Chữa răng sâu lồi thịt có đau không, chuyên gia giải đáp
Trong cuộc sống hàng ngày, vấn đề răng miệng luôn nhận được nhiều sự quan tâm, đặc biệt là tình trạng răng sâu lồi thịt, một tình trạng phổ biến nhưng không kém phần khó chịu. Nhiều người thường tự hỏi, chữa răng sâu lồi thịt có đau không? Bài viết này của Thu Cúc TCI sẽ cung cấp cho bạn thông tin chi tiết về quá trình điều trị răng sâu lồi thịt, giúp bạn hiểu rõ những gì sẽ diễn ra trong quá trình đó và chuẩn bị tinh thần thích hợp, đọc ngay bạn nhé!
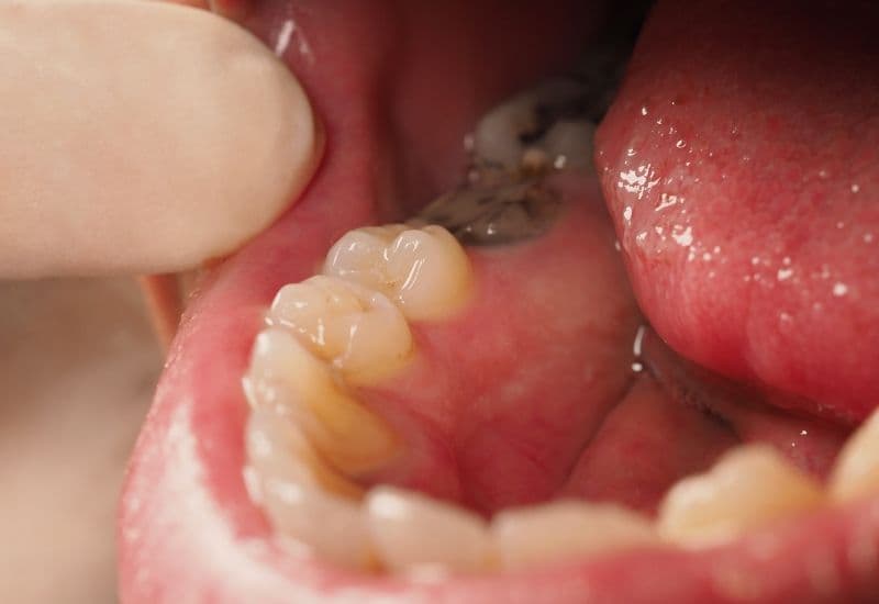
1. Tình trạng răng sâu lồi thịt là tình trạng gì?
Răng sâu lồi thịt là tình trạng răng sâu nặng, dẫn đến tổn thương nghiêm trọng lớp ngà răng và có thể ảnh hưởng đến cả lớp tủy răng. Tình trạng này không chỉ gây đau đớn mà còn có thể dẫn đến các biến chứng, như áp-xe là một ví dụ. Khi răng sâu không được điều trị kịp thời, mô bệnh có thể lan rộng, gây ra hiện tượng “lồi thịt” xung quanh răng bị ảnh hưởng.
Răng sâu lồi thịt không chỉ gây đau đớn mà còn có thể dẫn đến các biến chứng, như áp-xe là một ví dụ.
2. Giải đáp chi tiết thắc mắc: Chữa răng sâu lồi thịt có đau không?
2.1. Điều trị tình trạng răng sâu lồi thịt như thế nào?
Điều trị tình trạng sâu răng lồi thịt thường yêu cầu các bước phức tạp do mức độ tổn thương nghiêm trọng của răng. Dưới đây là các bước điều trị mà bác sĩ nha khoa có thể áp dụng để khắc phục tình trạng này:
– Đánh giá tình trạng răng: Bác sĩ kiểm tra lâm sàng kỹ lưỡng các răng bị ảnh hưởng để đánh giá mức độ sâu răng và tình trạng lồi thịt. Ngoài kiểm tra lâm sàng, bác sĩ có thể chụp X-quang, giúp xem xét chi tiết cấu trúc răng, xác định mức độ tổn thương tủy răng và xương xung quanh.
– Chuẩn bị trước khi điều trị: Để giảm đau, bác sĩ sử dụng thuốc gây tê tại chỗ trước khi tiến hành các thủ thuật.
– Loại bỏ phần răng bị sâu: Bác sĩ dùng dụng cụ chuyên dụng để loại bỏ phần răng bị sâu và mô bệnh lồi ra ngoài. Sau khi loại bỏ phần răng bị sâu, khu vực này sẽ được làm sạch kỹ lưỡng để chuẩn bị cho các bước tiếp theo.
– Điều trị tủy răng (nếu cần): Nếu sâu răng đã ảnh hưởng đến tủy răng, bác sĩ sẽ tiến hành lấy tủy. Quá trình này bao gồm loại bỏ tủy nhiễm trùng, vệ sinh và đóng ống tủy bằng vật liệu chuyên dụng.
