Những lưu ý sau khi thực hiện hàn cổ răng
không chỉ đóng vai trò quan trọng trong việc khôi phục chức năng cũng như vẻ ngoài của răng bị tổn thương mà điều trị nha khoa còn có ảnh hưởng sâu rộng đến sức khỏe toàn bộ hàm răng. Trong đó, thực hiện hàn cổ răng là phương pháp điều trị phổ biến cho tình trạng mòn cổ chân răng. Vậy chúng ta cần lưu ý điều gì sau khi thực hiện phương pháp này?
1. Tình trạng mòn cổ chân răng
1.1 Biểu hiện khi bị mòn cổ chân răng
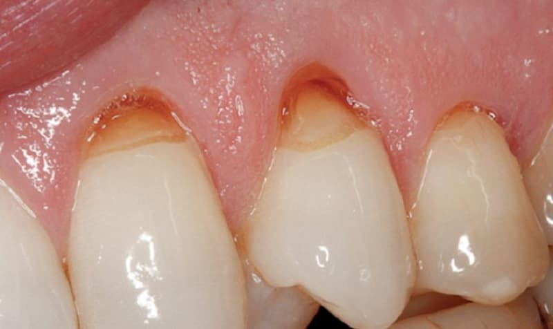
Mòn cổ chân răng khiến hình dạng của răng bị thay đổi, ảnh hưởng tính thẩm mỹ của toàn hàm răng
Biểu hiện khi bị mòn cổ chân răng có thể bao gồm những dấu hiệu sau:
– Răng xỉn màu và hình dạng thay đổi: Vùng cổ chân răng bị mòn thường sẽ trở nên xỉn màu hơn so với phần răng còn lại. Ngoài ra, răng có thể có hình dạng lõm, tạo thành một góc chữ V ở mặt ngoài.
– Răng ê buốt khi ăn uống: Người bị mòn cổ chân răng có thể cảm thấy ê buốt. Tình trạng này đặc biệt rõ khi tiếp xúc đồ ăn, uống lạnh hoặc nóng.
– Răng đau nhức: Đau nhức ở vùng cổ răng có thể xuất hiện khi mòn cổ chân răng đã tiến triển đến mức độ nghiêm trọng. Điều này khiến cho dây thần kinh răng bị kích thích.
– Răng nhạy cảm với thức ăn ngọt, chua: Một số người có thể cảm thấy đau nhức hoặc nhạy cảm khi tiêu thụ thực phẩm có hàm lượng đường cao hoặc axit cao. Khi đó, có thể cổ chân răng đã bị mòn.
1.2 Nguyên nhân mòn cổ chân răng
Mòn cổ chân răng có thể xuất phát từ nhiều nguyên nhân khác nhau, bao gồm:
– Chải răng sai cách: Khi răng không chải đúng cách, áp lực có thể tập trung vào một khu vực nhất định của răng. Tình trạng này kéo dài gây mòn cổ chân răng.
– Thói quen xấu: Những thói quen cũng có thể là nguyên nhân mòn cổ chân răng. Điển hình như cắn kẹo, cắn móng tay, sử dụng đồng tiền để mở nắp chai, …
– Cao răng: Cao răng tích tụ lâu ngày sẽ làm tăng lượng vi khuẩn trong miệng. Khi đó, chúng sẽ tấn công, có thể gây mòn cổ chân răng.
– Thói quen sử dụng thực phẩm: Sử dụng thực phẩm và đồ uống có hàm lượng đường hoặc axit cao có thể ảnh hưởng tiêu cực đến men răng. Ví dụ như các loại nước ngọt, nước ngâm chua, cà phê, rượu vang, … Từ đó, tình trạng mòn cổ chân răng có thể xảy ra.
Ngoài ra, một số yếu tố khác như: Không chăm sóc răng miệng đúng cách; Không định kỳ kiểm tra nha khoa; Có các vấn đề về sức khỏe nha khoa khác; … cũng có thể là tác nhân.
2. Có nên thực hiện hàn cổ răng điều trị không?
Thực hiện hàn cổ răng điều trị mòn cổ chân răng có tồn tại cả những ưu và nhược điểm
2.1 Ưu điểm khi thực hiện hàn cổ răng
Ưu điểm của phương pháp hàn cổ răng là:
– Giải quyết hiệu quả vấn đề mòn cổ chân răng: Hàn cổ răng là một phương pháp phục hình răng đơn giản nhưng hiệu quả. Phương pháp này giúp khắc phục tình trạng mòn cổ chân răng nhẹ.
