Sâu nhiều răng: Nguyên nhân và cách điều trị hiệu quả
Sâu nhiều răng không chỉ ảnh hưởng đến thẩm mỹ nụ cười mà còn tiềm ẩn nguy cơ gây tổn hại toàn diện đến sức khỏe răng miệng nếu không được điều trị kịp thời. Tình trạng này ngày càng phổ biến ở cả trẻ nhỏ lẫn người trưởng thành, với nhiều nguyên nhân khác nhau – từ chế độ ăn uống đến thói quen chăm sóc răng miệng chưa đúng cách. Bài viết dưới đây sẽ giúp bạn hiểu rõ nguyên nhân gây sâu nhiều răng và hướng điều trị hiệu quả nhất hiện nay.
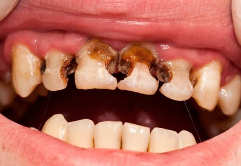
1. Sâu nhiều răng là gì?
Sâu nhiều răng là tình trạng xuất hiện đồng thời nhiều răng bị tổn thương do vi khuẩn gây sâu răng tấn công men và ngà răng. Không chỉ xảy ra ở răng hàm – nơi dễ bị mảng bám tích tụ, sâu nhiều răng còn có thể xuất hiện ở răng cửa, răng nanh nếu việc vệ sinh răng miệng không được thực hiện đúng cách.
Ở giai đoạn đầu, sâu răng có thể chỉ là những đốm trắng nhỏ trên bề mặt răng. Tuy nhiên, khi vi khuẩn tiếp tục phá hủy mô răng, lỗ sâu ngày càng lan rộng, khiến răng bị ê buốt, đau nhức và dễ gãy vỡ.

2. Nguyên nhân gây sâu nhiều răng
Tình trạng sâu nhiều răng là dấu hiệu cảnh báo sức khỏe răng miệng đang gặp vấn đề nghiêm trọng. Không chỉ ảnh hưởng đến thẩm mỹ và chức năng ăn nhai, sâu nhiều răng còn tiềm ẩn nguy cơ gây viêm tủy, mất răng hàng loạt nếu không được xử lý kịp thời. Tình trạng này thường xuất phát từ những lý do phổ biến dưới đây:
2.1. Chăm sóc răng miệng không đúng cách là nguyên nhân thường gặp gây sâu nhiều răng
Đây là nguyên nhân hàng đầu gây ra sâu nhiều răng cùng lúc. Việc chải răng không đều đặn, chải không đúng kỹ thuật hoặc bỏ qua bước làm sạch kẽ răng bằng chỉ nha khoa khiến mảng bám và vi khuẩn tích tụ ngày càng nhiều. Mảng bám chứa hàng triệu vi khuẩn, khi không được loại bỏ kịp thời sẽ tạo ra axit ăn mòn men răng và gây tổn thương trên nhiều răng khác nhau. Đặc biệt, nếu không súc miệng sau ăn hoặc trước khi đi ngủ, vi khuẩn sẽ có thời gian dài hoạt động, làm tăng nguy cơ sâu lan rộng.

