Giải đáp thắc mắc: lấy vôi răng có tác dụng gì cho ai cần biết
Chải răng thường không đủ để loại bỏ hết vôi răng. Do đó, để làm sạch vôi răng, các nha sĩ thường khuyên bạn nên đến phòng nha để thực hiện lấy cao răng định kỳ. Hãy tìm hiểu chi tiết về việc lấy vôi răng có tác dụng gì đối với sức khỏe răng miệng thông qua bài viết sau đây.
1. Thế nào là vôi răng?
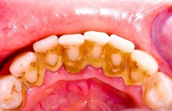
Vôi răng là một vấn đề phổ biến của răng miệng, ảnh hưởng đến sức khỏe và cả vẻ đẹp của hàm răng. Vôi răng, hay còn được gọi là cao răng, là một lớp màu trắng hoặc màu vàng bám chặt lên bề mặt răng. Nguyên nhân chủ yếu của vôi răng đến từ việc tích tụ của các khoáng chất từ thức ăn và nước uống mà chúng ta tiêu thụ hàng ngày.
Một số nguyên nhân cụ thể của vôi răng bao gồm sự kết hợp giữa canxi và phosphate trong nước và thức ăn, tạo ra các tinh thể khoáng màu trắng bám lên răng. Đặc biệt, thức ăn giàu đường và axit cũng làm tăng khả năng hình thành vôi răng, bởi vì chúng cung cấp môi trường lý tưởng cho vi khuẩn trong miệng phát triển và tạo ra axit, góp phần vào quá trình ăn mòn men răng.
Vôi răng là những mảng bám đã bị cứng hóa, bám chặt lên bề mặt răng
Mặc dù vôi răng không gây nguy hiểm ngay cho sức khỏe, nhưng nếu không được xử lý kịp thời, nó có thể dẫn đến các vấn đề như viêm nướu, sâu răng và thậm chí là mất men răng. Do đó, việc duy trì một chế độ chăm sóc răng miệng đúng đắn, bao gồm đánh răng thường xuyên, sử dụng nước súc miệng chứa fluoride và thăm khám bác sĩ nha khoa định kỳ, là rất quan trọng để ngăn chặn vôi răng, duy trì sức khỏe răng miệng.
2. Vôi răng và những tác hại
Tác hại chính của vôi răng chính là khả năng tạo ra môi trường lý tưởng cho sự phát triển của vi khuẩn trong miệng. Khi vi khuẩn này tiếp xúc với thức ăn và đường, chúng tạo ra axit gây ăn mòn men răng, đồng thời kết hợp với canxi và phosphate để tạo thành các tinh thể khoáng màu trắng bám lên răng. Quá trình này không chỉ làm giảm độ bóng và màu trắng tự nhiên của răng mà còn gây ra mùi hôi miệng và làm tăng nguy cơ sâu răng và viêm nướu.
Nếu không được xử lý kịp thời, vôi răng có thể dẫn đến các vấn đề nghiêm trọng hơn như mất men răng, làm suy giảm chức năng bảo vệ của men và làm cho răng trở nên nhạy cảm hơn đối với thức ăn nóng hoặc lạnh. Đồng thời, vôi răng cũng ảnh hưởng đến thẩm mỹ răng, làm giảm tự tin khi cười.
Để ngăn chặn tác hại của vôi răng, việc duy trì chế độ chăm sóc răng miệng đúng đắn, bao gồm đánh răng đúng cách, sử dụng nước súc miệng chứa fluoride và thăm bác sĩ nha khoa định kỳ là rất quan trọng.
3. Những ảnh hưởng khi lấy vôi răng và lấy vôi răng có tác dụng gì?
3.1. Lấy vôi răng có tác dụng gì?
Việc đi lấy vôi răng mang lại nhiều lợi ích quan trọng cho sức khỏe nướu và răng của mỗi người. Quá trình này nên được thực hiện bởi các bác sĩ nha khoa. Dưới đây là những lợi ích chính khi thực hiện quy trình lấy vôi răng:
– Loại bỏ mảng bám và vôi răng: quá trình lấy vôi răng giúp loại bỏ mảng bám và lớp vôi trắng bám chặt lên bề mặt răng. Điều này giúp cải thiện không chỉ vẻ ngoại hình của răng mà còn ngăn chặn tình trạng mất men răng và sự hình thành sâu răng.
