Lời khuyên từ chuyên gia về cách chữa viêm lợi tụt lợi dứt điểm
Viêm lợi tụt lợi giống như “kẻ thù thầm lặng” của hàm răng. Chúng âm thầm tiến triển, gây chảy máu, ê buốt và cuối cùng là lộ chân răng, khiến nụ cười của bạn mất đi sự tự tin. Hàng triệu người đã và đang phải đối mặt với tình trạng này, loay hoay tìm kiếm một giải pháp triệt để. Vậy liệu có thể chữa viêm lợi tụt lợi dứt điểm? Hãy cùng TCI giải mã căn bệnh này và khám phá hành trình khôi phục hàm răng khỏe mạnh từ gốc rễ.
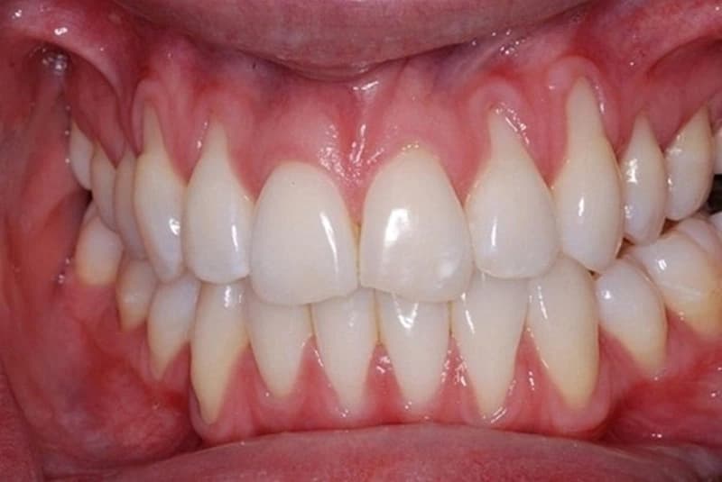
1. 5 Dấu hiệu viêm lợi tụt lợi không thể bỏ qua
Nhiều người thường bỏ qua tình trạng chảy máu khi đánh răng, lầm tưởng đây chỉ là do bàn chải quá cứng. Nhưng trên thực tế, đó là tiếng chuông báo động cho thấy lợi của bạn đang bị tổn thương. Hãy cùng tìm hiểu những dấu hiệu quan trọng dưới đây, bởi việc nhận biết sớm sẽ giúp bạn ngăn chặn được viêm lợi và tụt lợi, bảo vệ nụ cười khỏe mạnh từ gốc

1.1. Chảy máu lợi không rõ nguyên nhân
Khi vi khuẩn tích tụ lâu ngày tạo thành mảng bám và cao răng, chúng sẽ kích thích mô lợi, gây ra tình trạng sưng, tấy đỏ và dễ chảy máu khi có tác động dù là rất nhẹ. Đây chính là giai đoạn viêm lợi cấp tính.
1.2. Lợi sưng tấy, đỏ hoặc tím sẫm
Khác với lợi khỏe mạnh có màu hồng nhạt và săn chắc, lợi bị viêm sẽ sưng to, mất đi đường viền săn chắc và chuyển sang màu đỏ sẫm hoặc thậm chí tím sẫm. Lúc này, vi khuẩn đã bắt đầu xâm lấn sâu hơn, tạo thành các túi nha chu.
1.3. Hơi thở có mùi hôi dai dẳng và vị lạ trong miệng
Vi khuẩn tích tụ trong các túi lợi sâu hơn là nguyên nhân chính gây ra mùi hôi khó chịu, ngay cả khi bạn đã vệ sinh răng miệng kỹ càng. Đôi khi, bạn có thể cảm nhận vị tanh hoặc vị khó chịu do dịch mủ tích tụ.
1.4. Ê buốt, nhạy cảm khi ăn uống
Khi bệnh tiến triển thành viêm nha chu, mô lợi và xương nâng đỡ răng bắt đầu bị tiêu hủy. Lợi bị tụt xuống, lớp ngà răng vốn được bao phủ bởi lợi sẽ bị lộ ra ngoài, khiến răng trở nên nhạy cảm hơn với thức ăn nóng, lạnh hoặc chua.
1.5. Khoảng trống giữa các răng và lung lay răng
Tụt lợi là hậu quả của sự tiêu xương và mô mềm, khiến chân răng bị lộ ra, tạo ra các khẽ hở răng. Khi xương đã bị phá hủy quá nhiều, răng sẽ mất đi điểm tựa, gây ra tình trạng lung lay, và nếu không được chữa viêm lợi tụt lợi kịp thời, có thể dẫn đến mất răng vĩnh viễn.
2. Giải pháp chữa viêm lợi tụt lợi hiệu quả tối ưu
2.1. Phương pháp chữa viêm lợi tụt lợi tại phòng khám nha khoa
Quá trình này bao gồm hai thủ thuật chính và thường được thực hiện trong một hoặc hai buổi hẹn, tùy thuộc vào mức độ nặng của bệnh.

