Có nên nhổ răng mọc lệch không và cách thực hiện
Có nên nhổ răng mọc lệch hay không là điều khiến nhiều người băn khoăn. Trong khi một số người chịu đựng sự không thoải mái và tình trạng không cân đối của răng mọc lệch, những người khác lại lo ngại về quá trình nhổ răng và tiềm ẩn rủi ro. Vậy việc nhổ răng mọc lệch có thực sự nên thực hiện không?
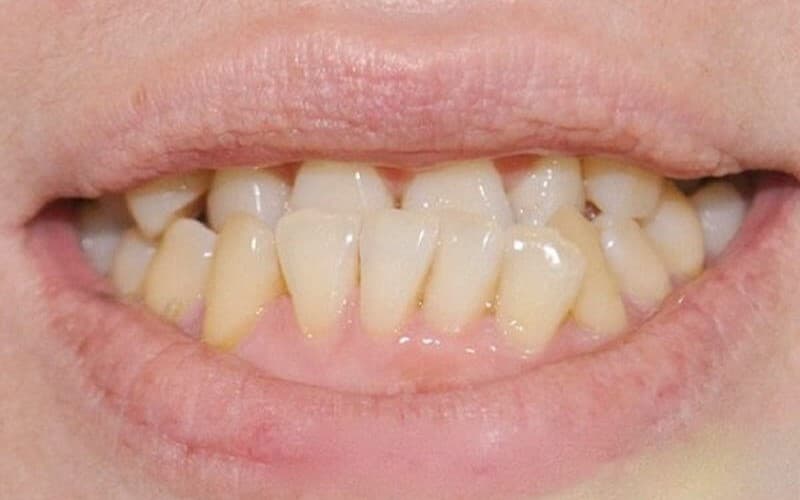
1. Tìm hiểu thế nào là tình trạng răng bị mọc lệch?
Răng mọc lệch là tình trạng khi răng không nằm trong vị trí trên cung hàm. Tình trạng này còn có thể hiểu là bị sai khớp cắn.
Có nhiều nguyên nhân có thể gây ra răng mọc lệch:
– Kích thước của răng lớn.
– Những thói quen xấu từ nhỏ như nghiến răng, cắn môi má, …
– Chấn thương.
– Răng khôn mọc lệch có kích thước lớn hoặc hướng mọc bất thường.
– …
Một số kiểu răng mọc lệch thường gặp có thể kể đến như:
– Răng hô: Răng mọc lên cao so với các răng xung quanh.
– Răng mọc nghiêng: Răng nằm trong hàm răng ở góc độ không bình thường. Điều này thường là do không gian hạn chế hoặc do thiếu các răng khác.
– Răng nằm ngang, mọc xiên: Tình trạng này thường xảy ra với răng khôn. Do là răng “sinh sau đẻ muộn”, những chiếc răng không có khả năng rất cao bị rơi vào tình trạng mọc không thẳng hàng.
2. Những ảnh hưởng khi gặp tình trạng răng bị mọc lệch
Răng mọc lệch gây ảnh hưởng tính thẩm mỹ
– Tính thẩm mỹ gương mặt bị ảnh hưởng: Răng mọc lệch có thể ảnh hưởng đến vẻ ngoài của bạn. Điều này làm giảm tự tin trong giao tiếp xã hội và khi cười. Ngoài ra, sự ảnh hưởng có thể tác động đến tâm trạng và tinh thần tổng thể của bạn.
– Đau nhức, không thoải mái: Răng mọc lệch thường gây ra đau và cảm giác không thoải mái. Đặc biệt là khi cắn hay trong quá trình nhai thức ăn. Nếu không được điều trị kịp thời, tình trạng này có thể trở nên nghiêm trọng hơn theo thời gian.
– Chức năng ăn nhai suy giảm: Răng mọc lệch có thể gây ra các vấn đề về hàm mặt. Trong đó bao gồm khó khăn trong việc mở hoặc đóng miệng, đau đớn ở khớp hàm và cảm giác không thoải mái khi nhai.
– Ảnh hưởng tới phát âm: Đối với một số người, răng không đặt đúng vị trí có thể gây ra các vấn đề về hình thành phát âm. Cụ thể, cách phát âm sẽ không được chuẩn, việc tạo âm thanh dễ sai lệch.
