Cao răng độ 2: mức độ ảnh hưởng và cách xử lý
Cao răng và mảng bám là hai nguyên nhân cơ bản gây ra các bệnh lý như sâu răng, viêm nướu, viêm nha chu,… Cao răng cũng được chia ra thành nhiều cấp độ khác nhau để nhận biết và điều trị phù hợp. Trong đó, cao răng độ 2 tuy là mức độ chưa gây hại lớn cho răng miệng nhưng cũng không được chủ quan. Vậy mức độ ảnh hưởng và cách xử lý cao răng độ 2 như nào? Cùng Thu Cúc TCI tìm hiểu mức độ và cách xử lý cao răng này qua bài viết dưới đây nhé.
1. Tổng quan về cao răng
Cao răng cấp độ 2 là một tình trạng răng miệng khi xuất hiện mảng bám cứng, còn gọi là vôi răng. Nó tích tụ trên bề mặt của răng, đặc biệt là ở vùng chân răng và phần dưới nướu. Ban đầu, cao răng mức độ nhẹ vừa không thể nhận biết dễ dàng. Tuy nhiên nếu bạn quan sát kỹ, bạn có thể nhận thấy mảng bám này có màu vàng nhạt ở gần chân răng.
3 mức độ cao răng thường gặp nhất (minh họa).
Theo thời gian, mảng bám và các vết thức ăn còn sót lại sẽ tích tụ nhiều lên, trở nên dày hơn ở chân răng và chuyển sang màu vàng đậm. Khi đó, cao răng có thể dày tới khoảng 2mm hoặc hơn. Từ đó gây ra một số vấn đề nhẹ liên quan đến sức khỏe răng miệng. Đây được gọi là mức độ cao răng độ 2 cần quan tâm và xử lý sớm. Nếu không được xử lý kịp thời, tình trạng cao răng có thể trở nên nghiêm trọng hơn. Với cao răng có màu nâu đen, chúng trở nên cứng dày hơn, chứa nhiều vi khuẩn có thể gây ra các vấn đề răng miệng nguy hiểm.
2. Tại sao cần phải xử lý ngay cao răng độ 2?
2.1 Lý do thứ nhất
Đầu tiên, cao răng cấp độ 2 có thể gây ra vấn đề thẩm mỹ nghiêm trọng với màu sắc và vẻ ngoại hình của răng. Mảng bám màu vàng đậm bám quanh chân răng có thể khiến bạn cảm thấy không tự tin khi giao tiếp với bạn bè hoặc đối tác.
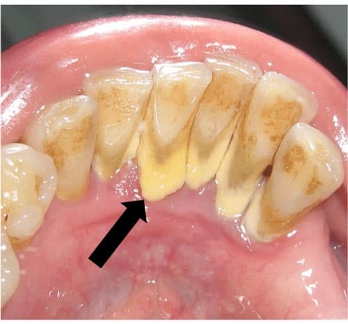
Cao răng mức 2 màu vàng nhạt đang bám ngay mặt trong của răng và nướu (minh họa).
2.2 Lý do thứ hai
Thứ hai, cao răng cấp độ 2 đã bắt đầu gây ra các vấn đề về sức khỏe răng miệng. Việc mảng bám tích tụ lâu ngày có thể gây ra tình trạng chảy máu chân răng thường xuyên, do nướu bị viêm và sưng. Những bệnh lý này gây ra nguy cơ lớn đối với sức khỏe răng miệng và cơ thể. Trong trường hợp nghiêm trọng hơn, cao răng có thể gây viêm nha chu. Nguy hiểm hơn là làm ảnh hưởng đến xương hàm, làm răng lung lay. Lúc này nguy cơ răng bị gãy hoặc rụng cao do tổ chức đỡ dưới càng suy yếu.
Ngoài ra, vi khuẩn viêm nhiễm ở vùng nướu có thể gây ra các bệnh lý khác. Ví dụ như viêm tủy ngược dòng, bệnh niêm mạc miệng, lở miệng, viêm amidan. Vì vậy, việc xử lý cao răng cấp độ 2 không chỉ là vấn đề thẩm mỹ mà còn sức khỏe. Với mục tiêu để duy trì sức khỏe răng miệng và phòng ngừa các bệnh lý nguy hiểm.
