Quá trình niềng răng hô bằng phương pháp mắc cài
Răng hô là một trong những khuyết điểm thường gặp, gây mất cân đối cho gương mặt, khiến người bệnh tự ti và có nguy cơ gặp phải các bệnh lý răng miệng nghiêm trọng. Một trong những phương pháp hiệu quả để xử lý tình trạng này chính là niềng răng. Vậy quá trình niềng răng hô diễn ra như thế nào?
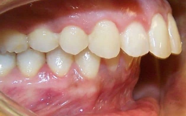
1. Tìm hiểu về răng hô
Răng hô gây mất thẩm mỹ và ảnh hưởng nghiêm trọng đến sức khỏe răng miệng
Răng hô (vẩu, khớp cắn sâu) là tình trạng hàm trên bị nhô ra trước so với hàm dưới, dẫn đến khớp cắn bị lệch và gây mất thẩm mỹ. Khuyết điểm này gây ra nhiều ảnh hưởng như:
– Gương mặt bị mất cân đối, hài hòa và tính thẩm mỹ.
– Ảnh hưởng trực tiếp đến sức khỏe răng miệng, tác động xấu đến khớp thái dương.
Có nguyền nguyên nhân gây ra tình trạng răng hô như:
– Răng hô do răng: Nguyên nhân là do răng bị lệch; răng có kích thước quá to, khiến cho khung hàm không đủ; có thói quen xấu như mút tay, ngậm ti giả trong thời gian thay răng; răng sữa rụng sớm nhưng không có biện pháp khắc phục…Phương pháp khắc phục là thực hiện niềng răng.
– Răng hô do hàm: Răng mọc bình thường nhưng cấu trúc hàm phát triển ngoài dự kiến, hàm trên phì đại, phát triển quá so với hàm dưới. Để xử lý tình trạng này, cần phải thực hiện phẫu thuật chỉnh xương hàm.
– Răng hô do cả răng và hàm: Răng bị nhô ra phía trước do cả 2 yếu tố kể trên. Nếu muốn khuyết điểm này được khắc phục, cần phải sử dụng cả 2 phương pháp phẫu thuật xương hàm và thực hiện niềng răng.
2. Niềng răng hô bằng phương pháp mắc cài
Niềng răng hô là phương pháp thẩm mỹ hiệu quả lâu dài, sử dụng các khí cụ như mắc cài, dây cung, dây thun, khay niềng…để điều chỉnh khuyết điểm và đưa răng về đúng vị trí trên cung hàm. Hiện nay, có nhiều phương pháp niềng răng mắc cài để khách hàng có thể lựa chọn như: Niềng răng bằng mắc cài kim loại, niềng răng bằng mắc cài nắp tự động (mắc cài tự buộc), niềng răng bằng mắc cài sứ và niềng răng bằng mắc cài mặt trong (mặt lưỡi). Để biết phương pháp nào phù hợp với khuyết điểm răng của mình, bạn nên đến các cơ sở nha khoa uy tín để được bác sĩ tư vấn.
3. Quá trình niềng răng hô bằng phương pháp mắc cài
3.1 Thăm khám tổng quát
Bệnh nhân được tiến hành thăm khám tổng quát tình trạng răng miệng để xác định mức độ khuyết điểm, từ đó có thể lên phác đồ niềng răng phù hợp. Sau đó, bệnh nhân sẽ được giới thiệu và tư vấn phương pháp phù hợp. Trường hợp bệnh nhân có bệnh lý răng miệng, bác sĩ sẽ tư vấn điều trị khỏi trước khi niềng răng.
Khi thăm khám tổng quát, bác sĩ sẽ phân tích tình trạng răng và tư vấn cho bệnh nhân phương pháp phù hợp
3.2 Vệ sinh răng miệng
Bệnh nhân được vệ sinh răng miệng sạch sẽ bằng dung dịch sát khuẩn chuyên dụng để đảm bảo việc gắn mắc cài diễn ra thuận lợi và xử lý những tồn đọng còn trong khoang miệng.
3.3 Gắn khí cụ
Bác sĩ bôi keo nha khoa lên bề mặt răng, sau đó dùng đèn quang trùng hợp để keo khô lại và được cố định trên răng. Thao tác gắn mắc cài sẽ được thực hiện ở từng răng cho đến khi hoàn thiện cả hàm. Cuối cùng, dây cung được đặt vào và dây chun được gắn vào từng mối mắc cài để cố định dây cung.
3.4 Tái khám định kỳ
Sau đó, bệnh nhân sẽ được tái khám định kỳ để kiểm tra tình trạng niềng răng. Thời gian đầu, lịch tái khám sẽ dày hơn vì đây là giai đoạn răng dịch chuyển nhiều, cần theo dõi sát sao để kịp thời xử lý khi có bất thường. Khi răng đã ổn định rồi thì số lần tái khám sẽ giảm đi.
3.5 Tháo mắc cài
Khi quá trình niềng đã kết thúc, bác sĩ sẽ tháo mắc cài và tiến hành vệ sinh răng miệng, lấy cao răng và đánh bóng răng. Cuối cùng, bệnh nhân sẽ được đưa niềng duy trì để đeo tại nhà, giúp răng ổn định và không bị chạy về vị trí cũ. Sau một thời gian, bạn sẽ không phải đeo hàm duy trì nữa và cần tái khám định kỳ tối thiểu 6 tháng/lần để kiểm tra tình trạng răng thường xuyên.
Sau khi tháo mắc cài, người bệnh nên khám sức khỏe định kỳ để kiểm tra tình trạng răng miệng thường xuyên
Mong rằng, bài viết trên của chúng tôi đã mang đến những thông tin hữu ích về quá trình niềng răng hô. Nếu có bất cứ thắc mắc gì, bạn có thể đến các cơ sở y tế uy tín để được bác sĩ tư vấn phương pháp niềng răng phù hợp với tình trạng khuyết điểm cũng như khả năng tài chính của bản thân.


















