Nước súc miệng lấy cao răng – Những sự thật bạn cần biết
Nước súc miệng từ lâu đã trở thành sản phẩm vệ sinh răng miệng quen thuộc, giúp mang lại hơi thở thơm mát và bảo vệ sức khỏe răng miệng. Tuy nhiên, trong thời gian gần đây, nhiều người truyền tai nhau về công dụng “thần kỳ” của nước súc miệng lấy cao răng. Vậy, sự thật là gì?
1. Hiểu đúng về nước súc miệng và cao răng
1.1. Thành phần nước súc miệng
Nước súc miệng là dung dịch dạng lỏng được sử dụng trong vệ sinh khoang miệng, nhằm hỗ trợ loại bỏ vi khuẩn, mảng bám, thức ăn thừa và giảm hôi miệng. Nước súc miệng được các bác sĩ răng hàm mặt khuyến khích sử dụng và nhấn mạnh vai trò quan trọng trong việc duy trì sức khỏe răng miệng và mang lại hơi thở thơm mát.
Nước súc miệng là sản phẩm được khuyên dùng thường xuyên trong chăm sóc răng miệng
Mỗi sản phẩm nước súc miệng có thể có những thành phần khác nhau, định lượng khác nhau do công thức riêng của từng nhà sản xuất. Thông thường, nước súc miệng sẽ có những thành phần như:
– Chất sát khuẩn (Chlorhexidine gluconate, cetylpyridinium chloride,…).
– Chất làm thơm miệng (Menthol, hương bạc hà, hương trái cây,…)
– Chất chống mảng bám (Fluoride, baking soda,…)
– Chất làm se nướu
– Vitamin và khoáng chất
1.2. Công dụng chính
Nước súc miệng mang lại nhiều công dụng:
– Loại bỏ vi khuẩn, mảng bám, thức ăn thừa: Nước súc miệng giúp làm sạch những vị trí mà bàn chải và chỉ nha khoa khó tiếp cận, góp phần loại bỏ vi khuẩn, mảng bám và thức ăn thừa còn sót lại sau khi đánh răng.
– Giảm hôi miệng: Nước súc miệng giúp tiêu diệt vi khuẩn gây hôi miệng, đồng thời tạo cảm giác the mát, sảng khoái và khử mùi hôi trong khoang miệng.
– Ngăn ngừa sâu răng và các bệnh lý nha chu: Nước súc miệng có chứa fluoride giúp ngăn ngừa sự hình thành mảng bám – nguyên nhân chính gây sâu răng và các bệnh lý nha chu.
– Làm dịu nướu: Một số loại nước súc miệng có chứa các chất làm se nướu giúp giảm tình trạng sưng nướu, chảy máu chân răng.
– Tăng cường sức khỏe răng miệng: Một số loại nước súc miệng bổ sung vitamin và khoáng chất giúp tăng cường sức khỏe nướu và bảo vệ răng miệng.
1.3. Bản chất của cao răng
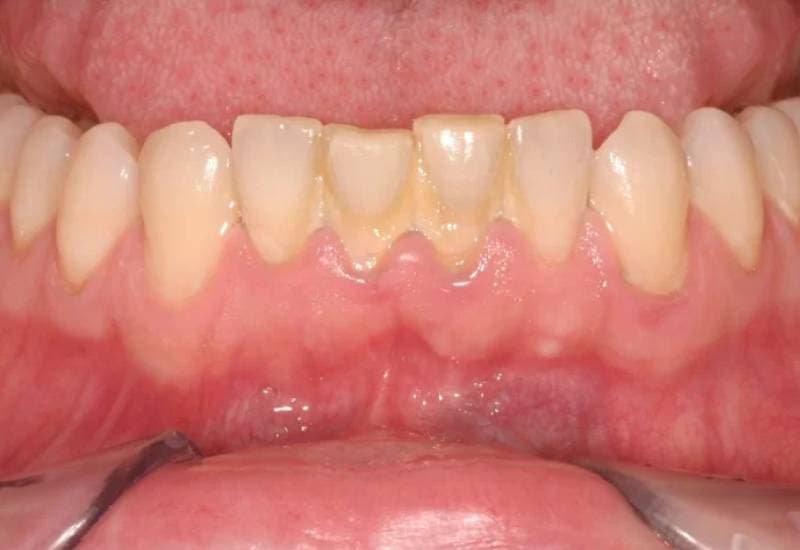
Cao răng, hay còn gọi là vôi răng, là một vấn đề răng miệng phổ biến, ảnh hưởng đến mọi lứa tuổi. Cao răng hình thành do sự tích tụ và vôi hóa của mảng bám trên bề mặt răng, đặc biệt là ở phần tiếp giáp giữa răng và nướu. Hiện tượng này cũng là nguyên nhân dẫn đến nhiều vấn đề răng miệng như: viêm nướu, sâu răng, hôi miệng, tụt nướu, thậm chí là nguy cơ mất răng.
