Chăm sóc nướu răng bị sưng do răng khôn
Chăm sóc nướu răng bị sưng do mọc răng khôn là điều rất quan trọng. Quá trình này là sự chuẩn bị cho giai đoạn trước và sau khi những chiếc răng khôn đã nhú lên khỏi lợi. Đồng thời, đó cũng là vấn đề ảnh hưởng trực tiếp tới sức khỏe răng miệng của chúng ta sau này. Sau đây là một số thông tin cơ bản chúng ta cần biết và lưu ý để bảo vệ nướu răng trong giai đoạn này.
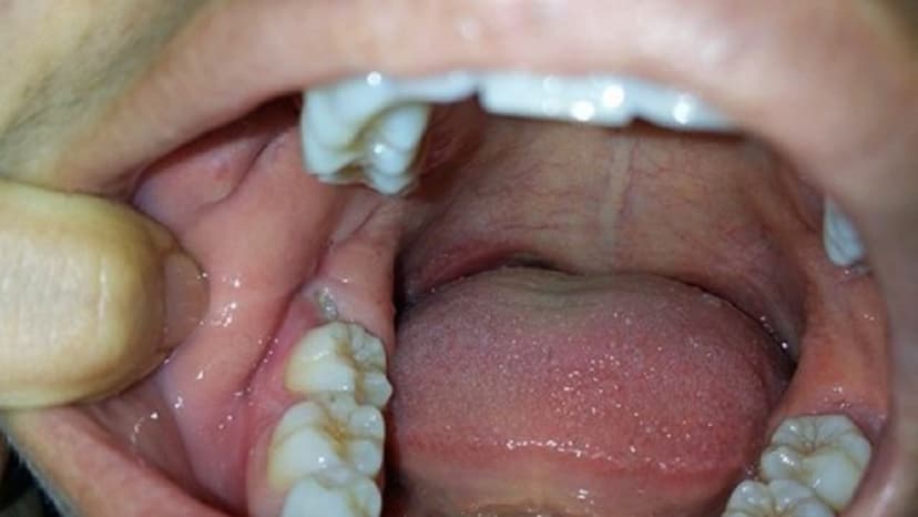
1. Những biểu hiện của sưng nướu do răng khôn
Sưng nướu do răng khôn là tình trạng rất nhiều người gặp phải. Thông thường, nó sẽ xuất hiện những cơn đau vào vài ngày đầu và không thường xuyên quay lại. Tuy nhiên, trong trường hợp các cơn đau liên tục xuất hiện, điều này chứng tỏ tình trạng sưng tấy đã kéo dài và cần được điều trị gấp.
Sau đây là một số triệu chứng nhận biết sưng nướu do răng khôn:
Trường hợp, bệnh nhân bị sưng nướu do răng khôn cấp tính, tình trạng đau nhức dữ dội sẽ xuất hiện. Bên cạnh đó, nếu quan sát, ta sẽ thấy vùng mô nướu sưng tấy. Bệnh nhân có cảm giác đau nhức và càng trầm trọng hơn khi ăn, nhai và nuốt thức ăn. Đặc biệt, vùng nướu quanh răng sẽ tiết dịch mủ, cơ thể bắt đầu xuất hiện tình trạng sốt nhẹ.
Đối với sưng nướu do răng khôn mạn tính, bệnh nhân sẽ thấy bắt đầu những cơn đau âm ỉ từ 1 – 2 ngày. Kéo theo đó, hơi thở của người bệnh sẽ có mùi khó chịu và cũng gặp nhiều có khăn khi ăn, nhai. Thậm chí nghiêm trọng hơn, cơ miệng sẽ không mở được bình thường khi nói chuyện.
2. Nguy cơ từ việc sưng nướu răng khôn
Tuy sưng nướu do răng khôn là tình trạng rất thường thấy. Tuy nhiên, ta không thể vì thế mà lơ là. Trong trường hợp không được điều trị và chăm sóc nướu răng kịp thời, đây rất có thể là nguy cơ cho nhiều vấn đề sau này.
Nướu răng bị sưng do răng khôn không được chăm sóc cẩn thận dễ gây biến chứng
Sưng tấy nướu, đau nướu ảnh hưởng trực tiếp tới quá trình ăn uống hàng ngày của con người. Ở trong tình trạng này, chúng ta khó có thể thưởng thức bữa ăn một cách ngon miệng hay có một giấc ngủ chất lượng. Nếu cứ kéo dài, đây có thể sẽ là nguyên nhân dẫn đến các vấn đề như chán ăn, mất ngủ. Từ đó, sức khỏe và tinh thần cũng trở nên sa sút trầm trọng.
Ngoài ra, sưng nướu lâu ngày không được chăm sóc rất dễ dẫn tới việc bị nhiễm trùng. Vùng nướu bị sưng không được điều trị kịp thời là điều kiện thuận lợi cho vi khuẩn xâm nhập. Nếu tình trạng này tiếp tục kéo dài còn có thể ảnh hưởng tới hệ thống tim mạch của người bệnh.
