Cao răng khổng lồ và cách phòng tránh
Cao răng khổng lồ nếu để lâu ngày sẽ gây ra nhiều vấn đề cho sức khỏe nói chung. Đó là những tác hại gì? Làm sao để phòng tránh tình trạng cao răng tích tụ dày và sâu? Hãy cùng tìm hiểu để biết đáp án ngay trong bài viết dưới đây.
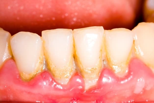
1. Cao răng khổng lồ là gì?
Tình trạng cao răng dày đặc gây nhiều nguy cơ bệnh lý
Cao răng là những mảng bám cứng đầu, dính chặt trên bề mặt răng. Cao răng được hình thành do những cặn thức ăn còn sót lại bị vi khuẩn tác động lên, Lâu ngày, cao răng tích tụ nhiều, ngày càng bám chặt và cứng ở gần đường nướu. Đây chính là hiện tượng cao răng khổng lồ trong khoang miệng.
Cơ bản, cao răng được chia làm 5 cấp độ nghiêm trọng dần từ 1 đến 5. Trong đó:
– Cấp độ 1: Không có cao răng xuất hiện, tình trạng răng miệng được đảm bảo
– Cấp độ 2: Xuất hiện cao răng ở viền nướu và kẽ răng
– Cấp độ 3: Cao răng ít, có tích tụ dưới 1mm
– Cấp độ 4: Tình trạng cao răng nhiều, che phủ khoảng gần 1/3 bề mặt của răng, dày 1-2 mm
– Cấp độ 5: Tình trạng cao răng nặng, tích tụ nhiều hơn 2 mm. Cao răng đè lên lợi thậm chí bắc cầu qua răng.
Cấp độ cao răng càng cao đồng nghĩa lượng cao răng càng nhiều gây ra nguy cơ mắc các vấn đề răng miệng.
2. Tác hại khi để cao răng quá dày
2.1 Cao răng khổng lồ khiến hơi thở nặng mùi
Hôi miệng là một trong những tác hại điển hình của việc để cao răng tồn tại quá dày. Những lớp cao răng này tích tụ lâu ngày chính là những ổ vi khuẩn trong răng miệng gây nên nhiều tình trạng viêm nhiễm. Những phần bị viêm sẽ bị vi khuẩn tập trung xung quanh, giải phóng sunfua trong quá trình sinh sản. Đây là một chất rất dễ bay hơi và cũng là nguyên nhân khiến hơi thở có mùi khó chịu.
2.2 Tổn hại tới men răng
Như đã nói, cao răng là địa điểm lý tưởng cho khoảng 4000 loại vi khuẩn khác nhau trú ngụ. Đặc biệt, khi những vi khuẩn này lên men đường trong thức ăn sẽ tạo ra axit. Axit được sản sinh nhiều sẽ làm hỏng men răng. Thậm chí nếu tình trạng này kéo dài lâu ngày, răng sẽ phải đối mặt với nguy cơ bị sâu.
2.3 Nguyên nhân của nhiều vấn đề sức khỏe
Không chỉ là tác nhân gây ra nhiều vấn đề răng miệng như sâu răng, viêm nướu, viêm nha chu,… Tình trạng cao răng dày đặc còn ảnh hưởng nghiêm trọng tới sức khỏe cơ thể nói chung.
Trong các mảng bám cao răng chứa vô số các loại vi khuẩn khác nhau. Nếu không được làm sạch, chúng sẽ sinh sôi môi ngày, phá hủy sự an toàn của khoang miệng. Khi ấy, khoang miệng sẽ trở thành một ổ vi khuẩn khổng lồ. Những vi khuẩn này sẽ thông qua quá trình ăn uống hàng ngày đi theo xuống đường ruột. Sau khi đã xâm nhập được vào các bộ phận khác, vi khuẩn sẽ bắt đầu tấn công.
2.4 Cao răng khổng lồ gây mất tính thẩm mỹ
Cao răng tích tụ nhiều sẽ bao trùm chân nướu, thậm chí bắc cầu qua răng. Điều này khiến cho hàm răng trở nên mất thẩm mỹ với những mảng bám. Bên cạnh đó, màu sắc của cao răng thường sẫm và ngả vàng hơn so với răng thật. Đây cũng là lý do khi cao răng quá dày, hàm răng có màu hơi loang lổ, mất đi độ trắng đẹp.
3. Cách phòng tránh tình trạng cao răng khổng lồ
Có rất nhiều cách để hỗ trợ ngăn ngừa quá trình hình thành cao răng dày đặc. Sau đây sẽ là 5 phương pháp cơ bản mà hiệu quả.
