Nên làm gì khi răng bị sâu?
Răng bị sâu là vấn đề răng miệng đa số mọi người ở mọi lứa tuổi đều có thể mắc phải. Là một bệnh phổ biến và có vẻ rất nhỏ không quá ảnh hưởng đến chất lượng sống, sâu răng thường bị xem nhẹ và bỏ mặc không chữa trị. Tuy nhiên nếu để tình trạng sâu răng kéo dài có thể dẫn tới nhiều biến chứng nghiêm trọng cho sức khỏe người bệnh. Vậy khi phát hiện ra sâu răng chúng ta nên làm gi? Bài viết dưới đây phần nào sẽ giải đáp thắc mắc giúp bạn.
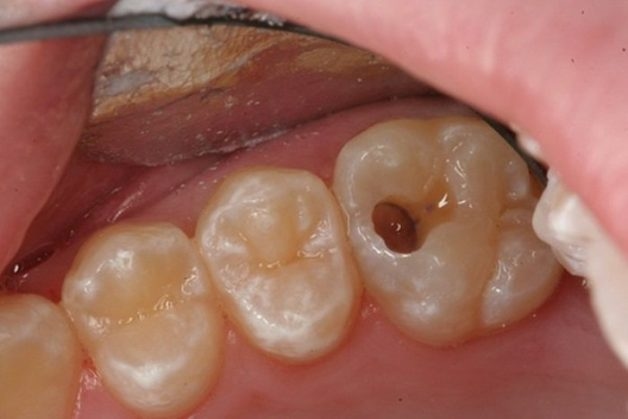
1. Xác định tình trạng sâu
Sau khi ăn xong, nếu chúng ta không vệ sinh răng miệng sạch sẽ và để thức ăn còn sót lại trong kẽ răng, tạo thành mảng bám. Đây là môi trường thuận lợi cho vi khuẩn phát triển và tấn công bề mặt răng gây ra các lỗ sâu. Sâu răng có thể xảy ra với mọi răng nhưng hầu hết sẽ là ở răng hàm phía trong và trong các kẽ răng vì đây là những vị trí khó làm sạch.
1.1 Biểu hiện khi răng bị sâu

Sâu răng có thể dễ dàng được nhìn thấy và phát hiện do có biểu hiện khá rõ ràng
– Xuất hiện vết đen/lỗ sâu trên răng: Khi quan sát răng bạn sẽ dễ dàng nhận thấy men và ngà răng bị tổn thương, tạo thành các vết màu nâu, đen hoặc thấy cả lỗ sâu. Nếu lấy hết vụn thức ăn đọng lại trong lỗ sâu sẽ thấy khoang lỗ sâu thường rộng hơn miệng lỗ sâu.
– Sưng nướu hoặc nướu dễ chảy máu: Sâu răng khiến nướu trở nên nhạy cảm, dễ sưng đau. Các tác động như đánh răng hoặc dùng chỉ nha khoa có thể khiến nướu chảy máu và dễ gây nhiễm trùng.
– Đau buốt, ê răng khi bị kích thích: Nếu thức ăn lọt vào lỗ sâu răng hoặc khi ăn nóng, lạnh quá sẽ cảm thấy đau buốt răng..
– Hơi thở hôi: Thức ăn khi tích tụ lâu ngày ở kẽ răng, không được làm sạch tạo thành môi trường thuận lợi cho vi khuẩn sinh sôi và khiến hơi thở có mùi hôi.
– Đau buốt khi ăn nhai: Vi khuẩn tấn công gây tổn thương cho ngà răng, làm ảnh hưởng đến dây thần kinh, khiến răng có cảm giác bị ê buốt khi nhai.
1.2 Xác định mức độ sâu của răng

