Răng cửa bị sâu và mẻ – Phòng ngừa và xử lý
Răng cửa bị sâu và mẻ khiến chúng ta ngại ngùng trong giao tiếp, tự ti với nụ cười của chính mình. Đây cũng là nguyên nhân khiến chúng ta bỏ lỡ nhiều cơ hội trong cuộc sống. Chính vì thế, xử lý tình trạng sâu, sứt mẻ răng cửa là điều rất cần thiết. Hãy cùng TCI tham khảo ngay bài viết dưới đây để cùng tìm cho mình cách đối phó với tình trạng mất thẩm mỹ do răng cửa này.
1. Tình trạng răng cửa sâu, sứt mẻ
Răng cửa là nhóm các răng nằm phía trước cung hàm, ở vị trí giữa, chính diện hàm răng khi người khác nhìn. Vị trí đặc biệt và ưu tiên này khiến răng cửa khá nổi bật và dễ thu hút ánh nhìn của người khác. Tuy vậy, đó cũng là vị trí dễ khiến răng cửa bị tổn thương, nhất là dễ sứt mẻ vì cắn các đồ vật cứng, hoặc nhiễm màu, mảng bám vì tiếp xúc với đồ ăn thức uống trực tiếp.
Sâu răng và mẻ răng là hai vấn đề nha khoa phổ biến thường xảy ra với răng cửa, ảnh hưởng không chỉ đến thẩm mỹ mà còn cả sức khỏe của hàm răng.
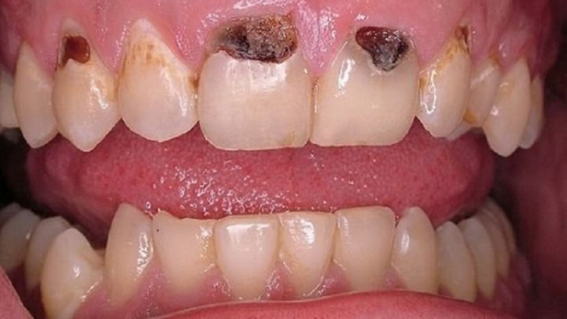
Hình ảnh minh họa răng cửa bị sâu và mẻ
1.1. Sâu răng cửa
Sâu răng là tình trạng lớp men răng (lớp ngoài cùng của răng) bị vi khuẩn tấn công và phá hủy, tạo thành lỗ hổng trên bề mặt răng. Nếu không được điều trị kịp thời, sâu răng có thể lan rộng vào tủy răng gây viêm tủy, áp xe, thậm chí mất răng.
Sâu răng cửa thường do một số nguyên nhân gây nên như:
– Vệ sinh răng miệng kém: Không đánh răng thường xuyên (ít nhất 2 lần/ngày), không chải kẽ răng, bỏ qua việc sử dụng chỉ nha khoa.
– Chế độ ăn uống: Thích ăn đồ ngọt, thức ăn nhanh, đồ uống có gas, nước ngọt có màu, ít ăn trái cây và rau xanh.
– Khô miệng: Do một số bệnh lý hoặc tác dụng phụ của thuốc.
– Yếu tố di truyền: Cơ địa dễ bị sâu răng.
1.2. Mẻ răng cửa
Mẻ răng cửa là tình trạng lớp men răng cửa bị sứt mẻ, bể vỡ một phần, lộ ra lớp ngà bên trong. Tình trạng mẻ răng có thể nhỏ hay lớn tùy thuộc tình huống và nguyên nhân hình thành việc mẻ răng. Các nguyên nhân dễ mẻ răng như:
– Chấn thương: Va đập mạnh do tai nạn, té ngã, chơi thể thao.
– Thói quen ăn uống: Nhai đá, cắn bút, tăm xỉa răng, móng tay.
– Răng yếu: Do thiếu canxi, men răng kém, hoặc mắc các bệnh lý nha khoa như viêm nha chu, mòn cổ chân răng.
– Căng thẳng: Căng thẳng thường khiến chúng ta siết hàm mạnh hơn, đồng thờ dễ nghiến răng khi ngủ.
