Điểm mặt 5 cách chữa sâu răng hàm tại nhà hiệu quả
Sâu răng hàm là vấn đề răng miệng thường trực ở người trưởng thành. Sâu răng có thể gây nhiều đau đớn và bất tiện cho người mắc. Nếu bạn đang bị cơn đau răng “hành hạ” và chưa thể sắp xếp đến nha khoa để điều trị thì với 5 cách chữa sâu răng hàm tại nhà dưới đây có thể sẽ giúp ích được cho bạn đấy!
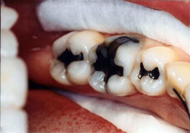
1. Răng hàm khi bị sâu sẽ biểu hiện thế nào?

Sâu răng có thể gây nhiều đau đớn và bất tiện cho người mắc bệnh
Tương tự như những răng khác, quá trình sâu răng của răng hàm cũng trải qua 4 giai đoạn: từ sâu men răng, sâu ngà răng đến sâu và tủy và cuối cùng là gây chết tủy, hỏng răng. Do vậy, biểu hiện của sâu răng hàm cũng không có nhiều sự khác biệt:
– Xuất hiện các vết nâu hoặc đen dễ dàng thấy bằng mắt thường.
– Lỗ sâu, hố sâu răng có kích thước to/nhỏ, nông/sâu tùy vào mức độ sâu răng của người bệnh.
– Sưng nướu hoặc chảy máu nướu: nướu sưng gây khó chịu, các tác động nhẹ như chải răng, sử dụng chỉ nha khoa nướu cũng có thể khiến nướu dễ dàng bị chảy máu và dễ nhiễm trùng.
– Đau buốt, ê ẩm răng: đau buốt thường diễn ra khi có mấu thức ăn lọt vào lỗ sâu răng, hoặc khi ăn đồ nóng, lạnh bất thường.
– Hơi thở có mùi hôi: Thức ăn còn mắc lại ở kẽ răng hoặc ở mặt nhai của răng là tạo điều kiện cho vi khuẩn sinh sôi gây mùi khó chịu.
– Ê buốt, đau răng khi nhai: Men răng bị vi khuẩn bào mòn gây tổn thương, ảnh hưởng đến dây thần kinh, có thể ảnh hưởng cả tủy răng nên khiến răng bị đau buốt khi có hoạt động như nhai, cắn.
2. Những cách chữa sâu răng hàm tại nhà hiệu quả nhanh chóng
Vì răng hàm có chức năng nhai, nghiền thức ăn nên có vai trò rất quan trọng trong khía cạnh ăn uống, nạp chất dinh dưỡng của cơ thể. Khi việc ăn uống trở thành “cực hình” do răng hàm bị sâu gây đau đớn, về lâu dài sẽ ảnh hưởng rất nhiều đến sức khỏe tổng thể của cơ thể.
Để ngăn chặn tình trạng sâu răng phát triển nặng hơn và giảm đau nhức tức thời, các công thức sử dụng thành phần thiên nhiên lành tính, dễ tìm luôn là lựa chọn hàng đầu của người Việt từ xưa. Note ngay những cách chữa sâu răng hàm tại nhà cực tiện lợi dưới đây để dùng khi cần bạn nhé!
2.1 Cách chữa sâu răng hàm tại nhà bằng rượu cau

Sử dụng rượu cau súc miệng hàng ngày giúp gairm đau răng do sâu hiệu quả
Đây là một công thức khá lâu đời, thường được các cụ ngày xưa sử dụng do nhà nào cũng có sẵn cau nên rất tiện. Thực tế công thức này đến ngày nay vẫn được rỉ tai nhau là cách chữa sâu răng tại nhà có hiệu quả cao và nhanh chóng.
Nguyên do bởi rượu cau là một hỗn hợp có tính cay, chát và chứa 1 lượng lớn các chất như Tannic, Axit Galic, Ligin,… các chất này có thể hạn chế được sự phát triển của các vi khuẩn gây hại có trong khoang miệng và tại răng bị sâu. Nồng độ cồn trong rượu kết hợp với hạt cau sẽ có tính sát khuẩn cao và làm chắc răng nên rất tốt cho ai đang bị sâu răng.
Cách thực hiện:
– Bước 1: Tách lấy hạt khoảng 20 – 25 quả cau tươi và rửa sạch
– Bước 2: Bổ hạt cau thành 2 hoặc 4 phần rồi cho vào bình thủy tinh, đổ rượu trắng (nồng độ cồn dưới 30 độ) ngập hạt cau theo tỉ lệ 1:3.
– Bước 3: Dàn đều hạt cau và đậy kín nắp, ngâm trong khoảng 30 ngày thì có thể dùng được.
– Bước 4: Mỗi lần sử dụng chắt một ít rượu cau ra và ngậm khoảng 3-5 phút, sau đó súc miệng lại bằng nước sạch. Sử dụng mỗi ngày 1-2 lần.
2.2 Súc miệng bằng nước muối để giảm đau
Súc miệng bằng nước muối là cách đơn giản nhất để làm thuyên giảm cơn đau răng. Muối vốn là một chất kháng khuẩn tự nhiên, vì vậy súc miệng với nước muối có thể làm giảm viêm và sưng đau do sâu răng gây ra. Ngoài ra, nước muối còn giúp bảo vệ răng bị tổn thương khỏi nhiễm trùng.
2.3 Cách chữa sâu răng hàm tại nhà bằng lá tía tô

