Những thông tin cần biết về bệnh viêm lợi có mùi hôi
Viêm lợi có mùi hôi là một tình trạng nha khoa không chỉ gây nên cảm giác tự ti khi giao tiếp cho người mắc mà còn là biểu hiện của những vấn đề nha khoa khác nghiêm trọng hơn. Vậy nguyên nhân dẫn đến viêm lợi gây mùi miệng là do những yếu tố nào? Cách tốt nhất để điều trị và ngăn ngừa tình trạng này là gì? Hãy cùng khám phá chi tiết về viêm lợi gây mùi qua bài viết dưới đây.
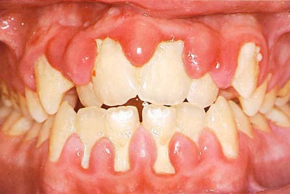
1. Tổng quát về bệnh viêm lợi có mùi hôi
Bệnh viêm lợi là một tình trạng nhiễm trùng, viêm nhiễm phần nướu. Nướu hay còn gọi là lợi là phần mô mềm màu hồng nằm quanh răng. Nướu có vai trò quan trọng trong việc giữ chặt răng vào trong xương hàm và bảo vệ chúng khỏi vi khuẩn. Tuy nhiên, nếu không được chăm sóc đúng cách, nướu có thể trở nên viêm nhiễm, gây ra tình trạng viêm lợi.
Dấu hiệu cho thấy bạn có thể bị viêm lợi bao gồm lợi sưng, đỏ, và ê buốt. Trong một số trường hợp, nướu có thể bắt đầu rút lên, làm lộ ra một phần của răng và tạo điều kiện cho vi khuẩn phát triển dưới nướu, gây ra viêm nhiễm. Các triệu chứng khác có thể bao gồm chảy máu nướu khi chải răng hoặc sử dụng chỉ nha khoa, đau khi nhai thức ăn và hơi thở có mùi khó chịu.
Viêm lợi có mùi hôi thường xuất hiện phổ biến ở mọi lứa tuổi
Nếu không được điều trị, viêm lợi có thể dẫn đến các hậu quả nghiêm trọng khác nhau. Một trong những hậu quả phổ biến là hơi thở có mùi hôi do vi khuẩn tích tụ dưới nướu. Ngoài ra, nướu viêm có thể bắt đầu tạo mủ gây nhiễm trùng nặng. Nếu viêm lợi không được điều trị, nó có thể tiến triển thành viêm nha chu, một tình trạng nhiễm trùng nghiêm trọng ảnh hưởng đến mô xung quanh răng và xương hàm.
2. Nguyên nhân gây bệnh viêm lợi có mùi hôi
Viêm lợi có mùi không chỉ ảnh hưởng đến cảm giác của người bị mà còn ảnh hưởng đến khả năng ăn uống, chức năng nhai của răng và nhiều hệ lụy khác. Cần tìm nguyên nhân của tình trạng này để có thể giải quyết dứt điểm vấn đề.
2.1. Vệ sinh răng sai cách dẫn đến viêm lợi có mùi hôi
Vệ sinh răng không đúng cách hoặc không đủ sạch có thể là một nguyên nhân chính gây ra viêm lợi và hơi thở có mùi hôi. Nếu vi khuẩn tích tụ dưới nướu và xung quanh răng do không chải răng đúng cách, nó có thể gây ra mùi hôi từ miệng. Vệ sinh răng miệng không đúng, không đủ có thể gây nên mảng bám và cao răng. Theo thời gian đây chính là nguồn tích tụ vi khuẩn dẫn đến tình trạng hôi miệng.
2.2. Chế độ ăn uống khiến viêm lợi có mùi hôi
Chế độ ăn uống không lành mạnh, đặc biệt là việc tiêu thụ thức ăn giàu đường và các thực phẩm có mùi khó chịu như hành, tỏi, hoặc các loại gia vị cay nồng, cũng có thể góp phần làm hơi thở có mùi hôi. Các loại thức ăn như cà phê, rượu, hoặc các loại thức uống có gas cũng có thể làm tăng nguy cơ viêm lợi và mùi khó chịu trong hơi thở.
2.3. Ảnh hưởng bởi tác dụng phụ khi uống thuốc
Một số loại thuốc, như thuốc chống trầm cảm, thuốc chống dị ứng, hoặc thuốc điều trị bệnh tim có thể gây ra khô miệng. Khô miệng làm giảm lượng nước bọt trong miệng, tạo điều kiện thuận lợi cho vi khuẩn phát triển và gây ra mùi hôi.