Sâu răng là một quá trình diễn ra với 4 giai đoạn, tương ứng với 4 mức độ sâu của răng:
– Giai đoạn 1 – Sâu men răng: đây là giai đoạn mới chớm sâu răng. Ở giai đoạn này các dấu hiệu khá mờ nhạt và không gây ảnh hưởng gì tới người bệnh. Thường thấy với cá vết nâu, vết đen trên răng nhưng còn nhỏ và có thể hơi mờ nên khó phát hiện, không gây đau nhức nên thường bị bỏ qua.
– Giai đoạn 2 – Sâu ngà răng: các vết trên men răng mở rộng, lan sâu xuống ngà răng tạo thành các lỗ sâu. Lỗ sâu răng của bạn càng sâu, răng càng tổn thương nặng và càng ảnh hưởng đến sức khỏe răng, gây đau răng. Do đó, nên điều trị răng bị sâu sớm ở giai đoạn này.
– Giai đoạn 3 – Viêm tủy răng: khi sâu ngà không được điều trị, lỗ sâu răng sẽ ngày càng mở rộng, ăn sâu vào răng, tiến dần đến tủy, có thể phát triển thành viêm tủy gây đau nhức dữ dội, cơn đau có thể đến tự nhiên (không có tác động cũng đau), đau nhiều hơn vào ban đêm. Ở giai đoạn này bạn vẫn có thể kịp thời điều trị để bảo tồn răng thật và tránh các biến chứng nguy hiểm..
– Giai đoạn 4 – Chết tủy răng: Nếu răng bị sâu ăn vào tủy, viêm tủy kéo dài và không được điều trị thì tủy sẽ bị chết. Lúc này vi khuẩn tiếp tục theo đường ống tủy làm nhiễm trùng dưới chân răng, một số trường hợp nghiêm trọng có thể gây biến chứng như tiêu xương hàm, gãy xương hàm, nhiễm trùng máu,…
2. Nên làm gì khi răng bị sâu?
2.1. Hạn chế đồ ăn, thức uống quá nóng hoặc quá lạnh khi răng bị sâu:
Sâu răng làm cho men răng và ngà răng bị tổn thương. Lúc này răng sẽ trở nên rất nhạy cảm và có phản ứng tiêu cực khi tiếp xúc với nhiệt độ quá cao hoặc quá thấp, gây ra cảm giác đau buốt vô cùng khó chịu.Do đó kể cả khi đánh răng bạn cũng nên dùng nước ấm thay vì nước lạnh.
2.2. Hạn chế thức ăn quá ngọt hoặc quá chua khi răng bị sâu:
Sâu răng xảy ra do vi khuẩn tiết ra axit ăn mòn men răng và ngà răng. Trong khi đó đồ ăn ngọt và chua đều chứa một lượng lớn đường hoặc axit làm việc răng bị ăn mòn nghiêm trọng hơn. Thêm vào đó, tuy không phản ứng mạnh với đường tự nhiên và axit từ đồ chua như đối với nhiệt, nhưng nếu sử dụng nhiều thực phẩm như vậy sẽ khiến tình trạng sâu răng ngày càng nặng hơn nhiều
2.3. Uống thuốc giảm đau

Uống thuốc giảm đau là biện pháp tạm thời khi bị sâu răng
Nếu được sự tư vấn từ nha sĩ, bạn có thể sử dụng thuốc giảm đau không kê đơn để giảm cơn đau do sâu răng gây ra, tiêu biểu như paracetamol hoặc ibuprofen. Nhưng bạn cần lưu ý rằng, các loại thuốc giảm đau này chỉ có tác dụng giảm đau tạm thời chứ không thể giúp bạn hết hoàn toàn đau răng do bị sâu hay điều trị được sâu răng. Không chỉ vậy khi sử dụng thuốc giảm đau, bạn nên nghiên cứu kỹ về liều lượng khuyến cáo, tránh trường hợp sử dụng quá liều gây nguy hiểm.
3. Lúc nào nên điều trị răng bị sâu?
Phải chịu đựng những cơn đau răng kéo dài thật sự rất khó chịu và nhức nhối. Do đó để thoát khỏi cơn đau một cách nhanh chóng bằng thuốc giảm đau là điều chúng ta luôn nghĩ đến đầu tiên để đẩy lùi cơn đau. Đối với sâu răng, thuốc giảm đau có đặc tính chống viêm sẽ đem lại hiệu quả giảm đau tức thời như mong muốn, bởi vì hầu hết những cơn đau này do viêm mô hoặc thần kinh gây ra.
Tuy nhiên như đã nói ở bên trên, việc uống thuốc giảm đau chỉ có thể cải thiện tình trạng đau đớn tạm thời chứ không thể loại bỏ triệt để do nguyên nhân là sâu răng vẫn còn đó. Điều trị triệt để răng bị sâu mới là điều mà người bệnh nên nhanh chóng thực hiện.

Thăm khám nha sĩ để điều trị sớm răng sâu là điều nên làm khi phát hiện sâu răng
Để chữa trị sâu răng triệt để bạn nên tìm cho mình địa chỉ nha khoa uy tín để đặt niềm tin càng sớm càng tốt. Kéo dài việc đi chữa trị không chỉ khiến tình trạng sâu răng tồi tệ hơn mà còn gây khó khăn trong điều trị và nguy cơ gặp nhiều biến chứng không mong muốn. Thậm chí nếu tình trạng sâu răng nặng thì phải tính đến nhổ bỏ răng sâu, mất răng vĩnh viễn.
Chính vì vậy, ngay khi nhận thấy bất kỳ dấu hiệu của sâu răng nào thì bạn cũng nên sắp xếp ghé nha khoa để bác sĩ thăm khám và xử lý sớm để có kết quả tốt nhất.. Đừng chủ quan để bệnh lý sâu răng trở nặng gây nguy hại cho sức khỏe răng miệng và sức khỏe tổng thể của bản thân ban nhé!