Tầm quan trọng của việc cạo vôi và tẩy trắng răng
Có một nụ cười rạng rỡ và hàm răng trắng sáng không chỉ là mơ ước của nhiều người mà còn góp phần tạo nên vẻ đẹp tự nhiên, mang lại sự tự tin và thu hút trong giao tiếp. Để đạt được điều này, việc thực hiện cạo vôi và tẩy trắng răng định kỳ, cùng cách phương pháp chăm sóc răng hợp lý là điều rất cần thiết.
1. Giới thiệu chung về cạo vôi và tẩy trắng răng
Cạo vôi răng và tẩy trắng răng là hai quy trình quan trọng trong việc chăm sóc và duy trì sức khỏe răng miệng. Trong khi cạo vôi răng giúp loại bỏ mảng bám và cao răng, tẩy trắng răng lại cải thiện màu sắc của răng, mang lại nụ cười trắng sáng. Cả hai phương pháp đều đóng vai trò thiết yếu trong việc bảo vệ và nâng cao sức khỏe răng miệng cũng như thẩm mỹ cá nhân.
Hình ảnh vôi răng bám quanh chân răng, gây màu vàng ngà
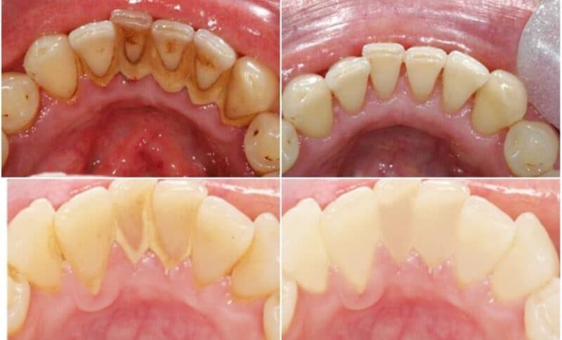
1.1. Vôi răng và cạo vôi răng
Vôi răng, hay còn gọi là cao răng, là lớp cặn cứng bám chặt trên bề mặt răng, chân răng và dưới nướu. Quá trình hình thành vôi răng bắt đầu từ mảng bám răng – một lớp màng mỏng chứa vi khuẩn, thức ăn thừa và các chất khác. Khi mảng bám không được làm sạch thường xuyên, nó sẽ tích tụ canxi và các khoáng chất từ nước bọt, dần dần cứng lại và hình thành vôi răng.
Vôi răng có thể gây ra nhiều vấn đề về sức khỏe răng miệng, bao gồm viêm nướu, viêm nha chu, hôi miệng và sâu răng. Vì vậy, việc cạo vôi răng một cách định kỳ là cần thiết để loại bỏ những lớp cặn này, góp phần bảo vệ sức khỏe răng miệng. Cạo vôi răng thường được thực hiện bởi các nha sĩ chuyên nghiệp với các công cụ và kỹ thuật tiên tiến.
1.2. Tẩy trắng răng
Ngoài việc cạo vôi, nhiều người còn lựa chọn tẩy trắng răng để có được hàm răng trắng sáng hơn. Quá trình tẩy trắng sử dụng các chất oxy hóa an toàn như peroxide để loại bỏ các vết bẩn và làm sáng màu răng. Việc tẩy trắng răng không chỉ cải thiện thẩm mỹ và tự tin khi mỉm cười, mà còn giúp loại bỏ các vết ố vàng do ăn uống, hút thuốc.
1.3. Vì sao cạo vôi và tẩy trắng răng nên thực hiện song hành?
Cạo vôi răng và tẩy trắng răng là hai quy trình bổ sung cho nhau, giúp duy trì sức khỏe và vẻ đẹp của hàm răng. Việc cạo vôi loại bỏ các lớp cặn bám chặt trên bề mặt răng, tạo điều kiện thuận lợi cho quá trình tẩy trắng diễn ra hiệu quả hơn. Ngược lại, sau khi tẩy trắng, nha sĩ sẽ tiến hành cạo vôi lần cuối để đảm bảo răng sạch sẽ và trắng sáng tối đa. Do đó, việc thực hiện lấy vôi và tẩy trắng răng song song là điều cần thiết để đạt được kết quả tối ưu.
2. Tại sao cần cạo vôi răng?
2.1. Ngăn ngừa các bệnh về nướu
Mảng bám và cao răng tích tụ lâu ngày sẽ gây kích ứng và viêm nhiễm nướu, dẫn đến các bệnh lý như viêm nướu và bệnh nha chu. Việc cạo vôi răng định kỳ giúp loại bỏ mảng bám và cao răng, ngăn ngừa vi khuẩn gây bệnh, bảo vệ sức khỏe của nướu và mô mềm xung quanh răng.
2.2. Giảm nguy cơ sâu răng
Mảng bám chứa vi khuẩn có khả năng tấn công men răng, gây ra sâu răng. Khi không được loại bỏ kịp thời, vi khuẩn sẽ ăn mòn men răng và gây ra những lỗ sâu. Cạo vôi răng giúp loại bỏ mảng bám và giảm thiểu nguy cơ sâu răng, duy trì men răng khỏe mạnh.
2.3. Ngăn ngừa hôi miệng
Một trong những nguyên nhân chính gây hôi miệng là sự tích tụ của mảng bám và vi khuẩn trên bề mặt răng. Cạo vôi răng không chỉ loại bỏ mảng bám mà còn giúp giảm vi khuẩn gây mùi, mang lại hơi thở thơm mát.