Có nhiều nguyên nhân gây ra tình trạng viêm lợi có mùi hôi
Ngoài ra, tình trạng viêm lợi gây hôi miệng cũng có thể do nguyên nhân suy yếu của hệ miễn dịch ở những người mắc bệnh đái tháo đường, HIV/AIDS hoặc ung thư…
Tóm lại, bệnh viêm lợi có mùi có thể được gây ra bởi nhiều nguyên nhân khác nhau, bao gồm vệ sinh răng sai cách, chế độ ăn uống, tác dụng phụ khi uống thuốc và các bệnh lý khác. Để ngăn chặn và điều trị tình trạng này, quan trọng phải duy trì vệ sinh răng miệng đúng cách và thăm nha sĩ định kỳ để chăm sóc sức khỏe nha khoa tổng thể.
3. Biến chứng bệnh viêm lợi có mùi hôi
Biến chứng của bệnh viêm lợi gây mùi hôi có thể gây ra nhiều vấn đề sức khỏe nghiêm trọng và ảnh hưởng đến chất lượng cuộc sống của người bệnh.
Viêm lợi gây mùi thường đi kèm với sự sưng tấy, đau đớn và kích ứng của nướu. Nếu không được điều trị kịp thời và hiệu quả, bệnh có thể tiến triển thành các vấn đề nha khoa nghiêm trọng hơn như viêm nha chu, sưng nướu, hoặc thậm chí là mất răng.
Hậu quả về tâm lý và tinh thần: Hơi thở có mùi hôi từ bệnh viêm lợi có thể gây ra sự tự ti và thiếu tự tin cho người bệnh, đặc biệt khi giao tiếp với người khác. Điều này có thể ảnh hưởng tiêu cực đến tâm lý và tinh thần của họ, gây ra căng thẳng và lo lắng.
Tác động đến hệ tiêu hóa: Mùi hôi từ viêm lợi có thể gây ra cảm giác khó chịu và mất khẩu vị, làm giảm sự hứng thú trong việc ăn uống và tăng nguy cơ của các vấn đề hệ tiêu hóa như tiêu chảy hoặc đầy hơi.
Tác động đến quan hệ xã hội: Mùi hôi từ viêm lợi có thể tạo ra sự cản trở trong quan hệ xã hội của người bệnh, gây ra tự ti khi giao tiếp với người khác, đặc biệt trong các tình huống gần gũi và giao tiếp trực tiếp.
Biến chứng của bệnh viêm lợi có mùi không chỉ ảnh hưởng đến sức khỏe nha khoa mà còn ảnh hưởng đến tâm lý, hệ tiêu hóa, hệ hô hấp và quan hệ xã hội của người bệnh. Việc điều trị kịp thời và hiệu quả là cần thiết để ngăn chặn và giảm thiểu các biến chứng này.
4. Điều trị viêm lợi có mùi hôi
Viêm lợi có mùi là một vấn đề nha khoa phổ biến, nhưng nó có thể được điều trị hiệu quả bằng các phương pháp sau:
– Vệ sinh miệng hàng ngày: Điều trị viêm lợi có mùi bắt đầu từ việc duy trì vệ sinh miệng hàng ngày đúng cách. Chải răng nhiều hơn hai lần mỗi ngày và sử dụng chỉ nha khoa để làm sạch các kẽ răng. Đồng thời, không quên chải lưỡi để loại bỏ vi khuẩn và tạp chất gây ra mùi hôi.
Phòng khám Răng Hàm Mặt, nơi sẽ điều trị tốt nhất cho tình trạng viêm lợi của bạn
– Điều trị các vấn đề nha khoa liên quan: Nếu có các vấn đề nha khoa khác như sâu răng, nha chu, hay viêm nướu, thì bạn cần điều trị dứt điểm chúng để cải thiện hởi thở của mình.
– Thay đổi lối sống và chế độ ăn uống: Đảm bảo có một chế độ ăn uống cân đối và lành mạnh, tránh thức ăn có mùi hôi như hành, tỏi, và giảm tiêu thụ đồ uống có gas hoặc cồn.
Mong rằng những kiến thức đã được chia sẻ ở trên đã giúp bạn có cái nhìn rõ hơn về tình trạng bệnh viêm lợi gây hôi miệng – nguyên nhân và cách điều trị tối ưu nhất.


