3.1 Đánh răng đều đặn mỗi ngày
Không chỉ đối với ngăn ngừa cao răng, đánh răng mỗi ngày là điều tối thiểu cần thực hiện để chăm sóc răng miệng. Ta nên đánh răng từ 2 đến 3 lần mỗi ngày và mỗi lần trung bình khoảng 2 phút. Điều này sẽ giúp loại bỏ những mảng bám thức ăn mỗi ngày, đảm bảo tình trạng răng miệng ổn định. Lưu ý, ta không nên đánh răng ngay sau khi vừa ăn xong. Hãy đợi khoảng 30 phút, như vậy việc loại bỏ mảng bám sẽ dễ dàng hơn. Ngoài ra, những loại bàn chải điện hay có đầu lông mềm cần được ưu tiên sử dụng để việc lấy đi cặn bẩn hiệu quả, không tổn hại nướu.
3.2 Sử dụng nước súc miệng và chỉ nha khoa
Việc đánh răng nên được áp dụng kết hợp cùng chỉ nha khoa và nước súc miệng để đạt hiệu quả tốt hơn. Nước súc miệng và chỉ nha khoa sẽ hỗ trợ để loại bỏ hết những mảng bám thức ăn thừa. Ngoài ra các loại nước súc miệng hay nước muối sinh lý còn giúp sát khuẩn răng, giữ răng miệng khỏe mạnh, hơi thở thơm mát. Tuy nhiên, khi sử dụng, chúng ta cũng cần lưu ý cách dùng cũng như tránh lạm dụng để không tổn thương nướu và men răng.
3.3 Uống nhiều nước lọc
Đừng coi thường công dụng của nước lọc, ngoài việc cung cấp nước cho cơ, việc uống nhiều nước còn hỗ trợ rất tốt cho răng miệng. Nước lọc là loại thức uống duy nhất khi sử dụng không làm gia tăng tình trạng vi khuẩn trong răng miệng. Khi uống nước lọc, phần nào những cặn thức ăn thừa còn trong miệng sẽ được làm sạch bớt đồng thời giảm tình trạng hơi thở có mùi khó chịu.
3.4 Chế độ ăn uống hợp lý
Một chế độ ăn uống hợp lý cũng là phương pháp hữu hiệu ngăn ngừa tình trạng cao răng dày đặc. Vi khuẩn ẩn nấp trong khoang miệng thường dựa vào những chất đường bột để duy trì và sinh sôi. Khi vi khuẩn tiếp xúc với những chất này sẽ gây giải phóng axit. Vì vậy, để phòng tránh tình trạng này, hãy tạo cho mình một thực đơn ăn uống lành mạnh.
Cụ thể, chúng ta nên hạn chế sử dụng những món ăn chứa nhiều đường, hạn chế ăn vặt. Mỗi khi chúng ta ăn đồ ngọt, ăn vặt chính là đang tiếp tay cho sự xâm nhập và tấn công của vi khuẩn. Tuy nhiên, chúng ta không cần phải cắt bỏ hoàn toàn khẩu phần tinh bột, đường hay ăn vặt. Thay vào đó, hãy điều chỉnh chế độ ăn sao cho cân bằng và phù hợp.
3.5 Khám răng và lấy cao răng định kỳ
Tùy vào tình trạng và chế độ sinh hoạt, mỗi người sẽ có thời gian lấy cao răng định kỳ khác nhau
Lấy cao răng định kỳ là điều rất quan trọng để ngăn chặn tình trạng cao răng khổng lồ. Tùy vào độ tuổi và chế độ sinh hoạt hàng ngày, thời gian lấy cao răng định kỳ của mỗi người là khác nhau.
- Đối với những người vệ sinh răng miệng tốt, ít cao răng nên thực hiện lấy cao răng định kỳ 1 năm 2 lần.
- Đối với những người thường xuyên sử dụng thuốc lá, bia rượu, cà phê,… nên lấy cao răng tối thiểu 3 lần một năm.
- Đối với những bé dưới 10 tuổi chưa cần chủ động lấy cao răng mà thay vào đó nên dựa trên tư vấn của bác sĩ. Với trường hợp này, khoang miệng của trẻ vẫn còn nhạy cảm nên lưu ý thực hiện lấy cao răng với thao tác nhẹ nhàng, tránh ảnh hưởng tới sức khỏe của răng miệng.
Cần duy trì thói quen khám sức khỏe răng miệng 2 lần một năm
Bên cạnh lấy cao răng, chúng ta cũng nên tập cho mình thói quen kiểm tra sức khỏe răng miệng định kỳ. Chỉ với 2 lần một năm, tình trạng răng miệng của chúng ta sẽ luôn được cập nhật, phòng tránh được nhiều nguy cơ.


















