Cao răng huyết thanh có nguy hiểm không?
Cao răng được chia thành: cao răng thường và cao răng huyết thanh. Trong đó, cao răng huyết thanh là giai đoạn sau của cao răng thường sau khi cao răng thường không được loại bỏ. Tình trạng cao răng bám lâu ngày sẽ ảnh hưởng rất lớn đến sức khỏe răng miệng và gây mùi khó chịu.
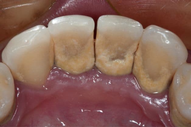
Mảng bám cao răng ở mặt sau của răng.
1. Cao răng huyết thanh là gì?
Mảng bám được hình thành chỉ sau 1 thời gian ngắn sau quá trình ăn uống. Mảng bám này vô hình trở thành nơi trú ngụ của các vi khuẩn. Nếu không vệ sinh sạch sẽ thì số lượng vi khuẩn ngày một dày lên và các mảng bám cũng từ đó mà dày lên theo. Ban đầu, ta hoàn toàn có thể làm sạch các mảng bám này bằng cách sử dụng tăm, chỉ nha khoa, tăm nước, bàn chải kẽ. Nhưng nếu không chú ý đến vấn đề vệ sinh răng miệng, theo thời gian, mảng bám này bị vôi hóa bởi các hợp chất có trong nước bọt và các cặn mềm (có thể là các mảnh vụn thức ăn, chất khoáng,…). Các mảng bám trở nên cứng hơn, bám chặt vào chân răng, trên bề mặt răng, ở vị trí gần lợi. Khi này, mảng bám đã tiến triển thành vôi răng. Vôi răng được chia thành 2 loại với 2 hình thái khác nhau:
– Vôi răng thông thường có màu vàng nhạt, các mảng bám không quá dày
– Cao răng huyết thanh có màu nâu đỏ, nâu đen, ảnh hưởng thẩm mỹ nặng nề hơn
Vôi răng huyết thanh là hậu quả của việc không vệ sinh và loại bỏ vôi răng thông thường. Vi khuẩn tích tụ khiến lợi bị yếu đi, dễ chảy máu trong quá trình vệ sinh răng miệng. Vi khuẩn tích tụ nhiều hơn vôi răng thông thường làm gia tăng nguy cơ viêm nhiễm và mắc các bệnh răng miệng khác phức tạp hơn. Vì vậy, cần đến gặp bác sĩ, nha sĩ để loại bỏ cao răng ngay từ khi mới hình thành, tránh để tiến triển nặng hơn.
2. Mức độ ảnh hưởng của vôi răng huyết thanh
Về mức độ gây hại, cả vôi răng thông thường và vôi răng huyết thanh đều là nguyên nhân gây nên các bệnh về lợi, nướu do đó là nơi tích tụ vi khuẩn. Bệnh nhân bị vôi răng huyết thanh có nguy cơ cao bị viêm lợi, viêm nha chu và viêm quanh răng.
Cao răng cần được loại bỏ định kỳ để đảm bảo vệ sinh cũng như sức khỏe răng miệng.
Vôi răng huyết thanh cũng gia tăng tần suất chảy máu chân răng do lợi bị suy yếu. Nếu không loại bỏ vôi răng sớm, vi khuẩn đi sâu vào trong lợi khiến bệnh nhân bị tụt lợi. Lợi không còn khỏe mạnh sẽ không giữ được răng chắc khỏe. Do đó, đe dọa đến sự an toàn và chắc khỏe của các chân răng.
Cao răng tồn tại quá lâu trong miệng còn đem đến nguy cơ viêm chân răng, áp xe răng cực kỳ nguy hiểm. Các bệnh lý này đe dọa mất răng vĩnh viễn. Các bệnh lý về răng sẽ đem đến các cơn đau âm ỉ hoặc dữ dội tùy thuộc vào tình trạng bệnh.
