Dán sứ Veneer Emax, đem lại hiệu quả tối ưu?
Dán sứ Veneer Emax có lẽ không còn xa lạ với những tín đồ thẩm mỹ răng miệng. Những năm gần đây, phương pháp này như trở thành xu hướng của lĩnh vực thẩm mỹ răng. Lý do nằm ở đâu? Tại sao Veneer Emax lại có sức hút tới vậy. Hãy cùng tìm hiểu ngay qua bài viết sau đây để có cho mình đáp án.
1. Thông tin chung về dán sứ Veneer Emax
1.1 Xuất xứ và cấu tạo
Dán sứ Veneer Emax được cho ra đời bởi tập đoàn Ivoclar Vivadent đến từ Đức. Đây là một cái tên nổi tiếng về sản xuất vật liệu và thiết bị nha khoa trên thế giới.
Veneer Emax là sự kết hợp giữa vật liệu sứ IPS EMAX của Thụy Sĩ cùng nhựa dán chuyên dụng dành cho Veneer. Trong đó, IPS EMAX là dòng sứ chuyên dụng, khả năng chịu lực của nó có thể gấp tới 4 lần răng thật.
Lớp sứ phủ ngoài được sử dụng là E.max Ceram. Lớp sứ với thành phần Nano Fluorapatite sở hữu cấu trúc và đặc tính y hệt men răng. Nhờ vậy, phương pháp này có thể đáp ứng nhu cầu thẩm mỹ của người dùng.
Đây được đánh giá là phương pháp phục hình thẩm mỹ răng tối ưu. Những vật liệu sử dụng để dán răng đều rất tỉ mỉ, công phu về thiết kế. Từ đó có thể thấy, hiệu quả của phương pháp này sẽ được đảm bảo tối đa.
1.2 Các loại Veneer Emax
Tới này, Veneer Emax đã được ra đời nhiều dòng sản phẩm khác nhau. Mỗi loại đều có những đặc tính riêng phù hợp với tệp đối tượng khách hàng nhất định. Cụ thể, Veneer Emax có 6 dòng sản phẩm:
– IPS Emax CAD: Đây là dòng sản phẩm được làm từ chất liệu gốm thủy tinh lithium disilicate.
– IPS Emax Ceram: Đây là sự kết hợp giữa zirconia dioxide và gốm thủy tinh.
– IPS Emax ZirCAD: chứa thành phần zirconia dioxide đem lại khả năng chịu lực tốt.
– IPS Emax ZirCAD Prime: được làm 100% bằng gốm. Sản phẩm đạt hiệu quả cao về độ bền và tính thẩm mỹ.
– IPS Emax ZirPress: được cấu tạo 2 lớp với khả năng chịu lực cao.
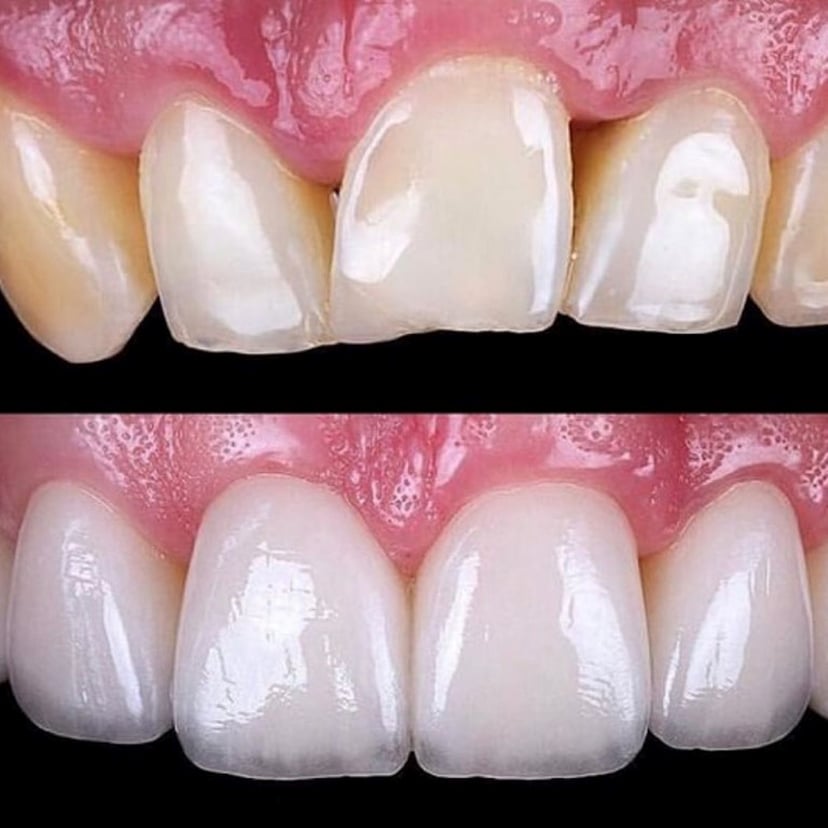
2. Những đối tượng nên sử dụng dán răng sứ Veneer Emax
Veneer Emax giúp khắc phục nhiều vấn đề thẩm mỹ răng miệng
Với tư cách là một phương pháp phục hình thẩm mỹ răng, Veneer Emax có thể giải quyết những khuyết điểm về răng hiệu quả. Cụ thể:
– Tình trạng răng bị xỉn màu, nhiễm fluor, ố vàng nghiêm trọng, cần được khắc phục.
