Dán Veneer răng – “Mặt nạ” hoàn hảo cho hàm răng khuyết điểm
Dán veneer răng là một giải pháp đơn giản nhưng hiệu quả bất ngờ, giúp thay thế hoàn toàn hàm răng sứt mẻ, răng thưa, mọc lệch lạc… bằng một hàm răng đều, đẹp, thay đổi hoàn toàn khuôn mặt.
1. Dán veneer răng là gì?
Dán Veneer răng đang là trào lưu làm đẹp, được nhiều người yêu thích bởi mang đến một hàm răng đẹp hoàn hảo và rất tự nhiên.
Dán Veneer cho răng chính là một kỹ thuật tạo ra “một chiếc mặt nạ” hoàn hảo chụp lên vùng răng thật, nằm mang đến vẻ đẹp thẩm mỹ cho chiếc răng. Veneer thực chất là một lớp phủ mỏng, được gắn lên phần răng phía trước (có thể nhìn thấy được) của răng.
Mặt dán Veneer gồm 2 loại: miếng dán Veneer sứ và miếng dán nhựa tổng hợp composite. Tùy vào nhu cầu, mong muốn, tình trạng sức khỏe răng miệng, bác sĩ sẽ tư vấn cho bạn chọn loại vật liệu tốt nhất. Mỗi loại mặt dán đều có những ưu điểm riêng.
Dán veneer răng có thể giúp bạn khắc phục được 1 loạt vấn đề, nhược điểm của hàm răng như:
– Răng bị ố vàng nhiều, thuốc tẩy trắng không có hiệu quả
– Răng sứt mẻ hoặc mòn
– Răng khấp khểnh hoặc lệch lạc mức độ vừa và nhẹ
– Răng có nhiều khoảng trống không đồng đều hoặc khoảng cách lớn giữa các răng cửa trên
Những người có những khiếm khuyết về răng như răng mẻ, răng thưa, hoặc lệch lạc mức độ vừa, thì dán Veneer là giải pháp phù hợp.
2. Miếng dán Veneer sứ
Veneer sứ là một lớp sứ mỏng được chế tạo để phủ lên bề mặt của răng, giúp khắc phục hoàn toàn những nhược điểm của hàm răng thâm xỉn, biến đổi màu.
Mặt dán sứ Veneer được nhiều người yêu thích hơn bởi nó có tác dụng đề kháng cao, ít bị biến đổi màu, giúp hàm răng trắng sáng và bền đẹp.
2.1 Ưu điểm của mặt dán Veneer sứ
– Chịu lực tốt, độ bền cao
– Bề mặt bóng đẹp, tự nhiên
– Cần mài men răng rất ít, chỉ từ 0.3 – 0.5mm
– Rất ít khi bị ố vàng, màu sắc bền đẹp, tự nhiên
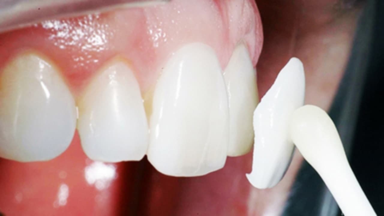
2.2 Các bước gắn mặt dán sứ
Bước 1: Mài 1 lớp mỏng
Để chuẩn bị gắn mặt dán sứ, các bác sĩ thường sẽ mài 1 lớp siêu mỏng ở mặt trước và mặt bên của răng khoảng 0.3 – 0.5mm (mỏng hơn nhiều so với mài răng để bọc sứ). Việc mài răng sẽ có tác dụng tạo khoảng trống để gắn mặt dán Veneer, giúp răng trông tự nhiên Điều này tạo khoảng trống cho các veneers để răng của bạn trông tự nhiên.
Bước 2: Lấy dấu hàm, chọn màu, mẫu dán Veneer phù hợp nhất
Bác sĩ nha khoa sẽ tạo dấu răng bằng cách khách hàng sẽ được ngậm dụng cụ lấy dấu hàm, dấu hàm này sẽ tạo ra khuôn cho những mặt dán Veneer phù hợp với mỗi cá nhân. Đồng thời, bác sĩ cũng sẽ tư vấn cho khách hàng chọn màu mặt dán sứ phù hợp nhất với nụ cười của họ.
Dấu hàm sẽ được gửi tới phòng thí nghiệm nha khoa để tuỳ chỉnh các Veneer sứ vừa khít với răng của khách hàng và quá trình này có thể mất một vài ngày. Trong thời gian chờ đợi miếng dán sứ mới, bác sĩ sẽ gắn miếng dán tạm lên răng của bạn để đảm bảo yếu tố thẩm mỹ và ăn nhai.