2.2. Lạm dụng đồ ngọt trong chế độ ăn uống hàng ngày
Khi bạn thường xuyên tiêu thụ thực phẩm và đồ uống có hàm lượng đường cao như bánh kẹo, trà sữa, nước ngọt có gas, vi khuẩn sẽ phân giải đường và tạo ra axit. Axit này tấn công men răng liên tục, làm mất khoáng và hình thành nhiều ổ sâu nhỏ ở nhiều vị trí. Nếu kết hợp với thói quen vệ sinh răng miệng kém, tình trạng sâu nhiều răng là điều không thể tránh khỏi.
2.3. Thiếu fluoride
Fluoride đóng vai trò như một “lá chắn” bảo vệ men răng khỏi sự tấn công của axit. Khoáng chất này giúp men răng chắc khỏe, thúc đẩy quá trình tái khoáng các vùng răng bị tổn thương nhẹ. Khi không bổ sung đầy đủ fluoride – do không dùng kem đánh răng chứa fluoride, hoặc sử dụng nguồn nước sinh hoạt không có khoáng chất này – men răng sẽ dễ suy yếu, tạo điều kiện cho vi khuẩn tấn công đồng loạt trên nhiều răng.
2.4. Khô miệng kéo dài
Nước bọt có nhiệm vụ làm sạch khoang miệng, trung hòa axit và hỗ trợ tiêu hóa. Khi lượng nước bọt tiết ra không đủ, các mảng bám và vi khuẩn sẽ dễ dàng tồn tại và phát triển mạnh. Tình trạng khô miệng có thể do nhiều nguyên nhân như: uống không đủ nước, tác dụng phụ của thuốc (thuốc chống dị ứng, thuốc trầm cảm…), rối loạn tuyến nước bọt hoặc một số bệnh lý nền. Người bị khô miệng kéo dài thường có nguy cơ sâu nhiều răng hơn so với người bình thường.
2.5. Các yếu tố di truyền hoặc cấu trúc răng bất lợi
Một số người bẩm sinh có men răng yếu hoặc răng mọc lệch, chen chúc khiến việc vệ sinh răng miệng gặp khó khăn. Răng mọc sát nhau khiến mảng bám dễ tích tụ trong các kẽ hẹp mà bàn chải khó làm sạch, tạo điều kiện cho vi khuẩn sinh sôi. Ngoài ra, yếu tố di truyền cũng có thể ảnh hưởng đến độ chắc khỏe của men răng và khả năng kháng khuẩn tự nhiên trong khoang miệng, làm tăng nguy cơ sâu răng diện rộng.
3. Dấu hiệu nhận biết tình trạng sâu nhiều răng
Tình trạng sâu nhiều răng thường biểu hiện qua một số dấu hiệu đặc trưng như: xuất hiện nhiều đốm đen hoặc các lỗ nhỏ li ti trên bề mặt răng; cảm giác ê buốt khi ăn đồ nóng, lạnh, ngọt hoặc chua; hơi thở có mùi hôi kéo dài dù đã vệ sinh răng miệng kỹ lưỡng. Ngoài ra, răng có thể đổi màu, trở nên giòn, dễ sứt mẻ khi nhai thức ăn cứng, kèm theo những cơn đau nhức lan rộng ra vùng hàm, nướu hoặc thậm chí lên cả đầu. Nếu không được phát hiện và điều trị kịp thời, sâu nhiều răng có thể dẫn đến các biến chứng nghiêm trọng như viêm tủy, áp xe răng hoặc mất răng vĩnh viễn.
4. Giải pháp khắc phục tình trạng sâu nhiều răng một cách hiệu quả
4.1. Nên khám răng định kỳ để sớm phát hiện và xử lý sâu nhiều răng
Việc thăm khám định kỳ giúp phát hiện sâu răng ở giai đoạn đầu – khi việc điều trị còn đơn giản và ít tốn kém. Nha sĩ sẽ đánh giá mức độ tổn thương của từng răng và chỉ định phương pháp điều trị phù hợp.

4.2. Điều trị bằng hàn răng (trám răng)
Đối với những răng bị sâu nhẹ hoặc trung bình, bác sĩ sẽ loại bỏ phần mô răng bị tổn thương và sử dụng vật liệu nha khoa chuyên biệt để trám lại vùng bị sâu, giúp ngăn chặn vi khuẩn tiếp tục phát triển. Đây là một trong những phương pháp điều trị đơn giản, được áp dụng phổ biến nhờ hiệu quả phục hồi nhanh chóng.
4.3. Điều trị tủy răng
Nếu răng bị sâu nặng, lan vào tủy, người bệnh cần được điều trị tủy để loại bỏ vi khuẩn và viêm nhiễm. Sau đó, răng có thể được bọc sứ để đảm bảo tính thẩm mỹ và độ bền.
4.4. Tiến hành loại bỏ răng sâu đã mất chức năng phục hồi
Trong trường hợp răng bị phá hủy quá nhiều, không còn khả năng phục hồi, bác sĩ có thể chỉ định nhổ bỏ và phục hình bằng răng giả, cầu răng hoặc cấy ghép implant.
5. Cách phòng ngừa nhiều răng sâu tái phát
Để ngăn ngừa tình trạng nhiều răng sâu cùng lúc tái phát, việc duy trì thói quen chăm sóc răng miệng khoa học là điều hết sức cần thiết. Duy trì thói quen đánh răng 2 lần/ngày với kem chứa fluoride để bảo vệ men răng, kết hợp sử dụng chỉ nha khoa và nước súc miệng để làm sạch sâu các kẽ răng – nơi vi khuẩn thường tích tụ. Bên cạnh đó, bạn nên hạn chế tiêu thụ đồ ngọt, nước có gas và tăng cường uống nước lọc để giữ độ ẩm cho khoang miệng. Đừng quên thăm khám nha khoa định kỳ 6 tháng/lần để sớm phát hiện các vấn đề tiềm ẩn. Bên cạnh đó, dinh dưỡng hợp lý cũng ảnh hưởng lớn đến sức khỏe răng miệng – ưu tiên bổ sung canxi và vitamin D sẽ giúp răng chắc khỏe, bảo vệ men răng và hạn chế nguy cơ sâu răng.
Nhiều răng sâu cùng lúc là tình trạng không thể chủ quan. Việc chủ động chăm sóc răng miệng đúng cách kết hợp thăm khám nha khoa định kỳ là giải pháp tối ưu để ngăn ngừa và điều trị hiệu quả tình trạng này. Nếu bạn đang gặp phải các dấu hiệu nghi ngờ sâu răng trên nhiều răng, hãy nhanh chóng đến cơ sở nha khoa uy tín để được chẩn đoán và xử lý kịp thời – đừng để sâu răng hủy hoại nụ cười và sức khỏe của bạn.

















