Có nên chọn mặt dán sứ veneer và lưu ý
Mặt dán sứ Veneer hiện đang là phương pháp phục hình răng đang được rất nhiều người quan tâm vì mang lại một nụ cười rạng ngời. Ngoài việc cải thiện thẩm mỹ, phương pháp này còn đảm bảo chức năng ăn nhai tự nhiên bởi lớp sứ siêu mỏng. Đặc biệt nó còn khắc phục tận gốc các vấn đề như răng có kẽ hở, thưa hoặc xỉn màu. Nhưng liệu có nên chọn mặt dán sứ Veneer và cần lưu ý gì? Bài viết dưới đây sẽ giúp bạn hiểu rõ hơn về ưu và nhược điểm, quy trình thực hiện, cũng như chi phí liên quan. Hãy cùng theo dõi để có cái nhìn toàn diện về phương pháp này, từ Thu Cúc TCI nhé.
1. Khám phá về phương pháp dán răng sứ Veneer
Mặt dán sứ Veneer một là lựa chọn phổ biến bởi tính thẩm mỹ và kinh tế trong lĩnh vực thẩm mỹ nha khoa. Phương pháp này không chỉ giúp khắc phục những vấn đề như răng thưa, răng hở kẽ, răng lệch, răng gãy nhẹ, và răng xỉn màu không thể tẩy trắng, mà còn đảm bảo chức năng ăn nhai của răng.
Mặt dán sứ Veneer là lớp sứ mỏng, chỉ có độ dày từ 0.3 đến 0.5mm, với hình dạng và kích thước chính xác tương đương với răng thật. Sứ Veneer mang lại nụ cười đẹp tự nhiên với màu sắc, độ vân mờ, và sự trong bóng. Không chỉ đẹp mà nó còn bảo toàn chức năng ăn nhai.
Quá trình thực hiện dán sứ đòi hỏi sự chính xác và tỉ mỉ cao. Bác sĩ sẽ tiến hành mài một chút trên bề mặt răng để đảm bảo việc đặt miếng dán một cách vững chắc. Nhưng đồng thời nó sẽ giảm thiểu sự xâm lấn và bảo vệ răng gốc, giảm đau đớn và khó chịu.
Điều quan trọng là chọn lựa địa chỉ nha khoa uy tín để đảm bảo kết quả tốt nhất cho quá trình làm đẹp nụ cười của bạn.
2. Ai nên và không nên chọn mặt dán sứ Veneer
2.1 Đối tượng phù hợp với việc áp dụng kỹ thuật dán răng sứ Veneer
Mặc dù kỹ thuật dán răng sứ Veneer là một lựa chọn phổ biến trong lĩnh vực nha khoa thẩm mỹ, nhưng không phải tất cả mọi người đều thích hợp với phương pháp này để nâng cao vẻ đẹp của nụ cười. Dưới đây là một số trường hợp mà bác sĩ có thể chỉ định dán răng sứ Veneer:
– Răng mẻ vỡ nhẹ:
Đối với những trường hợp răng bị nứt, gãy vỡ không quá ⅓ thân răng, việc sử dụng răng sứ Veneer có thể giúp che đi khuyết điểm một cách tự nhiên.
– Răng xỉn màu:
Khi răng bị nhiễm màu và không thể tẩy trắng được có thể dán răng sứ Veneer. Đây là một giải pháp hữu hiệu để khắc phục vấn đề màu sắc nói trên.
– Răng thưa, hở kẽ nhẹ:
Có thể dán sứ Veneer trong trường hợp răng bị thưa hoặc có khoảng trống nhỏ giữa chúng. Việc sử dụng Veneer giống như việc thay áo mới cho hàm răng, mang lại vẻ đẹp và khỏe mạnh cho nụ cười.
– Răng hô, móm nhẹ:
Phương pháp dán răng sứ Veneer cung cấp giải pháp cải thiện cho những trường hợp răng hô, móm, đồng thời tối ưu hóa thời gian và chi phí cho bệnh nhân.
2.2 Đối tượng không phù hợp với việc dán răng sứ Veneer
Nếu bạn có những vấn đề sau đây, việc áp dụng phương pháp dán sứ Veneer không phải là lựa chọn phù hợp:
– Răng chen chúc phía trước kèm lệch lạc nghiêm trọng.
– Răng thưa, hở kẽ với mức độ lớn.
– Răng bị nứt mẻ, gãy vỡ quá ⅓ phần thân răng.
– Răng bị nhiễm màu nặng, đặc biệt là do tác động của thuốc kháng sinh.
– Răng có bề mặt men răng yếu, dễ bị tổn thương bởi các yếu tố từ môi trường bên ngoài.
– Răng đang mắc các bệnh lý về răng miệng như sâu răng, viêm nha chu, viêm nướu, viêm quanh răng, hoặc áp xe răng.
Trong những trường hợp này, việc thảo luận với bác sĩ nha khoa về các phương pháp điều trị thích hợp khác là quan trọng để đảm bảo sức khỏe và đẹp của nụ cười của bạn.
3. Ưu nhược điểm của phương pháp dán răng sứ Veneer hiện nay
Mỗi phương pháp khôi phục hình dáng răng đều mang đặc tính đặc biệt phù hợp với tình trạng răng miệng cụ thể. Dưới đây là những ưu và nhược điểm của mặt dán sứ Veneer mà bạn nên tìm hiểu:
Sứ Veneer rất mỏng nên đem lại độ chân thật cao (minh họa).
