Từ hình ảnh viêm nha chu, nhận biết triệu chứng và điều trị kịp thời
Viêm nha chu là bệnh lý có thể gặp ở mọi lứa tuổi. Bài viết hôm nay sẽ mang đến những hình ảnh viêm nha chu để bạn có thể nhận biết sớm những dấu hiệu của bệnh lý này, thăm khám và điều trị kịp thời để không gây ra những biến chứng nghiêm trọng.
1. Viêm nha chu là bệnh gì?
Viêm nha chu (bệnh nha chu) xuất hiện khi tổ chức xung quanh răng bị viêm. Viêm nha chu được chia thành 2 giai đoạn: viêm lợi (xuất hiện ở tuổi dậy thì) và viêm nha chu (viêm lợi không được điều trị dẫn đến viêm nha chu ở tiểu thiếu niên và lớn tuổi).
Viêm nha chu (bệnh nha chu) xuất hiện khi tổ chức xung quanh răng bị viêm
2. Các giai đoạn của bệnh viêm nha chu
2.1 Giai đoạn 1
Do vệ sinh không sạch sẽ nên cao răng và vôi răng hình thành. Đây là môi trường lý tưởng để vi khuẩn tích tụ, gây nên hiện tượng viêm nhiễm và bệnh lý viêm lợi xuất hiện.
2.2 Giai đoạn 2
Viêm lợi khiến cho lợi bị sưng phồng, tấy đỏ và chảy máu. Thêm đó vào, người bệnh sẽ mất tự tin khi giao tiếp vì hơi thở có mùi hôi.
2.3 Giai đoạn 3
Nếu không điều trị kịp thời thì viêm lợi sẽ dẫn đến viêm nha chu. Viêm nha chu chính là lúc những ổ vi khuẩn chứa mủ hình thành ở nướu.
2.4 Giai đoạn 4
Viêm nha chu sẽ khiến cho những ổ răng bị phá hủy xương, lợi bị tụt. Thêm vào đó, răng sẽ bị lung lay và người bệnh dễ bị mất răng.
3. Nguyên nhân của viêm nha chu
Viêm nha chu hình thành do một số nguyên nhân như:
– Vệ sinh răng miệng không sạch sẽ, dẫn đến vi khuẩn có điều kiện hình thành ở trong khoang miệng.
– Chế độ ăn uống không khoa học và hợp lý.
– Người bệnh bị suy giảm sức đề kháng do mắc bệnh lý.
– Người bệnh đang mang thai.
– Thường xuyên hút thuốc lá.
– Người bệnh mắc một số bệnh lý như đái tháo đường, nhiễm trùng…
4. Dấu hiệu viêm nha chu
Một số dấu hiệu của bệnh lý viêm nha chu đặc trưng có thể kể đến như:
– Nhìn thấy vôi răng, cao răng đóng mảng ở cổ răng.
– Nướu, lợi bị sưng và chảy máu.
– Khi ấn vào vùng lợi, nướu bị sưng sẽ có dịch mủ chảy ra.
– Miệng có mùi hôi khó chịu..
– Răng không chắc chắn và dễ bị lung lay.
– Răng bị di lệch và giữa các răng hình thành khoảng cách.
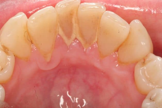
5. Hình ảnh viêm nha chu
Cao răng đóng thành mảng ở cổ răng
Phần lợi bị sưng phồng và chảy máu
Do lợi bị tụt nên giữa các răng hình thành khoảng cách
6. Điều trị viêm nha chu
6.1 Điều trị viêm nha chu khẩn cấp
Khi khối áp xe ở vùng nướu xuất hiện hoặc lớp niêm mạc bị viêm, sờ vào ổ áp xe bạn sẽ có cảm giác đau, lớp niêm mạc sưng đỏ thì cần tiến hành điều trị khẩn cấp viêm nha chu. Bạn không nên chủ quan tự điều trị mà cần đến thăm khám tại các cơ sở y tế uy tín. Bác sĩ sẽ chỉ định dùng thuốc kháng sinh và chống viêm. Tuy nhiên, việc dùng thuốc chỉ là phương pháp tạm thời, bệnh có thể tiến triển thành mạn tính và theo chu kỳ tái phát cấp tính.
6.2 Điều trị viêm nha chu không phẫu thuật
Tùy vào tình trạng viêm nha chu của người bệnh, bác sĩ sẽ tiến hành:
– Bôi thuốc chống viêm đồng thời sát khuẩn vùng nướu, lợi đã bị sưng, viêm.
– Lấy cao răng cho bệnh nhân.
– Kiểm tra các miếng hàn răng của bệnh nhân. Phục hình lại những răng đã thực hiện không đúng kỹ thuật hoặc chỉ hàn tạm thời.
– Cố định lại những răng bị lung lay.
– Nhổ đi những răng đã xác định không giữ lại được.
6.3 Điều trị viêm nha chu bằng phẫu thuật
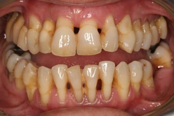
Nếu đã thực hiện các phương pháp trên nhưng tình trạng viêm nha chu không thuyên giảm. bác sĩ sẽ tiến hành phẫu thuật:
– Loại bỏ túi nha chu: Túi nha chu sẽ được làm giảm kích thước để việc làm sạch các mảng bám trên răng của bệnh nhân được dễ dàng hơn.
– Phẫu thuật tái tạo: Bác sĩ tiến hành phẫu thuật với mục đích tái tạo lại phần mô và xương nha chu.
– Ghép mô mềm: Khi người bệnh bị viêm nha chu, phần lợi sẽ tụt xuống và chân răng lộ ra. Chính vì vậy, bác sĩ sẽ thực hiện phẫu thuật ghép mô mềm để hạn chế tình trạng tụt lợi, phục hồi tổ chức xung quanh răng. Phẫu thuật này có thể thực hiện ở một hoăc nhiều răng, giúp giảm ê buốt, đảm bảo tính thẩm mỹ cho đường viền nướu.
Nếu đã thực hiện các phương pháp trên nhưng tình trạng viêm nha chu không thuyên giảm. bác sĩ sẽ tiến hành phẫu thuật
6.4 Điều trị duy trì viêm nha chu
Khi bệnh viêm nha chu đã ổn định, cần thực hiện điều trị duy trì. Người bệnh cần thăm khám định kỳ, thường xuyên để có thể phát hiện được sớm bệnh, phòng trường hợp bệnh tái phát và tiến triển nặng hơn.
Bài viết trên của chúng tôi đã mang đến những thông tin hữu ích về bệnh lý viêm nha chu, đặc biệt mang đến những hình ảnh viêm nha chu trực quan để người bệnh có thể nhận biết bệnh và thăm khám kịp thời tại các cơ sở nha khoa uy tín.


















