Sâu răng đục lỗ và cách điều trị hiệu quả
Sâu răng đục lỗ là tình trạng phổ biến mà nhiều người phải đối mặt. Sâu răng gây tổn thương cho mô răng, tạo ra lỗ và có thể gây viêm nhiễm sâu, thậm chí lan rộng đến tủy răng. Nếu không điều trị tình trạng này kịp thời, có thể xuất hiện nhiều biến chứng đe dọa sức khỏe răng miệng.
1. Nguyên nhân của sâu răng đục lỗ
Sâu răng đục lỗ là giai đoạn khá nghiêm trọng, xuất phát từ sâu răng nhưng không được xử lý kịp thời. Các vi khuẩn gây sâu răng lan tràn và gây mòn răng, tạo ra các lỗ lớn có màu đen trên bề mặt răng. Ban đầu, những lỗ sâu răng này có thể rất nhỏ và gần như không thể thấy bằng mắt thường, dẫn đến sự bất cẩn của người bệnh. Tuy nhiên, nếu người bệnh không duy trì vệ sinh răng miệng đúng cách, răng bị sâu lỗ nhỏ này có thể phát triển nhanh chóng thành những lỗ lớn, tiềm ẩn nhiều nguy cơ.
Sâu răng là tình trạng thường thấy nhưng cần được điều trị sớm
Hầu hết các trường hợp bị sâu răng lỗ to thường xuất phát từ răng hàm, bởi vị trí khá sâu bên trong miệng và răng hàm thường phải xử lý thức ăn. Việc dư thừa thức ăn kết hợp với khó khăn trong vệ sinh làm cho vi khuẩn gây sâu răng dễ phát triển. Khi sâu răng tiến triển, nó có thể dẫn đến răng ê buốt khi tiếp xúc với thức ăn nóng hoặc lạnh, gây khó khăn trong việc nhai thức ăn.
Răng bị sâu lỗ to là một vấn đề đáng lo ngại. Bởi sâu răng có thể lan rộng đến gần tủy răng, gây ra những cơn đau nhức và ê buốt. Sâu răng này có thể tác động đến các dây thần kinh và mạch máu tập trung trong chân răng. Sâu răng lỗ to cũng có thể kết hợp với việc sâu răng xâm nhập vào kẽ răng, tạo điều kiện cho vi khuẩn gây sâu răng phát triển nhanh chóng. Tất cả những vấn đề này có thể gây mất răng vĩnh viễn nếu không được xử lý kịp thời.
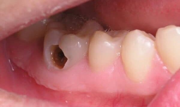
2. Những mức độ của tình trạng sâu răng đục lỗ
Tình trạng răng bị sâu lỗ to có thể chia thành 3 mức độ khác nhau dựa vào mức độ tổn thương của men răng, ngà răng và tủy răng bên trong, và từng mức độ sẽ có các triệu chứng riêng, cụ thể như sau:
Mức độ 1:
Mức độ này thường bắt đầu với răng sâu có lỗ nhỏ, như những đốm xám nhỏ trên bề mặt răng. Đây là biểu hiện ban đầu của tình trạng sâu răng nhẹ nên mọi người thường không để ý. Tuy nhiên, theo thời gian, vi khuẩn sẽ tiếp tục tấn công lớp men răng, gây ra các lỗ sâu to hơn.
Mức độ 2:
Sâu răng có lỗ thủng là mức độ nặng hơn, khi men răng và ngà răng đã bị hủy hoại. Răng sẽ trở nên nhạy cảm và có thể bị ê buốt khi tiếp xúc với thức ăn nóng hoặc lạnh. Nếu thức ăn kẹt vào lỗ thủng, điều này có thể gây ra khó chịu đặc biệt.
Mức độ 3:
Nếu sâu răng có lỗ thủng không được điều trị kịp thời, vi khuẩn có thể tiếp tục xâm chiếm mô tủy bên trong răng. Đây là nguyên nhân gây ra các cơn đau nhức mạnh và kéo dài. Tình trạng này còn tiến triển nặng hơn, có thể lan rộng viêm nhiễm hoặc gây chết tủy răng, làm cho răng trở nên yếu và dễ gãy vỡ.
