Tình trạng răng mọc ngược, mối nguy hại của sức khỏe răng miệng
Trên thực tế có rất nhiều trường hợp hàm răng mọc không đồng đều, không theo khuôn mẫu. Một trong những trường hợp gây phiền toái, mất cân đối gương mặt nhất với người bệnh chính là tình trạng răng mọc ngược. Không chỉ vậy, răng mọc ngược nếu không được xử lý kịp thời có thể kéo theo những ảnh hưởng về sức khỏe.
1. Tổng quan về tình trạng răng mọc ngược
1.1 Thế nào là tình trạng răng mọc ngược?
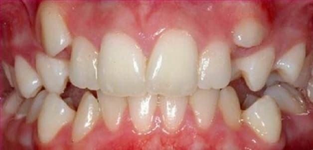
Có 2 loại răng mọc ngược chính là răng mọc ngược 1, 2 cái và ngược nguyên một hàm
Răng mọc ngược hay còn được gọi là răng mọc trên lợi. Đây là tình trạng răng mọc không đồng đều, hàm răng bị lệch lạc. Hiện tượng này không giống với những hiện tượng răng mọc lệch thông thường. Răng sẽ mọc ngược về phía trên lợi, không mọc đúng vị trí dẫn tới cơ hàm bị sai lệch và trượt khỏi khớp nhai.
Thông thường, có 2 kiểu răng mọc ngược chính:
– Răng mọc ngược 1 đến 2 chiếc. Chúng dẫn tới tổn thương nướu, viêm nhiễm mô mềm trong khoang miệng.
– Răng mọc ngược nguyên hàm trên hoặc dưới. Điều này khiến khuôn hàm trở nên mất cân đối, khớp cắn sai lệch nghiêm trọng.
1.2 Nguyên nhân răng mọc ngược
1.2.1 Ở trẻ em
Tình trạng răng mọc ngược xuất hiện ở trẻ em phổ biến nhất trong độ tuổi từ 12 – 15. Vấn đề này hình thành ở trẻ do một số nguyên nhân sau:
– Do sự di truyền. Điều này bắt nguồn từ người thân trong gia đình. Trẻ có thể di truyền từ những người thân thiết như ông, bà, bố, mẹ, …
– Do ảnh hưởng từ những thói quen xấu như ngậm núm vú giả, bú bình sau 3 tuổi, mút tay, …
– Việc vệ sinh răng miệng không được đảm bảo đủ và đúng cách.
– Quá trình nhổ bỏ răng không đúng cách khiến sự điều hướng di chuyển của những răng vĩnh viễn.
1.2.2 Ở người lớn
Khi người lớn bị răng mọc ngược có thể dễ dàng nhận ra qua một vài những dấu hiệu như hàm hô, răng móm, … Tình trạng này bắt nguồn từ những nguyên do sau:
– Do răng mọc vị trí lệch lạc khiến các răng vĩnh viễn không đủ chỗ trống để mọc. Từ đó dẫn tới vấn đề răng mọc ngược theo hướng vào trong hoặc mọc chếch hẳn ra bên ngoài.
– Do cấu tạo của phần xương hàm. Khi xương hàm dưới dài hơn hàm trên tạo tình trạng răng móm. Ngược lại, xương hàm dưới ngắn hơn hàm trên sẽ dẫn tới hàm răng bị hô.
– Bị mất mầm răng vĩnh viễn dẫn tới thừa chỗ trống, các răng còn lại có xu hướng bị mọc lộn xộn và sai lệch.
2. Mức độ nguy hiểm của răng mọc ngược
Răng mọc ngược là một tình trạng nguy hiểm, gây ra nhiều ảnh hưởng. Sau đây là một số tác hại của tình trạng này:
2.1 Ảnh hưởng tới tính thẩm mỹ gương mặt
Khi sở hữu một hàm răng không đồng đều, mọc lộn xộn, tính thẩm mỹ của gương mặt sẽ bị ảnh hưởng nghiêm trọng. Nụ cười của người bệnh chắc chắn không thể được rạng rỡ và thân thiện như thông thường. Đây sẽ là một cản trở lớn trong quá trình làm việc, giao tiếp. Thậm chí, người bệnh sẽ có tâm lý tự ti và ngại nói chuyện.
