Sâu tủy răng và những biến chứng khôn lường!
Tủy răng là bộ phận quan trọng, quyết định “sự sống” của mỗi chiếc răng. Do vậy sâu tủy răng không chỉ ảnh hưởng đến sức khỏe của răng mà còn có thể gây nên những biến chứng nghiêm trọng, bao gồm cả biến chứng đối với sức khỏe toàn thân.
1. Tủy răng là gì?

Tủy răng bình thường và tủy răng bị viêm
Một chiếc răng gồm có các bộ phận:
– Thân răng: là phần nhô lên khỏi nướu, bạn có thể dễ dàng nhìn thấy trong miệng, có chức năng nhai nghiền thức ăn.
– Chân răng: là phần răng nằm bên dưới nướu, trong xương hàm, chỉ có thể nhìn thấy qua film chụp Xquang hoặc khi răng được nhổ ra.
Cấu tạo nên toàn bộ chiếc răng là 3 lớp thành phần, tính từ ngoài vào trong là: men răng (cứng nhất), ngà răng (mềm hơn men răng) và ở phần lõi là 1 buồng rỗng chứa tủy răng. Buồng rỗng này tồn tại thông suốt từ thân răng (buồng tủy) đến chân răng (ống tủy), trong đó chứa tổ chức liên kết đặc biệt được gọi là tủy răng.
Tổ chức tủy răng gồm có động mạch, tĩnh mạch, thần kinh và các mao mạch bạch huyết của răng. Những thành phần này đóng vai trò quan trọng trong việc nuôi dưỡng và dẫn truyền cảm giác từ bên ngoài cho thân răng, cảm giác tủy răng mang lại là cảm giác ê buốt và cảm giác về lực.
2. Sâu tủy răng
2.1 Nguyên nhân sâu tủy răng
Sâu tủy răng là vấn đề bắt nguồn từ việc sâu răng kéo dài mà không được chữa trị. Khi tình trạng răng bị ăn mòn do vi khuẩn tạo thành các lỗ sâu mà không được điều trị, các lớp thành phần cứng của răng như men răng, ngà răng sẽ bị phá hủy nhiều hơn, vi khuẩn ăn sâu vào đến buồng tủy, tấn công tủy răng gây ra tình trạng viêm nhiễm, hay chúng ra còn gọi nôm na là sâu tủy răng.
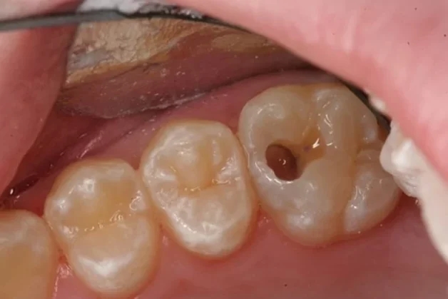
2.2 Biểu hiện khi bị sâu tủy răng

Khi sâu răng nặng sẽ hình thành các lỗ sâu lớn, gây ảnh hưởng đến tủy răng
Ban đầu khi tình trạng sâu lan rộng và vi khuẩn bắt đầu tấn công vào tủy, bạn có thể sẽ xuất hiện các cơn đau nhức răng thoáng qua. Ở thời điểm này, có thể bạn không để ý nhưng khi tình trạng này bị “bỏ bê”, viêm tủy sẽ nặng dần, đi kèm với cường độ và tần suất đau răng tăng dần.
Khi sâu răng ăn vào tủy một thời gian nếu không được chữa trị sớm sẽ khiến răng bị ê buốt, đau nhức dữ dội, khiến việc nhai nghiền thức ăn trở nên khó khăn do mô răng bị phá hủy và tổn thương. Trong giai đoạn này, răng rất nhạy cảm với các loại đồ ăn, thức uống có nhiệt độ nóng, lạnh bất thường hoặc đồ ăn cứng, giòn, thậm chí răng có thể đau buốt lan lên đau đầu ngay cả khi chỉ chạm nhẹ 2 hàm răng với nhau.
Vì tổ chức tủy nằm xuyên suốt bên trong răng nên phản ứng viêm của tủy răng sẽ xảy ra đồng thời ở cả buồn tủy và ống tủy khiến cơn đau càng dữ dội hơn.
Người bệnh gần như không ăn uống được sẽ làm ảnh hưởng tới sức khỏe, suy nhược cơ thể và ảnh hưởng cả tới công việc.
Đến lúc này nếu người bệnh còn chần chừ hoặc tự điều trị tại nhà theo các phương thức từ thành phần thiên nhiên, tình trạng viêm tủy có thể trầm trọng hơn nữa, nguy cơ hoại tử tủy tăng cao cùng nhiều biến chứng nghiêm trọng đối với sức khỏe toàn thân.
3. Biến chứng khi sâu tủy răng
Nhận biết được dấu hiệu sâu răng ngay từ khi khởi phát hoặc chưa quá nghiêm trọng có thể giúp người bệnh tránh được nhiều rủi ro nặng nề. Việc sâu ăn vào tới tủy răng không chỉ tạo thành ổ viêm nhiễm ngay tại vị trí răng nguyên nhân mà còn có thể gây ra biến chứng cho những răng lân cận, cho vùng hàm và nguy hiểm hơn có thể gây ảnh hưởng đến sức khỏe toàn thân, thậm chí có thể dẫn đến tử vong.
3.1 Biến chứng tại chỗ
– Răng sâu vào tủy dần làm chết tủy, hoại tử tủy, răng không còn được nuôi dưỡng sẽ yếu ớt, dễ gãy rụng.
– Sâu tủy răng, răng yếu ớt, lỗ sâu lan rộng dễ dàng gây vỡ thân răng: Lúc này thân răng không còn toàn vẹn và có hình dáng ban đầu, không thể đảm bảo chức năng ăn nhai nữa. Thân răng vỡ to, có thể mảnh vỡ lan xuống cả phần chân răng khiến răng lung lay, không thể giữ lại được.
– Viêm lợi chân răng, viêm nhiễm ở vùng chóp: Khi ổ viêm nhiễm tại buồng tủy răng không được điều trị sẽ lan xuống phần chóp răng (cuống răng), tạo thành ổ viêm mới ở vùng chóp răng, không chỉ gây đau răng, sưng má mà còn có thể khiến răng bị lung lay, áp xe chóp răng.
3.2 Biến chứng tại các vùng lân cận
Nếu răng sâu vào tủy không được điều trị ngay, vi khuẩn và viêm nhiễm sẽ ngày càng lan rộng ra các tổ chức lân cận như chóp răng, nướu răng, các răng lân cận và cả xương hàm. Tình trạng này không chỉ gây nhiều biến chứng nặng nề, ảnh hưởng nghiêm trọng đến chức năng ăn nhai mà còn ảnh hưởng trực tiếp đến thẩm mỹ, cấu trúc khuôn mặt của người bệnh, thậm chí có thể gây tử vong.

