Giải đáp: Cao răng tự rụng được không và cách lấy
Tất cả mọi người đều mong muốn có một nụ cười tinh khôi với hàm răng trắng sáng, đều đẹp và hơi thở dễ chịu. Tuy nhiên, nhiều người đã nhận thức được rằng tình trạng mảng bám và răng vàng gây mất thẩm mỹ, hôi miệng và một số vấn đề khác. Liệu cao răng tự rụng được không và cách lấy như nào? Trong bài viết dưới đây, Thu Cúc TCI sẽ giải đáp cao răng tự rụng được không và cách lấy nhé.
1. Tìm hiểu khái niệm và sự hình thành cao răng
Cao răng, hay là vôi răng, là tình trạng mảng bám tạo thành chủ yếu ở phần chân răng. Sau một khoảng thời gian, mảng bám trở nên vôi hóa trong môi trường nước bọt chứa muối vô cơ. Khi đó, mảng bám này được xác định là cao răng, có đặc tính dày và cứng, bám chặt vào chân răng và gần nướu. Nó làm cho việc làm sạch trở nên khó khăn khi vệ sinh răng thông thường.
Nha sĩ đang tiến hành lấy cao răng cho bệnh nhân (minh họa).
Nguyên nhân chủ yếu của sự tích tụ cao răng là do vụn thức ăn không được loại bỏ sạch sau mỗi bữa ăn. Từ đó, tạo điều kiện thuận lợi cho sự phát triển mạnh mẽ của vi khuẩn trên bề mặt răng. Điều này dẫn đến hình thành nhiều loại cao răng, thường có màu vàng hoặc vàng nâu, bao gồm cả cao răng thường và cao răng huyết thanh.
2. Phân loại 3 cấp độ của cao răng
Khả năng cao răng tự rụng thường phụ thuộc vào mức độ mảng bám tại khu vực chân răng và dưới nướu. Các cấp độ cao răng mang đến những vấn đề đặc biệt cho sức khỏe răng miệng. Trong lĩnh vực nha khoa, cao răng thường được phân loại thành ba cấp độ như sau:
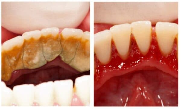
Hình ảnh trước và sau khi lấy cao răng khiến răng lột xác hoàn toàn (minh họa).
2.1 Cấp độ 1:
Cao răng ở cấp độ này có độ dày dưới 1mm, màu trắng đục hoặc vàng nhạt. Tình trạng này mới hình thành và chưa gây ảnh hưởng đáng kể đến sức khỏe răng miệng.
2.2 Cấp độ 2:
Cao răng ở cấp độ này phát triển độ dày từ 1-2mm, màu vàng sậm và dễ quan sát bằng mắt thường. Đồng thời, có thể xuất hiện các triệu chứng như viêm nướu nhẹ và chảy máu chân răng.
2.3 Cấp độ 3:
Đây là cấp độ nặng nhất, khi cao răng đã phát triển độ dày lớn hơn 2mm, chuyển sang màu nâu sậm hoặc nâu đen. Cao răng cấp độ 3 tiềm ẩn nhiều rủi ro cho sức khỏe răng miệng, gây ra viêm nướu nặng và có thể dẫn đến mùi hôi khó chịu.
3. Giải đáp: Cao răng tự rụng được không?
Như đã trình bày trước đó, cao răng khác biệt với các mảng bám thông thường. Việc cao răng tự rụng cũng gặp nhiều khó khăn hơn. Đặc biệt là ở những trường hợp cao răng ở cấp độ 2 và cấp độ 3, vì chúng có độ dày và bám chặt tại khu vực chân răng.
Bác sĩ đang giải thích cho bệnh nhân về việc cao răng có tựu rụng được không.
Nhiều người hiểu nhầm rằng việc đánh răng hàng ngày có thể loại bỏ toàn bộ mảng bám cao răng. Thực tế, đối với những mảng bám mỏng, mới hình thành bạn có thể loại bỏ một phần bằng việc đánh răng, dùng chỉ nha khoa và nước súc miệng. Tuy nhiên khi cao răng đã bị vôi hóa, việc đánh răng không đủ để loại bỏ chúng.
4. Những tác hại của cao răng
Ban đầu, cao răng có thể không tạo ra ảnh hưởng đáng kể đối với sức khỏe răng miệng. Tuy nhiên theo thời gian, nó có thể gây ra nhiều vấn đề, bao gồm:
– Cao răng đục màu gây mất thẩm mỹ nghiêm trọng, tác động đến khả năng giao tiếp hàng ngày.
