Nguyên nhân và triệu chứng thường gặp khi đau lợi răng khôn
Đau lợi răng khôn là một tình trạng thường gặp khi răng khôn mọc lệch, mọc ngầm hoặc chỉ thò một phần khỏi nướu tạo điều kiện cho thức ăn và vi khuẩn tích tụ gây viêm, sưng đau. Bài viết này giải thích rõ nguyên nhân, triệu chứng, cách xử trí tạm thời và khi nào bạn cần khám hoặc nhổ răng khôn để tránh biến chứng.
1. Đau lợi răng khôn là gì?
Đau lợi răng khôn là hiện tượng viêm, sưng tấy và đau đớn ở vùng nướu xung quanh răng khôn khi răng này bắt đầu mọc hoặc bị ảnh hưởng bởi các yếu tố khác. Răng khôn thường mọc trong độ tuổi từ 17-25, và do không có đủ không gian trong hàm nên thường gây ra những vấn đề đau đớn. Tình trạng đau nhức nướu răng khôn không chỉ gây khó chịu mà còn có thể dẫn đến nhiều biến chứng nghiêm trọng nếu không được xử lý kịp thời. Vì vậy, việc nhận biết sớm các dấu hiệu và có biện pháp điều trị phù hợp là vô cùng quan trọng.

2. Nguyên nhân gây đau nhức nướu răng khôn
2.1. Răng khôn mọc lệch
Răng khôn thường mọc ở vị trí cuối cùng trong cung hàm, nơi không còn nhiều khoảng trống. Khi răng mọc lệch, mọc ngầm hoặc mọc xiên, nó sẽ tạo áp lực trực tiếp lên nướu và các răng số 7 bên cạnh. Tình trạng này không chỉ gây đau nhức lợi mà còn dẫn đến chen chúc răng, xô lệch khớp cắn và tăng nguy cơ sâu răng do kẽ răng khó vệ sinh. Đây là nguyên nhân phổ biến khiến nhiều người gặp phải cơn đau lợi răng khôn kéo dài, tái phát nhiều lần.
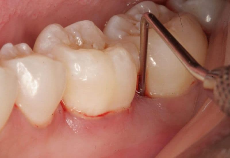
2.2. Viêm nướu quanh răng khôn – Nguyên nhân thường gặp gây đau lợi răng khôn
Vị trí răng khôn nằm sâu bên trong, khó chải rửa và dễ bị bỏ sót khi vệ sinh răng miệng. Khi thức ăn thừa và vi khuẩn tích tụ lâu ngày, chúng sẽ gây viêm nướu quanh răng khôn. Biểu hiện thường thấy là nướu sưng đỏ, đau nhức, thậm chí chảy máu khi chải răng. Nếu không được xử lý kịp thời, viêm nướu có thể lan rộng, dẫn đến viêm lợi trùm răng khôn, gây đau nhức dữ dội và ảnh hưởng đến khả năng ăn nhai.
2.3. Răng khôn bị kẹt
Ở nhiều trường hợp, răng khôn không mọc trọn vẹn mà chỉ trồi lên một phần hoặc bị kẹt, nằm ẩn trong xương hàm. Khi đó, phần lợi phủ phía trên dễ hình thành các túi sâu – nơi vi khuẩn trú ngụ và gây viêm nhiễm. Người bệnh thường cảm thấy đau nhức kéo dài, kèm theo mùi hôi miệng khó chịu và nướu sưng tấy. Đây cũng là nguyên nhân tiềm ẩn dẫn tới nhiễm trùng mãn tính quanh răng khôn nếu không điều trị sớm.
2.4. Áp xe răng khôn
Khi tình trạng viêm nhiễm tiến triển nặng mà không được kiểm soát, vi khuẩn có thể xâm nhập sâu, tạo thành ổ mủ (áp xe) quanh răng khôn. Áp xe không chỉ gây đau nhức lợi răng khôn dữ dội mà còn khiến vùng má sưng to, có thể lan sang tai, cổ hoặc gây sốt cao. Đây là biến chứng nguy hiểm, đòi hỏi phải điều trị y tế ngay lập tức để tránh viêm lan rộng hoặc nhiễm trùng huyết.
3. Triệu chứng thường gặp của viêm nhức nướu răng khôn
Triệu chứng thường gặp của đau lợi răng khôn thường bắt đầu với những cơn đau nhói hoặc âm ỉ ở vùng lợi phía sau hàm, kèm theo sưng đỏ quanh răng khôn, đôi khi xuất hiện mủ và gây mùi hôi miệng khó chịu. Người bệnh có thể gặp khó khăn khi há miệng, đau khi nuốt, thậm chí sưng lan ra vùng mặt hoặc má. Trong những trường hợp nhiễm khuẩn lan rộng, cơ thể có thể xuất hiện thêm triệu chứng sốt, mệt mỏi. Đặc biệt, nếu thấy dấu hiệu nghiêm trọng như sưng lan xuống cổ, khó thở hoặc khó nuốt thì cần đi khám ngay vì đây có thể là biến chứng nguy hiểm.