– Một số răng bị sứt, vỡ, mẻ, thưa,… cần phục hồi.
– Răng lệch lạc, khấp khểnh, không đồng đều mức độ nhẹ.
– Bề mặt của men răng không đều, không có độ mịn màng.
– Những đối tượng khách hàng có nhu cầu về thẩm mỹ để cải thiện hàm trên theo đường cười.
Nên tham khảo tư vấn của nha sĩ trước khi quyết định thực hiện dán sứ
Lưu ý: Veneer Emax đem lại hiệu quả cao, giúp cải thiện vẻ đẹp của hàm răng, hạn chế nhiều tổn thương. Tuy nhiên, phương pháp này chỉ có thể sử dụng cho răng số 1,2,3 và 4 chứ không áp dụng cho các răng đóng vai trò quan trọng thực hiện chức năng ăn nhai. Tóm lại, trước khi quyết định thực hiện phương pháp này, chúng ta hãy tham khảo tư vấn từ chuyên gia trước để có quyết định phù hợp.
3. Những ưu điểm nổi bật
Phương pháp phục hình thẩm mỹ răng Veneer Emax đem tới hiệu quả sử dụng cao. Trong đó, 4 ưu điểm nổi bật phải kể đến là:
3.1 Khả năng chịu lực cao
Trong khoang miệng, răng là bộ phận có độ cứng cao và chứa nhiều khoáng chất. Trong đó, men răng có thành phần chính là một loại Canxi Photphat kết tinh gọi là Hydroxyapatite. Theo thang độ cứng quốc tế Mohs, men răng có mức điểm lên tới 200 Mpa. Và khi sử dụng Veneer Emax, độ chịu lực này có thể lên tới 500 Mpa. Điều này chứng tỏ, sau khi dán Veneer Emax, người dùng hoàn toàn có thể thực hiện quá trình ăn nhai bình thường mà không lo bị ảnh hưởng.
Tuy con số 500 Mpa không phải quá cao bởi thường độ cứng không phải là điểm mạnh lớn của các loại dán sứ. Thế nhưng, Veneer Emax chỉ được dùng cho răng cửa hoặc răng nanh, không phải những vị trí cần khả năng nhai và chịu lực cao. Vậy nên khi sử dụng, chỉ cần người dùng không quá cố dùng sức và hạn chế những thói quen như mở nắp chai bằng răng hay nghiến răng thì sẽ không có bất cập gì.
3.2 Dán sứ Veneer Emax có tính thẩm mỹ cao
Đối với các phương pháp phục hình thẩm mỹ, yếu tố thẩm mỹ luôn ảnh hưởng tới phần lớn quyết định của khách hàng. Đối với Veneer Emax, đây luôn là một ưu điểm nổi bật. Cụ thể, loại dán sứ này sở hữu độ trong suốt hoàn hảo. Trong đó, 70% cấu trúc của Lithium disilicate là những thủy tinh thể phức tạp. Nhờ vậy, các chỉ số về độ khúc xạ ánh sáng không cao so với bình thường. Mức độ trong này đem tới vẻ ngoài tự nhiên, gần như giống hoàn toàn toàn răng thật.
Bên cạnh đó, khi áp dụng phương pháp dán răng Veneer Emax, ta có thể lựa chọn màu sắc của sứ sao cho phù hợp. Khi màu sắc sứ tương ứng với màu răng thật sẽ đem tới vẻ đẹp tự nhiên, không còn lo tình trạng không đều màu hay lộ sứ.
3.3 Không cần mài răng quá nhiều
Phương pháp Veneer Emax không cần mài bớt quá nhiều răng thật
Khi thực hiện dán sứ, thông thường vấn đề nhiều người quan ngại nhất là sự an toàn của răng thật. Với Veneer Emax, vấn đề này sẽ được khắc phục tối đa. Phương pháp dán răng sứ Veneer Emax có thể được sử dụng cho kể cả những đối tượng bị tổn thương răng mức độ nhẹ. Điều này là nhờ vào độ dày của miếng sứ dán răng chỉ trong khoảng 0.3-0.5 mm. Do đó, việc phải mài bớt men răng cũng được hạn chế. Chỉ cần một lớp mỏng ở bề mặt đã đủ để dán và cố định vị trí miếng dán Veneer Emax.
3.4 Dán sứ Veneer Emax có độ lành tính cao
Một ưu điểm không thể bỏ qua của Veneer Emax chính là độ lành tính. Những miếng dán sứ được đảm bảo không bị lẫn chút tạp chất nào. Vậy nên những tình trạng như bị kích thích nướu, lưỡi,… là không cần lo lắng. Ngoài ra, những vật liệu chế tạo được sử dụng đều đã có kiểm định về độ an toàn tuyệt đối với sức khỏe người dùng. Miếng dán Veneer Emax sau khi được dán lên răng cũng sẽ đóng vai trò như lớp men răng tự nhiên. Răng gốc sẽ được bảo vệ, đảm bảo sức khỏe răng miệng.
Có thể thấy, dán sứ Veneer Emax đem tới những ưu điểm ấn tượng. Vì vậy, nếu ai đang có nhu cầu sử dụng phương pháp phục hình thẩm mỹ răng thì đây sẽ là một gợi ý lý tưởng. Tuy nhiên, trước khi quyết định, chúng ta cũng nên nhờ tới sự tư vấn của nha sĩ để đảm bảo về độ phù hợp hơn nhé.
















