Tẩy mảng bám trên răng để bảo vệ sức khỏe răng miệng
Mảng bám trên răng là một vấn đề phổ biến, không chỉ gây mất thẩm mỹ mà còn ảnh hưởng đến sức khỏe răng miệng. Việc tẩy mảng bám trên răng đúng cách là cần thiết để giữ cho răng luôn sáng bóng và khỏe mạnh. Trong bài viết này, chúng ta sẽ tìm hiểu về các phương pháp tẩy mảng bám hiệu quả và những lưu ý quan trọng để bảo vệ răng miệng.
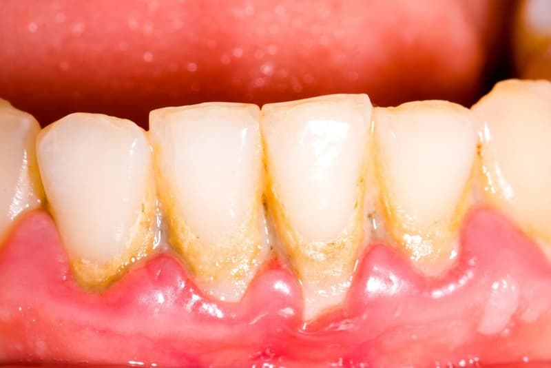
1. Mảng bám trên răng là gì?
Mảng bám trên răng là một lớp màng mỏng, dính và không màu hoặc hơi vàng do vi khuẩn tạo thành trên bề mặt răng và nướu. Lớp mảng bám này hình thành khi vi khuẩn trong miệng kết hợp với các hạt thức ăn và nước bọt. Mảng bám không chỉ gây mất thẩm mỹ mà còn là nguyên nhân chính dẫn đến nhiều vấn đề về răng miệng nếu không được làm sạch kịp thời.
Mảng bám có thể hình thành cao răng và gây hôi miệng.
Mảng bám chứa vi khuẩn có thể tạo ra acid khi chúng phân hủy đường từ thức ăn và đồ uống. Acid này có thể tấn công men răng, làm suy yếu cấu trúc răng và dẫn đến sâu răng. Nếu mảng bám không được loại bỏ thường xuyên, nó sẽ cứng lại thành cao răng (tartar), tạo điều kiện thuận lợi cho vi khuẩn phát triển mạnh hơn và gây ra các bệnh lý như viêm nướu và nha chu.
Cao răng là mảng bám đã cứng lại, thường có màu vàng hoặc nâu, bám chắc vào bề mặt răng và không thể loại bỏ bằng cách đánh răng thông thường. Chỉ có thể loại bỏ cao răng bằng các dụng cụ chuyên dụng tại phòng khám nha khoa.
Mảng bám không chỉ gây hại cho men răng mà còn ảnh hưởng đến nướu. Khi mảng bám tích tụ quanh đường viền nướu, vi khuẩn trong mảng bám có thể gây viêm nướu, làm nướu sưng đỏ và dễ chảy máu. Nếu không được điều trị, viêm nướu có thể tiến triển thành viêm nha chu, một tình trạng nghiêm trọng hơn có thể gây mất răng.
2. Một số cách để tẩy mảng bám trên răng
Mảng bám trên răng không chỉ gây mất thẩm mỹ mà còn là nguyên nhân chính dẫn đến nhiều vấn đề về răng miệng. Việc tẩy mảng bám thường xuyên giúp duy trì sức khỏe răng miệng và bảo vệ nụ cười của bạn. Dưới đây là một số phương pháp tẩy mảng bám hiệu quả:
2.1. Đánh răng đúng cách để tẩy mảng bám trên răng
Đánh răng đúng cách là biện pháp cơ bản và quan trọng để loại bỏ mảng bám. Bạn nên đánh răng thường xuyên nhiều lần mỗi ngày với kem đánh răng chứa fluoride. Hãy chắc chắn đánh răng trong hai phút, chải đều tất cả các bề mặt của răng, và sử dụng bàn chải mềm để không làm tổn thương nướu. Đánh răng kỹ lưỡng giúp loại bỏ mảng bám và ngăn ngừa sự hình thành cao răng.
2.2. Sử dụng chỉ nha khoa để tẩy mảng bám trên răng
Chỉ nha khoa giúp làm sạch các kẽ răng mà bàn chải không thể chạm tới. Sử dụng chỉ nha khoa hàng ngày để loại bỏ mảng bám và thức ăn còn sót lại giữa các răng, ngăn ngừa sâu răng và viêm nướu. Kéo sợi chỉ nhẹ nhàng giữa các kẽ răng và dọc theo đường viền nướu để làm sạch hiệu quả.
2.3. Súc miệng với nước chuyên dụng
Nước súc miệng chứa các chất kháng khuẩn giúp loại bỏ vi khuẩn và mảng bám, giữ cho hơi thở luôn thơm mát và ngăn ngừa viêm nướu. Sử dụng nước súc miệng sau khi đánh răng và dùng chỉ nha khoa để tăng cường hiệu quả làm sạch răng miệng. Hãy chọn nước súc miệng chứa fluoride để bảo vệ men răng.