Bước 3: Ở lần thăm khám tiếp theo, bác sĩ sẽ đặt mặt dán veneer răng lên răng của bạn, kiểm tra miếng dán đã vừa khít và khách hàng cảm thấy thoải mái chưa. Sau đó, răng của bạn sẽ được làm sạch và gắn veneer lên.
3. Mặt dán nhựa tổng hợp composite
Dán Veneer nhựa composite có chi phí thấp hơn so với Veneer sứ.
Veneer nhựa composite được làm từ vật liệu trám, có màu sắc khớp với màu tự nhiên của răng. Đây là vật liệu ít tốn kém, tiết kiệm nhiều chi phí so với mặt dán sứ Veneer.
3.1 Ưu điểm của mặt dán Veneer nhựa composite
– Thường cần loại bỏ ít men răng hơn so với mão răng hoặc sứ veneer
– Miếng dán có thể thực hiện ngay tại labo của nha khoa, do vậy chỉ cần 1 lần thăm khám, bạn có thể gắn được miếng dán mà không cần phải chờ đợi
– Chi phí thấp hơn veneer sứ
– Dễ sửa chữa nếu chúng bị hư hỏng; Mặc dù veneer composite nói chung không bền hoặc dễ bị mài mòn hơn veneers sứ, nhưng veneer composite có thể được sửa chữa dễ dàng và nhanh chóng
3.2 Các bước đặt miếng dán nhựa composite
Sau khi răng được chuẩn bị hoặc phục hình, nha sĩ sẽ cẩn thận kết dính và điêu khắc vật liệu composite bằng màu sắc phù hợp nhất với bạn.
Bác sĩ sẽ dùng một loại ánh sáng đặc biệt để làm cứng composite và kết dính với răng của bạn.
Các miếng dán sẽ được làm nhẵn và đánh bóng để trông giống như răng tự nhiên.
3. Những lưu ý trước khi dán veneer răng
Răng và nướu phải khỏe mạnh trước khi bạn dán veneer. Trong quá trình thăm khám, nếu bạn có bất kỳ vấn đề răng miệng nào, chẳng hạn như sâu răng, thì sẽ cần điều trị trước khi thực hiện dán Veneer.
Veneers không phải lúc nào cũng là lựa chọn tốt cho những người có thói quen nghiến răng, bởi miếng Veneer vốn dĩ rất mỏng, chúng có thể dễ dàng bị mẻ hoặc vỡ nếu chúng ta nghiến răng thường xuyên. Trong trường hợp này, bác sĩ có thể tư vấn cho bạn đeo miếng bảo vệ răng bằng nhựa dẻo trong khi ngủ.
Các miếng dán có thể bong ra ngoài sau một thời gian dài sử dụng, khi đó, bạn cần làm miếng dán Veneer mới. Tuổi thọ của miếng dán Veneer khoảng 10 năm, và có thể lâu hơn nếu chúng ta biết cách chăm sóc và giữ gìn tốt.
Sau khi dán veneer răng, bạn nên thăm khám nha khoa thường xuyên để bảo vệ răng nướu khỏe mạnh, cũng như được tư vấn chăm sóc để Veneer có độ bền lâu hơn.
4. Những lưu ý sau khi dán veneer răng
Miếng dán có thể nứt hoặc vỡ dưới áp lực lớn, do đó, hãy bỏ thói quen cắn móng tay, hoặc nhai vật cứng chẳng hạn như đá viên…
Sau khi dán Veneer, bạn có thể thấy khá lạ lẫm với hàm răng của mình và cần vài ngày để làm quen. Tuy nhiên, nếu như nhận thấy khớp cắn không ổn sau khi dán thì hãy báo cho nha sĩ biết ngay để kịp thời điều chỉnh lại cho phù hợp nhất.
Giữ cho răng và nướu của sạch sẽ bằng cách đánh răng và dùng chỉ nha khoa mỗi ngày . Bạn vẫn có thể bị sâu răng dưới hoặc xung quanh các miếng dán mới, do đó việc chăm sóc kỹ lưỡng mỗi ngày là rất cần thiết.
Trên đây là những thông tin cơ bản về dán veneer răng. Để có hàm răng hoàn hảo nhất, bạn nên tìm tới những địa chỉ uy tín, tin cậy để thực hiện, và chúc bạn sẽ có một hàm răng đẹp với nụ cười tự tin.


