Sâu răng càng nặng càng dễ có nhiều biến chứng nguy hiểm
3. Điều trị sâu răng đục lỗ như thế nào?
Sâu răng là một tình trạng bệnh lý phổ biến mà biểu hiện rõ nhất là sự xuất hiện của các đốm đen nhỏ trên bề mặt răng. Nó không chỉ gây mất đi sự thẩm mỹ mà còn gây sưng và đau nhức ở vùng răng bị ảnh hưởng. Trong những trường hợp nặng hơn, sâu răng còn có thể gây ra áp xe răng và thậm chí làm cho chân răng bị thủng.
Khi răng bị thủng lỗ do sâu răng, các chuyên gia nha khoa thường đề xuất những phương pháp điều trị phổ biến là hàn trám răng, bọc răng sứ hoặc trồng răng phục hình. Quá trình điều trị cụ thể sẽ tùy thuộc vào từng trường hợp của người bệnh mà bác sĩ sẽ chỉ định.
3.1. Hàn trám răng
Phương pháp hàn trám răng được áp dụng trong trường hợp răng bị sâu lỗ nhỏ và chỉ bị ảnh hưởng ban đầu. Bác sĩ sẽ loại bỏ hoàn toàn phần mô răng bị sâu, sau đó sử dụng chất trám răng đặc biệt để bịt vào các lỗ thủng. Cuối cùng, răng sẽ được đèn halogen chiếu để đông cứng, làm cho răng trở nên chắc khỏe và khôi phục khả năng nhai.
3.2. Bọc răng sứ
Phương pháp bọc răng sứ thường được áp dụng trong trường hợp răng bị sâu nặng và không thể trám lỗ bằng cách thông thường. Bác sĩ sẽ sử dụng lớp vỏ sứ có màu sắc và hình dáng tương tự như răng thật để bao quanh phần mài cùi răng và tạo ra một lớp sứ bọc bên ngoài. Điều này giúp ngăn ngừa việc lan tràn của vi khuẩn gây sâu răng, là nguyên nhân chính dẫn đến tình trạng răng thủng lỗ.
3.3. Nhổ và trồng răng phục hình
Trong những trường hợp sâu răng nặng nhất, khi viêm nhiễm lan rộng và răng mất chân, không thể phục hồi, bác sĩ có thể quyết định nhổ răng để ngăn ngừa biến chứng nguy hiểm hơn. Sau đó, để duy trì chức năng ăn nhai và tính thẩm mỹ của hàm răng, người bệnh có thể trồng răng phục hình.
Đến nha khoa để được tư vấn về cách điều trị răng sâu hợp lý nhất
4. Cách phòng ngừa sâu răng đục lỗ
Để đề phòng bệnh sâu răng thủng lỗ, mọi người cần tuân theo các quy tắc sau:
– Đánh răng đúng cách hai lần mỗi ngày, tránh chải răng theo hướng ngang, vì cách này có thể gây tổn thương cho men răng và tăng nguy cơ sâu răng.
– Tuân thủ chế độ ăn uống khoa học, hạn chế thức ăn và đồ uống quá nóng hoặc lạnh, tránh tiêu thụ thức ăn quá ngọt. Hãy bổ sung thêm thực phẩm giàu chất xơ như rau cải, củ, và quả.
– Sử dụng kem đánh răng chứa fluor để tăng cường sức khỏe răng và nướu.
– Dùng chỉ nha khoa để làm sạch mảng bám ở giữa các răng và ở phần chân răng.
– Súc miệng thường xuyên bằng nước muối hoặc dung dịch súc miệng để tiêu diệt khuẩn.
– Hãy đi khám răng định kỳ mỗi 6 tháng để phát hiện và kiểm soát các bệnh lý răng miệng, đặc biệt là tình trạng sâu răng thủng lỗ.
Điều trị sâu răng đục lỗ cần tiến hành càng sớm càng tốt để tránh tình trạng nghiêm trọng và tác động đến tủy răng, khó khôi phục. Mặc dù việc điều trị sâu răng không phức tạp, nhưng vẫn cần lựa chọn các cơ sở nha khoa uy tín với bác sĩ có kinh nghiệm để đảm bảo an toàn và hiệu quả.


















