Nguyên nhân bị ê buốt sau khi cạo vôi răng
Hiện nay, cạo vôi răng là một thủ thuật nha khoa đã phổ biến và được thực hiện định kỳ. Bên cạnh những hiệu quả mà phương pháp này đem lại thì cũng có những người phản ánh về tình trạng bị ê buốt sau khi thực hiện. Vậy tình trạng này có nguy hiểm không và nguyên nhân bị ê buốt sau cạo vôi răng là gì?
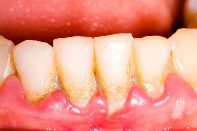
1. Thế nào là tình trạng bị cao răng?
Cao răng chứa nhiều vi khuẩn gây hại tới sức khỏe răng miệng
Cao răng còn có tên gọi là vôi răng. Đây là từ để chỉ những mảng bám tích tụ và đã bị vôi hóa bởi những hợp chất muối vô cơ có trong nước bọt. Lâu dần, những mảng bám này sẽ cứng, bám chắc trên bề mặt răng hay dưới lợi.
Tình trạng cao răng rất dễ để nhận biết. Cao răng sẽ xuất hiện với lớp màu trắng đục hoặc màu nâu sậm ở trên bề mặt cổ răng, dưới lợi. Thông thường, kể cả khi ta thực hiện vệ sinh tốt thì vẫn có cao răng bám dính. Chúng sẽ thường tập trung chủ yếu tại lỗ tuyến nước bọt. Tích tụ càng nhiều, cao răng sẽ càng có nguy cơ gây hại nhiều:
– Vi khuẩn ở trong cao răng tích tụ, lên men đường có trong thức ăn. Từ đó, axit được tạo ra, phá hủy răng và dẫn tới các bệnh lý như viêm lợi, viêm quanh răng, sâu răng, …
– Cao răng bám nhiều trên bề mặt răng sẽ gây ảnh hưởng tới thẩm mỹ. Kéo theo đó là tình trạng hôi miệng khiến sinh hoạt hàng ngày và công việc bị ảnh hưởng.
– Cao răng tích tụ chứa nhiều vi khuẩn gây hại. Những vi khuẩn này sẽ xâm nhập và những bộ phận khác và gây nhiễm trùng. Điển hình là các tình trạng bị viêm họng, lở miệng, viêm niêm mạc, …
2. Những nguyên nhân gây ê buốt sau quá trình cạo vôi răng
Ê buốt sau khi thực hiện lấy cao răng là tình huống khá thường gặp. Nhiều khi, tình trạng này còn được coi là khá bình thường do thao tác cạo vôi răng ít nhiều cũng có tác động tới men răng. Tuy nhiên, nếu biểu hiện ê buốt kéo dài thì rất có thể là những bất thường xảy ra và nguyên nhân có thể do một trong những yếu tố sau:
2.1 Kỹ thuật thực hiện lấy cao răng không đảm bảo
Trường hợp lấy cao răng được thực hiện bởi dụng cụ cầm tay, thao tác không đảm bảo thì có thể gây những va chạm tới men răng. Do đó, quá trình lấy cao răng trên nhiều răng mà kỹ thuật không được đảm bảo sẽ gây nên ê buốt. Men răng có thể bị tổn thương.
2.2 Do tình trạng răng yếu
Khi bệnh nhân có nền răng yếu thì dù thực hiện đúng kỹ thuật lấy cao răng, thực hiện bằng máy siêu âm thì tình trạng ê buốt vẫn không thể tránh khỏi. Răng khi yếu sẽ trở nên dễ bị kích ứng, nhạy cảm. Do đó, so với răng khỏe mạnh bình thường, răng yếu sau khi lấy cao răng dễ bị ê buốt hơn.
2.3 Do răng thiểu sản men
Những đối tượng có răng bị thiểu sản men hầu hết sẽ đều bị đau buốt sau khi thực hiện lấy cao răng. Điều này là do những răng thiểu sản có lớp men răng bị mòn. Vì vậy, những tác động cho dù là nhỏ cũng có thể gây tình trạng ê buốt cho răng.
2.4 Do tình trạng viêm lợi, viêm quanh răng
Ê buốt răng do viêm lợi, viêm quanh răng là tình trạng khá phổ biến, gây ra cảm giác đau nhói khi ăn đồ nóng, lạnh, chua hoặc ngọt. Nguyên nhân chính là do viêm nhiễm khiến lợi sưng đỏ, tụt khỏi chân răng, làm lộ bề mặt ngà răng nhạy cảm. Khi viêm tiến triển nặng hơn, vi khuẩn có thể tấn công sâu vào tổ chức quanh răng, làm tiêu xương ổ răng, gây lung lay răng và tăng mức độ ê buốt.
