Tình trạng hàm răng đen: nguyên nhân và cách khắc phục
Răng bị đen cả hàm là vấn đề vô cùng tế nhị bởi nó khiến bạn e ngại khi giao tiếp với mọi người xung quanh. Thậm chí, đây còn là một dấu hiệu cảnh báo bạn có vấn đề về răng miệng. Vậy nguyên nhân và cách khắc phục hàm răng đen như thế nào? Cùng Thu Cúc TCI tìm hiểu về vấn đề răng bị đen qua bài viết dưới đây nhé.
1. Tình trạng hàm răng đen là do những nguyên nhân nào?
Men răng, còn gọi là lớp canxi bên ngoài của răng, thường có màu trắng tự nhiên. Tuy nhiên, có những lý do khác nhau có thể khiến răng chuyển sang màu đen, tạo nên hiện tượng gọi là răng đen. Hàm răng đen không xuất hiện tức thì, mà bắt đầu bằng những vết đốm đen hoặc nâu trên bề mặt răng. Tình trạng này có thể lan tỏa và trở nên rõ ràng hơn theo thời gian. Từ đó khiến người bị răng đen cảm thấy không tự tin khi tiếp xúc và giao tiếp với người khác.
Răng bị đen xuất hiện nhiều ở cả trẻ nhỏ vì trẻ chưa vệ sinh răng miệng cẩn thận.
Dưới đây là một số nguyên nhân gây ra tình trạng hàm răng đen:
1.1 Nguyên nhân đến từ bên ngoài
– Men răng bị tổn thương rồi dần chuyển màu.
– Răng có vết ố màu ngả đen hoặc tạo cặn nhiều.
– Hút thuốc lá hoặc tiêu thụ các thực phẩm màu sắc đậm như cà phê, có thể gây đen răng.
– Sử dụng kem đánh răng hoặc nước súc miệng kém chất lượng cũng có thể dẫn đến răng đen.
– Trám răng chứa hợp chất bạc sulfide cũng là một trong những nguyên nhân có thể gây ra tình trạng răng đen.
1.2 Nguyên nhân từ bên trong gây ra hàm răng đen:
– Các vấn đề về sức khỏe răng như sâu răng, viêm lợi,…
– Răng chết tủy:
Khi tủy răng bị tổn thương và không được điều trị kịp thời, có thể gây nhiễm trùng hoặc chết tủy. Khi xảy ra tình trạng này, máu viêm ở phần tủy răng có thể làm răng chuyển màu đen. Màu đen này sẽ hiển thị rõ rệt theo thời gian.
– Tiếp xúc quá nhiều với thành phần fluoride khiến răng đen:
Loại hóa chất này có thể được tìm thấy trong nước máy và một số loại kem đánh răng. Nếu tiếp xúc quá mức với fluoride, có thể gây sự biến đổi màu sắc của răng. Cụ thể răng đen nhiều hoặc làm cho răng trở nên đục.
– Sử dụng một số loại thuốc:
Đặc biệt là kháng sinh hoặc các loại thuốc lỏng trong thời gian dài, cũng có thể làm răng mất màu. Bệnh nhân điều trị ung thư bằng hóa trị cũng có thể gặp tình trạng răng chuyển màu đen do tác động của thuốc.
2. Làm thế nào để khắc phục tình trạng hàm răng đen?
Tình trạng hàm răng đen có thể chỉ gây ra sự mất thẩm mỹ. Tuy nhiên nếu nó là dấu hiệu của bệnh lý, có thể ảnh hưởng đến sức khỏe tổng thể. Do đó, khi răng đen bạn nên thăm khám nha khoa để được chẩn đoán chính xác. Sau đó, cùng bác sĩ tìm nguyên nhân và lựa chọn phương pháp điều trị phù hợp.
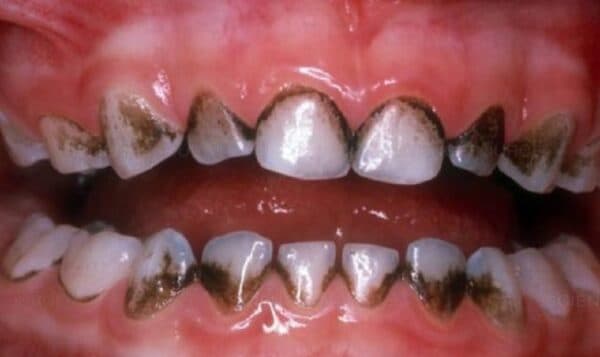
Hàm răng bị đen gây mất thẩm mỹ và giảm sự tự tin trong giao tiếp (minh họa).
2.1 Lấy cao răng
Thủ thuật này được thực hiện bằng cách loại bỏ mảng bám và ố màu trên bề mặt răng. Đồng thời giúp đánh bóng răng mà không gây tổn thương cho cấu trúc của răng. Đây là một phương pháp phổ biến giúp cải thiện thẩm mỹ của hàm răng, làm răng sáng và khỏe hơn.
