Sưng lợi trong cùng: Nguyên nhân và cách điều trị
Bạn đang gặp phải tình trạng sưng lợi trong cùng? Đây là vấn đề phổ biến mà ít nhất một lần trong đời nhiều người có thể gặp phải. Sưng lợi có thể là dấu hiệu của các vấn đề sức khỏe răng miệng nghiêm trọng. Trong bài viết này, Thu Cúc TCI sẽ giúp bạn hiểu rõ nguyên nhân và cách điều trị hiệu quả tình trạng sưng lợi trong cùng, giúp bạn nhanh chóng lấy lại sự thoải mái của mình, đọc ngay bạn nhé!
1. Nguyên nhân phát sinh tình trạng sưng lợi trong cùng
Hiểu rõ nguyên nhân sưng lợi trong cùng giúp chúng ta điều trị đúng hướng và bảo vệ sức khỏe răng miệng hiệu quả. Sưng lợi trong cùng có thể phát sinh do nhiều nguyên nhân khác nhau, bao gồm:
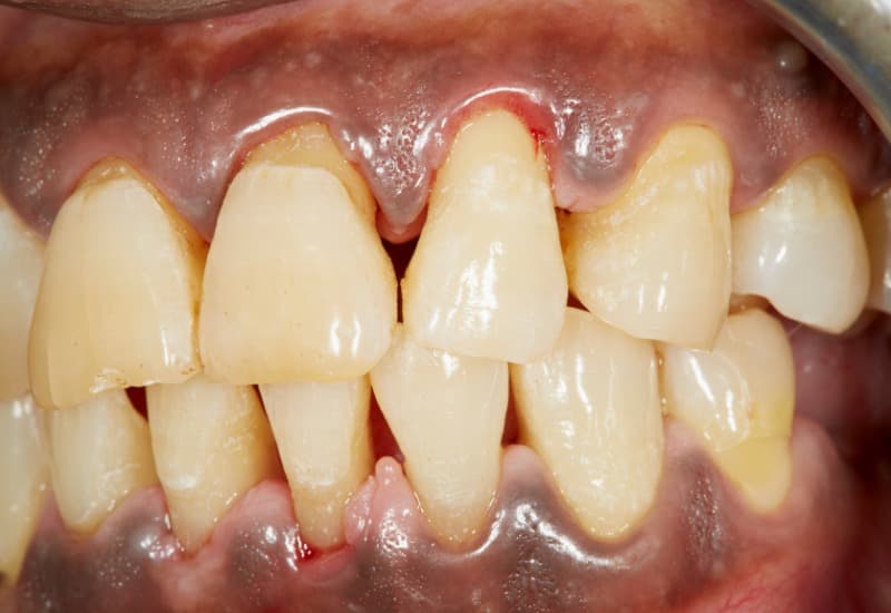
– Mảng bám và cao răng: Mảng bám và cao răng là nguyên nhân phổ biến nhất gây sưng lợi. Mảng bám là lớp vi khuẩn bám trên bề mặt răng, nếu không được vệ sinh thường xuyên, chúng có thể tích tụ thành cao răng. Các răng trong cùng trên cung hàm là các răng khó vệ sinh, dễ tích tụ mảng bám và cao răng nhất. Bởi thế, lợi trong cùng cũng là khu vực dễ sưng nhất.
Mảng bám là lớp vi khuẩn bám trên bề mặt răng, chúng có thể tích tụ thành cao răng, gây sưng lợi.
– Bệnh lý nha chu: Các bệnh lý nha chu như viêm lợi hoặc viêm nha chu có thể gây sưng, đỏ và đau lợi. Các tình trạng này có thể dẫn đến tổn thương mô lợi và xương hỗ trợ răng.
– Chấn thương lợi: Sử dụng bàn chải quá cứng, đánh răng quá mạnh hoặc nhai đồ vật cứng có thể gây chấn thương lợi, dẫn đến sưng.
– Dị ứng hoặc phản ứng với thuốc: Một số thuốc như thuốc chống động kinh, thuốc điều trị huyết áp và thuốc chống viêm có thể gây sưng lợi như một phản ứng phụ.
– Thiếu vitamin: Thiếu vitamin C và D có thể gây ra các vấn đề về lợi, bao gồm sưng và dễ chảy máu.
– Hút thuốc lá: Hút thuốc là một trong những nguyên nhân hàng đầu gây ra các vấn đề về lợi, bao gồm sưng lợi.
– Hormone: Sự thay đổi hormone trong tuổi dậy thì, thời kỳ mang thai hoặc mãn kinh có thể ảnh hưởng đến mô lợi, làm chúng trở nên nhạy cảm và dễ sưng hơn.
– Bệnh tự miễn: Một số bệnh tự miễn như bệnh crohn cũng có thể gây sưng lợi.
2. Hướng dẫn điều trị tình trạng sưng lợi trong cùng
2.1. Nguy cơ của tình trạng sưng lợi trong cùng
Sưng lợi có thể gây đau và khó chịu, ảnh hưởng đến việc ăn uống, làm suy giảm chất lượng cuộc sống tổng thể của người bệnh. Sưng lợi thường đi kèm tình trạng tích tụ vi khuẩn và mảng bám, gây hôi miệng, khiến người bệnh tự tin, ngại giao tiếp.
