Những hậu quả có thể gặp phải khi răng vĩnh viễn bị sâu
Sâu răng là vấn đề gặp phải của tất cả mọi đối tượng không kể độ tuổi nào. Dù ở độ tuổi nào, tình trạng sâu răng nặng hay nhẹ thì bệnh lý này cũng đều có thể dẫn đến biến chứng. Có chăng nếu răng sữa sâu thì còn có thể rút kinh nghiệm chăm sóc khi thay răng vĩnh viễn, còn một khi răng vĩnh viễn bị sâu thì phần mô răng tổn thương sẽ vĩnh viễn tồn tại, thậm chí có thể dẫn đến nhiều biến chứng khác đối với sức khỏe răng miệng.
1. Các giai đoạn khi răng vĩnh viễn bị sâu
Răng sữa hay răng vĩnh viễn bị sâu thì đều cùng trải qua 1 quá trình phát triển giống nhau. Thông thường nếu sâu ở giai đoạn đầu, người bệnh vẫn có thể điều trị dễ dàng và bảo tồn được răng. Tuy nhiên hầu hết các biến chứng của răng đều thường diễn ra khi răng đã rơi vào tình trạng sâu nặng.
Cơ bản và phổ biến nhất thì sâu răng vĩnh viễn sẽ trải qua 3 giai đoạn chính bao gồm:

3 giai đoạn cơ bản của quá trình sâu răng
– Giai đoạn khởi phát sâu răng: ở giai đoạn này người bệnh thường thấy răng dễ ê buốt và sự ê buốt kéo dài hơn khi ăn đồ nóng, lạnh, khi hít gió hoặc khi môi trường có thay đổi về áp suất. Thỉnh thoảng răng có thể đau nhức theo cơn thoáng qua nhưng người bệnh đều không quá để tâm
– Giai đoạn sâu răng phát triển gây tổn thương mô răng: lúc này cả tần suất, mức độ và phạm vi đau răng đều tăng lên, đặc biệt đau nhiều về đêm. Vi khuẩn tấn công ăn mòn hết men răng và ngà răng, tạo thành những lỗ sâu với đủ mọi kích cỡ. Răng sâu ở giai đoạn này ảnh hưởng rất lớn đến ăn uống, sinh hoạt và làm việc của người bệnh.
– Giai đoạn răng sâu nặng: răng được coi là sâu nặng khi vi khuẩn đã tấn công đến tủy răng, thậm chí dẫn đến hoại tử tủy. Răng của người bệnh có thể bị vỡ, gãy do sâu răng vẫn tiếp tục phát triển. Đây là giai đoạn dễ dẫn đến các biến chứng khác như viêm tủy, viêm chóp răng,…
2. Biến chứng thường gặp khi răng vĩnh viễn bị sâu
2.1 Răng vĩnh viễn bị sâu nặng gây biến chứng với sức khỏe răng miệng
– Viêm tủy: Tình trạng này xảy ra khi sâu răng ăn vào tủy, người bệnh sẽ bắt đầu có biểu hiện đau do các dây thần kinh của răng bị ảnh hưởng. Lâu dần khi tình trạng viêm nặng hơn, mạch máu trong tủy bị chèn ép sẽ dẫn đến hoại tử tủy hoặc chết tủy. Viêm nhiễm ở tủy sẽ lan rộng đến xương ổ răng, tác động đến dây thần kinh răng, dẫn đến đau đầu, đau thái dương.
– Viêm quanh chóp răng: Có thể là tình trạng viêm cấp tính kèm theo đau đớn và sưng, tấy đỏ hoặc là tình trạng viêm mãn tính.
– Viêm nha chu: Đây là tình trạng nặng hơn của viêm lợi khiến các dây chằng nha chu bị viêm nhiễm, tích mủ và làm răng lung lay dữ dội kèm đau nhức