– Cạo vôi răng: Đây là bước khởi đầu bắt buộc. Bác sĩ sẽ sử dụng dụng cụ cạo vôi siêu âm chuyên dụng để rung và phá vỡ các mảng bám, cao răng cứng đầu trên bề mặt răng và dưới đường viền lợi. Quá trình này giúp loại bỏ môi trường sống của vi khuẩn, làm giảm sưng, viêm lợi và ngăn chặn bệnh tiến triển.
– Làm sạch sâu chân răng: Đây là thủ thuật chuyên sâu hơn so với cạo vôi răng thông thường. Khi vi khuẩn đã xâm nhập vào các túi nha chu, bác sĩ sẽ tiến hành làm sạch sâu bề mặt chân răng, loại bỏ hoàn toàn vi khuẩn và độc tố tích tụ. Điểm khác biệt nằm ở chỗ bác sĩ sẽ làm láng mịn bề mặt chân răng. Quá trình này rất quan trọng, vì bề mặt chân răng nhẵn sẽ khiến vi khuẩn khó bám lại hơn, giúp mô lợi có thể tái bám dính chắc chắn vào răng, từ đó giảm độ sâu của túi nha chu. Thủ thuật này thường được thực hiện dưới tác dụng của thuốc gây tê tại chỗ để đảm bảo sự thoải mái tuyệt đối cho bệnh nhân.
2.2. Giải pháp bổ sung chữa viêm lợi tụt lợi tại nhà
Sau khi được làm sạch chuyên sâu, việc chăm sóc tại nhà đóng vai trò then chốt để duy trì kết quả điều trị và ngăn ngừa bệnh tái phát.
– Đánh răng đúng kỹ thuật: Không chỉ đơn thuần là đánh răng, bạn cần áp dụng kỹ thuật chải răng đúng chuẩn y khoa. Bác sĩ thường sẽ hướng dẫn bạn kỹ thuật chải xoay tròn theo góc 45 độ, di chuyển nhẹ nhàng dọc theo đường viền lợi, kết hợp chải cả mặt trong và mặt nhai của răng.
– Sử dụng chỉ nha khoa và tăm nước: Đây là “bộ đôi” không thể thiếu để làm sạch mảng bám ở kẽ răng và dưới đường viền lợi – những khu vực mà bàn chải không thể tới. Chỉ nha khoa giúp làm sạch các mảng bám giữa các răng, trong khi tăm nước với tia nước áp lực sẽ giúp loại bỏ vụn thức ăn và vi khuẩn ở những khu vực sâu hơn, đặc biệt hiệu quả với những người có răng khấp khểnh.
– Sử dụng nước súc miệng chuyên dụng: Bác sĩ có thể chỉ định một số loại nước súc miệng có chứa thành phần sát khuẩn như Chlorhexidine trong thời gian ngắn để kiểm soát lượng vi khuẩn trong miệng sau điều trị. Đây là giải pháp hỗ trợ, không phải là phương pháp thay thế cho việc vệ sinh răng miệng bằng bàn chải và chỉ nha khoa.
– Chế độ ăn uống hợp lý: Bổ sung Vitamin C và D từ trái cây, rau xanh và các thực phẩm giàu canxi để củng cố sức khỏe xương và mô lợi.
3. Thực hư về cách chữa viêm lợi tụt lợi theo các mẹo dân gian
Trong thời đại thông tin bùng nổ, không khó để tìm thấy hàng loạt “công thức” trên mạng về việc sử dụng các mẹo dân gian như súc miệng bằng nước muối, dầu dừa hay bôi gel lô hội để chữa viêm lợi tụt lợi. Tuy nhiên, các chuyên gia nha khoa đều cảnh báo rằng đây là một quan niệm không hoàn toàn hiệu quả về lâu dài.
Sự thật là các biện pháp tại nhà chỉ có tác dụng hỗ trợ, giúp giảm bớt triệu chứng khó chịu như sưng, viêm tạm thời. Chúng hoàn toàn không thể loại bỏ được nguyên nhân gốc rễ gây bệnh. Viêm lợi và tụt lợi không phải là một vết thương viêm đơn thuần mà là kết quả của sự tích tụ lâu ngày của mảng bám và cao răng – những mảng vi khuẩn đã bị vôi hóa, bám chặt vào bề mặt răng và dưới lợi. Các mảng bám cứng đầu này không thể bị loại bỏ bởi bất kỳ loại nước súc miệng hay kem bôi nào, dù là tự nhiên hay hóa học. Vậy nên, nên đến nha khoa thăm khám để bác sĩ có thể tư vấn và đưa ra phác đồ điều trị phù hợp nhất dành cho bạn.

Tóm lại, chữa viêm lợi tụt lợi là một vấn đề nha khoa cần được xử lý kịp thời. Việc tự điều trị chỉ mang tính hỗ trợ tạm thời, không giải quyết triệt để. Hãy để việc thăm khám và lắng nghe lời khuyên của bác sĩ như một khoản đầu tư xứng đáng cho sức khỏe của chính bạn. Chủ động trong việc chữa viêm lợi tụt lợi sẽ giúp bạn lấy lại sự tự tin, sở hữu một hàm răng khỏe mạnh và nụ cười hoàn hảo, tạo nên những ấn tượng tốt trong cuộc sống.


