Chưa hết, sưng lợi có thể là dấu hiệu của một tình trạng nhiễm trùng đang diễn ra. Nếu không được điều trị, nhiễm trùng có thể lan sang các khu vực lân cận bao gồm các mô mềm khác và xương hàm, làm phát sinh các bệnh lý nha chu, như viêm nha chu là một ví dụ điển hình. Viêm nha chu có thể làm suy yếu các cấu trúc nâng đỡ răng. Nếu bệnh lý này tiến triển, có thể dẫn đến mất răng.
Sưng lợi và các bệnh lý nha chu có liên quan đến nhiều vấn đề sức khỏe tổng thể khác như đái tháo đường, các bệnh lý tim mạch và các bệnh lý hô hấp.
2.2. Điều trị tình trạng sưng lợi trong cùng
Nhận biết sớm và điều trị kịp thời sưng lợi trong cùng là vô cùng cần thiết để ngăn ngừa những nguy cơ của tình trạng đó và duy trì sức khỏe răng miệng lâu dài. Điều trị sưng lợi trong cùng cần phải dựa trên nguyên nhân gây ra nó. Người bệnh không thể biết chính xác sưng lợi phát sinh do đâu cho đến khi thăm khám với chuyên gia. Chính vì vậy, khi có dấu hiệu sưng lợi, bạn cần đến phòng khám nha uy tín gần nhất ngay. Tại đó, nha sĩ sẽ chỉ định phương pháp điều trị viêm lợi phù hợp cho bạn. Dưới đây là một số phương pháp điều trị bạn có thể sẽ được nha sĩ chỉ định:
Khi có dấu hiệu sưng lợi, bạn cần đến phòng khám nha uy tín gần nhất ngay.
2.2.1. Điều trị chuyên sâu tình trạng sưng lợi tại phòng nha
– Vệ sinh chuyên sâu, bao gồm vệ sinh mảng bám và lấy cao răng.
– Điều trị viêm lợi và viêm nha chu: Trong trường hợp viêm lợi nặng hoặc viêm nha chu, nha sĩ có thể đề xuất các phương pháp điều trị chuyên sâu như liệu pháp laser hoặc thậm chí là phẫu thuật nha chu.
2.2.2. Sử dụng thuốc
– Thuốc chống viêm: Trong trường hợp cần thiết, nha sĩ có thể kê đơn thuốc chống viêm hoặc thuốc giảm đau để giảm sưng và đau.
– Thuốc kháng sinh: Nếu có nhiễm trùng, người bệnh có thể cần sử dụng thuốc kháng sinh để điều trị.
2.2.3. Điều trị hỗ trợ tại nhà
– Chườm lạnh: Chườm lạnh vùng lợi bị sưng có thể giúp giảm viêm và đau.
– Súc miệng nước muối ấm: Súc miệng nước muối ấm vài lần một ngày có thể giúp giảm sưng và giảm viêm.
2.2.4. Vệ sinh răng miệng kỹ lưỡng
– Sử dụng bàn chải và kem đánh răng: Sử dụng bàn chải lông mềm và kem đánh răng chứa fluoride để đánh răng ít nhất hai lần mỗi ngày, buổi sáng và buổi tối.
– Sử dụng chỉ nha khoa: Sử dụng chỉ nha khoa sau khi vệ sinh răng miệng bằng bàn chải và kem đánh răng để vệ sinh mảng bám và thức ăn thừa giữa các kẽ răng, nơi bàn chải khó hoặc không thể tiếp cận.
– Sử dụng nước súc miệng: Sử dụng nước súc miệng kháng khuẩn sau khi vệ sinh răng miệng bằng bàn chải – kem đánh răng và chỉ nha khoa có thể giúp giảm sưng lợi.
Lưu ý: Khi vệ sinh răng miệng bằng các sản phẩm phía trên, bạn cần vệ sinh cẩn thận cả răng cửa lẫn răng hàm, cả mặt ngoài lẫn mặt trong và mặt nhai.
2.2.5.Điều chỉnh lối sống
– Ngừng hút thuốc lá: Hút thuốc lá là một trong những yếu tố gây hại lớn nhất cho sức khỏe lợi. Bỏ thuốc lá sẽ giúp cải thiện đáng kể tình trạng sưng lợi và sức khỏe răng miệng nói chung.
– Chế độ ăn uống lành mạnh: Ăn các thực phẩm giàu vitamin C và vitamin D cũng như canxi để tăng cường sức khỏe răng và lợi.
Tăng cường sức khỏe răng và lợi bằng cách ăn các thực phẩm giàu vitamin C và vitamin D cũng như canxi.
Sưng lợi trong cùng không chỉ gây khó chịu mà còn có thể là dấu hiệu của các vấn đề sức khỏe răng miệng nghiêm trọng. Đừng chần chừ khi bạn sưng lợi trong cùng, gặp nha sĩ ngay để được thăm khám và điều trị kịp thời. Và hãy nhớ, chăm sóc răng miệng đúng cách và duy trì lối sống lành mạnh có thể giúp bạn dự phòng hiệu quả tình trạng này, duy trì nụ cười rạng rỡ, bạn nhé!


