1.3. Hậu quả do răng cửa bị sâu và mẻ
Tình trạng sâu mẻ răng cửa để lại nhiều hệ quả:
– Ảnh hưởng thẩm mỹ: Răng cửa bị sâu và mẻ khiến nụ cười trở nên mất thẩm mỹ, thiếu tự tin khi giao tiếp.
– Gây khó chịu khi ăn uống: Sâu răng có thể gây ê buốt, nhức nhối khi ăn nóng, lạnh, ngọt, chua. Mẻ răng khiến cảm giác ăn nhai trở nên khó khăn, vướng víu.
– Nguy cơ biến chứng: Sâu răng nếu không điều trị kịp thời có thể lan rộng vào tủy răng, gây viêm tủy, ảnh hưởng đến sức khỏe răng miệng và cơ thể.
Răng cửa sâu, mẻ gây ảnh hưởng đến thẩm mỹ và sức khỏe răng miệng
– Mất răng: Trong trường hợp mẻ răng nặng hoặc sâu răng không thể phục hồi, có thể dẫn đến tình trạng mất răng.
Rất nhiều trường hợp răng cửa khiếm khuyết, khiến chúng ta không nắm bắt được những cơ hội tốt. Bên cạnh đó, nguy cơ ảnh hưởng đến tủy răng và sự tổn tại của răng từ các vấn đề này cũng là vấn đề nghiêm trọng, đáng báo động. Do đó, nên sớm tìm cách điều trị và luôn nâng cao tinh thần cảnh giác với tình trạng sâu mẻ răng cửa.
2. Điều trị, phòng ngừa sâu răng cửa
2.1. Chữa răng cửa bị sâu và mẻ
Tùy theo mức độ bệnh trạng của răng mà các bác sĩ nha khoa sẽ đề xuất các hình thức điều trị khác nhau. Tuy nhiên, các bác sĩ răng hàm mặt TCI khuyến nghị: việc điều trị sớm luôn là điều cần thiết để đạt hiệu quả tối ưu, tránh biến chứng, công tác điều trị nhanh chóng và tiết kiệm chi phí cho người bệnh. Chính vì thế, nên sớm đến các cơ sở nha khoa uy tín để được thăm khám và chữa răng cửa sâu, mẻ đúng cách.
Với răng sâu, sau khi loại bỏ phần răng bị sâu và vi khuẩn bởi nha sĩ, răng sâu thường để lại lỗ hổng gây thiếu thẩm mỹ. Tùy theo mức độ của lỗ hổng để lại này mà người bệnh có thể cân nhắc đến những phương pháp khác nhau. Cùng với đó, tình trạng mẻ răng cũng được xem xét phục hồi theo các cách tương ứng với mức độ của mình.
2.1.1. Trường hợp nhẹ
– Răng cửa sâu nhẹ, lỗ hổng nhỏ, không đáng kể và tình trạng mẻ răng nhỏ, chúng ta có thể lựa chọn việc trám răng. Khi đó, các bác sĩ sẽ sử dụng vật liệu trám (như composite) để trám vào lỗ hổng, nơi sứt mẻ, giúp phục hồi hình dạng và chức năng của răng.
Phương pháp này khá đơn giản, nhanh chóng, với chi phí thấp,có thể bảo tồn tối đa mô răng thật. Tuy nhiên, độ bền của vật liệu trám thường không cao bằng các phương pháp khác, có thể bị bong tróc sau một vài năm nhất định, nhất là với khu vực răng cửa thường xuyên cắn các đồ cứng.