3.1 Ưu điểm
– Tính thẩm mỹ xuất sắc:
Miếng dán sứ được tạo hình và kích thước đúng với răng thật, với màu sắc trắng tự nhiên, độ bóng và trong mờ.
– Ít xâm lấn vào răng thật:
Quá trình dán sứ chỉ đòi hỏi mài một lớp răng rất mỏng, bảo vệ răng gốc hiệu quả.
– Độ bền cao:
Sứ Veneer có độ bền cao, có thể kéo dài đến 15 năm khi được chăm sóc và vệ sinh đúng cách.
– Đảm bảo chức năng nhai tốt:
Sứ Veneer có độ cứng cao, đảm bảo chức năng nhai như răng thật.
– An toàn và thân thiện với hàm răng của bạn:
Với sứ chất lượng cao, răng sứ Veneer là an toàn và thân thiện với môi trường trong miệng.
3.2 Nhược điểm
Ngoài những ưu điểm, cũng cần lưu ý đến nhược điểm của kỹ thuật dán răng sứ Veneer:
– Chi phí cao hơn so với một số phương pháp khôi phục răng khác.
– Không phù hợp cho những người có vấn đề về khớp cắn, nghiến răng khi ngủ.
– Không được khuyến khích khi mắc các vấn đề nha khoa như sâu răng, viêm lợi, hoặc viêm nướu.
4. Có nên chọn mặt dán sứ Veneer để phục hình răng?
Mọi người thường đặt câu hỏi liệu việc dán răng sứ Veneer có tốt không? Theo ý kiến của các chuyên gia, đây là một phương pháp phục hình răng mang lại nhiều lợi ích đáng kể và nhanh chóng, bao gồm:
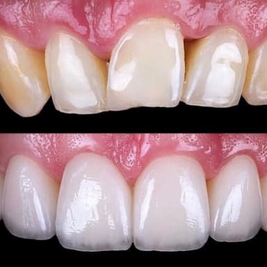
Hình ảnh răng thật và răng sau dán Veneer (minh họa).
– Không yêu cầu mài răng hoặc chỉ cần thực hiện mài răng rất ít.
– Tạo nên vẻ đẹp tự nhiên giống như răng thật.
– Độ bền vượt trội cùng tuổi thọ kéo dài.
– An toàn và lành tính, miếng dán sứ không gây kích ứng cho người sử dụng.
– Quá trình thực hiện nhanh chóng, chỉ mất khoảng một liệu trình.
– Khắc phục một cách hoàn hảo các khiếm khuyết, bảo đảm chức năng ăn nhai của răng.
Mặc dù chi phí của kỹ thuật này có thể cao hơn một số phương pháp khác, nhưng về chất lượng và hiệu quả thì đa số chuyên gia đều đánh giá cao. Do đó, dán răng sứ Veneer được xem xét là một giải pháp lý tưởng để khắc phục nhược điểm của hàm răng và mang đến cho bạn một nụ cười đẹp, trắng sáng và rất tự nhiên.
5. Chăm sóc ra sao sau khi thực hiện dán sứ Veneer?
Để đảm bảo rằng răng sứ Veneer sẽ duy trì vẻ đẹp và sức khỏe lâu dài, việc chăm sóc đúng cách sau khi thực hiện là quan trọng. Dưới đây là một số lưu ý sau dán sứ mà bạn nên tuân thủ:
Bác sĩ TCI hướng dẫn chăm sóc sau khi thực hiện dán sứ Veneer.
– Đánh răng đều đặn:
Thực hiện việc đánh răng 2-3 lần mỗi ngày bằng bàn chải đầu nhỏ lông mềm. Lưu ý khi đánh răng nên áp dụng lực vừa phải.
– Sử dụng phụ kiện hỗ trợ:
Kết hợp việc sử dụng bàn chải kẽ, chỉ nha khoa, nước muối sinh lý, và nước súc miệng chuyên dụng để duy trì sự sạch sẽ của răng miệng.
– Chế độ ăn uống cân đối:
Xây dựng thực đơn hợp lý, giảm thiểu đồ ngọt, nước uống sẫm màu, có gas. Đặc biệt là trong giai đoạn đầu sau khi dán Veneer răng chưa ổn định.
– Hạn chế thức uống có thể làm đen miếng dán sứ và răng:
Tránh uống quá nhiều trà, cà phê, vì chúng có thể làm thay đổi màu sắc của răng.
– Ngừng hút thuốc lá:
Nicotin trong thuốc lá không chỉ làm răng bị ố vàng mà còn tạo điều kiện thuận lợi cho vi khuẩn gây hại cho răng.
– Thăm nha sĩ định kỳ:
Hãy duy trì thói quen thăm nha sĩ ít nhất 6 tháng/lần để có cơ hội phát hiện sớm bất kỳ vấn đề nào về khoang miệng.
Kết luận
Hy vọng những thông tin trên sẽ giúp bạn giải đáp việc có nên chọn mặt dán sứ Veneer và cần lưu ý gì trong quá trình này. Nếu bạn còn bất cứ thắc mắc nào, hãy liên hệ hoặc đến trực tiếp Thu Cúc TCI để được hỗ trợ nhé.


