2.4. Bảo vệ sức khỏe toàn diện
Nhiều nghiên cứu đã chứng minh mối liên hệ giữa các vấn đề răng miệng và sức khỏe toàn diện của chúng ta. Vi khuẩn gây viêm nhiễm trong miệng có thể xâm nhập vào máu và ảnh hưởng đến các cơ quan khác trong cơ thể. Do đó, việc cạo vôi răng không chỉ bảo vệ sức khỏe răng miệng mà còn đóng vai trò quan trọng trong việc duy trì sức khỏe toàn diện.
Lấy vôi răng tại các cơ sở y tế mang lại hiệu quả và ý nghĩa bảo vệ sức khỏe răng miệng
3. Tẩy trắng răng cũng là điều cần thiết trong chăm sóc răng miệng
3.1. Cải thiện thẩm mỹ
Một nụ cười trắng sáng luôn tạo ấn tượng tốt và tăng cường tự tin trong giao tiếp. Tẩy trắng răng giúp loại bỏ các vết ố vàng, làm sáng màu răng, mang lại nụ cười rạng rỡ và thu hút hơn.
3.2. Tạo động lực với việc chăm sóc, bảo vệ răng miệng
Khi sở hữu hàm răng trắng sáng, bạn sẽ có xu hướng chăm sóc và duy trì vệ sinh răng miệng tốt hơn. Điều này bao gồm việc, bạn sẽ có ý thức và tìm hiểu việc chải răng đúng cách, ghi nhớ vấn đề dùng chỉ nha khoa và thăm khám nha sĩ định kỳ, góp phần bảo vệ sức khỏe răng miệng lâu dài.
3.3. Tăng sự tự tin
Một hàm răng trắng sáng giúp bạn tự tin hơn trong giao tiếp và tạo ấn tượng tích cực với người đối diện. Điều này đặc biệt quan trọng trong các tình huống xã hội và công việc, nơi mà sự tự tin và hình ảnh cá nhân đóng vai trò then chốt.
4. Cạo vôi và tẩy trắng răng – Ở đâu và khi nào?
4.1. Có thể tự cạo vôi và tẩy trắng răng không?
Vôi răng là một lớp mảng bám cứng đầu hình thành từ sự tích tụ của vi khuẩn, thức ăn và khoáng chất trong nước bọt. Với tính chất cứng rắn của nó, việc loại bỏ vôi răng bằng các phương pháp vệ sinh thông thường như đánh răng hay dùng chỉ nha khoa là không thể. Để làm sạch vôi răng hiệu quả, cần có sự hỗ trợ của các thiết bị nha khoa chuyên dụng như máy siêu âm, cùng với tay nghề cao của nha sĩ. Họ không chỉ làm sạch vôi răng một cách triệt để mà còn đảm bảo không gây tổn thương cho men răng và nướu.
Ngoài ra, việc tẩy trắng răng tại nhà cũng tiềm ẩn nhiều rủi ro nếu không được thực hiện đúng cách. Các sản phẩm tẩy trắng không phù hợp hoặc sử dụng sai cách có thể gây kích ứng nướu, làm mòn men răng hoặc thậm chí gây tổn hại sâu hơn cho răng. Vì vậy, việc tẩy trắng răng nên được tiến hành dưới sự giám sát và hướng dẫn của nha sĩ, để đảm bảo an toàn và đạt được kết quả như mong muốn mà không gây hại cho sức khỏe răng miệng.
Nên thực hiện lấy vôi và tẩy trắng tại các cơ sở y tế uy tín, chuyên nghiệp
4.2. Khi nào cần cạo vôi và tẩy trắng răng?
Việc loại bỏ vôi răng và tẩy trắng thường được thực hiện khi:
– Khi vôi răng tích tụ và răng xỉn màu: Nếu bạn thấy vôi răng xuất hiện rõ rệt, đặc biệt ở chân răng và kẽ răng, hoặc màu răng trở nên xỉn, ố vàng, đó là lúc cần thực hiện lấy vôi và tẩy trắng răng.
– Định kỳ theo khuyến cáo: Lấy vôi và tẩy trắng răng nên được thực hiện định kỳ, thường là 6 tháng một lần, để duy trì sức khỏe và thẩm mỹ răng miệng, ngay cả khi chưa có triệu chứng rõ rệt.
– Khi nha sĩ chỉ định: Trong các lần kiểm tra răng miệng hoặc một số thủ thuật nha khoa, nếu nha sĩ nhận thấy dấu hiệu cần thiết, họ sẽ chỉ định lấy vôi và tẩy trắng răng để ngăn ngừa hoặc điều trị các vấn đề tiềm ẩn.
Nhìn chung, cạo vôi và tẩy trắng răng không chỉ giúp bảo vệ sức khỏe răng miệng mà còn cải thiện thẩm mỹ và tự tin trong giao tiếp. Việc duy trì vệ sinh răng miệng đều đặn, đúng cách và nhắc nhớ lịch thăm khám nha sĩ định kỳ sẽ giúp bạn có hàm răng trắng sáng, chắc khỏe và nụ cười rạng rỡ. Bên cạnh đó, cần chủ động việc bảo vệ răng bằng các thói quen khoa học hằng ngày. Bảo vệ sức khỏe răng miệng cũng chính là một phần quan trọng trong bảo vệ sức khỏe của chính bạn.


