2.4. Tẩy mảng bám tại nha khoa
Điều trị tẩy mảng bám chuyên nghiệp tại phòng khám nha khoa là cách hiệu quả nhất để loại bỏ mảng bám cứng đầu và cao răng. Bác sĩ nha khoa sẽ sử dụng các dụng cụ chuyên dụng như máy cạo vôi răng và máy siêu âm để làm sạch răng. Quy trình này không chỉ loại bỏ mảng bám mà còn giúp làm sạch các túi nha chu, ngăn ngừa viêm nướu và nha chu.
Vệ sinh răng tại nha khoa cũng là cách nên thực hiện thường xuyên.
2.5. Dùng nguyên liệu thiên nhiên
Một số biện pháp tự nhiên cũng có thể giúp tẩy mảng bám trên răng, bao gồm:
– Baking Soda: Baking soda có tính mài mòn nhẹ, giúp loại bỏ mảng bám và làm trắng răng. Bạn có thể pha baking soda với nước để tạo thành hỗn hợp đánh răng.
– Giấm Táo: Giấm táo có tính acid nhẹ, giúp làm sạch mảng bám và vi khuẩn. Pha loãng giấm táo với nước và sử dụng như nước súc miệng.
– Dầu Dừa: Súc miệng với dầu dừa trong 15-20 phút mỗi ngày giúp loại bỏ vi khuẩn và mảng bám, đồng thời cải thiện sức khỏe nướu.
3. Lưu ý khi tẩy mảng bám trên răng
Một số lưu ý quan trọng khi tẩy mảng bám trên răng để đảm bảo hiệu quả và an toàn.
Để duy trì kết quả tốt nhất, việc tẩy mảng bám cần được thực hiện đều đặn và thường xuyên. Bạn nên đánh răng ít nhất hai lần mỗi ngày, sử dụng chỉ nha khoa hàng ngày và súc miệng bằng nước súc miệng kháng khuẩn. Thực hiện đều đặn các biện pháp này giúp ngăn ngừa mảng bám hình thành và tích tụ.
Lựa chọn kem đánh răng, chỉ nha khoa và nước súc miệng phù hợp với nhu cầu và tình trạng răng miệng của bạn. Kem đánh răng chứa fluoride và các chất kháng khuẩn giúp bảo vệ men răng và ngăn ngừa vi khuẩn. Nước súc miệng có thành phần kháng khuẩn giúp làm sạch miệng và giữ hơi thở thơm mát. Hãy tham khảo ý kiến bác sĩ nha khoa để chọn sản phẩm phù hợp nhất.
Thăm khám nha sĩ định kỳ ít nhất hai lần mỗi năm là rất quan trọng. Bác sĩ nha khoa sẽ giúp kiểm tra và làm sạch răng chuyên sâu, loại bỏ mảng bám cứng đầu và cao răng mà bạn không thể tự làm sạch tại nhà. Đồng thời, nha sĩ sẽ phát hiện sớm các vấn đề răng miệng và điều trị kịp thời, giúp duy trì sức khỏe răng miệng tốt nhất.
Hạn chế tiêu thụ các thực phẩm và đồ uống có đường, có ga và nhiều acid như kẹo, bánh ngọt, nước ngọt. Những thực phẩm này làm tăng nguy cơ hình thành mảng bám và sâu răng. Thay vào đó, hãy ăn nhiều rau củ, trái cây và thực phẩm giàu chất xơ, giúp làm sạch răng tự nhiên và bảo vệ men răng.
Hạn chế đồ ăn đồ uống nhiều đường để hạn chế mảng bám răng miệng.
Đánh răng đúng kỹ thuật là yếu tố then chốt trong việc loại bỏ mảng bám hiệu quả. Sử dụng bàn chải lông mềm và đánh răng nhẹ nhàng theo chuyển động tròn. Đảm bảo chải đều tất cả các bề mặt của răng, bao gồm cả mặt trong, mặt ngoài và mặt nhai. Tránh đánh răng quá mạnh, vì có thể làm tổn thương men răng và nướu.
Tránh các thói quen xấu như hút thuốc lá, uống rượu bia và nhai đồ cứng. Thuốc lá và rượu bia không chỉ gây mảng bám mà còn làm ố màu răng và gây hại cho nướu. Nhai đồ cứng có thể gây tổn thương răng và làm răng dễ bị sứt mẻ.
Tẩy mảng bám trên răng là một phần quan trọng của việc chăm sóc răng miệng, giúp ngăn ngừa các bệnh lý và duy trì nụ cười sáng bóng. Bằng cách thực hiện đúng các phương pháp tẩy mảng bám và tuân thủ những lưu ý quan trọng, bạn có thể bảo vệ sức khỏe răng miệng và tự tin với nụ cười của mình. Nếu có bất kỳ thắc mắc hoặc vấn đề nào liên quan đến việc tẩy mảng bám, hãy tham khảo ý kiến bác sĩ nha khoa để được tư vấn và hỗ trợ kịp thời.


