Cao răng là nguyên nhân dẫn đến nhiều vấn đề răng miệng
Thành phần hình thành cao răng bao gồm khoảng 70% là muối khoáng vô cơ (canxi, phosphate, magie) và 30% là các thành phần hữu cơ (vi khuẩn, tế bào bong tróc, thức ăn thừa).Sự kết hợp này khiến cao răng thường có màu vàng, nâu hoặc trắng ngà, tùy thuộc vào thời gian tích tụ và thành phần.
Trong các vấn đề về răng miệng, mảng bám là lớp màng nhầy do vi khuẩn, thức ăn thừa và các chất tiết trong miệng tạo thành. Sự vôi hóa của mảng bám hình thành cao răng. Chính vì thế, cao răng cứng hơn mảng bám nhiều, bám chặt vào bề mặt răng và khó loại bỏ bằng bàn chải hay chỉ nha khoa.
2. Sự thật về nước súc miệng giúp loại bỏ cao răng
2.1. Liệu có nước súc miệng lấy cao răng?
Trên thị trường hiện nay, không ít các sản phẩm nước súc miệng được gắn mác quảng cáo với tác dụng “loại bỏ cao răng”. Trong khi đó, xét về thành phần của nước súc miệng, sản phẩm này thông thường chỉ có tác dụng sát khuẩn, làm sạch khoang miệng và giảm hôi miệng. Chúng không có khả năng trực tiếp hòa tan hoặc đánh bật cao răng đã bám cứng trên răng.
Tuy nhiên, một số loại nước súc miệng có thể chứa các thành phần giúp ngăn ngừa sự hình thành cao răng bằng cách:
– Giảm lượng vi khuẩn trong khoang miệng: Vi khuẩn là yếu tố chính tạo nên mảng bám, tiền đề cho sự hình thành cao răng. Các thành phần như chlorhexidine gluconate, cetylpyridinium chloride có khả năng tiêu diệt vi khuẩn hiệu quả.
– Làm giảm độ bám dính của mảng bám: Một số loại nước súc miệng có chứa các chất như baking soda, pyrophosphate giúp làm giảm độ bám dính của mảng bám trên răng, giúp việc đánh răng và sử dụng chỉ nha khoa dễ dàng hơn.
Do đó, sử dụng nước súc miệng có thể hỗ trợ ngăn ngừa sự hình thành cao răng, nhưng không thể thay thế cho việc lấy cao răng định kỳ tại nha khoa. Việc lấy cao răng cần được thực hiện bởi nha sĩ có chuyên môn để loại bỏ hoàn toàn cao răng bám trên răng, giúp bảo vệ sức khỏe răng miệng hiệu quả.
2.2. Cẩn trọng trước những sản phẩm gắn mác nước súc miệng lấy cao răng
Một số sản phẩm được quảng cáo là “nước súc miệng lấy cao răng” thường chứa các thành phần như:
– Chlorhexidine gluconate: Chất sát khuẩn giúp tiêu diệt vi khuẩn trong mảng bám.
– Baking soda: Chất giúp trung hòa axit trong khoang miệng và làm giảm độ bám dính của mảng bám.
– Hydrogen peroxide: Chất oxy hóa giúp tiêu diệt vi khuẩn và làm mềm mảng bám.
Tuy nhiên, hiệu quả của các thành phần này trong việc loại bỏ cao răng còn nhiều hạn chế và chưa được kiểm chứng đầy đủ. Việc sử dụng những sản phẩm này thường xuyên có thể gây ra một số tác hại như:
– Kích ứng nướu: Các chất sát khuẩn trong nước súc miệng có thể gây kích ứng nướu, dẫn đến tình trạng sưng đỏ, chảy máu chân răng.
– Mòn men răng: Baking soda có tính mài mòn nhẹ, sử dụng lâu dài có thể làm mòn men răng, khiến răng nhạy cảm.
– Rối loạn hệ vi sinh vật trong khoang miệng: Việc sử dụng quá nhiều nước súc miệng có thể tiêu diệt cả vi khuẩn có lợi trong khoang miệng, dẫn đến mất cân bằng hệ vi sinh vật và gây ra các vấn đề về tiêu hóa.
Do đó, cần cẩn trọng trước những sản phẩm được quảng cáo là “nước súc miệng lấy cao răng”. Việc loại bỏ cao răng hiệu quả và an toàn cho chúng ta vẫn là đến nha khoa để được nha sĩ cạo vôi răng định kỳ 6 tháng/lần.
Bạn nên thăm khám nha khoa để được tư vấn và có cách lấy cao răng an toàn, hiệu quả
Những sản phẩm được quảng cáo là “nước súc miệng lấy cao răng” hiện nay đang bị đánh tráo các khái niệm và công dụng thành phần, gây hiểu lầm cho chúng ta. Để loại bỏ cao răng hiệu quả, việc đến các nha khoa uy tín định kỳ lấy cao răng vẫn là điều cần thiết và được các nha sĩ khuyến khích. Bên cạnh đó, khám nha định kỳ cũng là cách giúp chúng ta kiểm tra sức khỏe, tầm soát bệnh răng miệng. Do đó, hãy thực hiện việc thăm khám này như thói quen tích cực, kiểm soát cao răng và cách bệnh răng miệng để luôn tự tin với hàm răng khỏe mạnh.


