Quá trình lấy tủy bao gồm loại bỏ tủy nhiễm trùng, vệ sinh và đóng ống tủy bằng vật liệu chuyên dụng.
– Phục hồi răng: Nếu tổn thương không quá lớn, răng có thể được trám bằng vật liệu trám biocompatible. Đối với những trường hợp tổn thương nghiêm trọng, có thể cần bọc để bảo vệ răng và phục hồi chức năng ăn nhai.
– Chăm sóc sau điều trị: Người bệnh sẽ được hướng dẫn chăm sóc răng miệng tại nhà và có thể cần quay lại phòng khám nha để kiểm tra tình trạng phục hồi. Bác sĩ có thể kê đơn thuốc giảm đau hoặc thuốc kháng sinh để giảm đau và ngăn ngừa nhiễm trùng.
3.1. Chữa răng sâu lồi thịt có đau không, giải đáp từ chuyên gia?
Chữa răng sâu lồi thịt có thể gây lo lắng cho nhiều người. Tuy nhiên, nhờ các phương pháp tiên tiến trong nha khoa hiện đại, mức độ đau đớn trong điều trị răng sâu lồi thịt thường được kiểm soát rất tốt. Dưới đây là những yếu tố giúp giảm cảm giác đau đớn trong quá trình điều trị:
– Thuốc gây tê tại chỗ: Trước khi tiến hành điều trị, bác sĩ sẽ sử dụng thuốc gây tê tại chỗ để làm tê vùng điều trị. Điều này giúp giảm đau đáng kể trong suốt quá trình loại bỏ phần răng bị sâu và điều trị tủy.
– Công nghệ hiện đại: Sử dụng các thiết bị và kỹ thuật tiên tiến giúp thao tác điều trị răng sâu lồi thịt trở nên nhẹ nhàng hơn, từ đó giảm sự đau đớn cho người bệnh.
– Quản lý đau sau điều trị: Thuốc giảm đau thông thường như Ibuprofen (Advil, Motrin) hoặc Acetaminophen (Tylenol) có thể được sử dụng để giảm đau. Bác sĩ nha khoa sẽ tư vấn liều lượng phù hợp dựa trên mức độ đau và tình trạng sức khỏe tổng thể của người bệnh. Trong một số trường hợp, nếu đau nghiêm trọng, người bệnh có thể được bác sĩ kê đơn thuốc giảm đau mạnh hoặc thuốc kháng viêm không steroid (NSAIDs) dạng kê đơn. Nhoài thuốc, người bệnh còn có thể dùng túi chườm lạnh chườm lên khu vực bên ngoài vùng điều trị để giảm sưng và đau. Chườm trong khoảng 15 – 20 phút mỗi lần, lặp lại mỗi vài giờ một lần, trong 24 giờ đầu sau điều trị. Để nâng cao hiệu quả quản lý đau sau điều trị răng sâu lồi thịt, người bệnh cần tránh ăn thực phẩm cứng, quá nóng hoặc quá lạnh trong vài ngày đầu. Thay vào đó, chọn thực phẩm mềm và dễ nuốt như cháo, súp, sinh tố. Hút thuốc lá có thể làm chậm quá trình lành thương và gây kích ứng vùng điều trị, người bệnh cũng nên bỏ hút thuốc lá. Cuối cùng, vệ sinh răng miệng nhẹ nhàng là rất quan trọng. Sử dụng bàn chải mềm để đánh răng nhẹ nhàng và tránh chà xát trực tiếp lên vùng điều trị; sử dụng nước súc miệng nhẹ nhàng nếu được khuyến nghị bởi bác sĩ.
Chọn thực phẩm mềm và dễ nuốt như cháo, súp, sinh tố.
Phía trên là câu trả lời cho câu hỏi chữa răng sâu lồi thịt có đau không. Theo đó, điều trị răng sâu lồi thịt không phải là trải nghiệm đau đớn như nhiều người vẫn nghĩ. Với các phương pháp điều trị răng sâu lồi thịt ngày càng hiện đại hơn, cảm giác đau của người bệnh có thể được hạn chế tối đa. Tuy nhiên, để có một trải nghiệm điều trị sâu răng lồi thịt thật thoải mái, hãy lựa chọn các cơ sở nha khoa uy tín, quy tụ đội ngũ y bác sĩ chuyên môn cao và sở hữu hệ thống máy móc, trang thiết bị y tế tân tiến. Cuối cùng, chăm sóc răng miệng cẩn thận mỗi ngày là chìa khóa để dự phòng tình trạng sâu răng lồi thịt, giữ cho nụ cười của bạn luôn tươi tắn, rạng ngời. Hãy vệ sinh răng miệng 2 – 3 lần/ngày bằng bàn chải – kem đánh răng, chỉ nha khoa và nước súc miệng; không hút thuốc lá, không uống rượu, bia; tránh thực phẩm nhiều đường, nhiều tinh bột, nhiều acid, quá nóng, quá lạnh… Chúc các bạn thành công trong công cuộc giữ gìn sức khỏe răng miệng.


