2.2 Ảnh hưởng tới quá trình ăn uống
Khi bị răng mọc trên lợi, hàm trên và dưới của người bệnh sẽ không thể khít nhau như thông thường. Điều này trở thành một vấn đề với việc ăn uống. Hàm răng khi ấy sẽ không đảm bảo có thể xé nhỏ, nghiền nát thức ăn như mong muốn. Về lâu dài, đó sẽ là nguyên nhân gây ảnh hưởng tiêu hóa, dẫn tới các hiện tượng như bị đau bụng. viêm đại trường.
2.3 Tăng khả năng mắc các bệnh lý răng miệng
Mắc phải vấn đề răng mọc ngược, người bệnh sẽ rất khó để làm sạch các kẽ răng. Thức ăn bị mắc, dính lại lâu ngày không được loại bỏ sẽ khiến vi khuẩn tấn công, lây lan và dễ mắc các bệnh lý. Điển hình như: viêm lợi, sâu răng, áp xe răng, … Nghiêm trọng hơn, bệnh nhân thậm chí có thể rơi vào tình trạng hỏng hay viêm tủy.
3. Các xử lý những chiếc răng mọc ngược
3.1 Nhổ răng
Một số trường hợp răng mọc ngược sẽ được bác sĩ chỉ định nhổ bỏ
Răng mọc ngược thường gây ra rất nhiều cản trở với quá trình sinh hoạt hàng ngày của con người. Để xử lý triệt để tình trạng này, bác sĩ thường chỉ định bệnh nhân thực hiện nhổ bỏ. Ngoài ra, trong một số trường hợp răng mọc ngược sau sẽ bắt buộc phải xử lý bằng cách nhổ răng:
– Răng mọc ngược bị sâu nghiêm trọng, viêm tủy răng, nứt gãy răng không thể cứu vãn được.
– Nhổ bỏ những răng mọc ngược để hỗ trợ các phương pháp phục hình răng như trồng răng, bọc sứ, niềng răng, …
Lưu ý, phương pháp này chỉ được áp dụng với những trường hợp răng mọc ngược 1 – 2 cái chứ không áp dụng cho răng mọc ngược nguyên hàm. Sau khi nhổ bỏ, bác sĩ sẽ tiến hành phục hình lại chiếc răng đã mất để đảm bảo không gây ảnh hưởng tới chức năng ăn nhai của hàm răng.
3.2 Niềng răng
Niềng răng là phương pháp được nhiều người lựa chọn để khắc phục răng mọc ngược
Phương pháp niềng răng là cách giúp khắc phục đa số những tình trạng răng mọc bị lệch lạc. Từ những trường hợp đơn giản tới phức tạp, niềng răng đều là phương pháp đầu tiên mọi người nghĩ tới.
Với phương pháp này, bác sĩ sẽ sử dụng những khí cụ niềng răng cùng dây cung để tác động lực một cách từ từ lên răng. Từ đó, những răng mọc ngược sẽ dần dịch chuyển về đúng vị trí theo như phác đồ điều trị.
Ưu điểm của phương pháp này là giúp bảo vệ tối đa răng thật, răng đều, đẹp và giữ được độc chắc khỏe.
Tuy nhiên, phương pháp niềng răng mọc ngược cũng tồn tại một số hạn chế. Điển hình là thời gian điều trị khá dài, phải cần từ 12 – 24 tháng. Riêng với trẻ em, thời gian đeo niềng cần kéo dài 1 – 1.5 năm để hàm răng có sự cải thiện rõ rệt. Thời gian cụ thể sẽ phục thuộc vào độ lệch lạc của răng và hàm bệnh nhân.
3.3 Phẫu thuật chỉnh hàm
Có những trường hợp, nguyên nhân dẫn tới răng mọc ngược không phải do răng mà do cung hàm. Khi ấy, người bệnh sẽ cần thực hiện phẫu thuật chỉnh hàm để khắc phục tình trạng. Với phương pháp này, bác sĩ sẽ thực hiện cắt rời một đoạn xương hàm cùng răng sai lệch. Sau đó, răng mọc sai lệch sẽ được đưa về vị trí mới và cố định với nẹp chuyên dụng.
Vừa rồi, chúng ta đã tìm hiểu những kiến thức cơ bản về hiện tượng răng mọc ngược và mức độ nguy hiểm của nó với người bệnh. Hy vọng qua bài viết, những bệnh nhân đang gặp phải tình trạng này sẽ nắm được những lưu ý và tìm ra hướng giải quyết phù hợp.


















