Điều trị tủy răng sâu có cần thiết?
Răng sâu vào tủy là tình trạng thường gặp ở những người bị sâu răng kéo dài mà không chữa trị hay có biện pháp ngăn ngừa bệnh phát triển. Tủy răng bị sâu lâu dài có thể dẫn đến nhiều biến chứng và gây ảnh hưởng không chỉ với sức khỏe mà cả tính thẩm mỹ, công việc của người bệnh. Nhưng liệu có thực sự cần điều trị tủy răng sâu bằng cách chuyên biệt hay có thể cải thiện ngay tại nhà?
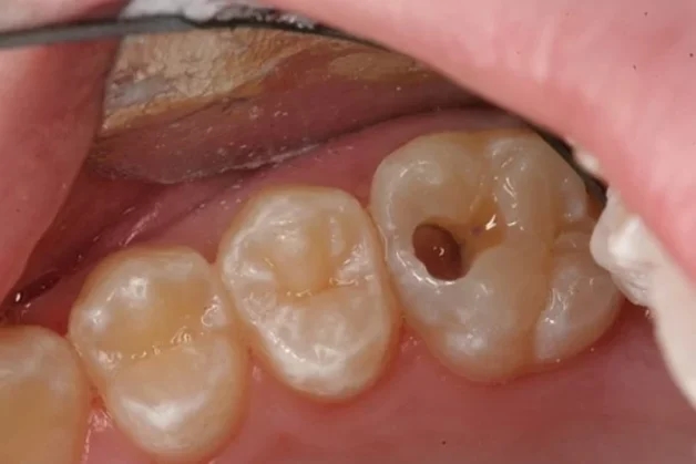
1. Tình trạng sâu vào tủy răng

Răng sâu nặng có thể ăn vào tủy gây viêm
Sâu ăn vào tủy răng là vấn đề thường gặp phải khi tình trạng sâu răng trở nặng, vi khuẩn tấn công xuyên qua các cấu trúc cứng của răng và làm tổn thương tủy răng, gây viêm nhiễm tủy và có thể lan rộng ra các khu vực xung quanh.
Ở giai đoạn sâu răng chớm vào tủy, người bệnh có thể chủ quan hoặc không nghĩ đến bệnh do biểu hiện không nhiêu, các cơn đau nhức chỉ thoáng qua và khá nhẹ. Tuy nhiên khi bỏ qua các triệu chứng này mà không có động thái điều trị, viêm tủy sẽ trở nên nghiêm trọng với tình trạng đau răng nhiều hơn và mức độ cao hơn.
Lúc này biểu hiện thường gặp sẽ gồm: răng bị ê buốt và đau nhức dữ dội, mô răng bị phá hủy và tổn thương nhiều, lan rộng, khó khăn trong ăn uống, giao tiếp do răng quá nhạy cảm, có thể gây vỡ, mẻ răng,… Tất cả các vấn đề này đều gây ảnh hưởng tới sức khỏe, suy nhược cơ thể, thậm chí khiến việc giao tiếp, công việc cũng không được tốt.
Viêm tủy là loại bệnh có yếu tố nhiễm trùng, kèm theo đó tủy răng lại nằm sâu bên trong răng, vậy nên chúng ta không thể tự điều trị tại nhà bằng các thành phần thiên nhiên hoặc tự ý sử dụng thuốc mà nên tới các cơ sở nha khoa uy tín để được điều trị chuyên biệt. Nếu điều trị không đúng cách có thể khiến tình trạng viêm tủy trầm trọng hơn, nguy cơ hoại tử tủy cùng nhiều biến chứng nghiêm trọng đối với sức khỏe toàn thân.
2. Biến chứng nguy hiểm