– Tăng cường thẩm mỹ răng: lấy vôi răng có thể giúp tái tạo bề mặt răng, làm cho chúng trở nên bóng bẩy và sáng đẹp hơn. Quá trình này giúp cải thiện thẩm mỹ cho nụ cười và tăng sự tự tin khi giao tiếp.
– Ngăn ngừa mùi hôi miệng: bằng cách loại bỏ mảng bám và vôi, quá trình lấy vôi răng giúp kiểm soát mùi hôi miệng. Việc giữ cho miệng sạch sẽ làm giảm số lượng vi khuẩn gây mùi trong miệng.
Lấy cao răng thường xuyên theo lịch hẹn của bác sĩ giúp giảm các bệnh răng miệng
– Giảm nguy cơ viêm nướu: mảng bám và vôi răng thường làm tăng nguy cơ viêm nướu. Bằng cách định kỳ lấy vôi răng, bạn có thể giảm thiểu nguy cơ này và duy trì sức khỏe của nướu.
– Hỗ trợ trong quá trình điều trị chăm sóc răng: đối với những người đang trong quá trình điều trị nha khoa, việc lấy vôi răng là quan trọng để duy trì sức khỏe răng và nướu trong khi đeo các thiết bị nha khoa niềng răng.
Lấy vôi răng định kỳ là một phần quan trọng của chế độ chăm sóc răng miệng cá nhân và nên được thực hiện dưới sự hướng dẫn của các chuyên gia nha khoa.
3.2. Nhiều người băn khoăn liệu cạo vôi răng có ảnh hưởng?
Quá trình lấy vôi răng không chỉ không gây ảnh hưởng mà còn mang lại nhiều lợi ích cho sức khỏe răng miệng. Việc đánh bóng răng giúp loại bỏ mảng bám và vôi trắng tích tụ trên bề mặt răng, ngăn chặn quá trình mất men răng và giảm nguy cơ sâu răng. Đồng thời, quá trình này còn tăng cường thẩm mỹ cho nụ cười, làm cho răng trở nên bóng bẩy và sáng đẹp hơn.
Việc lấy vôi răng cũng có ảnh hưởng tích cực trong việc ngăn chặn mùi hôi miệng. Loại bỏ mảng bám giúp kiểm soát sự phát triển của vi khuẩn trong miệng, giảm nguy cơ gây ra mùi khó chịu.
Thời gian lý tưởng để đi lấy vôi răng là khoảng 6 tháng một lần. Tuy nhiên, tần suất có thể thay đổi tùy thuộc vào tình trạng sức khỏe răng miệng của mỗi người và hướng dẫn của bác sĩ nha khoa. Bác sĩ sẽ đề xuất lịch trình phù hợp dựa trên tình trạng cụ thể của răng và nướu, nhằm duy trì sức khỏe, bảo vệ và làm đẹp cho nụ cười.
Chọn nhưng cơ sở nha khoa chất lượng cao để việc lấy cao răng trở nên đơn giản hơn
Hy vọng những thông tin này giúp bạn hiểu rõ hơn về quá trình lấy vôi răng và lấy vôi răng có tác dụng gì . Lấy vôi răng là một kỹ thuật quan trọng và nên được thực hiện bởi bác sĩ chuyên nghiệp để đảm bảo an toàn và hiệu quả. Hãy lựa chọn các cơ sở nha khoa có uy tín và đội ngũ bác sĩ chuyên nghiệp khi bạn cần lấy vôi răng hoặc chăm sóc sức khỏe răng miệng. Nếu cần tư vấn, hãy liên hệ Tổng đài của Thu Cúc TCI bạn nhé.


