Nhiễm trùng từ răng sâu có thể lan rộng gây ảnh hưởng đến xương hàm
– Ổ nhiễm trùng sẽ lan rộng sang các răng xung quanh: Có những trường hợp nếu phát hiện sớm sự lây lan, các răng này có thể được điều trị kịp thời nhưng nếu coi nhẹ và để lâu sẽ đem tới nguy cơ phải nhổ hết các răng bị ảnh hưởng xung quanh để loại bỏ toàn bộ ổ viêm.
– Ổ nhiễm trùng từ tủy răng, chóp răng lan rộng gây viêm xương hàm, sau đó lan ra phần mềm và các tổ chức lân cận tạo thành ổ nhiễm trùng khó kiểm soát.
– Nhiễm trùng nặng tạo nang to, phá hủy xương hàm, làm xương hàm bị gãy, gây tổn thương thần kinh, mạch máu vùng mặt. Khi những biến chứng nghiêm trọng liên quan đến xương hàm như trên xảy ra, việc chữa trị sẽ cực kỳ phức tạp và để lại nhiều di chứng nặng nề. Nhiều trường hợp không thể khôi phục lại chức năng ăn nhai, không tái tạo được thẩm mỹ ban đầu và còn bị ảnh hưởng nghiêm trọng đến chất lượng cuộc sống.
3.3 Biến chứng toàn thân
Không chỉ mang đến những hậu quả về bệnh lý tại khu vực xung quanh, sâu tủy răng và viêm nhiễm nặng còn khiến bạn ăn uống kém, suy giảm cả về sức khỏe thể chất và tinh thần. Những ổ viêm nhiễm này là điều kiện thuận lợi để vi khuẩn xâm nhập được vào mạch máu của người bệnh và gây nên các biến chứng khó lường như:
– Suy giảm hệ thống miễn dịch
– Làm trầm trọng thêm các bệnh toàn thân có sẵn về tim mạch, hô hấp, tiểu đường…
– Nguy cơ gây viêm tủy, viêm xương, viêm nội khớp
– Viêm cầu thận và một số bệnh nội khoa nguy hiểm.
– Nhiễm trùng huyết, nghiêm trọng có thể dẫn tới tử vong.
Sâu tủy răng – vấn đề tưởng nhỏ mà không nhỏ với vô vàn cấc biến chứng nguy hiểm. Đừng để một chiếc răng sâu nhỏ nhoi gây ảnh hưởng lớn tới sức khỏe và cuộc sống của bạn. Hãy định kỳ thăm khám nha sĩ, có chế độ chăm sóc răng miệng phù hợp và thường xuyên theo dõi các dấu hiệu của răng để phát hiện sâu răng ngay từ những giai đoạn đầu. Việc điều trị sâu răng càng sớm thì hiệu quả càng cao, tránh được răng sâu vào tủy cũng như hạn chế tối đa các rủi ro mà người bệnh có thể gặp phải.