– Vôi răng tạo điều kiện cho hôi miệng phát triển, gây khó chịu cho người đối diện.
– Vi khuẩn trong mảng bám cao răng có thể tấn công nướu, gây ra viêm nướu. Lâu ngày, có thể dẫn đến viêm nha chu, gây tổn thương cho các cấu trúc xung quanh răng.
– Nếu nướu và dây chằng bị suy yếu, khả năng hỗ trợ cho răng giảm, làm cho răng trở nên lung lay và có thể gãy rụng.
– Cao răng tạo điều kiện thuận lợi cho sự phát triển của nhiều vi khuẩn. Về lâu dài có thể dẫn đến các vấn đề như bệnh niêm mạc miệng, viêm họng và nhiệt miệng.
5. Khi nào cần đến bác sĩ để lấy cao răng?
Đến nha sĩ là một vấn đề quan trọng, vì cao răng tự rơi ra rất ít khi xảy ra. Như đã nói ở trên, cao răng khi đã vôi hóa có màu sẫm, rất cứng và bám chặt vào răng, lúc này bạn cần đến nha sĩ để lấy cao răng một cách hiệu quả và an toàn. Thời điểm khuyến khích đi lấy cao răng định kỳ là ít nhất 6 tháng một lần. Bằng cách này, sau khi loại bỏ cao răng, mảng bám và vi khuẩn sẽ được loại bỏ. Từ đó, giúp bảo vệ và giảm thiểu rủi ro của các vấn đề như viêm nướu và hôi miệng. Trong trường hợp nướu đã bị viêm nhiễm, quá trình lấy cao răng phức tạp hơn. Vì lúc này không chỉ phòng ngừa mà còn kết hợp với việc sử dụng thuốc kháng sinh để điều trị tận gốc bệnh lý.
6. Cách lấy cao răng nhanh và hiệu quả
Có nhiều phương pháp lấy cao răng tại nhà được thực hiện, như sử dụng muối, đường nâu, hoặc vỏ chuối. Tuy nhiên, những biện pháp này thường không hiệu quả đối với cao răng lâu năm hoặc tình trạng răng ố vàng nặng. Ngay cả đối với cao răng ở mức độ nhẹ, chúng cũng yêu cầu thời gian dài để thực hiện và không đảm bảo kết quả lâu dài.
Do đó, giải pháp lấy cao răng an toàn và hiệu quả nhất là sử dụng các dụng cụ chuyên dụng tại nha khoa. Bác sĩ sẽ sử dụng các công cụ chuyên nghiệp để loại bỏ mảng bám cao răng một cách nhẹ nhàng, đồng thời không làm tổn thương nướu lợi. Quá trình cạo vôi răng này diễn ra nhanh chóng, chỉ mất khoảng 15 phút. Tuy nhiên nó đem lại hiệu quả duy trì lâu dài và giảm nguy cơ tái hình thành cao răng.
7. Lưu ý
Cần lưu ý khi thực hiện lấy cao răng để tránh gặp phải các vấn đề không mong muốn:
– Lạm dụng hoặc thực hiện cạo vôi răng không đúng cách có thể dẫn đến các vấn đề nguy hiểm. Ví dụ như viêm nha chu, mòn men răng và tăng độ nhạy cảm của răng.
– Một số phương pháp cạo vôi răng không thể thực hiện kỹ lưỡng cho từng răng. Đặc biệt là các răng ở vị trí khó tiếp cận như răng ở phía trong cung hàm. Do đó, việc loại bỏ hoàn toàn lớp vôi răng tại nhà trở nên khó khăn.
Vậy nên để đảm bảo loại bỏ mảng bám một cách toàn diện và an toàn, việc đến nha khoa là sự lựa chọn tốt nhất. Hiện nay, nhiều nha khoa đã áp dụng công nghệ lấy cao răng bằng sóng siêu âm tiên tiến. Với quy trình cạo vôi răng nhanh chóng, hiệu quả và không gây đau đớn. Đừng ngần ngại lựa chọn dịch vụ này tại các cơ sở nha khoa để có kết quả tốt nhất.
Hy vọng những thông tin về cao răng tự rụng được không và cách lấy hữu ích cho bạn đọc. Mọi thắc mắc sẽ được giải đáp kĩ càng khi bạn qua Thu Cúc TCI thăm khám và lấy vôi răng nhé.


