4. Biện pháp phòng ngừa đau nhức nướu răng khôn
4.1. Vệ sinh răng miệng đúng cách
Vệ sinh răng miệng đúng cách là yếu tố quan trọng giúp phòng ngừa các bệnh lý nha khoa. Bạn nên duy trì thói quen đánh răng ít nhất 2 lần mỗi ngày, sử dụng chỉ tơ nha khoa để loại bỏ mảng bám và thức ăn thừa ở kẽ răng, đồng thời kết hợp súc miệng bằng dung dịch kháng khuẩn để giữ hơi thở thơm mát và ngăn ngừa vi khuẩn phát triển.
4.2. Thăm khám nha khoa định kỳ- Biện pháp hiệu quả giúp phòng ngừa đau lợi răng khôn
Nên duy trì thói quen đến nha sĩ kiểm tra định kỳ. Việc thăm khám thường xuyên giúp bác sĩ theo dõi tình trạng mọc răng khôn, kịp thời phát hiện các bất thường như răng mọc lệch, mọc ngầm, viêm lợi trùm hay sâu răng vùng răng khôn. Nếu được phát hiện sớm, những vấn đề này có thể được xử lý bằng các biện pháp đơn giản, hạn chế tối đa biến chứng và giảm thiểu cảm giác đau nhức kéo dài.

4.3. Chế độ ăn uống lành mạnh
Duy trì chế độ ăn uống lành mạnh đóng vai trò quan trọng trong việc bảo vệ sức khỏe răng miệng. Bạn nên hạn chế tối đa việc sử dụng các loại đồ ngọt, đồ uống có ga hay thực phẩm chua vì chúng dễ tạo môi trường axit gây mòn men răng và làm nướu nhạy cảm hơn. Bên cạnh đó, việc bổ sung vitamin C từ trái cây tươi và rau xanh sẽ giúp tăng cường sức đề kháng, hỗ trợ nướu răng khỏe mạnh và giảm nguy cơ viêm nhiễm. Đặc biệt, đừng quên uống đủ nước mỗi ngày để giữ khoang miệng luôn ẩm, rửa trôi vi khuẩn và cặn thức ăn, từ đó hạn chế tình trạng hôi miệng và sâu răng
4.4. Chú ý đến sự thay đổi và hướng mọc của răng khôn
Khi nhận thấy những dấu hiệu bất thường như lợi sưng đỏ, đau nhức kéo dài hay răng khôn mọc chậm, bạn nên chủ động tham khảo ý kiến bác sĩ nha khoa. Việc thăm khám kịp thời sẽ giúp xây dựng kế hoạch điều trị phù hợp, có thể bao gồm theo dõi định kỳ, điều trị viêm nhiễm hoặc nhổ bỏ răng khôn khi cần thiết, nhằm tránh biến chứng phức tạp về sau.
5. Khi nào cần đến gặp bác sĩ?
Bạn cần đến gặp nha sĩ ngay khi cơn đau nhức nướu răng khôn kéo dài trên 3 ngày không giảm, đi kèm những biểu hiện như sốt, nổi hạch, hạn chế khi há miệng hoặc nuốt, cơn đau lan rộng sang các vùng khác.hoặc có mủ chảy ra từ vùng răng khôn. Đây là biểu hiện nhiễm trùng nặng, cần được xử lý kịp thời để tránh biến chứng nguy hiểm.
Đau nhức nướu răng khôn là vấn đề không thể xem thường và cần được xử lý đúng cách. Việc hiểu rõ nguyên nhân, triệu chứng và áp dụng các biện pháp xử lý phù hợp sẽ giúp bạn giảm đau hiệu quả và tránh các biến chứng nghiêm trọng. Nhớ rằng, khi gặp đau lợi răng khôn nghiêm trọng hoặc kéo dài, hãy đến gặp nha sĩ để được tư vấn và điều trị chuyên nghiệp. Đừng để tình trạng này ảnh hưởng đến chất lượng cuộc sống và sức khỏe tổng thể của bạn.


