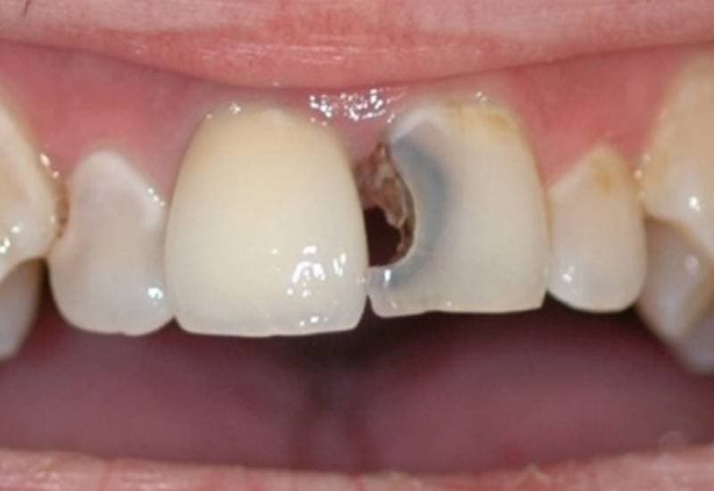
Thăm khám và điều trị răng sâu, khiếm khuyết theo đúng tình trạng, bệnh lý
2.1.2. Trường hợp nặng
Răng sâu nặng, tình trạng sâu răng đã lan vào tủy răng, gây viêm tủy hoặc áp xe, bác sĩ nha khoa sẽ tiến hành lấy tủy răng, sau đó trám bít ống tủy và phục hồi phần thân răng bằng cách trám hoặc bọc răng sứ. Với cách này, bác sĩ sẽ loại bỏ hoàn toàn phần tủy răng bị viêm, ngăn ngừa nguy cơ biến chứng. Phương pháp này sẽ có chi phí tốn kém hơn so với trám răng thông thường. Một số trường hợp người thực hiện tay nghề không cao hoặc răng tổn thương nặng, người bệnh có thể làm giảm độ nhạy cảm của răng.
Với tình trạng răng cửa bị sâu nặng và tổn thương nhiều, hoặc sau khi lấy tủy răng, nha sĩ có thể chỉ định bọc răng sứ để bảo vệ và phục hồi thẩm mỹ cho răng. Bọc răng sứ có độ bền cao, thẩm mỹ tốt, có thể tồn tại 10-20 năm. Phương pháp này cần mài đi một phần mô răng thật, có thể gây nhạy cảm răng, đồng thời chi phí sẽ cao hơn hình thức trám răng.
Trong trường hợp nặng nhất khi răng cửa có dấu hiệu không thể phục hồi, việc trồng răng mới có thể là phương pháp mà người bệnh cần cân nhắc.
Tong các trường hợp trên, tình trạng mẻ răng cũng có thể ảnh hưởng đến phương pháp điều trị có thể sẽ là lựa chọn đảm bảo duy trì chức năng của răng lâu dài.
2.2. Phòng ngừa răng cửa sâu, sứt mẻ
Để tránh việc răng cửa bị sâu, sứt mẻ, cần nhớ:
– Vệ sinh răng miệng kỹ lưỡng: Đánh răng đúng kỹ thuật, chải kẽ răng, sử dụng chỉ nha khoa và nước súc miệng.
– Chế độ ăn uống hợp lý: Hạn chế đồ ngọt, thức ăn nhanh, đồ uống có gas, bổ sung nhiều trái cây, rau xanh và thực phẩm giàu canxi.
– Khám răng định kỳ: Đi khám nha sĩ ít nhất 6 tháng/lần để phát hiện sớm và điều trị kịp thời các vấn đề về răng miệng.
– Tránh thói quen nguy hiểm: Không nhai đá, cắn bút, tăm xỉa răng, móng tay, sử dụng dụng cụ bảo vệ răng miệng khi chơi thể thao, giảm căng thẳng, stress để tránh nghiến răng khi ngủ.
– Bổ sung fluor hoặc bôi vecni fluor dự phòng sâu răng
Tóm lại:
Nhìn chung, khi gặp tình trạng răng cửa bị sâu và mẻ, bạn nên sớm đến các cơ sở nha khoa uy tín để được thăm khám và điều trị phù hợp, tránh các biến chứng lâu dài và tiết kiệm chi phí. Đặc biệt, cần tuân thủ hướng dẫn và chỉ định của bác sĩ để việc điều trị đạt hiệu quả tốt. Bên cạnh đó, đừng quên những cách phòng ngừa bệnh bằng việc vệ sinh răng và khám định kỳ để luôn bảo vệ sức khỏe răng miệng.
