2.2 Tẩy trắng răng
Ngày nay, có nhiều phương pháp tẩy trắng răng khác nhau, bao gồm việc sử dụng thuốc tẩy trắng răng và kem đánh răng làm trắng răng. Các thành phần như acid oxalic, natri peroxide,… có tác dụng làm sáng răng bị đen hiệu quả. Để đảm bảo an toàn và đạt được kết quả tốt nhất, việc này nên được thực hiện dưới sự hướng dẫn của bác sĩ. Không nên tự ý mua thuốc và tự tẩy trắng răng, vì việc sử dụng sai cách có thể gây hại cho men răng và gây sưng viêm nướu.
Trước khi thực hiện tẩy trắng răng, hãy đảm bảo rằng răng của bạn trong tình trạng tốt. Đặc biệt không mắc bất kỳ vấn đề nào liên quan đến sức khỏe răng miệng. Nếu có bất kỳ vấn đề nào, bạn cần điều trị chúng trước khi tẩy trắng răng.
Lưu ý rằng hiệu quả của việc tẩy trắng răng phụ thuộc vào nhiều yếu tố, bao gồm cấu trúc men răng và quá trình khoáng hóa. Trong một số trường hợp, tẩy trắng răng có thể không hiệu quả đối với những người có men răng yếu hoặc răng có màu không đồng đều.
2.3 Mặt dán sứ veneer
Mặt dán sứ veneer là một phương pháp tiến tiến để cải thiện tình trạng răng đen hiện nay. Phương pháp này làm cho răng trở nên trắng sáng và đều đẹp bằng cách áp dụng một lớp sứ mỏng lên mặt ngoài của răng. Nó đặc biệt thích hợp cho những người có màu răng tự nhiên không quá đậm nhưng gặp vấn đề như răng thưa, vỡ hoặc không đều.
2.4 Trám răng thẩm mỹ
Trám răng thẩm mỹ, còn gọi là hàn răng thẩm mỹ, là một phương pháp để khắc phục tình trạng hàm răng bị đen. Khắc phục bằng cách áp dụng một lớp composite lên mặt ngoài của răng. Phương pháp này giúp che đi vết đen và tạo ra một lớp men răng mới, sáng bóng hơn. Tuy nhiên, nó có nhược điểm là không bền và có thể gãy mẻ dễ dàng, cũng như có khả năng thay đổi màu sắc nhanh chóng.
2.5 Bọc răng sứ thẩm mỹ cho răng đen
Đối với tình trạng hàm răng đen, phương pháp bọc răng sứ thẩm mỹ được coi là lựa chọn tốt. Bọc sứ cho răng xỉn màu có thể áp dụng cho mọi trường hợp, dù răng đen đến đâu. Vì nó có khả năng cải thiện màu sắc và hình dáng một cách đáng kể. Phương pháp này liên quan đến việc mài bỏ một phần lớp men răng bị đen đi để tránh lộ. Sau đó thay thế nó bằng một lớp men răng nhân tạo màu tự nhiên. Lớp thay thế làm bằng sứ, có màu sắc, độ trong và độ bóng phù hợp với làn da và màu môi của bạn.
Có nhiều loại răng sứ khác nhau như răng sứ kim loại thường, răng sứ titan, răng sứ cercon, răng sứ emax, răng sứ zirconia,… mỗi loại đều có ưu điểm và hạn chế riêng, và chúng được áp dụng trong các tình huống lâm sàng khác nhau. Để biết thêm chi tiết, hãy tham khảo các loại răng sứ thẩm mỹ và ứng dụng của chúng trong lĩnh vực nha khoa.
3. Cách ngăn ngừa tình trạng răng đen
Để tránh nguy cơ hàm răng bị đen và duy trì một hàm răng khỏe mạnh, hãy chú ý đến các điểm sau:
Thường xuyên đi khám nha sĩ để tránh bị tình trạng răng đen (minh họa).
– Hãy đánh răng ít nhất 2 lần và đều mỗi ngày. Chọn một bàn chải mềm và chải răng đúng cách để không gây tổn thương cho răng và nướu.
– Sử dụng chỉ nha khoa và nước súc miệng để giữ cho răng luôn sạch và trắng hơn. Tuy nhiên, cần lựa chọn sản phẩm có chất lượng và không sử dụng nước súc miệng quá thường xuyên.
– Tránh tiêu thụ các thực phẩm và đồ uống có màu sậm trong thời gian dài. Chẳng hạn như uống mỗi ngày cà phê, nước ngọt, hoặc đồ uống có độ axit cao.
– Nếu bạn có thói quen hút thuốc lá, hãy loại bỏ nó để giảm nguy cơ răng bị xỉn màu.
– Đều đặn thăm khám nha sĩ và thực hiện việc lấy cao răng tại các cơ sở y tế đáng tin cậy.
Hy vọng những thông tin kể trên về nguyên nhân và cách khắc phục hàm răng đen hữu ích với bạn đọc. Mọi thắc mắc liên quan đến hàm răng bị đen sẽ được bác sĩ giải đáp kỹ càng khi bạn đến Thu Cúc TCI nhé.


















