Thực hư về kem đánh răng tẩy cao răng
Trên thị trường, hiện đang có nhiều sản phẩm kèm mác “Kem đánh răng tẩy cao răng” được quảng cáo có khả năng giúp loại bỏ cao răng, mảng bám trên răng mà không cần phải đến các nha khoa lấy răng định kỳ. Tuy nhiên, hiệu quả thực sự của loại kem đánh răng này vẫn còn nhiều tranh cãi. Cùng TCI tìm hiểu về các kem đánh răng này, khám phá về bản chất cao răng để hiểu hơn về vấn đề này qua những thông tin dưới đây.
1. Bản chất của cao răng
Cao răng, hay còn gọi là vôi răng, là một dạng vôi hóa mảng bám chứa vi khuẩn, thức ăn thừa, tế bào chết bám dính trên bề mặt răng và dưới nướu. Cao răng hình thành do quá trình khoáng hóa mảng bám mềm, nếu không được loại bỏ kịp thời có thể dẫn đến nhiều hậu quả nghiêm trọng cho sức khỏe răng miệng.
Cao răng hình thành từ quá trình vôi hóa mảng bám chứa vi khuẩn
1.1. Thành phần chính của cao răng
– Canxi phosphate (khoảng 60-70%): Là thành phần chính tạo nên độ cứng cho cao răng.
– Canxi carbonate (khoảng 20-30%): Cũng góp phần vào độ cứng của cao răng.
– Vi khuẩn: Chiếm khoảng 10% trong cao răng, bao gồm nhiều loại vi khuẩn có hại cho sức khỏe răng miệng như Streptococcus mutans, Porphyromonas gingivalis,…
– Chất hữu cơ: Bao gồm protein, carbohydrate, tế bào chết,…
1.2. Quá trình hình thành cao răng
Sự hình thành cao răng cơ bản như sau:
– Mảng bám mềm: Hình thành do vi khuẩn trong khoang miệng bám dính trên bề mặt răng. Mảng bám mềm bao gồm vi khuẩn, thức ăn thừa, tế bào chết,…
– Khoáng hóa: Các khoáng chất trong nước bọt như canxi, phosphate,… thẩm thấu vào mảng bám mềm và kết hợp với các thành phần khác trong mảng bám, tạo thành cao răng cứng.
– Sự phát triển: Cao răng tiếp tục phát triển và bám chặt vào bề mặt răng, dưới nướu nếu không được loại bỏ kịp thời.
1.3. Tác hại của cao răng
Nhiều vấn đề và biến chứng được ghi nhận từ tình trạng cao răng:
– Viêm nướu: Cao răng là nguyên nhân chính gây viêm nướu, biểu hiện bằng các triệu chứng như nướu sưng đỏ, chảy máu chân răng, hơi thở có mùi hôi. Viêm nướu điều trị mụôn, không đúng cách dễ tiến triển thành viêm nha chu, dẫn đến tổn thương các mô hỗ trợ xung quanh răng và có thể dẫn đến mất răng.
– Sâu răng: Vi khuẩn trong cao răng sản xuất axit, phá hủy men răng và gây sâu răng.
– Mòn răng: Cao răng có thể làm mòn men răng, khiến răng trở nên nhạy cảm và dễ bị tổn thương.
– Mất răng: Viêm nha chu do cao răng gây ra có thể dẫn đến mất răng.
– Các bệnh lý tim mạch: Một số nghiên cứu cho thấy có mối liên hệ giữa bệnh nha chu và các bệnh lý tim mạch như đột quỵ và nhồi máu cơ tim.
Có thể thấy rằng, cao răng là mối nguy hiểm cần được loại bỏ với sức khỏe răng miệng cũng như sức khỏe cơ thể. Trong đó, việc khám nha, lấy cao răng 6 tháng 1 lần là khuyến nghị mà các bác sĩ nha khoa luôn nhắc nhở.