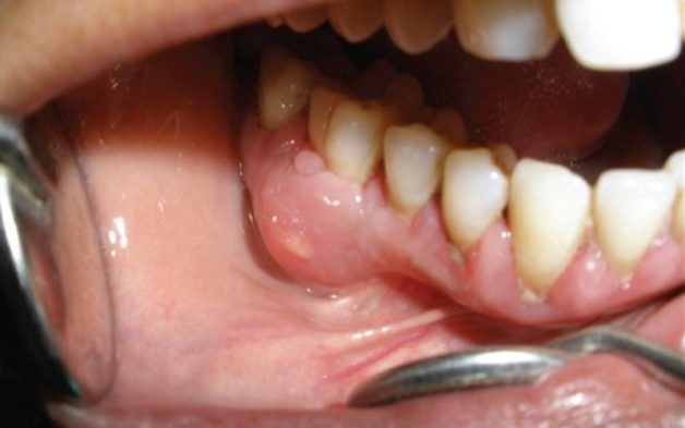
Một ổ áp xe do sâu răng
– Áp xe chân răng: Phần mủ tích tụ nhiều và hình thành nên các ổ áp xe gây nên các cơn đau nhức và viêm nhiễm tăng mạnh, lan sang các khu vực lân cận.
– Mẻ răng, vỡ răng, rụng răng: Vi khuẩn sâu răng tấn công hết các lớp như men răng, ngà răng, đến tủy răng. Cấu trúc răng khi bị tổn thương sẽ khiến răng suy yếu dần, vỡ, lung lay và cuối cùng là rơi ra khỏi hàm.
– Ảnh hưởng đến thẩm mỹ: Răng xuất hiện lỗ sâu màu nâu, đen, làm răng bị ngả màu, sứt mẻ, nhất là đối với các răng cửa hoặc nằm mặt ngoài hàm gây mất thẩm mỹ.
2.2 Biến chứng sâu răng với sức khỏe toàn thân
– Ảnh hưởng tâm lý: Tình trạng đau nhức từng cơn, đau nhiều về đêm, đau dai dẳng, dữ dội hàng tuần liền gây ảnh hưởng đến giấc ngủ,… là triệu chứng đặc trưng sẽ đến với bệnh nhân bị sâu răng. Những cơn đau có thể khó chịu đến mức bệnh nhân không thể ăn uống, nghỉ ngơi thoải mái gì được. Điều này khiến người bệnh bị đuối sức, gây tâm lý dễ cáu gắt và tinh thần bị ảnh hưởng tiêu cực.
– Bệnh tiểu đường: Khi vi khuẩn tấn công bề mặt của răng khiến men răng và ngà răng bị tổn thương, gây kích thích bên trong khoang miệng, làm khả năng kiểm soát lượng đường trong máu của cơ thể suy giảm. Điều này dẫn đến việc khó khăn trong chuyển đổi đường thành năng lượng. Từ đó nguy cơ tiểu đường của người bệnh ngày càng tăng cao.
– Suy giảm trí nhớ: Các nhà khoa học đã từng công bố nghiên cứu cho thấy sức khỏe hàm răng có mối liên quan chặt chẽ với khả năng ghi nhớ của não. Khi răng sâu sẽ khiến cho các động mạch não bị thu hẹp lại, ảnh hưởng tới hoạt động của não. Từ đó dẫn đến suy giảm trí nhớ và tăng nguy cơ lẫn ở người cao tuổi.
– Gây ung thư: Tuy không phổ biến nhưng sâu răng là nguyên nhân trực tiếp dẫn tới bệnh ung thư vòm miệng. Nguyên nhân do sâu răng ăn vào tủy có thể gây nhiễm trùng lợi, kéo dài biến chứng thành ung thư. Ngoài ra một số bệnh như ung thư não, thực quản hay phổi cũng có thể bắt nguồn từ sâu răng.
3. Các giải pháp giúp ngăn sự tiến triển của sâu răng
3.1 Khi răng vĩnh viễn bị sâu nhẹ
Nếu như răng vĩnh viễn bị sâu nhẹ, ở giai đoạn đầu mới chớm tổn thương men răng và ngà răng thì hương pháp điều trị khá đơn giản. Lúc này, mục đích khi điều trị của nha sĩ sẽ là bảo tồn răng thật một cách tối đa và ngăn chặn sự tiến triển của sâu răng, đảm bảo duy trì sức khỏe răng trong tương lai.

Điều trị răng bị sâu nhẹ khá đơn giản nhưng vẫn cần đến nha khoa để được điều trị đúng cách
Đối với răng sâu nhẹ, có 2 giải pháp thường được ứng dụng là:
– Tái khoáng phần răng bị sâu: Nha sĩ sẽ sử dụng dung dịch gồm canxi, phosphate, florinê đổ vào vị trí sâu răng răng. Phương pháp này có khả năng giúp thu hẹp vùng men răng bị sâu đang chuyển thành màu trắng vôi và làm cho vùng này ngừng mở rộng. Đây là phương pháp ngưng sự tiến triển và đảo ngược quá trình sâu răng đơn giản, hiệu quả, an toàn.
– Dùng thuốc điều trị: Thuốc được nha sĩ kê để chấm vào chỗ bị sâu thường là dung dịch có tính sát khuẩn. Tuy nhiên phương pháp này có hạn chế là gây đổi màu men răng nen chỉ dùng cho vùng sâu tại răng hàm để đảm bảo tính thẩm mỹ.
3.2 Khi răng đã bị sâu nặng
Răng thường được coi là sâu nặng là khi vi khuẩn tấn công mạnh vào ngà răng và tủy răng, gây viêm nhiễm nặng tại vùng này, thậm chí có thể dẫn đến một số bệnh lý biến chứng như viêm lợi, viêm nha chu, áp xe,…
Để điều trị triệt để răng sâu nặng thì mục tiêu là cần loại bỏ triệt để những mô răng bị tổn thương bằng những thủ thuật nha khoa chuyên nghiệp. Sau đó nha sĩ sẽ sử dụng những loại vật liệu trám chuyên dụng như amalgam, composite, vật liệu trám sứ, kim loại quý, vàng,… hoặc bọc răng sứ đối với những răng bị vỡ, mẻ lớn để khôi phục lại hình dáng răng ban đầu và chức năng ăn nhai tự nhiên của răng.
Tóm lại, do răng vĩnh viễn bị sâu sẽ gây nên hậu quả mãi mãi và chỉ có thể khắc phục, cải thiện nên chúng ta cần đi thăm khám răng định kỳ hoặc ngay khi thấy dấu hiệu sâu răng để có thể phát hiện và điều trị bệnh từ sớm, ngăn ngừa các biến chứng nặng nề có thể xảy ra và bảo tồn tối đa răng gốc. Hãy liên hệ Thu Cúc TCI nếu bạn còn thắc mắc hay muốn đặt lịch khám và điều trị răng sâu nhé!