay.
3. Viêm lợi dẫn đến tụt lợi thường do nguyên nhân nào?
Tình trạng tụt lợi có thể xuất phát từ việc bị viêm nướu và nguyên nhân chính dẫn đến vấn đề này có thể được liệt kê như sau:
– Tụt lợi do bệnh nha chu: là nguyên nhân không hiếm gặp. Các vi khuẩn có hại trong căn bệnh này có khả năng phá hủy các mô nướu theo thời gian. Từ đó, dẫn đến tình trạng nướu co rút lại, chân răng bị lộ.
– Vệ sinh răng miệng kém (hoặc sai cách): diễn ra khá nhiều ở cả trẻ em và người lớn. Cách làm vệ sinh răng miệng qua loa có thể dẫn đến sự tích tụ của mảng bám và cao răng. Điều này lại góp phần tạo điều kiện cho viêm nha chu và tụt lợi phát triển.
Tình trạng tụt lợi có thể xuất phát từ việc bị viêm nướu (minh họa).
– Tác động mạnh lên răng: bao gồm cả lúc nhai và lúc đánh răng. Việc sử dụng bàn chải răng lông cứng hoặc chải quá mạnh có thể làm phần nướu tổn thương. Về lâu dài khiến nướu viêm và làm tăng nguy cơ mắc các bệnh răng miệng khác.
– Mọc răng không đúng vị trí: gồm mọc lệch, mọc ngầm. Việc răng mọc không đúng vị trí, gây lệch khớp cắn có thể gây ra tình trạng viêm lợi.
4. Hậu quả viêm lợi tụt lợi có thể bạn chưa biết
Tình trạng viêm lợi tụt lợi gây nhiều hậu quả nghiêm trọng về thẩm mỹ và sức khỏe tổng thể. Cụ thể:
4.1 Sự nhạy cảm và dễ tổn thương của răng:
Viêm lợi dẫn đến việc lộ phần chân răng mà không có lớp vỏ bảo vệ. Điều này làm cho các khu vực này trở nên nhạy cảm và dễ bị tổn thương, gây ra cảm giác ê buốt.
4.2 Tăng nguy cơ vi khuẩn gây sâu răng:
Khi bị viêm lợi tụt lợi, thức ăn dư thừa cùng vi khuẩn sẽ dễ dàng bám vào phần chân răng. Nếu không điều trị kịp thời, tụt lợi sẽ có thể góp phần làm tăng nguy cơ sâu răng.
4.3 Ảnh hưởng đến mặt thẩm mỹ:
Lợi bị tụt làm cho nướu bị co rút và lộ chân ra ngoài khiến người bệnh tự ti. Tổng thể, răng trở nên dài hơn, ảnh hưởng đáng kể đến nụ cười của người bệnh.
4.4 Gây mất răng cố định vĩnh viễn
Một số trường hợp nghiêm trọng, răng lung lay kéo dài không được chữa trị có thể bị gãy rụng hàng loạt.
5. Cách điều trị dứt điểm viêm lợi tụt lợi
Trong tình trạng viêm lợi tụt chân răng đã tiến triển nghiêm trọng, bệnh nhân cần đến bệnh viện để được khám và điều trị sớm.
5.1 Tình huống khi lợi chưa tụt hẳn, chưa ê buốt
Trong trường hợp này, thực hiện việc làm sạch khu vực bị viêm, loại bỏ mảng bám, tạo môi trường mịn màng để hạn chế sự phát triển của vi khuẩn. Thêm vào đó, bệnh nhân sẽ phải dùng các loại thuốc do bác sĩ kê đơn để giảm đau. Đồng thời uống thuốc để loại bỏ vi khuẩn còn sót lại ở nướu.
Tình huống khi lợi chưa tụt hẳn, chưa ê buốt (minh họa).
5.2 Khi lợi bị tụt, răng lung lay và gây đau đớn
Trong trường hợp này, quá trình điều trị sẽ phức tạp hơn, bác sĩ sẽ áp dụng các biện pháp sau:
Thực hiện nạo nha chu:
Tình trạng lợi tụt khiến việc ăn uống trở nên khó khăn, nướu bị chảy máu, sưng đỏ và viêm. Quá trình nạo nha chu sẽ tiến hành để tiêu diệt sâu trong các vi khuẩn có hại. Từ đó giảm thiểu túi nướu bị viêm. Một bước tiếp theo sẽ là khâu mô nướu tại vị trí ở trên gốc răng.
Thực hiện ghép mô nướu:
Nếu răng tụt mất khỏi nướu, thì phương pháp ghép mô nướu có thể được áp dụng. Thủ thuật này giúp khôi phục hình dáng ban đầu của nướu và ngăn chặn tái phát triệu chứng.
Tiến hành cấy ghép răng:
Trong trường hợp nặng, khi mô xương đang đỡ răng bị phá hủy, sẽ phải cấy ghép răng. Điều này được thực hiện để khôi phục mô và xương. Quá trình này liên quan đến việc bọc và gấp lại mô nướu, tiêu diệt vi khuẩn gây viêm. Tuy nhiên, phương pháp này sẽ được lựa chọn tùy thuộc vào từng trường hợp cụ thể của bệnh nhân.
Hy vọng những thông tin về dấu hiệu, nguyên nhân và cách điều trị viêm lợi tụt lợi hữu ích với bạn đọc. Bên cạnh đó, bạn nên chú ý duy trì thói quen vệ sinh răng miệng đúng cách và đều đặn. Nếu nghi ngờ lợi bị viêm và tụt dần cần tới gặp bác sĩ nha khoa ngay để xử lý sớm.


