Vỡ, mẻ, mất răng là biến chứng khi răng sâu vào tủy
Xét theo khía cạnh hóa học, mô tủy chứa tới 70% nước và còn lại là các chất hữu cơ. Khi răng khỏe mạnh bình thường, buồn tủy thường có áp suất 8-15 mmHg, nhưng khi bị viêm áp lực buồng tủy có thể lên đến 35 mmHg hoặc hơn nữa, khiến tủy răng bị chèn ép trong 1 khu vực kín, thiếu tuần hoàn bàng hệ, dẫn đến hoại tử và không có khả năng hồi phục.
Một số biến chứng nguy hiểm khi tủy răng sâu nặng:
– Răng lung lay, dễ vỡ, mẻ, mất chức năng ăn nhai, thậm chí mất răng vĩnh viễn.
– Gây viêm nhiễm vùng chóp răng và các bệnh nha chu
– Ảnh hưởng tới các răng xung quanh, có thể phải nhổ bỏ toàn bộ nếu không chữa trị được.
– Làm tiêu xương, viêm xương hàm, phá hủy, gãy xương hàm gây ảnh hưởng đến cấu trúc gương mặt.
– Làm tổn thương thần kinh, mạch máu vùng mặt.
– Suy giảm hệ thống miễn dịch
– Làm trầm trọng thêm các bệnh toàn thân có sẵn về tim mạch, hô hấp, tiểu đường…
– Nguy cơ gây viêm tủy, viêm xương, viêm nội khớp
– Viêm cầu thận và một số bệnh nội khoa nguy hiểm.
– Nhiễm trùng huyết có thể dẫn tới nguy cơ tử vong.
3. Biện pháp điều trị tủy răng sâu
Vì những rủi ro khi sâu răng ăn vào tủy răng kéo dài là rất nhiều và nghiêm trọng, vậy nên việc điều trị sớm và dứt điểm bệnh rất quan trọng trong việc bảo vệ sức khỏe răng miệng nói riêng và sức khỏe toàn thân nói chung.
Do đó người bệnh cần lưu ý không nên kéo dài thời gian bệnh mà cần đến ngay nha khoa để điều trị tủy răng sâu một cách nhanh chóng hiệu quả. Đặc biệt không nên tự ý mua thuốc bôi hoặc uống khi không có sự tư vấn, hướng dẫn của bác sĩ.
Khi thăm khám tại nha khoa bác sĩ sẽ kiểm tra mức độ sâu răng chính xác qua chụp Xquang để có phương án điều trị tối ưu, hợp lý nhất nhằm bảo tồn răng nếu có thể.
3.1 Điều trị tủy răng sâu bằng phương pháp nội nha
Biện pháp hiệu quả và phổ biến nhất khi điều trị tủy răng sâu là điều trị nội nha. Ở phương pháp này, mục đích là loại bỏ tủy răng và các mô nhiễm trùng để ngăn ngừa sâu răng phát triển cũng như bảo tồn mô răng tối đa. Để loại bỏ tủy, nha sĩ sẽ sử dụng dụng cụ khoan chuyên dụng để mở ống tủy, thông thường 1 răng có 2-4 ống tủy và tất cả đều sẽ cần loại bỏ hết mô tủy, ngăn nguy cơ viêm nhiễm lây lan. Sau đó làm sạch các ống tủy và tạo hình lại để thuận lợi cho việc trám bít bằng các vật liệu chuyên dụng.

Cần đến nha khoa uy tín để điều trị tủy răng
Thông thường sau khi điều trị tủy, bác sĩ sẽ khuyên người bệnh nên bọc răng sứ để khôi phục hình thể cho răng, giúp bảo vệ răng và giúp răng thật chắc chắn, duy trì lâu dài, đảm bảo chức năng ăn nhai.
Trong một vài trường hợp, sau khi chữa tủy, tình trạng nhiễm trùng vẫn không hết thì cần thực hiện chữa tủy lại, thay vật liệu trám bít.
3.2 Nhổ bỏ răng khi điều trị tủy răng sâu nội nha không hiệu quả
Nếu răng sâu răng gây viêm tủy quá nặng khiến việc điều trị tủy răng không có ý nghĩa hoặc không giúp bảo tồn để giữ lại răng, thậm chí gây biến chứng nguy hiểm cho sức khỏe răng miệng nếu cố giữ răng thì chỉ định nhổ răng là cần thiết.
Sau thực hiện nhổ, cần đảm bảo vị trí răng vừa nhổ sẽ phải chắc chắn là không chảy máu. Để chăm sóc răng sau nhổ, bạn sẽ được nha sĩ kê đơn thuốc và dặn dò cách chăm sóc sau khi nhổ răng. Đồng thời việc làm răng giả để trồng vào chỗ răng vừa nhổ cũng sẽ được nha sĩ thảo luận với bạn để tránh việc răng cả hàm bị xô lệch sau này do thiếu răng.
Việc điều trị tủy răng sâu là rất quan trọng đối với người bệnh để bảo tồn răng cũng như duy trì sức khỏe răng miệng. Để đạt hiệu quả điều trị như mong muốn, người bệnh nên lựa chọn những cơ sở y tế uy tín với các bác sĩ có chuyên môn và tay nghề cao để chữa chính xác, giảm nguy cơ biến chứng sau điều trị.