– Nguy cơ mắc bệnh lý răng miệng tăng cao: Răng mọc lệch có thể tạo ra các khe hở hoặc làm cho việc đánh răng và vệ sinh giữa các răng trở nên khó khăn hơn. Điều này dễ tạo điều kiện cho vi khuẩn tích tụ, gây bệnh. Ví dụ như sâu răng, viêm nướu, tổn thương niêm mạc, …
– Ảnh hưởng sự tự tin: Nhiều trường hợp, răng mọc lệch làm mất đi tính thẩm mỹ. Điều này sẽ ảnh hưởng đến tự tin của bạn trong giao tiếp
3. Cách khắc phục răng mọc lệch?
3.1 Có nên nhổ răng mọc lệch không?
Răng mọc lệch không nhất thiết phải nhổ bỏ
Quyết định có nên nhổ răng mọc lệch hay không là một quyết định cần được xem xét kỹ lưỡng. Điều này còn dựa vào tình trạng cụ thể của từng người. Dưới đây là một số yếu tố chúng ta có thể cân nhắc:
– Sức khỏe răng miệng: Nếu răng mọc lệch gây ra các vấn đề như viêm nướu, sâu răng, hoặc tổn thương cho các răng xung quanh, … việc nhổ răng có thể là một lựa chọn điều trị phù hợp. Điều này để ngăn chặn sự tổn thương lan rộng và duy trì sức khỏe của hàm răng.
– Tính thẩm mỹ: Nếu răng mọc lệch ảnh hưởng đến vẻ đẹp tự nhiên và tự tin trong giao tiếp, bạn có thể muốn xem xét việc điều chỉnh hoặc nhổ răng để hỗ trợ chỉnh nha, cải thiện ngoại hình.
– Yếu tố tuổi tác: Việc điều trị cũng có thể được thực hiện ở mọi lứa tuổi. Tuy nhiên, độ hiệu quả sẽ cao hơn khi nhổ răng được thực hiện ở độ tuổi trẻ. Đó là thời điểm xương hàm còn đủ linh hoạt để điều chỉnh vị trí của răng
– Tư vấn từ bác sĩ: Quyết định nhổ răng mọc lệch nên được dựa trên sự tư vấn của bác sĩ. Sau khi đánh giá tình trạng cụ thể của bạn, bác sĩ sẽ đề xuất phương pháp điều trị phù hợp.
3.2 Nhổ răng mọc lệch có nguy hiểm không?
Việc nhổ răng mọc lệch thường không gây nguy hiểm nếu được thực hiện bởi các bác sĩ giỏi, có kinh nghiệm, đảm bảo các tiêu chuẩn y tế. Tuy nhiên, như mọi thủ thuật y tế khác, việc nhổ răng vẫn có nguy cơ rủi ro:
– Nhiễm trùng: Nguy cơ nhiễm trùng sau quá trình nhổ răng là có thể xảy ra. Đặc biệt nếu quá trình thực hiện không tuân thủ các biện pháp vệ sinh và sát khuẩn đúng cách.
– Tổn thương các mô xung quanh: Quá trình nhổ răng có thể gây tổn thương cho các cấu trúc xung quanh. Tuy nhiên, nếu được thực hiện bởi bác sĩ có chuyên môn cao, kinh nghiệm thì không phải vấn đề đáng ngại.
– Sưng đau: Một số trường hợp sau khi nhổ răng có thể gặp tình trạng sưng đau. Tuy nhiên, đây chỉ là vấn đề mang tính tạm thời. Nếu được chăm sóc đúng cách, vết thương sẽ nhanh bớt đau và lành.
Để hạn chế tối đa biến chứng, nhiều người đã lựa chọn thực hiện với công nghệ Piezotome. Đây là công nghệ nhổ răng hiện đại sử dụng sóng siêu âm giúp đảm bảo an toàn, không đau, không chảy máu.
4. Các phương pháp chỉnh răng mọc lệch khác
Tùy theo tình trạng, bác sĩ sẽ chỉ định phương pháp điều chỉnh răng mọc lệch phù hợp
Trên thực tế, có nhiều phương pháp điều chỉnh răng mọc lệch mà không nhất thiết phải nhổ răng. Điều này còn tùy thuộc vào tình trạng cụ thể của từng người. Dưới đây là một số phương pháp điều chỉnh răng mọc lệch phổ biến:
– Niềng răng: Niềng răng là phương pháp điều chỉnh răng mọc lệch phổ biến. Chúng ta sẽ được đeo niềng thiết kế theo phác đồ được lên sẵn tùy tình trạng cụ thể. Niềng răng sẽ tùy chỉnh với mục đích di chuyển răng vào vị trí mới. Quy trình này có thể cần thời gian từ một vài tháng đến một vài năm.
– Bọc răng sứ: Trong một số trường hợp, bác sĩ nha khoa có thể sử dụng phương pháp mài răng và chụp răng sứ. Điều này sẽ giúp điều chỉnh hình dạng và vị trí của răng. Tuy nhiên, phương pháp này chỉ được áp dụng khi răng bị lệch nhẹ.
Trên đây là một số những thông tin về có nên nhổ răng mọc lệch không. Và để đảm bảo an toàn, độ phù hợp, chúng ta nên tới thăm khám bác sĩ để được tư vấn cụ thể hơn.


















