Những thông tin về dịch vụ và giá dán sứ veneer emax
Sự tự tin trong giao tiếp hàng ngày thường xuất phát từ một nụ cười đẹp, nhưng không phải ai cũng may mắn sở hữu hàm răng đều và trắng sáng tự nhiên. Chính vì vậy, nhu cầu làm đẹp răng ngày càng gia tăng, với nhiều giải pháp hiện đại giúp cải thiện nụ cười. Trong số đó, dán sứ veneer Emax đã trở thành lựa chọn được yêu thích cho nhiều người nhờ vào khả năng thẩm mỹ cao, độ bền vượt trội và tính an toàn. Tuy nhiên, một trong những yếu tố được quan tâm khi lựa chọn dịch vụ này là giá dán sứ veneer Emax. Trong bài viết này, chúng ta sẽ tìm hiểu chi tiết về giá cả, ưu điểm của veneer Emax, và tại sao giải pháp này lại đáng đầu tư.
1. Dịch vụ dán sứ Veneer Emax là gì?
1.1 Khái niệm dán sứ Veneer Emax
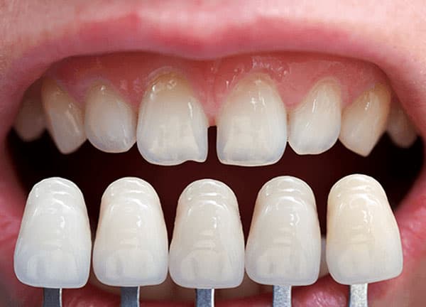
Dán sứ Veneer Emax là một kỹ thuật làm đẹp răng tiên tiến, trong đó một lớp sứ mỏng được dán lên bề mặt ngoài của răng nhằm che đi những khuyết điểm như răng thưa, răng bị ố màu, mẻ, hoặc không đều. Sứ Emax là một loại vật liệu cao cấp, được sản xuất từ lithium disilicate, nổi bật với độ bền và tính thẩm mỹ cao.
1.2 Cơ chế hoạt động
Quy trình dán sứ veneer Emax bao gồm việc mài một lớp men răng rất mỏng sau đó dán lớp sứ lên bề mặt răng. Lớp sứ này có màu sắc tự nhiên, bề mặt sáng bóng giúp răng trông tự nhiên và thẩm mỹ hơn.
Dán sứ có màu sắc tự nhiên mà hạn chế tình trạng tổn thương răng thật.
2. Giá dán sứ Veneer Emax trung bình trên thị trường hiện nay
2.1 Mức giá dán sứ Veneer Emax tham khảo
Trên thị trường hiện nay, giá dán sứ veneer Emax dao động tùy thuộc vào nhiều yếu tố khác nhau, từ phòng khám nha khoa, chất lượng dịch vụ, đến kỹ thuật sử dụng. Mức giá trung bình cho một chiếc răng dán sứ veneer Emax thường nằm trong khoảng từ 6 triệu đến 10 triệu đồng/răng. Đây là mức giá phổ biến tại các phòng khám nha khoa ở các thành phố lớn như Hà Nội và TP. Hồ Chí Minh. Tuy nhiên, tại các khu vực khác, giá có thể chênh lệch nhẹ, có nơi cao hơn hoặc thấp hơn phụ thuộc vào các yếu tố địa phương.
Giá dán sứ veneer Emax không phải là cố định, mà có sự thay đổi tùy thuộc vào:
Số lượng răng cần dán: Thông thường, khi dán nhiều răng cùng một lúc, bạn có thể nhận được ưu đãi về giá. Ví dụ, khi dán từ 4-6 răng hoặc nhiều hơn, một số phòng khám có chính sách giảm giá cho toàn bộ liệu trình, giúp tiết kiệm chi phí so với việc dán từng chiếc riêng lẻ.
Dán nhiều răng thì mức phí sẽ nhân lên nhiều lần.
Tình trạng răng miệng ban đầu: Nếu răng bạn có các vấn đề phức tạp như răng lệch, mẻ lớn, hoặc bị viêm nhiễm, quy trình dán sứ có thể cần thêm các bước xử lý bổ sung như điều trị viêm nướu hoặc chỉnh hình nhẹ. Tổng chi phí có thể tăng lên do những dịch vụ này.
2.2 Chính sách giá dán sứ veneer emax tại các phòng khám
Mỗi phòng khám nha khoa sẽ có chính sách giá khác nhau cho dịch vụ dán sứ veneer Emax, và đây cũng là yếu tố quan trọng quyết định mức chi phí bạn cần chi trả. Các phòng khám có thương hiệu, uy tín thường cung cấp dịch vụ với giá cao hơn so với các phòng khám nhỏ lẻ, nhưng đổi lại, bạn sẽ được trải nghiệm chất lượng dịch vụ cao cấp, với trang thiết bị hiện đại và tay nghề bác sĩ nhiều kinh nghiệm.