Bên cạnh đó, dễ thấy nhất, cao răng huyết thanh sẽ ảnh hưởng nặng nề đến thẩm mỹ. Các mảng bám chuyển màu nâu, đỏ khiến người bệnh tự ti khi giao tiếp, nụ cười gượng gạo. Vi khuẩn tích tụ còn khiến hơi thở có mùi hôi, tanh khó chịu.
Như vậy có thể thấy, trước mắt, vôi răng huyết thanh có thể chỉ gây mất thẩm mỹ, ảnh hưởng giao tiếp xã hội nhưng nếu để lâu dài chắc chắn sẽ là nguyên nhân gây nên những bệnh lý nguy hiểm.
3. Điều trị loại bỏ các mảng bám cao răng huyết thanh
Để loại bỏ vôi răng huyết thanh, bạn tuyệt đối không tự ý thực hiện theo các bài thuốc, mẹo dân gian. Bởi vôi răng nói chung bám cực kỳ chắc trên bề mặt răng. Tự ý thực hiện có thể gây hại đến lớp men răng và có thể gây chấn thương lên nướu và các mô xung quanh. Hãy đến gặp các nha sĩ, bác sĩ để được giải quyết vấn đề cao răng bằng các dụng cụ chuyên dụng trong những phòng khám vô trùng để đảm bảo an toàn tuyệt đối.
Hiện nay có rất nhiều phương pháp lấy cao răng nhưng phương pháp lấy cao răng bằng sóng siêu âm được các bác sĩ tích cực sử dụng bởi nó đem đến hiệu quả tốt với cả vôi răng huyết thanh và đảm bảo an toàn cho người bệnh.
Trong quá trình loại bỏ vôi răng huyết thanh, răng của bệnh nhân có thể gặp phải tình trạng nhạy cảm, ê buốt trong 1 – 2 hôm và sẽ tự biến mất sau vài ngày. Tình trạng chảy máu cũng có khả năng xảy ra nhưng không phải tình trạng nghiêm trọng.
Nên khám nha khoa và lấy cao răng định kỳ 6 tháng/lần.
4. Phòng ngừa cao răng
Để phòng ngừa cao răng, bạn có thể chú ý đến các yếu tố như:
– Đánh răng 2 lần/ngày hoặc ngay sau các bữa ăn để loại bỏ các mảng bám cũng như cặn, vụn thức ăn còn sót lại. Chú ý đánh răng theo chiều dọc hoặc để làm sạch kẽ răng kỹ hơn. Bên cạnh đó, có thể sử dụng bổ trợ tăm, chỉ nha khoa hoặc tăm nước.
– Sử dụng các loại kem đánh răng có florua và các loại nước súc miệng bổ trợ nhưng không được lạm dụng nước súc miệng. Chú ý không cho trẻ dùng chung với người lớn. Đồ dùng vệ sinh răng miệng của trẻ em cần là loại riêng biệt.
– Chú ý vệ sinh kỹ các mắc cài, máng niềng răng nếu bạn đang trong quá trình chỉnh nha
– Bỏ thuốc lá và các chất kích thích để bảo vệ răng tốt hơn. Hút thuốc lá còn làm trầm trọng hơn tình trạng chảy máu chân răng, gia tăng viêm nhiễm.
– Tránh ăn các loại thức ăn có nhiều đường, bột, chua, lên men, có gas
Bất cứ ai cũng có thể gặp phải mảng bám cao răng. Lấy cao răng định kỳ giúp lấy lại hàm răng trắng sáng, lấy lại tự tin mà còn giúp loại bỏ các vi khuẩn tích tụ sau quá trình ăn uống. Cao răng để lâu hình thành vôirăng huyết thanh là dấu hiệu đáng báo động về vấn đề vệ sinh răng miệng của bạn. Hãy gặp nha sĩ để loại bỏ cao răng và nhớ thăm khám cũng như lấy vôi răng định kỳ để hạn chế nguy cơ mắc các bệnh răng miệng. Lựa chọn các cơ sở uy tín như nha khoa Thu Cúc TCI để an tâm thăm khám, điều trị các bệnh lý răng miệng.


