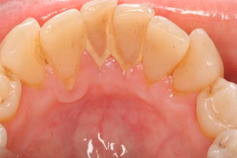
Cao răng gây nhiều khó chịu và tiềm ẩn nguy cơ mắc phải nhiều bệnh lý răng miệng
2. Kem đánh răng tẩy cao răng – Hiệu quả hay chỉ là lời đồn?
2.1 Thành phần của kem đánh răng tẩy cao răng
Rất nhiều loại kem đánh răng trên thị trường đang được quảng cáo với tác dụng đặc biệt: loại bỏ cao răng. Thành phần của các loại kem đánh răng này thường chứa các chất như:
– Chất mài mòn: Có tác dụng bào mòn mảng bám trên bề mặt răng. Các chất mài mòn phổ biến bao gồm silica, nhôm hydroxit, canxi cacbonat,…
– Chất tẩy rửa: Có tác dụng hòa tan mảng bám. Các chất tẩy rửa phổ biến bao gồm sodium lauryl sulfate (SLS), sodium laureth sulfate (SLES),…
– Chất tạo bọt: Có công dụng tạo bọt khi đánh răng.
– Chất tạo hương vị: Giúp kem đánh răng có mùi thơm dễ chịu.
– Chất bảo quản: Nhằm kéo dài trạng thái các thành phần trong kem đánh răng, ngăn ngừa kem đánh răng bị hư hỏng.
2.2. Thực chất hiệu quả của kem đánh răng tẩy cao răng
Có thể thấy, thành phần của các loại kem đánh răng trong tẩy cao răng được kể trên đây có thành phần chất mài mòn, chất tẩy rửa mạnh. Tuy nhiên, với bản chất vôi hóa hình thành, cao răng không dễ bị loại bỏ. Các loại kem đánh răng này có thể giúp phòng ngừa vấn đề mảng bám, còn với cao răng, sự tác động này hiệu quả chưa thực sự đảm bảo. Cạo vôi răng sử dụng dụng cụ chuyên dụng để loại bỏ cao răng trên bề mặt răng và dưới nướu, trong khi kem đánh răng chỉ có thể loại bỏ mảng bám, ngăn ngừa sự phát triển của cao răng trên bề mặt răng.
Ngoài ra, việc sử dụng kem đánh răng với hàm lượng chất tẩy cao có thể gây ra một số tác hại như:
– Mòn men răng: Các chất mài mòn trong kem đánh răng tẩy cao răng có thể bào mòn men răng, khiến răng trở nên nhạy cảm và dễ sâu răng.
– Kích ứng nướu: Các chất tẩy rửa trong kem đánh răng tẩy cao răng có thể gây kích ứng nướu, dẫn đến viêm nướu.
Do đó, bạn nên:
– Trước khi sử dụng kem đánh răng với thành phần chất tẩy rửa, nên tham khảo ý kiến nha sĩ để có thể sử dụng an toàn.
– Không loại bỏ việc định kỳ lấy cao răng 6 tháng một lần bởi đây là cách lấy cao răng hiệu quả, đồng thời, kiểm tra, phòng ngừa các vấn đề với sức khỏe răng miệng.
3. Phòng ngừa và loại bỏ cao răng
Để an tâm trước vấn đề cao răng, cần luôn thực hiện các biện pháp ngăn chặn cao răng hằng ngày và loại bỏ cao răng định kỳ bằng các hành động thiết thực:
– Đánh răng đúng cách với kem đánh răng có chứa fluoride mỗi ngày (tối thiểu 2 lần – cùng bàn chải mềm)
– Dùng chỉ nha khoa loại bỏ mảng bám sau khi ăn.
– Súc miệng diệt khuẩn
– Vệ sinh lưỡi
– Hạn chế đồ ngọt
– Hạn chế thức ăn bám dính
– Uống nhiều nước
– Khám nha, cạo vôi răng định kỳ.
Việc cạo vôi răng định kỳ cần được thực hiện tại các cơ sở nha khoa uy tín, thiết bị hiện đại, phương pháp tân tiến để đảm bảo việc loại bỏ cao răng hiệu quả, nhanh chóng, an toàn cho người được lấy cao răng.
Lấy cao răng định kỳ tại nha khoa là việc cần thiết trong quá trình chăm sóc răng miệng
Tóm lại:
Trên thực tế, nhiều loại sản phẩm được quảng cáo là “kem đánh răng tẩy cao răng”, nhưng bạn cần sáng suốt xem xét, cân nhắc sử dụng để đảm bảo an toàn cho chính bản thân mình. Cần nhớ rằng, cao răng là một vấn đề nghiêm trọng cho sức khỏe răng miệng. Việc phòng ngừa cao răng bằng cách chăm sóc răng miệng đúng cách tại nhà và loại bỏ cao răng định kỳ là cách rất cần thiết để bảo vệ sức khỏe răng miệng và nụ cười của bạn.


