2.3. Lý do thứ ba
Cao răng phát triển ở mức độ 2 đã gây ra nhiều tác động tiêu cực đến sức khỏe răng miệng. Chân răng dễ chảy máu hơn, nướu trở nên nhạy cảm và dễ tổn thương. Nhiều trường hợp, nướu có nguy cơ viêm nhiễm và sưng to. Cao răng có thể gây ra viêm nha chu, viêm nướu, tụt lợi và thậm chí là mất răng. Ngoài ra, nếu cao răng gây viêm nướu, nó có thể dẫn đến các bệnh lý khác như viêm niêm mạc miệng, viêm amidan, sâu răng – là yếu tố thuận lợi trong số các biến chứng của bệnh tiểu đường. Vì vậy, không bao giờ nên xem nhẹ cao răng độ 2. Bạn nên loại bỏ nó càng sớm càng tốt trước khi cao răng độ 2 sang độ 3.
2.4 Lý do thứ tư
Khi có nhiều cao răng thì tình trạng viêm lợi thường dễ xảy ra, các mảng bám kết hợp với tình trạng viêm nhiễm sẽ tạo ra mùi hôi…làm cho người bị cao răng, viêm lợi và giảm tự tin khi giao tiếp.
3. Cách xử lý cao răng mức 2
Phương pháp hiện đại để loại bỏ cao răng đang trở nên phổ biến. Tuy nhiên, thực tế cho thấy, cao răng cấp độ 2 đã trở nên dày và cứng hơn nên việc làm sạch hàng ngày hoặc cách lấy cao răng thông thường rất khó khăn. Với các cách thông thường cũng chỉ có thể loại bỏ một phần nhỏ của mảng bám cứng, thậm chí không thể làm sạch hoàn toàn mảng bám khiến cho cao răng dày và cứng hơn.
Bác sĩ đang thăm khám và chỉ định điều trị cho trẻ (minh họa).
Vì vậy, tốt nhất là lựa chọn việc lấy cao răng thông qua công nghệ hiện đại tại nha khoa. Hiện nay, phương pháp lấy cao răng siêu âm đang được ưa chuộng hơn cách cũ. Bởi vì sóng âm giúp loại bỏ cao răng nhanh chóng và hiệu quả. Điều quan trọng là việc này không gây sang chấn răng như các phương pháp truyền thống.
Công nghệ siêu âm với tác động rung linh hoạt giúp tách rời mảng bám một cách nhẹ nhàng. Quá trình kể trên thường không làm tổn thương mô nướu. Điều này giúp kiểm soát tình trạng đau và chảy máu chân răng. Sau khi loại bỏ cao răng, quy trình đánh bóng răng sẽ được thực hiện để làm cho bề mặt răng mịn màng hơn, giảm nguy cơ tái tạo cao răng trong tương lai.
4. Những điều cần lưu ý khi tiến hành lấy cao răng
Hiện nay, nha sĩ thường sử dụng sóng siêu âm để loại bỏ mảng bám thức ăn và cao răng. Phương pháp này ít gây ê buốt và không gây tác động mạnh lên răng và nướu. Do đó, trước khi thực hiện lấy cao răng, bệnh nhân thường không cần phải gây tê.
Khi nha sĩ thực hiện việc lấy cao răng, quan trọng nhất là bạn nên thả lỏng toàn bộ cơ thể. Sau đó thở đều qua mũi và cố gắng duy trì tư thế thoải mái. Đôi khi, có thể bạn sẽ cảm nhận được sự ê buốt ở những khu vực có nhiều cao răng cứng. Nếu bạn không thể chịu đựng sự ê buốt này, hãy thông báo cho nha sĩ. Đồng thời, ở những vị trí nơi nướu bị viêm hoặc có nhiều cao răng tích tụ, quá trình lấy cao răng có thể gây ra một ít chảy máu.
Hy vọng những thông tin về mức độ ảnh hưởng và cách xử lý cao răng độ 2 hữu ích với bạn đọc. Đừng quên giữ thói quen lấy cao răng từ 3-6 tháng 1 lần để đảm bảo sức khỏe cho răng miệng bạn nhé.


