Phòng khám nha khoa cao cấp: Những phòng khám này thường sử dụng các loại máy móc hiện đại như công nghệ CAD/CAM để chế tác veneer, giúp nâng cao độ chính xác và thẩm mỹ. Các bác sĩ tại đây thường là những chuyên gia có nhiều kinh nghiệm, đã thực hiện thành công nhiều ca dán sứ phức tạp. Mức giá tại các phòng khám này có thể cao hơn, nhưng bạn sẽ yên tâm về kết quả đạt được.
Chương trình khuyến mãi và ưu đãi: Nhiều phòng khám thường có các chương trình khuyến mãi, đặc biệt vào những dịp lễ lớn hoặc trong các chiến dịch marketing nhằm thu hút khách hàng. Bạn có thể tìm kiếm và lựa chọn những thời điểm phù hợp để đăng ký dịch vụ, nhận được mức giá ưu đãi tốt hơn. Ngoài ra, việc dán nhiều răng cùng một lúc có thể giúp bạn tiết kiệm chi phí với các gói dịch vụ trọn gói.
2.3 Các chi phí phát sinh khác
Khi sử dụng dịch vụ dán sứ veneer Emax, bạn cũng cần cân nhắc đến các chi phí phụ khác có thể phát sinh trong quá trình điều trị. Những chi phí này thường không được liệt kê rõ ràng từ đầu nhưng có thể ảnh hưởng đến tổng số tiền bạn phải chi trả.
Chi phí khám và tư vấn ban đầu: Một số phòng khám tính phí khám và tư vấn trước khi thực hiện dịch vụ. Phí khám có thể từ 200.000 – 500.000 đồng.
Chi phí chụp X-quang hoặc xét nghiệm: Đối với những trường hợp cần chẩn đoán chi tiết hơn, bác sĩ có thể yêu cầu chụp X-quang để xác định rõ tình trạng của răng và nướu. Chi phí này có thể từ 300.000 – 1.000.000 đồng tùy vào loại hình chụp và phòng khám.
Chi phí điều trị các vấn đề nha khoa trước khi dán sứ: Nếu bạn có các vấn đề về viêm nướu, sâu răng, hoặc cần tẩy trắng trước khi dán sứ, các dịch vụ này sẽ được tính riêng. Ví dụ, chi phí tẩy trắng răng có thể từ 1-5 triệu đồng, trong khi chi phí điều trị viêm nướu có thể lên đến vài triệu đồng tùy theo mức độ nghiêm trọng.
3. Quy trình dán sứ Veneer Emax
3.1 Khám và tư vấn
Trước khi tiến hành dán sứ, bác sĩ sẽ thăm khám và kiểm tra tình trạng răng miệng của bạn. Điều này giúp xác định xem răng của bạn có phù hợp với phương pháp dán sứ veneer hay không.
Bác sĩ sẽ tư vấn cặn kẽ các thông tin cho khách hàng trước tiên.
3.2 Chuẩn bị và mài răng
Nếu bạn đủ điều kiện để dán sứ, bác sĩ sẽ mài một lớp men răng rất mỏng để chuẩn bị bề mặt cho việc dán sứ. Đây là bước quan trọng, đòi hỏi sự tỉ mỉ và kỹ thuật cao để đảm bảo răng sau khi dán sứ không bị lộ và vẫn giữ được hình dáng tự nhiên.
3.3 Lấy dấu răng và chế tác veneer
Sau khi mài răng, bác sĩ sẽ lấy dấu răng của bạn và gửi đến phòng lab để chế tác veneer. Quá trình này có thể mất từ vài ngày đến một tuần, tùy thuộc vào phòng khám và tình trạng của bạn. Trong khi chờ mặt dán mới, bác sĩ sẽ gắn răng tạm cho khách hàng để đảm bảo có thể ăn uống bình thường.
3.4 Gắn veneer lên răng
Khi veneer đã được chế tác hoàn chỉnh, bác sĩ sẽ gắn nó lên răng của bạn bằng keo chuyên dụng. Sau đó, bác sĩ sẽ kiểm tra lại cắn và đảm bảo veneer phù hợp hoàn hảo với răng của bạn.
Dán sứ veneer Emax là một trong những giải pháp tối ưu cho những ai muốn cải thiện nụ cười của mình một cách toàn diện và lâu dài. Mặc dù chi phí có phần cao hơn so với các loại veneer khác, nhưng những lợi ích về thẩm mỹ, độ bền và tính an toàn mà Emax mang lại xứng đáng để đầu tư. Khi lựa chọn dịch vụ này, bạn nên tìm hiểu kỹ về giá cả, uy tín của phòng khám, cũng như tay nghề của bác sĩ để đảm bảo có được nụ cười hoàn hảo nhất.


