Không dừng lại ở đó, sưng lợi do răng khôn hoàn toàn có thể biến chứng. Đó là sự ảnh hưởng, khiến răng bên cạnh bị lung lay. Điều này bắt nguồn từ việc vi khuẩn lan sang các vùng lợi xung quanh. Khi ấy, chúng làm suy yếu, khiến chân răng lung lay.
3. Cách chăm sóc nướu răng sưng do răng khôn
3.1 Chăm sóc nướu răng bị sưng do răng khôn tại nha khoa
Khi bị sưng nướu răng khôn, hãy đến gặp nha sĩ để có sự kiểm tra và tư vấn. Tùy vào mức độ sưng của nướu răng, nha sĩ sẽ áp dụng phương pháp điều trị thích hợp.
– Sử dụng thuốc giảm sưng, giảm đau: Trong trường hợp nướu bị sưng ở mức độ nhẹ, nha sĩ sẽ áp dụng cách xử lý nhẹ nhàng. Đầu tiên, phần nướu sưng và xung quanh sẽ được làm sạch, ngăn ngừa tình trạng vi khuẩn tích tụ. Nếu cần thiết, một số loại thuốc giảm sưng, giảm đau sẽ được sử dụng. Tuy nhiên, nếu không quá cần thiết, nha sĩ sẽ không khuyến khích sử dụng.
– Rạch nướu: Đây là cách được sử dụng khi răng khôn được kiểm tra và xác định mọc thẳng. Thế nhưng, răng gặp cản trở, chưa thể nhú lên hoặc mới nhú lên một phần khỏi nướu. Lúc này, rạch lợi, tách nướu sẽ giúp răng mọc lên dễ dàng hơn.
– Tách bớt nướu: Khu vực nướu bị sưng lên sẽ rất dễ viêm nhiễm và lây lan sang khu vực xung quanh. Nếu không kiểm soát tốt, rất có thể nhiều vấn đề nguy hiểm sẽ xảy ra. Vì vậy, trong trường hợp cần thiết, nha sĩ sẽ tiến hành phẫu thuật, loại bỏ mô nướu. Sau đó, nếu cần thiết, việc nhổ răng khôn sẽ được tiến hành.
Trong trường hợp cần thiết, nha sĩ sẽ tiến hành nhổ răng khôn
– Nhổ răng khôn: Nhiều trường hợp tình trạng sưng nướu được thấy rằng khó lòng cải thiện. Khi đó, việc nhổ răng khôn sẽ được tiến hành. Sau khi nhổ răng khôn, quá trình chăm sóc nướu răng và vị trí vừa nhổ sẽ thuận tiện, hiệu quả hơn.
3.2 Chăm sóc nướu răng bị sưng do răng khôn tại nhà
Một số trường hợp, nha sĩ có thể yêu cầu bệnh nhân theo dõi, chăm sóc thêm tại nhà
Tuy khi bị sưng nướu do răng khôn, tới gặp nha sĩ điều trị là phương pháp tối ưu. Thế nhưng tùy trường hợp, nha sĩ có thể yêu cầu bệnh nhân tự chăm sóc tại nhà.
– Sử dụng nước muối loãng ấm
Nước muối loãng ấm là lựa chọn rất tốt trong việc vệ sinh và giảm đau nhức do răng khôn. Nước ấm và muối khi được hòa tan sẽ hỗ trợ nướu tiêu diệt vi khuẩn. Tuy nhiên, khi sử dụng phương pháp này, hãy lưu ý về nhiệt độ của nước. Đồng thời, ta cũng như tránh loại nước muối quá đặc gây tổn thương men răng.
– Chườm nóng hoặc lạnh
Phương pháp chườm rất hữu hiệu với chức năng giảm sưng và giảm viêm. Đối với chườm lạnh, hơi lạnh sẽ gây tê, hỗ trợ giảm đau. Đối với chườm nóng, nhiệt độ ấm nóng sẽ góp phần thúc đẩy tiến độ lành vết thương và tăng thêm lưu lượng máu lên khu vực chườm.
– Sử dụng một số nguyên liệu tự nhiên giúp giảm sưng
Nha đam, tinh dầu tràm trà, nghệ,… là một số nguyên liệu tự nhiên phổ biến được nhiều người sử dụng. Trong thành phần của chúng đều có chất hỗ trợ chống oxy hóa. Chất này sẽ giúp kháng viêm và cải thiện tốc độ lành vết thương. Một lưu ý nhỏ là sau khi sử dụng phương pháp này, hãy súc miệng sạch nhé.
Chăm sóc răng miệng chưa bao giờ là việc đơn giản. Đặc biệt là trong thời kỳ mọc răng không, chúng ta càng cần nâng cao sự cẩn trọng và tỉ mỉ. Để một chiếc răng khôn mọc hoàn thiện có thể mất từ 2-3 tháng. Trong thời gian này, để có một khoang miệng khỏe mạnh, hãy chú ý và làm theo những phương pháp chăm sóc vừa nêu trên nhé!


