– Thực hiện nhanh chóng và tiết kiệm thời gian: Kỹ thuật hàn cổ răng thường được thực hiện một cách nhanh chóng. Điều này giúp tiết kiệm thời gian giảm bớt sự không thoải mái và chi phí điều trị
– Bảo vệ răng và tủy: Phương pháp này không chỉ giúp người bệnh bảo vệ mô răng đang bị mòn. Tình trạng vi khuẩn xâm nhập vào buồng tủy cũng có thể được ngăn chặn.
– Khôi phục thẩm mỹ hàm răng: Sau khi thực hiện kỹ thuật hàn cổ răng, tính thẩm mỹ hàm răng sẽ được khôi phục. Cùng với đó là sự tái tạo lại chức năng nhai và sinh hoạt hàng ngày. Cảm giác đau nhức, ê buốt sẽ biến mất.
2.2 Nhược điểm khi thực hiện hàn cổ răng
Một số nhược điểm vẫn tồn tại khi thực hiện hàn cổ răng bao gồm:
– Độ bền không cao: Phương pháp này có thể giúp khắc phục mòn cổ chân răng. Thế nhưng độ bền của kỹ thuật này không cao. Nếu người bệnh không chăm sóc đúng cách, miếng trám có thể dễ bị vỡ hoặc rơi ra.
– Hạn chế trong các trường hợp nghiêm trọng: Phương pháp hàn cổ răng thích hợp cho các trường hợp mòn cổ chân răng nhẹ. Khi đó, tủy chưa bị ảnh hưởng. Trong những trường hợp nặng hơn, chúng ta cần áp dụng các phương pháp phức tạp hơn. Ví dụ như trồng răng giả, bọc sứ, … Điều này là tùy vào từng tình trạng cụ thể.
– Yêu cầu về kiến thức và kỹ năng của bác sĩ: Để đạt được kết quả tốt nhất, phương pháp hàn cổ răng đòi hỏi bác sĩ nha khoa phải có kiến thức và kỹ năng chuyên môn cao, đặc biệt là trong việc chọn lựa vật liệu và thực hiện kỹ thuật hàn.
Thực hiện tái khám đúng hẹn và thăm khám nha khoa định kỳ để giúp hiệu quả điều trị được duy trì
3. Lưu ý sau khi thực hiện hàn cổ răng
Sau khi hàn cổ răng, việc tuân thủ các lưu ý là rất quan trọng. Điều này sẽ giúp bảo vệ và duy trì kết quả của quá trình điều trị:
– Hạn chế ăn nhai trong 2 giờ đầu: Chúng ta nên tránh ăn nhai quá nhiều trong 2 giờ đầu sau khi hàn răng. Điều này để mối hàn có đủ thời gian để ổn định. Nguy cơ miếng hàn bị lỏng hoặc vỡ sẽ hạn chế.
– Vệ sinh răng miệng đúng cách: Duy trì vệ sinh răng miệng bằng cách là rất cần thiết. Chúng ta sử dụng nước súc miệng sau mỗi bữa ăn chính. Đồng thời, hãy chải răng ít nhất 2 lần mỗi ngày bằng bàn chải lông mềm. Việc này giúp loại bỏ mảng bám và vi khuẩn, giữ cho vùng hàn răng luôn sạch sẽ.
– Sử dụng nước muối súc miệng: Súc miệng bằng nước muối có thể giúp làm sạch và kháng khuẩn. Khoang miệng sẽ giảm vi khuẩn gây viêm nhiễm ở vùng hàn răng.
– Hạn chế ăn những thực phẩm quá cứng: Chúng ta nên tránh ăn nhai những thực phẩm quá cứng. Hãy ăn những thực phẩm mềm để giảm áp lực lên khu vực hàn răng. Điều này giúp tránh gây ra tổn thương tới răng mới hàn.
– Tái khám đúng hẹn: Việc này giúp bác sĩ kiểm tra và đánh giá kết quả của quá trình hàn răng. Đồng thời, việc điều chỉnh và điều trị có thể thực hiện kịp thời nếu cần.
Bằng cách tuân thủ các lưu ý trên, bạn có thể giúp bảo vệ và duy trì sự ổn định của răng sau khi hàn cổ răng.

