Ngoài cảm giác ê buốt, người bệnh có thể gặp các triệu chứng như chảy máu chân răng, hôi miệng hoặc đau nhức khi nhai. Nếu không được điều trị kịp thời, viêm lợi có thể tiến triển thành viêm nha chu, ảnh hưởng đến sức khỏe răng miệng lâu dài. Để giảm ê buốt, cần chăm sóc răng miệng đúng cách, súc miệng nước muối sinh lý, sử dụng kem đánh răng dành cho răng nhạy cảm và đặc biệt là thăm khám nha khoa sớm để điều trị dứt điểm viêm nhiễm.
3. Cạo vôi răng xong ê buốt có nguy hiểm không?
Cạo vôi răng nếu đảm bảo đúng kỹ thuật, điều kiện sức khỏe răng miệng thì không gây nguy hiểm
Sau khi thực hiện cạo vôi răng, tình trạng ê buốt thường thấy nếu gặp những vấn đề như:
– Cao răng nhiều dẫn đến ê buốt nhẹ sau khi điều trị.
– Men răng bị yếu bẩm sinh.
– Răng thiểu sản men.
Thông thường, tình trạng ê buốt sau khi lấy vôi răng sẽ chỉ kéo dài khoảng một vài tiếng sau khi thực hiện. Tiếp đó, mức độ ê buốt sẽ dần giảm đi, không xuất hiện thêm những dấu hiệu bất thường nào. Thế nhưng, nếu như lo ngại đau buốt có thể kéo theo các vấn đề khó chịu, ta có thể thực hiện chườm đá lạnh để xoa dịu.
Bên cạnh đó, ta cũng cần chú ý một số dấu hiệu kèm ê buốt răng có thể là cảnh báo cho các vấn đề nghiêm trọng sau khi lấy vôi răng như:
– Chân răng chảy máu liên tục.
– Răng đau nhức nghiêm trọng, không thuyên giảm.
– Tình trạng nhức răng kèm mưng mủ.
– Xuất hiện dấu hiệu hôi miệng kéo dài.
Đây đều là những dấu hiệu biến chứng nguy hiểm. Người bệnh có thể gặp phải nhiễm trùng nướu. Thậm chí tình trạng có nguy cơ bị lan rộng và tấn công tới hệ thống nha chu.
Việc lựa chọn địa chỉ nha khoa thực hiện cạo vôi răng rất quan trọng để đảm bảo an toàn và hiệu quả
4. Những cách hạn chế tình trạng ê buốt sau khi cạo vôi răng
Để có thể ngăn chặn được tình trạng bị ê buốt tối đa sau khi thực hiện lấy cao răng, ta nên chú ý tới:
– Lựa chọn địa chỉ nha khoa uy tín, cụ thể, ta nên chọn những nha khoa uy tín, bác sĩ kinh nghiệm, chuyên môn cao. Như vậy, độ an toàn, hiệu quả sẽ được đảm bảo hơn.
– Hạn chế sử dụng các loại nước có ga để tránh men răng tổn thương. Bên cạnh đó, những loại nước có màu như cà phê, trà, … cũng cần tránh để không tác động xấu tới răng.
– Việc đánh răng nên được thực hiện với thao tác nhẹ nhàng. Loại bàn chải sử dụng nên là loại có đầu lông mềm. Đặc biệt, ta không nên vì răng ê buốt mà bỏ qua việc đánh răng.
– Sử dụng nước muối loãng ấm hoặc nước muối sinh lý được bán tại các nhà nước để súc miệng. Điều này sẽ giúp làm thuyên giảm cảm giác ê buốt hiệu quả. Tuy nhiên, ta lưu ý chỉ nên thực hiện súc miệng 2-3 lần mỗi ngày. Nước muối được pha chỉ nên ở nồng độ 0.9%. Nếu nước muối sử dụng quá mặn sẽ gây kích ứng với nướu. Từ đó, tình trạng ê buốt sẽ nghiêm trọng hơn.
– Không hút thuốc lá hay uống rượu, bia để tránh men răng bị ảnh hưởng xấu, răng dễ bám màu và trở nên ố vàng.
– Không sử dụng những sản phẩm tẩy trắng răng tại nhà có khả năng gây ê buốt, kích ứng nướu.
– Từ bỏ dần những thói quen xấu như nghiến răng, nhai đá, … tránh gây hại tới răng.
Trên đây là những điều cần biết về tình trạng ê buốt sau khi lấy cao răng. Bên cạnh những lưu ý trên, điều quan trọng là ta cũng cần lấy cao răng định kỳ nửa năm. Điều này sẽ giúp tránh cao răng hình thành quá nhiều. Tình trạng ê buốt sau khi lấy cao răng cũng được hạn chế.


