Lá tía tô cũng có tác dụng kháng khuẩn cho răng miệng
Nhờ chứa nguồn Perillaldehyd dồi dào, tía tô có khả năng diệt khuẩn, cải thiện tình trạng sâu răng, giảm thiểu tổn thương cho men răng và tủy răng do vi khuẩn tấn công..
Bên cạnh đó, lá tía tô còn có tác dụng tăng cường lưu thông máu đến khoang miệng để răng, nướu, lợi luôn được nuôi dưỡng khỏe mạnh. Không chỉ vậy, tinh dầu lá tía tô cũng đem lại tác dụng cải thiện tình trạng hôi miệng do sâu răng.
– Làm thuốc bôi: Rửa sạch 1 nắm lá tía tô tươi rồi giã nát hoặc dùng máy xay sinh tố xay nhuyễn. Sử dụng vải vắt lấy nước cốt và dùng chấm lên lỗ sâu răng hoặc có thể đắp cả bã để tăng công dụng điều trị. Bôi nước lá tía tô mỗi ngày từ 2 – 3 lần để thấy được hiệu quả.
– Súc miệng bằng nước lá tía tô: Rửa sạch và đun sôi kỹ 1 nắm lá tía tô tươi với 400ml nước trong 10 phút. Loại bỏ bã rồi thêm 1 thìa cà phê muối và khuấy cho tan hoàn toàn. Để nguội và hàng ngày dùng súc miệng kỹ sau các bữa ăn để ngăn ngừa và chữa trị sâu răng.
2.4 Sử dụng lá ổi
Có thành phần chứa nhiều tanin, quercetin, Beta-sitosterol, astringents,…Lá ổi có tác dụng kháng khuẩn, giảm đau nhức răng, cải thiện tình trạng sưng viêm nướu, ngăn chặn vi khuẩn khỏi ăn sâu vào trong tủy răng.
– Nhai lá ổi: Rửa sạch 3 lá ổi với nước muối loãng. Nhai kĩ lá tươi, nuốt nước từ từ. Phần bã còn lại giữ cố định ở răng sâu 5 phút. Sau đó nhổ bã ra và súc miệng kỹ lại với nước sạch. Thực hiện 2-3 lần/ngày.
– Thêm lá ổi vào kem đánh răng: Rửa sạch và xay nhuyễn lá ổi, sau đó trộn với kem đánh răng và một ít nước cốt chanh. Sử dụng hỗn hợp này chải kỹ các bề mặt răng, nhất là khu vực có răng bị sâu ngày 2 lần.
.2.5 Trị sâu răng tại nhà bằng gừng

Gừng đem lại nhiều lợi ích khi bị sâu răng
Gừng là vị thuốc giảm đau, kháng viêm, diệt khuẩn tự nhiên do chứa thành phần Cineol, b-zingiberen và geraniol. Ngoài ra gừng còn có tác dụng làm giãn nở mạch máu, kích thích lưu thông máu đến khoang miệng để nuôi dưỡng răng chắc khỏe hơn.
– Đắp gừng: Giã nát củ gừng tươi và dùng bã đó đắp trực tiếp lên phần răng bị sâu để giảm đau nhức răng, tiêu diệt vi khuẩn tại chỗ. Thực hiện mỗi ngày 2 – 3 lần.
– Súc miệng với nước gừng: Giã nát 1-2 củ gừng tươi, đun sôi kỹ cùng 300ml nước cho cạn còn một nửa. Dùng nước này súc miệng 2 lần mỗi ngày sau khi đánh răng sạch sẽ.
3. Kết
Tuy rất hiệu quả trong việc làm thuyên giảm các cơn đau răng nhanh chóng và ngăn ngừa sâu răng lan rộng nhưng các cách chữa sâu răng hàm tại nhà chỉ có tác dụng giảm đau, ức chế sự lây lan của vi khuẩn trong một thời gian ngắn chứ không thể chữa khỏi sâu răng một cách triệt để.
Sâu răng là một bệnh lý không thể tự khỏi và tự hồi phục, do đó việc tới nha khoa điều trị bệnh là càng sớm càng tốt. Cơn đau răng có khả năng tái phát bất cứ lúc nào và việc kéo dài thời gian điều trị sẽ dẫn đến những biến chứng như: viêm tủy, áp xe ổ chân răng, tiêu xương răng…khiến quá trình điều trị càng khó khăn và kết quả điều trị có thể không được như mong đợi.
Khi tới thăm khám tại Nha khoa Thu Cúc TCI, bạn sẽ được các bác sĩ chuyên khoa đầu ngành,dày dạn kinh nghiệm kiểm tra và đánh giá chính xác tình trạng răng sâu, từ đó sẽ tư vấn phương pháp điều trị hợp lý. Cùng với hệ thống trang thiết bị, máy móc hiện đại, bác sĩ tay nghề cao, luôn cập nhật các cách điều trị mới nhất, Thu Cúc TCI hiện là địa chỉ Nha Khoa uy tín được nhiều khách hàng tin tưởng tới khám và chữa bệnh.